Loading

Journal of Cardiology and Clinical Research

Cardiac Computed Tomography Angiography Unveils a Concurrent Unroofed Coronary Sinus Atrial Septal Defect with Atrial Septal Defect Secundum

Case Report | Open Access | Volume 11 | Issue 2

  • 1. Department of Adult Cardiology, King Fahd Armed Forces Hospital, Saudi Arabia
  • 2. Department of Cardiology, Al-Azhar University, Egypt
+ Show More - Show Less
Corresponding Authors
Islam A. Ibrahim, Department of Adult Cardiology, King Fahd Armed Forces Hospital, Al Kurnaysh Rd, Al Andalus, 23311, Jeddah, Mecca, Saudi Arabia, Tel: 966583663307
Abstract

Unroofed coronary sinus is a rare subtype of atrial septal defect, which is an adult congenital heart disease characterized by communication of the systemic and pulmonary circulations at the atria level. We describe a 25-year-old female with a rare coexistence of a large unrepaired atrial septal defect secundum, and Unroofed coronary sinus type II identified incidentally during a cardiac murmur assessment. Atrial septal defect secundum was diagnosed with transthoracic echocardiography and was confirmed with transesophageal echocardiogram. Unroofed coronary sinus was diagnosed using cardiac computed tomography angiography. The patient underwent a successful reroofing using bovine pericardial patch.

Keywords

Atrial Septal Defect, Unroofed coronary sinus, Transthoracic echocardiography, Transesopageal echocardiography, Cardiac CTA

CITATION

Ibrahim IA, Howladar MT, Anwar A, Ahmed W. Cardiac Computed Tomography Angiography Unveils a Concurrent Unroofed Coronary Sinus Atrial Septal Defect with Atrial Septal Defect Secundum. J Cardiol Clin Res. 2023; 11(2): 1189.

ABBREVIATIONS

UCS: Unroofed Coronary Sinus; PLSVC: Persistent Left Superior Vena Cava; TTE: Transthoracic Echocardiography; TEE: Transesophageal Echocardiography; CCTA: Cardiac Computed Tomography Angiography; ECG: Electrocardiogram; ASD: Atrial Septal Defect

INTRODUCTION

Unroofed coronary sinus (UCS) is a rare subtype of atrial septal defect (ASD), which is an adult congenital heart disease characterized by communication of the systemic and pulmonary circulations at the atria level [1]. Due to partial or complete coronary sinus wall loss, oxygenated blood from the left atrium is carried to the right atrium via the coronary sinus [2].

ASD I is responsible for up to 30% of adult congenital heart disease diagnosis. UCS is the most uncommon type of ASD, usually associated with persistent left superior vena cava (PLSVC). The incidence is estimated to be less than 1% of all atrial septal defects [1]. UCS ASD is anatomically classified by kirklin and Barrat-Boyes into one of four groups, Type I and type II describe completely UCS with or without PLSVC respectively, type II and type IV describe partially unroofed mid or terminal segment respectively [3]. UCS-ASD prevalence and incidence in Saudi Arabia. During childhood and most of adulthood, UCS type ASD are usually asymptomatic. Diagnosis is challenging and it is usually discovered by chance during an examination for another condition, most often prior to coronary bypass surgery [2].

We describe a 25-year-old female with a rare coexistence of a large unrepaired ASD secundum and UCS type II identified incidentally during a cardiac murmur assessment. The electrocardiogram (ECG) revealed sinus rhythm, right axis deviation, and complete right bundle branch block (RBBB). ASD scundum was diagnosed by a transthoracic echocardiography (TTE). Although a transesophageal echocardiography (TEE) confirmed the presence of secundum type ASD, it failed to identify the co-existence of UCS. A big inferiorly situated UCS-ASD type II was diagnosed by cardiac computed tomography angiography (CCTA) that was surgically treated with a bovine pericardial patch.

CASE PRESENTATION

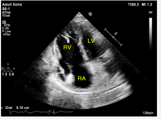
A 25-year-old young female with no history of medical illness had recently developed flu symptoms and had an ejection systolic murmur on auscultation. During her childhood, she had no dyspnea or palpitations. As part of her evaluation, she had a chest X-ray, which revealed cardiomegaly. She then had a TTE, which revealed dilated atria, right ventricle, and an interatrial shunt. As a result, she was referred to our facility for further evaluation. She had a loud left parasternal systolic murmur at the second intercostal space on auscultation. Her saturation level was 98%. ECG showed a sinus rhythm with right axis deviation and complete RBBB. Repeat TTE at our facility confirmed that her right atrium (RA) and right ventricle (RV) are dilated with RV mid-diameter of 51 mm (Figure 1,2),

https://www.jscimedcentral.com/public/assets/images/uploads/image-1695628409-1.PNG

Figure 1: Two-dimensional TTE, apical 4-chamber view, systolic phase, demonstrates a dilated RA. RA, Right Atrium: LA, Left Atrium: RV, Right Ventricle: LV, Left Ventricle.

Two-dimensional TTE, apical 4-chamber view, diastolic phase,  demonstrates a dilated RV with a mid-segment diameter of 51 mm.

Figure 2: Two-dimensional TTE, apical 4-chamber view, diastolic phase, demonstrates a dilated RV with a mid-segment diameter of 51 mm.

and at mid interatrial septum (IAS), there is an atrial septal defect (ASD) secondum type measuring ~ 15 mm with QP/QS 3.1 flow from left to right by color Doppler (Figure 3,4)

 Two-dimensional TTE, parasternal short-axis, aortic valve  level, demonstrates a dilated RA, a large ASD secundum type (arrow)  with left-to-right flow by color Doppler. RVOT, Right Ventricle Outflow  Tract: AoV, Aortic Valve: TV, Tricuspid Valve: PV, Pulmonary Valve.

Figure 3: Two-dimensional TTE, parasternal short-axis, aortic valve level, demonstrates a dilated RA, a large ASD secundum type (arrow) with left-to-right flow by color Doppler. RVOT, Right Ventricle Outflow Tract: AoV, Aortic Valve: TV, Tricuspid Valve: PV, Pulmonary Valve.

 Two-dimensional TTE, apical 4-chamber view with color  flow Doppler, systolic phase, demonstrates a large ASD (arrow) with a  longitudinal diameter of 15.6 mm.

Figure 4: Two-dimensional TTE, apical 4-chamber view with color flow Doppler, systolic phase, demonstrates a large ASD (arrow) with a longitudinal diameter of 15.6 mm.

The anterior rim is 8 to 9 mm thick, the posterior rim is 18 mm thick, the distal rim is 17 mm thick, and the proximal rim is 17 mm thick. TEE, showed markedly dilated left atrium (LA). There is a fenestrated defect at the mid IAS with two left-to-right flow jets, the larger of which is 8 mm x 8 mm and the smaller of which is 5 mm x 8 mm, separated by a thin membrane (Figure 5).

Three-dimensional TEE, Mid-esophageal level, 4-chamber  view (20o), demonstrates the large fenestrated ASD Secundum type.

Figure 5: Three-dimensional TEE, Mid-esophageal level, 4-chamber view (20o), demonstrates the large fenestrated ASD Secundum type.

The total defect diameter was 15 mm x 8 mm, the rim thickness was 19 mm proximally and distally, the anterior rim was 8 mm thick, the posterior rim was 13 mm thick, and the superior and inferior rims were 12 mm and 14 mm thick, respectively. The ASD looks like Swiss cheese at 1 O’clock and a band in the middle, and it measures 8 x 8 mm and 8 x 5 mm, about 15 to 16 mm in diameter. She has significant RV dilatation and RA dilatation, with a Qp/Qs ratio of 3.0.

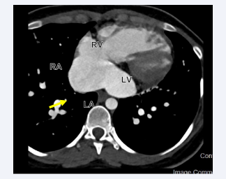
Patient was taken to the catheterization laboratory for ASD secundum type closure using Amplatzer device under TEE guidance. However, during procedure the multipurpose catheter crossed very inferiorly at the level of the coronary sinus (CS) into the LA. The left upper pulmonary vein identified very easily as well as a small CS vein, which is draining from the great cardiac vein. TEE showed that the multipurpose catheter in the LA, however, it did not go through the previously mentioned secundum ASD, raising the possibility of different co-existing septal defect. Procedure was aborted and patient was scheduled for CCTA to better define the septal defect and rule out the presence of PLSVC. CCTA showed a large ASD inferiorly, representing an UCS. The defect is large, measuring 24 mm in length, and both the superior and inferior vena cava are intact. The pulmonary veins drain in the LA. The right pulmonary veins emerge from a single trunk, while the left pulmonary veins emerge from a very short trunk that splits into two branches early on (Figures 6-9).

Cardiac computed tomography angiography (CCTA) in  axial display showing a communication between the RA and LA  representing ASD.

Figure 6: Cardiac computed tomography angiography (CCTA) in axial display showing a communication between the RA and LA representing ASD.

 Cardiac computed tomography angiography (CCTA) in  sagittal display showing a communication between the RA and LA  representing unroofed CS (Arrow). CS, Coronary Sinus.

Figure 7: Cardiac computed tomography angiography (CCTA) in sagittal display showing a communication between the RA and LA representing unroofed CS (Arrow). CS, Coronary Sinus.

Cardiac computed tomography angiography (CCTA) in  sagittal displays showing dilated RA, ASD (Yellow Arrow), and  unroofed CS (Red arrow).

Figure 8: Cardiac computed tomography angiography (CCTA) in sagittal displays showing dilated RA, ASD (Yellow Arrow), and unroofed CS (Red arrow).

Cardiac computed tomography angiography (CCTA) threedimensional reconstruction showing the unroofed dilated CS.

Figure 9: Cardiac computed tomography angiography (CCTA) threedimensional reconstruction showing the unroofed dilated CS.

Patient then referred to cardiac surgery services in our facility. She underwent a successful reroofing using bovine pericardial patch. Echocardiogram post-closure showed no residual interatrial shunt or inferior vena cava obstruction and good ventricular function. She discharged home shortly after.

DISCUSSION

UCS was first described in 1965 by Raghib et al. [4], and is a rare congenital cardiac abnormality characterized by the complete or partial loss of the coronary sinus wall, resulting in an interatrial shunt between the left and right atria [1]. It is often linked with various cardiac abnormalities, the most common of which is PLSVC up to 75% in some series, which drains into the LA if present, causing right to left shunting. Other congenital cardiac malformation correlations have been found, including tetralogy of fallot, tricuspid stenosis, and tricuspid atrisa [5,6].

Diagnosis of UCS-ASD is challenging since most patients are asymptomatic and, if they do develop symptoms, they are typically non-specific. Evidence of right chambers enlargement and right ventricular failure due to volume overload can occurs with chronic left to right shunt. In contrast, if it is associated with abnormally PLSVC that drains into LA, cyanosis and polycythemia can occur due to right to left shunt in those individuals and hence early detection. TTE can detect an interatrial shunt but is inaccurate in identifying an UCS because it is a deep posterior structure; TEE on the other hand, can accurately identify an UCS in most people. CCTA appears to be superior to both TTE and TEE due to its high spatial and temporal resolutions, multiplanar reconstruction capabilities, and large field of view, CCTA is a powerful tool for defect diagnosis and characterization, as well as the identification of related abnormalities of the heart and pulmonary vasculature [7,8]. The preferred treatment is believed to be surgery. The percutaneous interventions such as covered stenting or implantation of Amplatzer occluding device have shown encouraging outcomes, but further research is required before it can be implemented into routine practice [9,10]. Prognosis after surgical treatment is favorable as showed by Ootaki et al. [3].

CONCLUSION

The extremely rare subtype of the most prevalent adult congenital malformation is UCS-ASD. Although the identification may pose challenges, the utilization of multimodality imaging can effectively facilitate its detection and treatment planning, as exemplified in our patient. Percutaneous interventions such as covered stenting or the implantation of an Amplatzer occluding device hold considerable potential; nevertheless, surgical repair remains the preferred primary treatment option.

REFERENCES

1. Cintez? E elena, Filip C, Duic? G, Nicolae G, Marcel Nicolescu A, B?lgr?dean M. Unroofed coronary sinus: update on diagnosis and treatment. Rom J Morphol Embryol. 2023; 2019: 33-40.

 2. Bansal RC, Martens TP, Hu H, Rabkin DG. Unroofed Coronary Sinus Discovered Incidentally during Cardiac Surgery: Systematic Approach to Diagnosis by Transesophageal Echocardiography. CASE?: Cardiovascular Imaging Case Reports. 2021; 5: 384.

3. Ootaki Y, Yamaguchi M, Yoshimura N, Oka S, Yoshida M, Hasegawa T. Unroofed coronary sinus syndrome: Diagnosis, classification, and surgical treatment. J Thorac Cardiovasc Surg. 2003; 126: 1655-1656.

4. RAGHIB G, RUTTENBERG HD, ANDERSON RC, AMPLATZ K, ADAMS P, EDWARDS JE. Termination of Left Superior Vena Cava in Left Atrium, Atrial Septal Defect, and Absence of Coronary Sinus. Circulation. 1965; 31: 906-918.

5. Quaegebeur J, Kirklin JW, Pacifico AD, Bargeron LM. Surgical experience with unroofed coronary sinus. Ann Thorac Surg. 1979; 27: 418-425.

6. Pérez Matos AJ, Planken RN, Bouma BJ, Groenink M, Backx APCM, de Winter RJ, et al. Unroofed coronary sinus newly diagnosed in adult patients after corrected congenital heart disease. Neth Heart J. 2014; 22: 240-245.

7. Ngee T, Lim MCL, De Larrazabal C, Sundaram RD. Unroofed coronary sinus defect. J Comput Assist Tomogr. 2011; 35: 246-247.

8. Khadkikar G, V SM, Patel A, Shah SC, Patel TM. A Rare Case of an Unroofed Coronary Sinus with a Persistent Left Superior Vena Cava Diagnosed by Two-Dimensional Transthoracic Echocardiography. Cureus. 2021; 13.

9. Torres A, Gersony WM, Hellenbrand W. Closure of unroofed coronary sinus with a covered stent in a symptomatic infant. Catheter Cardiovasc Interv. 2007; 70: 745-748.

10. Zhou Z, Gu Y, Zheng H. Transcatheter closure of unroofed coronary sinus syndrome: a short-term result. Eur Heart J. 2022; 43: 1996.

Ibrahim IA, Howladar MT, Anwar A, Ahmed W. Cardiac Computed Tomography Angiography Unveils a Concurrent Unroofed Coronary Sinus Atrial Septal Defect with Atrial Septal Defect Secundum. J Cardiol Clin Res. 2023; 11(2): 1189.

Received : 07 Aug 2023
Accepted : 08 Aug 2023
Published : 11 Aug 2023
Journals
Annals of Otolaryngology and Rhinology
ISSN : 2379-948X
Launched : 2014
JSM Schizophrenia
Launched : 2016
Journal of Nausea
Launched : 2020
JSM Internal Medicine
Launched : 2016
JSM Hepatitis
Launched : 2016
JSM Oro Facial Surgeries
ISSN : 2578-3211
Launched : 2016
Journal of Human Nutrition and Food Science
ISSN : 2333-6706
Launched : 2013
JSM Regenerative Medicine and Bioengineering
ISSN : 2379-0490
Launched : 2013
JSM Spine
ISSN : 2578-3181
Launched : 2016
Archives of Palliative Care
ISSN : 2573-1165
Launched : 2016
JSM Nutritional Disorders
ISSN : 2578-3203
Launched : 2017
Annals of Neurodegenerative Disorders
ISSN : 2476-2032
Launched : 2016
Journal of Fever
ISSN : 2641-7782
Launched : 2017
JSM Bone Marrow Research
ISSN : 2578-3351
Launched : 2016
JSM Mathematics and Statistics
ISSN : 2578-3173
Launched : 2014
Journal of Autoimmunity and Research
ISSN : 2573-1173
Launched : 2014
JSM Arthritis
ISSN : 2475-9155
Launched : 2016
JSM Head and Neck Cancer-Cases and Reviews
ISSN : 2573-1610
Launched : 2016
JSM General Surgery Cases and Images
ISSN : 2573-1564
Launched : 2016
JSM Anatomy and Physiology
ISSN : 2573-1262
Launched : 2016
JSM Dental Surgery
ISSN : 2573-1548
Launched : 2016
Annals of Emergency Surgery
ISSN : 2573-1017
Launched : 2016
Annals of Mens Health and Wellness
ISSN : 2641-7707
Launched : 2017
Journal of Preventive Medicine and Health Care
ISSN : 2576-0084
Launched : 2018
Journal of Chronic Diseases and Management
ISSN : 2573-1300
Launched : 2016
Annals of Vaccines and Immunization
ISSN : 2378-9379
Launched : 2014
JSM Heart Surgery Cases and Images
ISSN : 2578-3157
Launched : 2016
Annals of Reproductive Medicine and Treatment
ISSN : 2573-1092
Launched : 2016
JSM Brain Science
ISSN : 2573-1289
Launched : 2016
JSM Biomarkers
ISSN : 2578-3815
Launched : 2014
JSM Biology
ISSN : 2475-9392
Launched : 2016
Archives of Stem Cell and Research
ISSN : 2578-3580
Launched : 2014
Annals of Clinical and Medical Microbiology
ISSN : 2578-3629
Launched : 2014
JSM Pediatric Surgery
ISSN : 2578-3149
Launched : 2017
Journal of Memory Disorder and Rehabilitation
ISSN : 2578-319X
Launched : 2016
JSM Tropical Medicine and Research
ISSN : 2578-3165
Launched : 2016
JSM Head and Face Medicine
ISSN : 2578-3793
Launched : 2016
JSM Cardiothoracic Surgery
ISSN : 2573-1297
Launched : 2016
JSM Bone and Joint Diseases
ISSN : 2578-3351
Launched : 2017
JSM Bioavailability and Bioequivalence
ISSN : 2641-7812
Launched : 2017
JSM Atherosclerosis
ISSN : 2573-1270
Launched : 2016
Journal of Genitourinary Disorders
ISSN : 2641-7790
Launched : 2017
Journal of Fractures and Sprains
ISSN : 2578-3831
Launched : 2016
Journal of Autism and Epilepsy
ISSN : 2641-7774
Launched : 2016
Annals of Marine Biology and Research
ISSN : 2573-105X
Launched : 2014
JSM Health Education & Primary Health Care
ISSN : 2578-3777
Launched : 2016
JSM Communication Disorders
ISSN : 2578-3807
Launched : 2016
Annals of Musculoskeletal Disorders
ISSN : 2578-3599
Launched : 2016
Annals of Virology and Research
ISSN : 2573-1122
Launched : 2014
JSM Renal Medicine
ISSN : 2573-1637
Launched : 2016
Journal of Muscle Health
ISSN : 2578-3823
Launched : 2016
JSM Genetics and Genomics
ISSN : 2334-1823
Launched : 2013
JSM Anxiety and Depression
ISSN : 2475-9139
Launched : 2016
Clinical Journal of Heart Diseases
ISSN : 2641-7766
Launched : 2016
Annals of Medicinal Chemistry and Research
ISSN : 2378-9336
Launched : 2014
JSM Pain and Management
ISSN : 2578-3378
Launched : 2016
JSM Women's Health
ISSN : 2578-3696
Launched : 2016
Clinical Research in HIV or AIDS
ISSN : 2374-0094
Launched : 2013
Journal of Endocrinology, Diabetes and Obesity
ISSN : 2333-6692
Launched : 2013
Journal of Substance Abuse and Alcoholism
ISSN : 2373-9363
Launched : 2013
JSM Neurosurgery and Spine
ISSN : 2373-9479
Launched : 2013
Journal of Liver and Clinical Research
ISSN : 2379-0830
Launched : 2014
Journal of Drug Design and Research
ISSN : 2379-089X
Launched : 2014
JSM Clinical Oncology and Research
ISSN : 2373-938X
Launched : 2013
JSM Bioinformatics, Genomics and Proteomics
ISSN : 2576-1102
Launched : 2014
JSM Chemistry
ISSN : 2334-1831
Launched : 2013
Journal of Trauma and Care
ISSN : 2573-1246
Launched : 2014
JSM Surgical Oncology and Research
ISSN : 2578-3688
Launched : 2016
Annals of Food Processing and Preservation
ISSN : 2573-1033
Launched : 2016
Journal of Radiology and Radiation Therapy
ISSN : 2333-7095
Launched : 2013
JSM Physical Medicine and Rehabilitation
ISSN : 2578-3572
Launched : 2016
Annals of Clinical Pathology
ISSN : 2373-9282
Launched : 2013
Annals of Cardiovascular Diseases
ISSN : 2641-7731
Launched : 2016
Journal of Behavior
ISSN : 2576-0076
Launched : 2016
Annals of Clinical and Experimental Metabolism
ISSN : 2572-2492
Launched : 2016
Clinical Research in Infectious Diseases
ISSN : 2379-0636
Launched : 2013
JSM Microbiology
ISSN : 2333-6455
Launched : 2013
Journal of Urology and Research
ISSN : 2379-951X
Launched : 2014
Journal of Family Medicine and Community Health
ISSN : 2379-0547
Launched : 2013
Annals of Pregnancy and Care
ISSN : 2578-336X
Launched : 2017
JSM Cell and Developmental Biology
ISSN : 2379-061X
Launched : 2013
Annals of Aquaculture and Research
ISSN : 2379-0881
Launched : 2014
Clinical Research in Pulmonology
ISSN : 2333-6625
Launched : 2013
Journal of Immunology and Clinical Research
ISSN : 2333-6714
Launched : 2013
Annals of Forensic Research and Analysis
ISSN : 2378-9476
Launched : 2014
JSM Biochemistry and Molecular Biology
ISSN : 2333-7109
Launched : 2013
Annals of Breast Cancer Research
ISSN : 2641-7685
Launched : 2016
Annals of Gerontology and Geriatric Research
ISSN : 2378-9409
Launched : 2014
Journal of Sleep Medicine and Disorders
ISSN : 2379-0822
Launched : 2014
JSM Burns and Trauma
ISSN : 2475-9406
Launched : 2016
Chemical Engineering and Process Techniques
ISSN : 2333-6633
Launched : 2013
Annals of Clinical Cytology and Pathology
ISSN : 2475-9430
Launched : 2014
JSM Allergy and Asthma
ISSN : 2573-1254
Launched : 2016
Journal of Neurological Disorders and Stroke
ISSN : 2334-2307
Launched : 2013
Annals of Sports Medicine and Research
ISSN : 2379-0571
Launched : 2014
JSM Sexual Medicine
ISSN : 2578-3718
Launched : 2016
Annals of Vascular Medicine and Research
ISSN : 2378-9344
Launched : 2014
JSM Biotechnology and Biomedical Engineering
ISSN : 2333-7117
Launched : 2013
Journal of Hematology and Transfusion
ISSN : 2333-6684
Launched : 2013
JSM Environmental Science and Ecology
ISSN : 2333-7141
Launched : 2013
JSM Nanotechnology and Nanomedicine
ISSN : 2334-1815
Launched : 2013
Journal of Ear, Nose and Throat Disorders
ISSN : 2475-9473
Launched : 2016
JSM Ophthalmology
ISSN : 2333-6447
Launched : 2013
Journal of Pharmacology and Clinical Toxicology
ISSN : 2333-7079
Launched : 2013
Annals of Psychiatry and Mental Health
ISSN : 2374-0124
Launched : 2013
Medical Journal of Obstetrics and Gynecology
ISSN : 2333-6439
Launched : 2013
Annals of Pediatrics and Child Health
ISSN : 2373-9312
Launched : 2013
JSM Clinical Pharmaceutics
ISSN : 2379-9498
Launched : 2014
JSM Foot and Ankle
ISSN : 2475-9112
Launched : 2016
JSM Alzheimer's Disease and Related Dementia
ISSN : 2378-9565
Launched : 2014
Journal of Addiction Medicine and Therapy
ISSN : 2333-665X
Launched : 2013
Journal of Veterinary Medicine and Research
ISSN : 2378-931X
Launched : 2013
Annals of Public Health and Research
ISSN : 2378-9328
Launched : 2014
Annals of Orthopedics and Rheumatology
ISSN : 2373-9290
Launched : 2013
Journal of Clinical Nephrology and Research
ISSN : 2379-0652
Launched : 2014
Annals of Community Medicine and Practice
ISSN : 2475-9465
Launched : 2014
Annals of Biometrics and Biostatistics
ISSN : 2374-0116
Launched : 2013
JSM Clinical Case Reports
ISSN : 2373-9819
Launched : 2013
Journal of Cancer Biology and Research
ISSN : 2373-9436
Launched : 2013
Journal of Surgery and Transplantation Science
ISSN : 2379-0911
Launched : 2013
Journal of Dermatology and Clinical Research
ISSN : 2373-9371
Launched : 2013
JSM Gastroenterology and Hepatology
ISSN : 2373-9487
Launched : 2013
Annals of Nursing and Practice
ISSN : 2379-9501
Launched : 2014
JSM Dentistry
ISSN : 2333-7133
Launched : 2013
Author Information X