AbstractThe objective of this study was to find an another surgical way than Bentall procedure to treat the aneurysms of ascending aorta involving the sinuses of valsalvas. From September 2008 to May 2018, eighty five patients underwent aortic valve replacem.....
AbstractRobotic-assisted coronary artery bypass graft surgery is an emerging approach since it has been associated with less post-operative complications, and shorter length of stay when compared to conventional surgery. Its utilization is growing up especia.....
AbstractPurpose: Patients with cardiovascular disease often suffer from renal impairment.? We aimed to validate ultrashort echo time (UTE) T2* imaging without the use of any contrast agents in a phantom and patients with known cardiac fibrosis. Methods: A ph.....
AbstractPurpose: Here, we used dynamic T2 preparation pulse in weighted subtraction magnetic resonance imaging (MRI) among adult patients with coronary
artery disease (CAD) and children with congenital heart disease (CHD) to develop a new imaging method to.....
AbstractFriedrich’s Ataxia (FA) is a progressive neurodegenerative disorder commonly cited with a incidence of 1/50,000 live births. The disease is autosomal recessive and arises from a trinucleotide GAA repeat on chromosome 9. This repeat is located withi.....
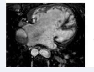
AbstractUnroofed coronary sinus is a rare subtype of atrial septal defect, which is an adult congenital heart disease characterized by communication of the systemic and pulmonary circulations at the atria level. We describe a 25-year-old female with a rare c.....
AbstractBackground: Transcatheter aortic valve replacement (TAVR) has profoundly impacted the volume and outcomes of aortic valve interventions in the past decade.
Methods: This retrospective study used the annual Medicare Provider Analysis and Review fil.....
AbstractBackground: The main pathological manifestations of myocardial fibrosis are the proliferation of myocardial fibroblasts and the mass deposition of collagen fibers in myocardial tissue. It is a common feature of all cardiovascular diseases. Studies ha.....
AbstractIncreased infiltration of monocytes in white adipose tissue, pancreas, liver, and arteries is the initial step in the pathogenesis of metabolic diseases, obesity, type 2 diabetes, non-alcoholic fatty liver diseases, and atherosclerosis. They tend to .....
AbstractBackground: Coronary bifurcation lesions account for 15-20% of lesions treated with percutaneous coronary intervention (PCI). Treatment of these lesions may be associated with increased complications. In calcified lesions orbital atherectomy (OA) fac.....
AbstractBackground; Sitosterolemia is a rare, autosomal-recessive lipid storage disease characterized by xanthoma, premature atherosclerosis, and hematologic abnormalities. The purpose of this study was to investigate the effect of adenosine triphosphate-bin.....