Loading

Journal of Cardiology and Clinical Research

PDA Closure in the Presence of a Dilated Main Pulmonary Artery and Ductal Spasm: Importance of Proper Technique and Hardware Selection

Case Report | Open Access | Volume 13 | Issue 2

  • 1. Head of Department, Department of cardiology, GGMC and Sir JJ Hospital, India
  • 2. Senior resident, Department of cardiology, GGMC and Sir JJ Hospital, India
  • 3. Assistant Professor, Department of cardiology, GGMC and Sir JJ Hospital, India
  • 4. Associate Professor, Department of cardiology, GGMC and Sir JJ Hospital, India
  • 5. Post DM SR, Department of cardiology, GGMC and Sir JJ Hospital, India
+ Show More - Show Less
Corresponding Authors
Prasad Jain, Senior resident, Department of cardiology, GGMC and Sir JJ Hospital Mumbai, Maharashtra, India, Tel: 9923288625
Abstract

Transcatheter patent ductus arteriosus (PDA) closure is a device-based technique for correcting PDA. In general, an isolated PDA is easier to close, but conditions such as a smaller PDA, PDA spasm, or a dilated main pulmonary trunk make device closure a significant challenge. More over re-crossing the PDA becomes difficult in situations if there is device size mismatch. This article highlights the management of PDA device closure in a patient with a smaller PDA and a dilated main pulmonary artery due to severe pulmonary stenosis, complicated by ductal spasm. It also emphasizes the importance of selecting the proper hardware to address this situation effectively.

KEYWORDS
  • Patent ductus arteriosus
  • Device closure of PDA
  • Dilated MPA
  • Severe PS
  • Ductal Spasm
CITATION

Munde K, Jain P, Kantak D, Kothari G, Munde A, et al. (2025) PDA Closure in the Presence of a Dilated Main Pulmonary Artery and Ductal Spasm: Importance of Proper Technique and Hardware Selection. J Cardiol Clin Res. 13(2): 1212.

INTRODUCTION

The ductus arteriosus is a central vascular shunt connecting the proximal descending aorta to the pulmonary artery near the origin of the left branch of the pulmonary artery [1]. It allows oxygenated blood from the placenta to bypass the uninflated fetal lungs and enter the systemic circulation. Rapid closure of the ductus arteriosus after birth is essential for the vascular transition to a mature, divided pattern of arteriovenous circulation [1,2]. As the clinical signs and symptoms of PDA can vary, all patients at risk of developing or having PDA should undergo echocardiography [3]. Closure is recommended for patients regardless of the presence or absence of symptoms. Transcatheter device closure is the treatment of choice for all patients whenever it is technically feasible [1-5]. Ductal spasm is common in smaller PDAs, and utmost care should be taken to avoid undersizing the device. Ductal spasm during the procedure can lead to procedural failure [6,7].

CASE REPORT

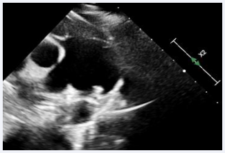
A 7-year-old male child, born to a diabetic mother from a non-consanguineous marriage, presented with a history of respiratory distress immediately after birth, for which he received NICU care during the neonatal period. The patient never underwent a screening echocardiogram during infancy. During a consultation for exertional breathlessness while playing, he was evaluated and underwent screening echocardiography. The echocardiogram (Figure 1),

Transthoracic echocardiogram showing PDA with left-to- right shunt.

Figure 1: Transthoracic echocardiogram showing PDA with left-to- right shunt.

suggested a small 2 mm PDA with a left-to-right shunt, moderate pulmonary valve stenosis with a peak gradient of 48 mmHg, and a dilated main pulmonary artery measuring 34 mm.

PROCEDURE

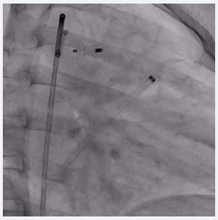
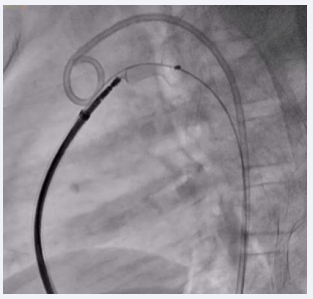
Procedure was done under general anesthesia. Right femoral artery and vein, along with left femoral venous access, were established and 6F sheaths were inserted. A 6F pigtail catheter was advanced through the right femoral artery along the descending aorta up to the PDA defect. An aortic shoot was performed via the pigtail catheter to visualize and confirm the size of the defect. Pressures across the main pulmonary artery (MPA), were recorded using a 6F MPA catheter. A 0.025 mm J-tip Terumo wire was passed through the right femoral vein into the right atrium, followed by the right ventricle, and then into the main pulmonary artery. The MPA catheter was replaced with a 6F Judkins right catheter. Due to the dilated MPA and PDA spasm from repeated attempts to cross the defect, there was difficulty in advancing the terumo wire through the defect. After multiple attempts, the 0.025 mm Terumo wire was successfully passed through the defect and subsequently exchanged for an Amplatzer Super Stiff wire. The ductal spasm led to a possible underestimation of the required device size. A Lifetech CERA 8/6 mm device was loaded onto the device delivery sheath. To facilitate the challenging recrossing, a Mullins long sheath, one size larger than recommended for the Lifetech CERA device, was inserted and advanced up to the defect over the Amplatzer Super Stiff wire. The Super Stiff wire was then exchanged for the Terumo wire, which was snared through the left femoral artery to secure access during the trial of device placement (Figure 2).

Figure 2 Fluoroscopic image showing PDA device inflated across the PDA with the Terumo wire maintained across the defect.

Figure 2: Fluoroscopic image showing PDA device inflated across the PDA with the Terumo wire maintained across the defect.

The device was then passed through the defect, and both the aortic and MPA ends of the device were sequentially inflated. A check aortic angiogram showed no residual shunt across the device (Figure 3).

 Fluoroscopic image showing the inflated PDA device in situ with no residual shunt across the defect.

Figure 3: Fluoroscopic image showing the inflated PDA device in situ with no residual shunt across the defect.

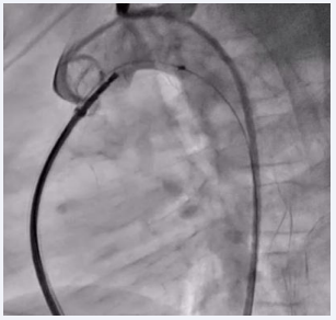
The Terumo wire was then gently removed, and the device was released in place (Figure 4,5).

Figure 4 Fluoroscopic image showing the inflated PDA device in situ with no residual shunt across the defect.

Figure 4: Fluoroscopic image showing the inflated PDA device in situ with no residual shunt across the defect.

Figure 5 Final fluoroscopic image showing PDA device in place after release.

Figure 5: Final fluoroscopic image showing PDA device in place after release.

Post Procedure

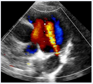
Postoperative transthoracic echocardiography confirmed the correct device position with no residual shunt across the device (Figure 6).

Figure 6 Post-procedure 2D echocardiography showing the PDA device in place.

Figure 6: Post-procedure 2D echocardiography showing the PDA device in place.

Patient recovery after procedure was uneventful. Patient was planned for BPV after one year of follow up and was discharged thereafter.

DISCUSSION

PDA is a common congenital heart disease (CHD) having a broad spectrum of clinical manifestation, varying from asymptomatic cardiac murmur to heart failure. PDA comprises 5 – 10 % of all CHDs. PDA is most commonly seen in females than males [1,2]. In advance cases PDA if not treated can cause heart failure and Eisenmenger syndrome [1]. Many studies have shown transcatheter device closure of PDA is superior to surgical closure as it is safe with high success rate and little morbidity when compared with surgical closure [1-4,7]. More over surgical closure of PDA is associated with complications like pneumothorax, bleeding and recurrent laryngeal nerve injury [4]. Surgical closure in adult can be challenging secondary to calcified ductus, left ventricular dysfunction, pulmonary artery hypertension [4]. Now a day’s surgical closure of PDA is restricted to cases with larger PDA, unsuitable anatomy like aneurysmal PDA [4]. Ductal Spasm occurs during repeated manipulation of wire is a well-known complication and can sometimes lead to procedural failure. Absence of murmur can confirm the diagnosis of ductal spasm [2]. PDA is considered to be small when it is < 1.5 mm, moderate when it ranges from 1.5 and 3 mm and large if its dimension is more than 3 mm [6]. If pulmonary vascular resistance is elevated, a large PDA may not exhibit significant left-to-right shunting. Instead, the presence of a right-to-left shunt suggests considerable pulmonary hypertension. In such cases, closing the ductus abruptly is not recommended, as it may lead to worsening right heart failure [3]. For larger defects ADO I device is preferred over ADO II which is preferred for small to medium sized defects. Transcatheter device closure is considered superior to coils [4,5]. When closing a PDA via catheter-based intervention, two primary approaches are used: antegrade and retrograde. Antegrade approach is through venous route and catheter is advanced from right atrium to right ventricle to pulmonary artery and crossing PDA and getting into descending aorta. In this approach device is delivered from pulmonary side. Retrograde approach is where catheter is advanced from arterial system inside descending aorta followed by crossing PDA and getting to pulmonary side. In this approach device is delivered from aortic side [4,7]. Snaring of guidewire is typically done in antegrade approach as the sheath is inserted through pulmonary side and it may be difficult to position delivery sheath correctly. Snaring can also help to facilitate smooth device, better stability, and better control during crossing of device through PDA [4,7]. Snaring of guidewire is useful in cases with smaller PDA, dilated MPA and in cases requiring more controlled and stable delivery system manipulation [2,4].

Challenges faced during closure of PDA in our case were:

  1. Dilated MPA: The dilated MPA did not provide sufficient support to our catheter for advancing the Terumo wire through the lesion, leading to repeated attempts to cross the defect.
  2. Ductal Spasm: The need of repeated manipulation to cross PDA resulted in ductal spasm.
  3. Underestimation of Device Size: The ductal spasm presented a risk of underestimating the device size required for closure.
  4. Larger Mullins Long Sheath: A larger-sized Mullins long sheath was selected to ensure incorporation of both device and double length terumo wire simultaneously.
  5. Wire and Device Positioning: The Terumo wire was reinstated prior to device positioning and snared across the defect to ensure access, even in the event of device size mismatch or failure to plug the device.

Hence, in this case we preferred antegrade approach to deal with situation, a larger size delivery system was used to incorporate both terumo wire and device into it, snaring of guidewire before positioning device over the defect to prevent recrossing of wire in this challenging condition and removing guidewire before final placement of device across PDA.

CONCLUSION

Closing a PDA through catheter-based methods can be more challenging when dealing with a small PDA, a dilated main pulmonary artery and complications like ductal spasm. In such complex cases, careful planning is essential. This includes a detailed assessment of the PDA size and shape, as well as choosing the right devices and techniques tailored to the patient’s specific anatomy. Being aware of potential issues, such as ductal spasm, and being prepared to adjust strategies as needed are crucial for a safe and effective PDA closure.

Munde K, Jain P, Kantak D, Kothari G, Munde A, et al. (2025) PDA Closure in the Presence of a Dilated Main Pulmonary Artery and Ductal Spasm: Importance of Proper Technique and Hardware Selection. J Cardiol Clin Res. 13(2): 1212.

Received : 20 Mar 2025
Accepted : 15 Apr 2025
Published : 18 Apr 2025
Journals
Annals of Otolaryngology and Rhinology
ISSN : 2379-948X
Launched : 2014
JSM Schizophrenia
Launched : 2016
Journal of Nausea
Launched : 2020
JSM Internal Medicine
Launched : 2016
JSM Hepatitis
Launched : 2016
JSM Oro Facial Surgeries
ISSN : 2578-3211
Launched : 2016
Journal of Human Nutrition and Food Science
ISSN : 2333-6706
Launched : 2013
JSM Regenerative Medicine and Bioengineering
ISSN : 2379-0490
Launched : 2013
JSM Spine
ISSN : 2578-3181
Launched : 2016
Archives of Palliative Care
ISSN : 2573-1165
Launched : 2016
JSM Nutritional Disorders
ISSN : 2578-3203
Launched : 2017
Annals of Neurodegenerative Disorders
ISSN : 2476-2032
Launched : 2016
Journal of Fever
ISSN : 2641-7782
Launched : 2017
JSM Bone Marrow Research
ISSN : 2578-3351
Launched : 2016
JSM Mathematics and Statistics
ISSN : 2578-3173
Launched : 2014
Journal of Autoimmunity and Research
ISSN : 2573-1173
Launched : 2014
JSM Arthritis
ISSN : 2475-9155
Launched : 2016
JSM Head and Neck Cancer-Cases and Reviews
ISSN : 2573-1610
Launched : 2016
JSM General Surgery Cases and Images
ISSN : 2573-1564
Launched : 2016
JSM Anatomy and Physiology
ISSN : 2573-1262
Launched : 2016
JSM Dental Surgery
ISSN : 2573-1548
Launched : 2016
Annals of Emergency Surgery
ISSN : 2573-1017
Launched : 2016
Annals of Mens Health and Wellness
ISSN : 2641-7707
Launched : 2017
Journal of Preventive Medicine and Health Care
ISSN : 2576-0084
Launched : 2018
Journal of Chronic Diseases and Management
ISSN : 2573-1300
Launched : 2016
Annals of Vaccines and Immunization
ISSN : 2378-9379
Launched : 2014
JSM Heart Surgery Cases and Images
ISSN : 2578-3157
Launched : 2016
Annals of Reproductive Medicine and Treatment
ISSN : 2573-1092
Launched : 2016
JSM Brain Science
ISSN : 2573-1289
Launched : 2016
JSM Biomarkers
ISSN : 2578-3815
Launched : 2014
JSM Biology
ISSN : 2475-9392
Launched : 2016
Archives of Stem Cell and Research
ISSN : 2578-3580
Launched : 2014
Annals of Clinical and Medical Microbiology
ISSN : 2578-3629
Launched : 2014
JSM Pediatric Surgery
ISSN : 2578-3149
Launched : 2017
Journal of Memory Disorder and Rehabilitation
ISSN : 2578-319X
Launched : 2016
JSM Tropical Medicine and Research
ISSN : 2578-3165
Launched : 2016
JSM Head and Face Medicine
ISSN : 2578-3793
Launched : 2016
JSM Cardiothoracic Surgery
ISSN : 2573-1297
Launched : 2016
JSM Bone and Joint Diseases
ISSN : 2578-3351
Launched : 2017
JSM Bioavailability and Bioequivalence
ISSN : 2641-7812
Launched : 2017
JSM Atherosclerosis
ISSN : 2573-1270
Launched : 2016
Journal of Genitourinary Disorders
ISSN : 2641-7790
Launched : 2017
Journal of Fractures and Sprains
ISSN : 2578-3831
Launched : 2016
Journal of Autism and Epilepsy
ISSN : 2641-7774
Launched : 2016
Annals of Marine Biology and Research
ISSN : 2573-105X
Launched : 2014
JSM Health Education & Primary Health Care
ISSN : 2578-3777
Launched : 2016
JSM Communication Disorders
ISSN : 2578-3807
Launched : 2016
Annals of Musculoskeletal Disorders
ISSN : 2578-3599
Launched : 2016
Annals of Virology and Research
ISSN : 2573-1122
Launched : 2014
JSM Renal Medicine
ISSN : 2573-1637
Launched : 2016
Journal of Muscle Health
ISSN : 2578-3823
Launched : 2016
JSM Genetics and Genomics
ISSN : 2334-1823
Launched : 2013
JSM Anxiety and Depression
ISSN : 2475-9139
Launched : 2016
Clinical Journal of Heart Diseases
ISSN : 2641-7766
Launched : 2016
Annals of Medicinal Chemistry and Research
ISSN : 2378-9336
Launched : 2014
JSM Pain and Management
ISSN : 2578-3378
Launched : 2016
JSM Women's Health
ISSN : 2578-3696
Launched : 2016
Clinical Research in HIV or AIDS
ISSN : 2374-0094
Launched : 2013
Journal of Endocrinology, Diabetes and Obesity
ISSN : 2333-6692
Launched : 2013
Journal of Substance Abuse and Alcoholism
ISSN : 2373-9363
Launched : 2013
JSM Neurosurgery and Spine
ISSN : 2373-9479
Launched : 2013
Journal of Liver and Clinical Research
ISSN : 2379-0830
Launched : 2014
Journal of Drug Design and Research
ISSN : 2379-089X
Launched : 2014
JSM Clinical Oncology and Research
ISSN : 2373-938X
Launched : 2013
JSM Bioinformatics, Genomics and Proteomics
ISSN : 2576-1102
Launched : 2014
JSM Chemistry
ISSN : 2334-1831
Launched : 2013
Journal of Trauma and Care
ISSN : 2573-1246
Launched : 2014
JSM Surgical Oncology and Research
ISSN : 2578-3688
Launched : 2016
Annals of Food Processing and Preservation
ISSN : 2573-1033
Launched : 2016
Journal of Radiology and Radiation Therapy
ISSN : 2333-7095
Launched : 2013
JSM Physical Medicine and Rehabilitation
ISSN : 2578-3572
Launched : 2016
Annals of Clinical Pathology
ISSN : 2373-9282
Launched : 2013
Annals of Cardiovascular Diseases
ISSN : 2641-7731
Launched : 2016
Journal of Behavior
ISSN : 2576-0076
Launched : 2016
Annals of Clinical and Experimental Metabolism
ISSN : 2572-2492
Launched : 2016
Clinical Research in Infectious Diseases
ISSN : 2379-0636
Launched : 2013
JSM Microbiology
ISSN : 2333-6455
Launched : 2013
Journal of Urology and Research
ISSN : 2379-951X
Launched : 2014
Journal of Family Medicine and Community Health
ISSN : 2379-0547
Launched : 2013
Annals of Pregnancy and Care
ISSN : 2578-336X
Launched : 2017
JSM Cell and Developmental Biology
ISSN : 2379-061X
Launched : 2013
Annals of Aquaculture and Research
ISSN : 2379-0881
Launched : 2014
Clinical Research in Pulmonology
ISSN : 2333-6625
Launched : 2013
Journal of Immunology and Clinical Research
ISSN : 2333-6714
Launched : 2013
Annals of Forensic Research and Analysis
ISSN : 2378-9476
Launched : 2014
JSM Biochemistry and Molecular Biology
ISSN : 2333-7109
Launched : 2013
Annals of Breast Cancer Research
ISSN : 2641-7685
Launched : 2016
Annals of Gerontology and Geriatric Research
ISSN : 2378-9409
Launched : 2014
Journal of Sleep Medicine and Disorders
ISSN : 2379-0822
Launched : 2014
JSM Burns and Trauma
ISSN : 2475-9406
Launched : 2016
Chemical Engineering and Process Techniques
ISSN : 2333-6633
Launched : 2013
Annals of Clinical Cytology and Pathology
ISSN : 2475-9430
Launched : 2014
JSM Allergy and Asthma
ISSN : 2573-1254
Launched : 2016
Journal of Neurological Disorders and Stroke
ISSN : 2334-2307
Launched : 2013
Annals of Sports Medicine and Research
ISSN : 2379-0571
Launched : 2014
JSM Sexual Medicine
ISSN : 2578-3718
Launched : 2016
Annals of Vascular Medicine and Research
ISSN : 2378-9344
Launched : 2014
JSM Biotechnology and Biomedical Engineering
ISSN : 2333-7117
Launched : 2013
Journal of Hematology and Transfusion
ISSN : 2333-6684
Launched : 2013
JSM Environmental Science and Ecology
ISSN : 2333-7141
Launched : 2013
JSM Nanotechnology and Nanomedicine
ISSN : 2334-1815
Launched : 2013
Journal of Ear, Nose and Throat Disorders
ISSN : 2475-9473
Launched : 2016
JSM Ophthalmology
ISSN : 2333-6447
Launched : 2013
Journal of Pharmacology and Clinical Toxicology
ISSN : 2333-7079
Launched : 2013
Annals of Psychiatry and Mental Health
ISSN : 2374-0124
Launched : 2013
Medical Journal of Obstetrics and Gynecology
ISSN : 2333-6439
Launched : 2013
Annals of Pediatrics and Child Health
ISSN : 2373-9312
Launched : 2013
JSM Clinical Pharmaceutics
ISSN : 2379-9498
Launched : 2014
JSM Foot and Ankle
ISSN : 2475-9112
Launched : 2016
JSM Alzheimer's Disease and Related Dementia
ISSN : 2378-9565
Launched : 2014
Journal of Addiction Medicine and Therapy
ISSN : 2333-665X
Launched : 2013
Journal of Veterinary Medicine and Research
ISSN : 2378-931X
Launched : 2013
Annals of Public Health and Research
ISSN : 2378-9328
Launched : 2014
Annals of Orthopedics and Rheumatology
ISSN : 2373-9290
Launched : 2013
Journal of Clinical Nephrology and Research
ISSN : 2379-0652
Launched : 2014
Annals of Community Medicine and Practice
ISSN : 2475-9465
Launched : 2014
Annals of Biometrics and Biostatistics
ISSN : 2374-0116
Launched : 2013
JSM Clinical Case Reports
ISSN : 2373-9819
Launched : 2013
Journal of Cancer Biology and Research
ISSN : 2373-9436
Launched : 2013
Journal of Surgery and Transplantation Science
ISSN : 2379-0911
Launched : 2013
Journal of Dermatology and Clinical Research
ISSN : 2373-9371
Launched : 2013
JSM Gastroenterology and Hepatology
ISSN : 2373-9487
Launched : 2013
Annals of Nursing and Practice
ISSN : 2379-9501
Launched : 2014
JSM Dentistry
ISSN : 2333-7133
Launched : 2013
Author Information X