Loading

Journal of Cardiology and Clinical Research

Neurogenic Stunned Myocardium - A Case Report

Case Report | Open Access | Volume 1`3 | Issue 3
Article DOI :

  • 1. Division of Adult Cardiology, Sheikh Khalifa Medical City, Abu Dhabhi, United Arab Emirates
  • 2. Division of Internal Medicine, Sheikh Khalifa Medical City, Abu Dhabhi, United Arab Emirates
  • 3. Division of Pediatric Cardiac Surgery, Sheikh Khalifa Medical City, Abu Dhabhi, United Arab Emirates
+ Show More - Show Less
Corresponding Authors
Neerod Kumar Jha, Division of Pediatric Cardiac Surgery, Sheikh Khalifa Medical City, PO BOX 768010, Abu Dhabi, UAE, Tel: 971-506107532
Abstract

Neurogenic Stunned Myocardium (NSM) refers to transient cardiac abnormalities, including electrocardiographic changes, that occur following acute neurological events such as stroke or subarachnoid hemorrhage. These presentations can closely mimic acute myocardial infarction, often with normal coronary angiography findings. We report the case of a 51-year-old male who presented with a subarachnoid hemorrhage secondary to methamphetamine intoxication. The patient exhibited ECG changes suggestive of myocardial ischemia, but no evidence of obstructive coronary artery disease was found. His condition deteriorated rapidly. This case highlights the rare and under-recognized phenomenon of NSM, emphasizing the importance of distinguishing it from primary cardiac pathology. In settings where immediate coronary intervention is unavailable or when the diagnosis of myocardial infarction is uncertain, a comprehensive systemic evaluation including detailed history-taking, ECG, toxicology screening, and both coronary and neuroimaging is essential to identify alternative causes and guide appropriate management.

Keywords

• Sub arachnoid hemorrhage; Myocardium, Ischemia; Electrocardiogram; Stroke; Methamphetamine; Toxicity; Troponin.

Citation

Ahmed HA, Elmahi M, Jha NK (2025) Neurogenic Stunned Myocardium - A Case Report. J Cardiol Clin Res. 13(3): 1217.

INTRODUCTION

Neurogenic Stunned Myocardium (NSM) or neurogenic cardiac ECG (electrocardiogram) syndrome, refers to cardiac abnormalities, including ECG changes, that occur following a neurological event like a stroke or subarachnoid hemorrhage. These changes are caused by dysregulation of the autonomic nervous system and excess release of catecholamines, leading to myocardial injuries [1]. We are presenting herewith a 51-year-old male patient who presented with acute stroke (sub arachnoid hemorrhage) as a result of Methamphetamine (meth) intoxication leading to ECG changes without evidence of myocardial ischemia and deteriorated quickly. The case presentation, etiology, pathophysiology and relevant literature is being discussed due to rarity of this condition for educational and learning purposes.

CASE PRESENTATION

A 51-year-old, male patient was brought to the emergency by ambulance after he experienced a collapse while drinking alcohol in a party. History suggested that he was a chronic smoker. Upon arrival, he went to asystole for a brief period and successful cardiopulmonary resuscitation was done by ambulance crew on the spot. He could achieve return of spontaneous circulation (ROSC) after 2-cycles of CPRs (cardiopulmonary resuscitation). Endotracheal intubation, intravenous fluid administration was initiated along with inotropic support. Blood samples were taken for analysis.The initial ECG after ROSC in the emergency department showed ‘ST’elevation in leads I, AVR and AVL with ‘ST ‘depression in anterior and inferior leads (Figure 1). In view of these changes, he was taken directly to cardiac angiography suit and a coronary angiography was done. Surprisingly, the coronary angiogram showed no abnormalities.In the absence of significant coronary artery disease, it was decided to investigate other causes of abnormal ECG. It included sampling for electrolyte, sugar, metabolic, alcohol, infection and toxins including methamphetamine and benzodiazepine in the blood and urine. The patient family confirmed that there was no previous history of any medical illness or medications.After the ROSC, the patient was unconscious with blood pressure of 110 mm Hg. The heart rate was 83 per minute with regular rhythm. He was intubated and on ventilator. Minimal inotropic support was required.

Figure 1: Electrocardiogram on admission showing ST- elevation in the leads I, AVL, AVR and ST- depression in all other leads including anterior leads.

https://www.jscimedcentral.com/public/assets/images/uploads/image-1762835025-1.JPG

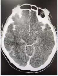
There was no evidence of external injuries. The blood tests showed Troponin T of 314 ng/dl and was significantly elevated. Creatinine, electrolyte, urea, hemoglobin, sugar and blood counts were normal. A toxicology screening was found to be positive for meth (cut-off level 500ng/ml) and benzodiazepine (cut-off level 200ng/ml) in the urine sample. The blood alcohol level was 2.2 mmol/L. The blood culture for bacteria, fugus and various virus panels was negative. The brain CT showed massive supra and infra tentorial subarachnoid hemorrhage (SAH) with extension into the ventricles without dilatation (Figure 2).

Figure 2: Computer Tomogram Head showing grade 4 sub arachnoid hemorrhage in the brain.

https://www.jscimedcentral.com/public/assets/images/uploads/image-1762835173-1.JPG

There was no evidence of head injury or cerebral ischemic stroke. Intensive care management was continued for his critical condition and despite efforts and supportive measures, he passed away on day 3.

DISCUSSION

Although the ECG is an essential diagnostic test for patients with possible or established myocardial ischemia, it may be normal or associated with non-specific changes in such condition. Surprisingly, sometimes, ECG abnormalities that appear to represent myocardial ischemia or infarction may be related to other etiologies [2]. One such condition is stroke. It is likely mediated by the autonomic nervous system response, particularly secondary to subarachnoid hemorrhage. These changes include QT prolongation, T wave abnormalities, ST segment elevation, and aberrant Q waves An episode of cardiac arrest can further initiates ECG or enzymatic changes [3]. Other ECG changes in stroke may be present in the form of tachy or bradyarrhythmia including various types of heart blocks. Myocardial injury in these cases is most likely the result of a centrally mediated release of catecholamines caused by stroke-related brain injury. This type of cardiac injury is similar to stress cardiomyopathy characterized by transient regional systolic dysfunction of the left ventricle, mimicking myocardial infarction, but in the absence of angiographic evidence of obstructive coronary artery disease or acute plaque rupture [4].Cardiac myofibrillar degeneration has been described in patients who die from acute stroke, and is histologically identical to the cardiac lesions of catecholamine infusion. Myofibrillar degeneration occurs in the vicinity of the cardiac nerves, and not in the macrovascular distribution seen in patients with coronary disease The lesion also differs from the necrosis seen in coronary disease because it is visible within minutes of onset, and the cells die in a hypercontracted state with contraction bands, associated mononuclear infiltration, and early calcification [4].Similarly, an abnormal cardiac troponin level can also be seen in a variety of other diseases including acute stroke. An elevation of troponin and other cardiac enzymes after acute stroke may be related to stroke-induced autonomic dysfunction or other types of nonischemic myocardial injuries (5). Patients with acute ischemic stroke and elevated cardiac troponin have worse functional and mortality-related outcome. While elevated troponin is also frequently observed in patients with intracerebral hemorrhage (ICH), routine invasive coronary angiography should not be performed on these patients [5].Methamphetamine, is a potent and addictive central nervous system stimulant. In clinical practice, it is used to treat attention deficit hyperactivity disorder and obesity. However, it is a controlled medication and known as recreational drug due to the fact that it creates sense of excitement and stimulation and many people get addicted to it. It is also known to cause severe cardiovascular and neurological complications which may have been a significant contributing factor in our patient. The subarachnoid or intracranial hemorrhage may occur due to prolonged use or overdose of meth. The mechanism of hemorrhage is related to hypertensive surge, vasoconstriction, breakdown of blood brain barrier, vasculitis, aneurysm formation and rupture [6]. A synergistic toxicity of alcohol, benzodiazepine and methamphetamine could be lethal. Of the many adverse effects of meth use, hemorrhagic stroke is one of the best described and most devastating entity. A recent review has found that over 80% of case reports and series on meth-related strokes were hemorrhagic. The meth also increases the likelihood of ICH by as much as 2–5 times.The incidence of SAH among meth users is likely less than ICH [6].ossibly, a combination of drug abuse; particularly meth, benzodiazepine and alcohol, resulting in the SAH leading to cardiac dysfunction and arrest, led to a poor prognosis and untimely death of our patient. In this case, administering dual antiplatelet therapy and thrombolytic therapy could have exacerbated bleeding and catastrophic. The learning from our case presentation is that a thorough history, physical examination and evaluation of non- cardiac etiologies are mandatory in cases where coronary angiogram is normal but ECG changes are present in association with myocardial dysfunction.

CONCLUSION

Sub arachnoid hemorrhage can sometimes present with symptoms that mimic acute myocardial infarction, particularly when there are concurrent risk factors like drug use (methamphetamine), or sub arachnoid hemorrhage and both can cause cardiac and neurological manifestations.This presents a diagnostic challenge, as the clinical presentation might resemble a cardiac event, but underlaying cause could be different and uncommon. In a situation where primary coronary intervention is not available or the diagnosis of myocardial infarction is uncertain, it is crucial to perform a thorough systemic examination, including a detailed history, ECG, evaluation of drug toxicity, coronary and neuro imaging to rule out other potential causes of the symptoms.

Received : 20 Aug 2025
Accepted : 13 Sep 2025
Published : 15 Sep 2025
Journals
Annals of Otolaryngology and Rhinology
ISSN : 2379-948X
Launched : 2014
JSM Schizophrenia
Launched : 2016
Journal of Nausea
Launched : 2020
JSM Internal Medicine
Launched : 2016
JSM Hepatitis
Launched : 2016
JSM Oro Facial Surgeries
ISSN : 2578-3211
Launched : 2016
Journal of Human Nutrition and Food Science
ISSN : 2333-6706
Launched : 2013
JSM Regenerative Medicine and Bioengineering
ISSN : 2379-0490
Launched : 2013
JSM Spine
ISSN : 2578-3181
Launched : 2016
Archives of Palliative Care
ISSN : 2573-1165
Launched : 2016
JSM Nutritional Disorders
ISSN : 2578-3203
Launched : 2017
Annals of Neurodegenerative Disorders
ISSN : 2476-2032
Launched : 2016
Journal of Fever
ISSN : 2641-7782
Launched : 2017
JSM Bone Marrow Research
ISSN : 2578-3351
Launched : 2016
JSM Mathematics and Statistics
ISSN : 2578-3173
Launched : 2014
Journal of Autoimmunity and Research
ISSN : 2573-1173
Launched : 2014
JSM Arthritis
ISSN : 2475-9155
Launched : 2016
JSM Head and Neck Cancer-Cases and Reviews
ISSN : 2573-1610
Launched : 2016
JSM General Surgery Cases and Images
ISSN : 2573-1564
Launched : 2016
JSM Anatomy and Physiology
ISSN : 2573-1262
Launched : 2016
JSM Dental Surgery
ISSN : 2573-1548
Launched : 2016
Annals of Emergency Surgery
ISSN : 2573-1017
Launched : 2016
Annals of Mens Health and Wellness
ISSN : 2641-7707
Launched : 2017
Journal of Preventive Medicine and Health Care
ISSN : 2576-0084
Launched : 2018
Journal of Chronic Diseases and Management
ISSN : 2573-1300
Launched : 2016
Annals of Vaccines and Immunization
ISSN : 2378-9379
Launched : 2014
JSM Heart Surgery Cases and Images
ISSN : 2578-3157
Launched : 2016
Annals of Reproductive Medicine and Treatment
ISSN : 2573-1092
Launched : 2016
JSM Brain Science
ISSN : 2573-1289
Launched : 2016
JSM Biomarkers
ISSN : 2578-3815
Launched : 2014
JSM Biology
ISSN : 2475-9392
Launched : 2016
Archives of Stem Cell and Research
ISSN : 2578-3580
Launched : 2014
Annals of Clinical and Medical Microbiology
ISSN : 2578-3629
Launched : 2014
JSM Pediatric Surgery
ISSN : 2578-3149
Launched : 2017
Journal of Memory Disorder and Rehabilitation
ISSN : 2578-319X
Launched : 2016
JSM Tropical Medicine and Research
ISSN : 2578-3165
Launched : 2016
JSM Head and Face Medicine
ISSN : 2578-3793
Launched : 2016
JSM Cardiothoracic Surgery
ISSN : 2573-1297
Launched : 2016
JSM Bone and Joint Diseases
ISSN : 2578-3351
Launched : 2017
JSM Bioavailability and Bioequivalence
ISSN : 2641-7812
Launched : 2017
JSM Atherosclerosis
ISSN : 2573-1270
Launched : 2016
Journal of Genitourinary Disorders
ISSN : 2641-7790
Launched : 2017
Journal of Fractures and Sprains
ISSN : 2578-3831
Launched : 2016
Journal of Autism and Epilepsy
ISSN : 2641-7774
Launched : 2016
Annals of Marine Biology and Research
ISSN : 2573-105X
Launched : 2014
JSM Health Education & Primary Health Care
ISSN : 2578-3777
Launched : 2016
JSM Communication Disorders
ISSN : 2578-3807
Launched : 2016
Annals of Musculoskeletal Disorders
ISSN : 2578-3599
Launched : 2016
Annals of Virology and Research
ISSN : 2573-1122
Launched : 2014
JSM Renal Medicine
ISSN : 2573-1637
Launched : 2016
Journal of Muscle Health
ISSN : 2578-3823
Launched : 2016
JSM Genetics and Genomics
ISSN : 2334-1823
Launched : 2013
JSM Anxiety and Depression
ISSN : 2475-9139
Launched : 2016
Clinical Journal of Heart Diseases
ISSN : 2641-7766
Launched : 2016
Annals of Medicinal Chemistry and Research
ISSN : 2378-9336
Launched : 2014
JSM Pain and Management
ISSN : 2578-3378
Launched : 2016
JSM Women's Health
ISSN : 2578-3696
Launched : 2016
Clinical Research in HIV or AIDS
ISSN : 2374-0094
Launched : 2013
Journal of Endocrinology, Diabetes and Obesity
ISSN : 2333-6692
Launched : 2013
Journal of Substance Abuse and Alcoholism
ISSN : 2373-9363
Launched : 2013
JSM Neurosurgery and Spine
ISSN : 2373-9479
Launched : 2013
Journal of Liver and Clinical Research
ISSN : 2379-0830
Launched : 2014
Journal of Drug Design and Research
ISSN : 2379-089X
Launched : 2014
JSM Clinical Oncology and Research
ISSN : 2373-938X
Launched : 2013
JSM Bioinformatics, Genomics and Proteomics
ISSN : 2576-1102
Launched : 2014
JSM Chemistry
ISSN : 2334-1831
Launched : 2013
Journal of Trauma and Care
ISSN : 2573-1246
Launched : 2014
JSM Surgical Oncology and Research
ISSN : 2578-3688
Launched : 2016
Annals of Food Processing and Preservation
ISSN : 2573-1033
Launched : 2016
Journal of Radiology and Radiation Therapy
ISSN : 2333-7095
Launched : 2013
JSM Physical Medicine and Rehabilitation
ISSN : 2578-3572
Launched : 2016
Annals of Clinical Pathology
ISSN : 2373-9282
Launched : 2013
Annals of Cardiovascular Diseases
ISSN : 2641-7731
Launched : 2016
Journal of Behavior
ISSN : 2576-0076
Launched : 2016
Annals of Clinical and Experimental Metabolism
ISSN : 2572-2492
Launched : 2016
Clinical Research in Infectious Diseases
ISSN : 2379-0636
Launched : 2013
JSM Microbiology
ISSN : 2333-6455
Launched : 2013
Journal of Urology and Research
ISSN : 2379-951X
Launched : 2014
Journal of Family Medicine and Community Health
ISSN : 2379-0547
Launched : 2013
Annals of Pregnancy and Care
ISSN : 2578-336X
Launched : 2017
JSM Cell and Developmental Biology
ISSN : 2379-061X
Launched : 2013
Annals of Aquaculture and Research
ISSN : 2379-0881
Launched : 2014
Clinical Research in Pulmonology
ISSN : 2333-6625
Launched : 2013
Journal of Immunology and Clinical Research
ISSN : 2333-6714
Launched : 2013
Annals of Forensic Research and Analysis
ISSN : 2378-9476
Launched : 2014
JSM Biochemistry and Molecular Biology
ISSN : 2333-7109
Launched : 2013
Annals of Breast Cancer Research
ISSN : 2641-7685
Launched : 2016
Annals of Gerontology and Geriatric Research
ISSN : 2378-9409
Launched : 2014
Journal of Sleep Medicine and Disorders
ISSN : 2379-0822
Launched : 2014
JSM Burns and Trauma
ISSN : 2475-9406
Launched : 2016
Chemical Engineering and Process Techniques
ISSN : 2333-6633
Launched : 2013
Annals of Clinical Cytology and Pathology
ISSN : 2475-9430
Launched : 2014
JSM Allergy and Asthma
ISSN : 2573-1254
Launched : 2016
Journal of Neurological Disorders and Stroke
ISSN : 2334-2307
Launched : 2013
Annals of Sports Medicine and Research
ISSN : 2379-0571
Launched : 2014
JSM Sexual Medicine
ISSN : 2578-3718
Launched : 2016
Annals of Vascular Medicine and Research
ISSN : 2378-9344
Launched : 2014
JSM Biotechnology and Biomedical Engineering
ISSN : 2333-7117
Launched : 2013
Journal of Hematology and Transfusion
ISSN : 2333-6684
Launched : 2013
JSM Environmental Science and Ecology
ISSN : 2333-7141
Launched : 2013
JSM Nanotechnology and Nanomedicine
ISSN : 2334-1815
Launched : 2013
Journal of Ear, Nose and Throat Disorders
ISSN : 2475-9473
Launched : 2016
JSM Ophthalmology
ISSN : 2333-6447
Launched : 2013
Journal of Pharmacology and Clinical Toxicology
ISSN : 2333-7079
Launched : 2013
Annals of Psychiatry and Mental Health
ISSN : 2374-0124
Launched : 2013
Medical Journal of Obstetrics and Gynecology
ISSN : 2333-6439
Launched : 2013
Annals of Pediatrics and Child Health
ISSN : 2373-9312
Launched : 2013
JSM Clinical Pharmaceutics
ISSN : 2379-9498
Launched : 2014
JSM Foot and Ankle
ISSN : 2475-9112
Launched : 2016
JSM Alzheimer's Disease and Related Dementia
ISSN : 2378-9565
Launched : 2014
Journal of Addiction Medicine and Therapy
ISSN : 2333-665X
Launched : 2013
Journal of Veterinary Medicine and Research
ISSN : 2378-931X
Launched : 2013
Annals of Public Health and Research
ISSN : 2378-9328
Launched : 2014
Annals of Orthopedics and Rheumatology
ISSN : 2373-9290
Launched : 2013
Journal of Clinical Nephrology and Research
ISSN : 2379-0652
Launched : 2014
Annals of Community Medicine and Practice
ISSN : 2475-9465
Launched : 2014
Annals of Biometrics and Biostatistics
ISSN : 2374-0116
Launched : 2013
JSM Clinical Case Reports
ISSN : 2373-9819
Launched : 2013
Journal of Cancer Biology and Research
ISSN : 2373-9436
Launched : 2013
Journal of Surgery and Transplantation Science
ISSN : 2379-0911
Launched : 2013
Journal of Dermatology and Clinical Research
ISSN : 2373-9371
Launched : 2013
JSM Gastroenterology and Hepatology
ISSN : 2373-9487
Launched : 2013
Annals of Nursing and Practice
ISSN : 2379-9501
Launched : 2014
JSM Dentistry
ISSN : 2333-7133
Launched : 2013
Author Information X