Loading

Journal of Clinical Nephrology and Research

Membranous Nephropathy Associated with Eosinophilic Gastroenteritis: First Report

Case Report | Open Access | Volume 1 | Issue 2

  • 1. Departmental Section of Immune-Mediated Nephropathies, Azienda OspedalieroUniversitaria Pisa, Italy
  • 2. Department of Pathology, University of Pisa, Italy
  • 3. Department of Translational Research and New Technologies in Medicine and Surgery, University of Pisa, Italy
  • 4. Internal Medicine Unit 2, Pontedera, Italy
+ Show More - Show Less
Corresponding Authors
Antonio Pasquariello, Departmental Section of Immune-Mediated Nephropathies, AOUP, Via Paradisa 2, 56124 Pisa, Italy; Tel:+39-050-997274; Fax:+39-050997285
Abstract

Membranous nephropathy represents the most common cause of nephrotic syndrome in adult patients. In 85% of cases the disease is classified as idiopathic membranous nephropathy, and in the remainder 15 % as secondary membranous nephropathy (systemic lupus erythematosus, infections, drugs, tumors, inorganics salts). Treatment of secondary membranous nephropathy is guided by therapy of the original disease, or by elimination of the responsible cause. Eosinophilic gastroenteritis is a rare uncommon disease of unknown origin affecting the gastrointestinal apparatus and is characterized by diffuse eosinophilic infiltration of the gastro-enteric wall. Any segment of gastrointestinal tract can be interested, but the stomach results to be the most commonly affected organ, followed by the small intestine and the colon. The diagnosis is based on the presence of gastrointestinal symptoms, documented eosinophilic gut infiltration and the exclusion of intestinal parasites or extraintestinal disease. To date there are no randomized prospective therapeutic trials. The mainstay of treatment is represented by use of corticosteroids (with 90% of remission rate in some reports). We describe for the first time the case of a 43-year-old man affected by eosinophilic gastroenteritis who developed a nephrotic syndrome due to membranous nephropathy after he voluntarily stopped the steroidal oral therapy. Reintroduction of corticosteroid treatment led to the complete remission of the nephrotic syndrome within 6 months treatment.   

Keywords
  • Eosinophilic enteritis
  • Nephrotic syndrome
  • Secondary membranous nephropathy
  • Steroidal treatment
CITATION

Pasquariello G, Campani D, Faviana P, Pollina L, Masini M, et al. (2014) Membranous Nephropathy Associated with Eosinophilic Gastroenteritis: First Report. J Clin Nephrol Res 1(2): 1009.

ABBREVIATIONS

MN: Membranous nephropathy; IMN: Idiopathic membranous nephropathy; EG: Eosinophilic gastroenteritis.

INTRODUCTION

Membranous (MN) is the most common glomerular disease associated with nephrotic syndrome in adult subjects [1]. In 85% of cases the disease is classified as primary or idiopathic (IMN), and in the remainder 15 % as secondary MN. Recently the idiopathic form of this glomerulopathy resulted to be an autoimmune illness due to the presence of autoantibodies of the IgG4 subclass, against some podocyte antigens [2]. The secondary causes of MN are represented by bacterial and viral infections, drugs, autoimmune diseases, malignancies, diabetes mellitus etc [3]. Treatment of secondary membranous nephropathy is guided by the therapy of the original disease, or by the elimination of the responsible cause. Eosinophilic gastroenteritis (EG) is an exstremely rare and heterogeneous disorder of unknown origin affecting the gastrointestinal apparatus and is characterized by diffuse eosinophilic infiltration of the gastro-enteric wall. This uncommon inflammatory disease was first described by Kaijser in 1937 [4]. At present there are no randomized prospective therapeutic trials. Corticosteroids are the most frequently used therapy for EG [5].

CASE PRESENTATION

In April 2004 a 34-year-old man was admitted to an Emergency Surgical Unit for the clinical suspicion of acute abdomen. Computed tomography scan showed diffuse thickening of the small bowel and of the pyloric antrum associated with mesenteric lymphadenitis and ascites. An emergency laparotomy was performed revealing signs of acute diffuse sero-hemorrhagic peritonitis and serohaemorrhagic ascites. Laboratory tests revealed eosinophilia (30%). Multiple gastric biopsies revealed eosinophilic gastritis with negative helicobacter pylori test. In December 2004 the patient was admitted to a Gastroenterology Unit because of abdominal pain and diarrhea. Colonoscopic examination associated with mucosal biopsies of the colon and the ileum demonstrated a picture of eosinophilic enteritis with an abundant dense eosinophilic infiltration of the mucosa layer and the presence of lymphocytes (Figure 1).

Photomicrograph of a small bowel biopsy specimen evidencing abundant eosinophilic infiltration of the mucosa layer and the presence of lymphocytes. (H&E, X 400).

Figure 1: Photomicrograph of a small bowel biopsy specimen evidencing abundant eosinophilic infiltration of the mucosa layer and the presence of lymphocytes. (H&E, X 400).

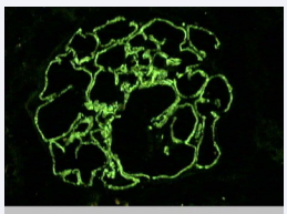
Laboratory tests revealed eosinophilia (22%). In March 2009 the patient underwent a new endoscopic control with repeated small gut biopsies confirming the diagnosis of EG. Successively the disease became corticosteroid-dependent. In May 2013 at age of 43 the patient was referred to the Nephrology Unit for nephrotic syndrome. In January 2014, he noticed progressive oedema in the lower limbs with mild asthenia. Physical examination confirmed the presence of oedema localized in the ankles. Laboratory investigation demonstrated a normal serum creatinine level of 0.8 mg/dl; creatinine clearance was 119 ml/ min, total serum proteins 4.7 g/dl, serum albumin level of 2.9 g/dl. Urine analysis showed proteinuria without haematuria or leukocyturia. Complement levels (C3, C4), white blood cell count, red blood count, hematocrit and platelet count were normal. Anti-nuclear antibodies, cryoglobulins, HCV Ab, HBsAg and tumor markers resulted negative. Immunofixation revealed no monoclonal gammopathy. Urine immunoelectrophoresis showed non-selective proteinuria. Lymphoproliferative disorders were excluded. Renal ultrasound examination demonstrated bilateral normal size, with no abnormalities of the renal parenchyma. The patient underwent a real-time ultrasound-guided left kidney biopsy. Light microscopy showed 25 normal sized glomeruli with very slight diffuse thickening of the capillary walls and slight segmental increase of the mesangial matrix. No significant tubular interstitial or vascular lesions were present except for tubular hyaline droplets. Immunofluorescence study showed the presence of diffuse, finely granular deposits of IgG along the peripheral capillary loops (Figure. 2).

Immunofluorescence microscopy showing a glomerulus with diffuse finely granular peripheral capillary loop deposits of IgG. (X400).

Figure 2: Immunofluorescence microscopy showing a glomerulus with diffuse finely granular peripheral capillary loop deposits of IgG. (X400).

Electron microscopy confirmed the presence of numerous electron-dense deposits on the subepithelial side of the basement membrane. A diagnosis of stage I membranous nephropathy was made.

TREATMENT

The patient was treated with 1g intravenous methylprednisolone for three alternate days, followed by oral prednisone administration 0.5 mg/kg per day for 4 months tapered to 12.5 mg per day for two additional months and successively reduced to 10 mg per day and continued until now.

RESULTS

During follow-up proteinuria decreased progressively until reaching normal values with contemporary normalization of albuminemia and proteinemia. After six months steroidal treatment, the nephrotic syndrome disappeared completely with absence of peripheral oedema. Urine examination gave normal results and 24-hour protein excretion under 200 mg/dl. One year after low oral dosage of steroidal therapy the patient’s clinical gastrointestinal and nephrological conditions are satisfactory with stable body weight, and persistent disappearance of proteinuria.

DISCUSSION

MN represents the most common glomerular disease associated with nephrotic syndrome in adult patients. In 85% of cases the disease is classified as primary or idiopathic MN (unknown origin or cause), and in the remainder 15 % as secondary MN. In the last 50 years numerous nephrologists and researchers have discussed about a possible autoimmune etiopathogetic cause of the idiopathic MN. Recently the idiopathic form of the disease resulted to be an autoimmune glomerulonephritis due to the presence of autoantibodies of the IgG4 subclass, against some podocyte antigens represented by the M-type phospholipase A2-receptor, manganese superoxide dismutase and aldose reductase, expressed in the podocytes of glomeruli in 70% of cases of patients affected by this disease. The secondary causes of membranous nephropathy include infections such as hepatitis B and C, tuberculosis, syphilis, malaria, leprosy; autoimmune and not autoimmune diseases (SLE, rheumatoid arthritis, Sjogren syndrome, Hashimoto’s disease, diabetes mellitus, sickle cell disease), drugs such as gold salts, penicillamine, captopril, nonsteroidal anti-inflammatory agents; malignancies (cancer of the colon, breast, lung etc).

Treatment of secondary membranous nephropathy is guided by the therapy of the original disease, or by the elimination of the responsible cause. In EG any segment of gastrointestinal tract can be interested including the esophagus, but the stomach results to be the most commonly affected organ, followed by the small intestine and the colon. This uncommon disease can involve isolated biliary tract and other organs such as pancreas, liver and tissue outside the gastrointestinal tract [6,7]. The diagnosis is based on the presence of gastrointestinal symptoms, documented eosinophilic gut infiltration and the exclusion of intestinal parasites or extraintestinal disease. Corticosteroids represent the elective treatment of EG with a remission rate of 90% in some reports. The nephrotic syndrome in our patient appeared some months after he voluntarily stopped the steroidal therapy. The reintroduction of corticosteroids led to complete remission of the nephrotic syndrome within 6 months treatment. Therapy of IMN using corticosteroids alone has been used for many years with no evident good results. A meta-analysis of the published randomized trials demonstrated that therapeutical regimens based on steroids alone do not improve the remission rate if compared with symptomatic therapy [8]. Furthermore, many nephrologists believe that there is no evidence supporting the use of steroids as sole therapy in IMN [9,10]. In our case after a cycle treatment of six months, corticosteroids have been continued until now with prednisolone 10 mg/day with persistent absence of proteinuria and no gastrointestinal symptomatology relapse, thus confirming the relationship between EG and MN. To our knowledge, this the first report in literature describing a case of MN secondary to EG.

ACKNOWLEDGEMENT

The authors acknowledge Dr. Laura Cignoni for correcting the manuscript.

REFERENCES

1. Fervenza FC, Sethi S, Specks U. Idiopathic membranous nephropathy: diagnosis and treatment. Clin J Am Soc Nephrol. 2008; 3: 905-919.

2. Beck LH Jr, Bonegio RG, Lambeau G, Beck DM, Powell DW, Cummins TD, et al. M-type phospholipase A2 receptor as target antigen in idiopathic membranous nephropathy. N Engl J Med. 2009; 361: 11-21.

3. Hofstra JM, Wetzels FM: Management of patients with membranous nephropathy. Nephrol Dial Transplant. 2011; 0: 1-4.

4. Kaijser R. Zur Kenntnis der allergischen Affektionen des Verdauugkanals vom Standpunkt des Chirurgen aus. Arch Klin Chir. 1937; 188: 36-64.

5. Mori A, Enweluzo C, Grier D, Badireddy M. Eosinophilic gastroenteritis: review of a rare and treatable disease of the gastrointestinal tract. Case Rep Gastroenterol. 2013; 7: 293-298.

6. Polyak S, Smith TA, Mertz H. Eosinophilic gastroenteritis causing pancreatitis and pancreaticobiliary ductal dilation. Dig Dis Sci. 2002; 47: 1091-1095.

7. Christopher V, Thompson MH, Hughes S. Eosinophilic gastroenteritis mimicking pancreatic cancer. Postgrad Med J. 2002; 78: 498-499.

8. Hogan SL, Muller KE, Jennette JC, Falk RJ. A review of therapeutic studies of idiopathic membranous glomerulopathy. Am J Kidney Dis. 1995; 25: 862-875.

9. Cattran DC, Delmore T, Roscoe J, Cole E, Cardella C, Charron R, et al. A randomized controlled trial of prednisone in patients with idiopathic membranous nephropathy. N Engl J Med. 1989; 320: 210-215.

10. Muirhead N. Management of idiopathic membranous nephropathy: evidence-based recommendations. Kidney Int Suppl. 1999; 70: S47- 55.

 

Pasquariello G, Campani D, Faviana P, Pollina L, Masini M, et al. (2014) Membranous Nephropathy Associated with Eosinophilic Gastroenteritis: First Report. J Clin Nephrol Res 1(2): 1009.

Received : 30 Oct 2014
Accepted : 04 Nov 2014
Published : 05 Nov 2014
Journals
Annals of Otolaryngology and Rhinology
ISSN : 2379-948X
Launched : 2014
JSM Schizophrenia
Launched : 2016
Journal of Nausea
Launched : 2020
JSM Internal Medicine
Launched : 2016
JSM Hepatitis
Launched : 2016
JSM Oro Facial Surgeries
ISSN : 2578-3211
Launched : 2016
Journal of Human Nutrition and Food Science
ISSN : 2333-6706
Launched : 2013
JSM Regenerative Medicine and Bioengineering
ISSN : 2379-0490
Launched : 2013
JSM Spine
ISSN : 2578-3181
Launched : 2016
Archives of Palliative Care
ISSN : 2573-1165
Launched : 2016
JSM Nutritional Disorders
ISSN : 2578-3203
Launched : 2017
Annals of Neurodegenerative Disorders
ISSN : 2476-2032
Launched : 2016
Journal of Fever
ISSN : 2641-7782
Launched : 2017
JSM Bone Marrow Research
ISSN : 2578-3351
Launched : 2016
JSM Mathematics and Statistics
ISSN : 2578-3173
Launched : 2014
Journal of Autoimmunity and Research
ISSN : 2573-1173
Launched : 2014
JSM Arthritis
ISSN : 2475-9155
Launched : 2016
JSM Head and Neck Cancer-Cases and Reviews
ISSN : 2573-1610
Launched : 2016
JSM General Surgery Cases and Images
ISSN : 2573-1564
Launched : 2016
JSM Anatomy and Physiology
ISSN : 2573-1262
Launched : 2016
JSM Dental Surgery
ISSN : 2573-1548
Launched : 2016
Annals of Emergency Surgery
ISSN : 2573-1017
Launched : 2016
Annals of Mens Health and Wellness
ISSN : 2641-7707
Launched : 2017
Journal of Preventive Medicine and Health Care
ISSN : 2576-0084
Launched : 2018
Journal of Chronic Diseases and Management
ISSN : 2573-1300
Launched : 2016
Annals of Vaccines and Immunization
ISSN : 2378-9379
Launched : 2014
JSM Heart Surgery Cases and Images
ISSN : 2578-3157
Launched : 2016
Annals of Reproductive Medicine and Treatment
ISSN : 2573-1092
Launched : 2016
JSM Brain Science
ISSN : 2573-1289
Launched : 2016
JSM Biomarkers
ISSN : 2578-3815
Launched : 2014
JSM Biology
ISSN : 2475-9392
Launched : 2016
Archives of Stem Cell and Research
ISSN : 2578-3580
Launched : 2014
Annals of Clinical and Medical Microbiology
ISSN : 2578-3629
Launched : 2014
JSM Pediatric Surgery
ISSN : 2578-3149
Launched : 2017
Journal of Memory Disorder and Rehabilitation
ISSN : 2578-319X
Launched : 2016
JSM Tropical Medicine and Research
ISSN : 2578-3165
Launched : 2016
JSM Head and Face Medicine
ISSN : 2578-3793
Launched : 2016
JSM Cardiothoracic Surgery
ISSN : 2573-1297
Launched : 2016
JSM Bone and Joint Diseases
ISSN : 2578-3351
Launched : 2017
JSM Bioavailability and Bioequivalence
ISSN : 2641-7812
Launched : 2017
JSM Atherosclerosis
ISSN : 2573-1270
Launched : 2016
Journal of Genitourinary Disorders
ISSN : 2641-7790
Launched : 2017
Journal of Fractures and Sprains
ISSN : 2578-3831
Launched : 2016
Journal of Autism and Epilepsy
ISSN : 2641-7774
Launched : 2016
Annals of Marine Biology and Research
ISSN : 2573-105X
Launched : 2014
JSM Health Education & Primary Health Care
ISSN : 2578-3777
Launched : 2016
JSM Communication Disorders
ISSN : 2578-3807
Launched : 2016
Annals of Musculoskeletal Disorders
ISSN : 2578-3599
Launched : 2016
Annals of Virology and Research
ISSN : 2573-1122
Launched : 2014
JSM Renal Medicine
ISSN : 2573-1637
Launched : 2016
Journal of Muscle Health
ISSN : 2578-3823
Launched : 2016
JSM Genetics and Genomics
ISSN : 2334-1823
Launched : 2013
JSM Anxiety and Depression
ISSN : 2475-9139
Launched : 2016
Clinical Journal of Heart Diseases
ISSN : 2641-7766
Launched : 2016
Annals of Medicinal Chemistry and Research
ISSN : 2378-9336
Launched : 2014
JSM Pain and Management
ISSN : 2578-3378
Launched : 2016
JSM Women's Health
ISSN : 2578-3696
Launched : 2016
Clinical Research in HIV or AIDS
ISSN : 2374-0094
Launched : 2013
Journal of Endocrinology, Diabetes and Obesity
ISSN : 2333-6692
Launched : 2013
Journal of Substance Abuse and Alcoholism
ISSN : 2373-9363
Launched : 2013
JSM Neurosurgery and Spine
ISSN : 2373-9479
Launched : 2013
Journal of Liver and Clinical Research
ISSN : 2379-0830
Launched : 2014
Journal of Drug Design and Research
ISSN : 2379-089X
Launched : 2014
JSM Clinical Oncology and Research
ISSN : 2373-938X
Launched : 2013
JSM Bioinformatics, Genomics and Proteomics
ISSN : 2576-1102
Launched : 2014
JSM Chemistry
ISSN : 2334-1831
Launched : 2013
Journal of Trauma and Care
ISSN : 2573-1246
Launched : 2014
JSM Surgical Oncology and Research
ISSN : 2578-3688
Launched : 2016
Annals of Food Processing and Preservation
ISSN : 2573-1033
Launched : 2016
Journal of Radiology and Radiation Therapy
ISSN : 2333-7095
Launched : 2013
JSM Physical Medicine and Rehabilitation
ISSN : 2578-3572
Launched : 2016
Annals of Clinical Pathology
ISSN : 2373-9282
Launched : 2013
Annals of Cardiovascular Diseases
ISSN : 2641-7731
Launched : 2016
Journal of Behavior
ISSN : 2576-0076
Launched : 2016
Annals of Clinical and Experimental Metabolism
ISSN : 2572-2492
Launched : 2016
Clinical Research in Infectious Diseases
ISSN : 2379-0636
Launched : 2013
JSM Microbiology
ISSN : 2333-6455
Launched : 2013
Journal of Urology and Research
ISSN : 2379-951X
Launched : 2014
Journal of Family Medicine and Community Health
ISSN : 2379-0547
Launched : 2013
Annals of Pregnancy and Care
ISSN : 2578-336X
Launched : 2017
JSM Cell and Developmental Biology
ISSN : 2379-061X
Launched : 2013
Annals of Aquaculture and Research
ISSN : 2379-0881
Launched : 2014
Clinical Research in Pulmonology
ISSN : 2333-6625
Launched : 2013
Journal of Immunology and Clinical Research
ISSN : 2333-6714
Launched : 2013
Annals of Forensic Research and Analysis
ISSN : 2378-9476
Launched : 2014
JSM Biochemistry and Molecular Biology
ISSN : 2333-7109
Launched : 2013
Annals of Breast Cancer Research
ISSN : 2641-7685
Launched : 2016
Annals of Gerontology and Geriatric Research
ISSN : 2378-9409
Launched : 2014
Journal of Sleep Medicine and Disorders
ISSN : 2379-0822
Launched : 2014
JSM Burns and Trauma
ISSN : 2475-9406
Launched : 2016
Chemical Engineering and Process Techniques
ISSN : 2333-6633
Launched : 2013
Annals of Clinical Cytology and Pathology
ISSN : 2475-9430
Launched : 2014
JSM Allergy and Asthma
ISSN : 2573-1254
Launched : 2016
Journal of Neurological Disorders and Stroke
ISSN : 2334-2307
Launched : 2013
Annals of Sports Medicine and Research
ISSN : 2379-0571
Launched : 2014
JSM Sexual Medicine
ISSN : 2578-3718
Launched : 2016
Annals of Vascular Medicine and Research
ISSN : 2378-9344
Launched : 2014
JSM Biotechnology and Biomedical Engineering
ISSN : 2333-7117
Launched : 2013
Journal of Hematology and Transfusion
ISSN : 2333-6684
Launched : 2013
JSM Environmental Science and Ecology
ISSN : 2333-7141
Launched : 2013
Journal of Cardiology and Clinical Research
ISSN : 2333-6676
Launched : 2013
JSM Nanotechnology and Nanomedicine
ISSN : 2334-1815
Launched : 2013
Journal of Ear, Nose and Throat Disorders
ISSN : 2475-9473
Launched : 2016
JSM Ophthalmology
ISSN : 2333-6447
Launched : 2013
Journal of Pharmacology and Clinical Toxicology
ISSN : 2333-7079
Launched : 2013
Annals of Psychiatry and Mental Health
ISSN : 2374-0124
Launched : 2013
Medical Journal of Obstetrics and Gynecology
ISSN : 2333-6439
Launched : 2013
Annals of Pediatrics and Child Health
ISSN : 2373-9312
Launched : 2013
JSM Clinical Pharmaceutics
ISSN : 2379-9498
Launched : 2014
JSM Foot and Ankle
ISSN : 2475-9112
Launched : 2016
JSM Alzheimer's Disease and Related Dementia
ISSN : 2378-9565
Launched : 2014
Journal of Addiction Medicine and Therapy
ISSN : 2333-665X
Launched : 2013
Journal of Veterinary Medicine and Research
ISSN : 2378-931X
Launched : 2013
Annals of Public Health and Research
ISSN : 2378-9328
Launched : 2014
Annals of Orthopedics and Rheumatology
ISSN : 2373-9290
Launched : 2013
Annals of Community Medicine and Practice
ISSN : 2475-9465
Launched : 2014
Annals of Biometrics and Biostatistics
ISSN : 2374-0116
Launched : 2013
JSM Clinical Case Reports
ISSN : 2373-9819
Launched : 2013
Journal of Cancer Biology and Research
ISSN : 2373-9436
Launched : 2013
Journal of Surgery and Transplantation Science
ISSN : 2379-0911
Launched : 2013
Journal of Dermatology and Clinical Research
ISSN : 2373-9371
Launched : 2013
JSM Gastroenterology and Hepatology
ISSN : 2373-9487
Launched : 2013
Annals of Nursing and Practice
ISSN : 2379-9501
Launched : 2014
JSM Dentistry
ISSN : 2333-7133
Launched : 2013
Author Information X