Loading

Journal of Muscle Health

Deficiency of Ubiquitin Ligase RBCK1 Causes Polyglucosan Myopathy and Severe Childhood Cardiomyopathy

Research Article | Open Access | Volume 1 | Issue 1

  • 1. Department of Neurology, Columbia University Medical Center, USA
  • 2. Department of Pediatrics, Columbia University Medical Center, USA
  • 3. Department of Biochemistry, Gulhane Military Medical Academy, Turkey
  • 4. Department of Pathology, Gulhane Military Medical Academy, Turkey
  • 5. Department of Pathology and Cell Biology, Columbia University Medical Center, USA
+ Show More - Show Less
Corresponding Authors
Kurenai Tanji, Department of Pathology and Cell Biology, Columbia University Medical Center, 630 West 168th Street, PH15 Stem-124, New York, NY 10032, USA, Tel: 1-212-305-4531; Fax: 1-212-305-4548
Abstract

Objectives: The abnormal accumulation of alpha-amylase-resistant glycogen, or polyglucosan, can affect multiple tissues in the body. This form of glycogen storage disease is generally due to glycogen branching enzyme (GBE) deficiency or to defective ubiquitin ligases. Here, we present a six-year-old girl, born to consanguineous parents, who suffered from polyglucosan-associated cardiomyopathy, myopathy, hepatopathy, and pulmonary hypertension.

Study design: The patient presented at age four to a hospital in Saudi Arabia with weakness and congestive heart failure requiring inotropic support and mechanical ventilation. She was referred to our center for heart transplant evaluation. Heart, skeletal muscle, and liver biopsies were performed. We measured the glycogen concentration in muscle tissue and GBE activity in peripheral blood lymphocytes. We also carried out DNA sequencing of GBE1, PRKAG2, and RBCK1.

Results: Heart, skeletal muscle, and liver biopsies variably showed periodic acid-Schiff-positive, partially amylase-digested polyglucosan accumulation, significantly increased glycogen concentration, but marginally increased GBE activity. Ultimately, genetic analysis revealed a novel homozygous mutation (p.Cys371Phe) in the gene RBCK1, which encodes an E3 ubiquitin ligase.

Conclusion: This case expands the clinical spectrum of RBCK1 mutations, and highlights that this gene should be considered in the differential diagnosis of polyglucosan storage diseases, especially when GBE activity is not decreased.

Keywords

Polyglucosan, Glycogen storage disease, Ubiquitin ligase, Cardiomyopathy, Myopathy, Pulmonary hypertension

CITATION

Akman HO, Lee TM, Amuk ÖC, Kurt YG, Kurt B, et al. (2017) Deficiency of Ubiquitin Ligase RBCK1 Causes Polyglucosan Myopathy and Severe Childhood Cardiomyopathy. J Muscle Health 1(1): 1005.

ABBREVIATIONS

GSD: Glycogen Storage Disease; GBE: Glycogen Branching Enzyme; H&E: Hematoxylin-Eosin; PAS: Periodic Acid-Schiff

INTRODUCTION

Glycogen storage diseases (GSDs) are caused by defects in the various enzymes needed for glycogen biosynthesis, glycogen breakdown, or glycolysis. In most cases of glycogenoses, normal spherical glycogen (characterized by numerous branched peripheral chains) accumulates. However, there are two main exceptions. Accumulation of glycogen with abnormally short peripheral chains is seen in debrancher enzyme deficiency (i.e. GSD type III) [1]. And the deposition of a distinctly abnormal amylopectin-like polysaccharide called polyglucosan (characterized by fewer and poorly branched peripheral chains) accumulates in glycogen branching enzyme (GBE) deficiency (i.e. GSD type IV) [2].

The wide clinical spectrum of disease we have seen in GBE deficiency can be explained by the amount of residual enzyme activity. Those with very little enzyme activity (0 to 7%) present with a fatal infantile form of disease, which consists of hepatopathy, liver cirrhosis, and severe cardiomyopathy. Those with 8 to 25% residual enzymatic activity generally present with neuromuscular disease, cardiomyopathy, or central nervous system disease [3].

A neuromuscular form of GBE deficiency has also been described in the literature, and is classified in to three groups based on age at presentation. The first is notable for antenatal onset, polyhydramnios, decreased fetal movements, fetal akinesia, arthrogryposis multiplex congenita, and ultimately hydrops fetalis and death during fetal life. A second lethal form presents similarly to spinal muscular atrophy type 1. Lastly, there is a third and more benign myopathic form that can present with proximal muscle weakness anytime from childhood to adulthood [4]

A rare form, adult polyglucosan body disease, has been primarily described in Ashkenazi Jewish patients with late-onset progressive pyramidal paraparesis, peripheral neuropathy, neurogenic bladder, and premature death [5]. In another form, the deposition of polyglucosan primarily in the central and peripheral nervous system occurs with severe juvenile myoclonic epilepsy (Lafora disease), and is due to mutations in either EPM2A (encoding the protein phosphatase laforin) or EPM2B/NHLRC1 (encoding the E3 ubiquitin ligase malin) [6]. Sixteen patients from 12 families, with polyglucosan storage in skeletal and cardiac muscle, who had early-onset myopathy and hypertrophic cardiomyopathy were found to harbor various mutations in the RanBP-type and C3HC4-type zinc finger-containing gene RBCK1which encodes another E3 ubiquitin ligase [7-9].

We here in describe a very severe form of glycogen storage disease with characteristics of GSD type IV in a six-year-old girl with severe cardiomyopathy, proximal muscle weakness, and hepatopathy. She was found to have polyglucosan storage in the heart, skeletal muscle, and liver. Genetic testing revealed a homozygous mutation that alters a conserved amino acid of RBCK1. Unlike other mutations previously reported, this particular genetic change (RBCK1NM_031229 c.1112G>T, p.Cys371Phe) causes a very severe, early-onset disease.

MATERIALS AND METHODS

The following studies were approved by the Columbia University Medical Center Review Board. Parental informed consent was obtained.

Morphological and ultrastructural analysis

Heart, skeletal muscle, and liver tissue were fixed in 10% formalin, embedded in paraffin, and 5-µ tissue sections were prepared. Sections were deparaffinized, and stained with hematoxylin-eosin (H&E). Additional sections were treated with 40 ml of 5 mg/ml alpha-amylase (Sigma-Aldrich; St. Louis, MO) for 25 seconds in a microwave oven set to 600 watts. Slides were then washed with deionized water and oxidized with 0.5% periodic acid for 5 minutes, stained with Schiff reagent for 15 minutes, and then counterstained in hematoxylin for 15 minutes before rinsing with tap water. The slides were then examined by light microscopy (Nikon Eclipse90i; Melville, NY). Immunohistochemically, sections from the heart and the skeletal muscle were stained with the ubiquitin antibody (Dako; Carpenteria,CA) using Ventana Ultra instruments (Ventana Systems;Tuscan, AZ).

Electron microscopy

Sections were cut from the liver and muscle and fixed in 2.5% glutaraldehyde, later post-fixed in 1% osmium tetroxide. Fixed tissue was dehydrated in ethanol, embedded in epoxy resin, and 1µm-thick sections were cut. We stained the sections with toluidine blue and examined by light microscopy. Some sections of the skeletal muscle were double-stained with PAS to visualize the intracytoplasmic accumulation. Ultrathin sections were then cut, stained with uranyl acetate and lead citrate to be viewed in a Hitachi H-300 transmission electron microscope.

Quantification of glycogen

We estimated the glycogen content by measuring glucose released from polyglucosan or glycogen. Briefly glycogen was isolated from muscle tissue and digested with amyloglucosidase as previously published [10].

GBE activity

We measured branching enzyme activity by an indirect assay based on incorporation of radioactive glucose-1-phosphate (PerkinElmer Life and Analytical Sciences; Boston, MA) into glycogen by the reverse activity of phosphorylase a (SigmaAldrich; St. Louis, MO) as an auxiliary enzyme. At 30, 45 and 60-minute time intervals, 5 µl of reaction mix was spotted on Whatman Number 5 qualitative filter paper (Maidstone, UK). Unincorporated glucose-1-phosphate was washed for 15 minutes using three changes of 66% v/v ethanol. We quantified glycogen bound radioactive glucose-1-phosphate by liquid scintillation counter (Packard Instruments; Boston, MA).

Molecular genetics

Total DNA was extracted from muscle by standard procedures (Puregene, Gentra Systems, Inc.; Minneapolis, MN) according to the manufacturer’s instructions. We sequenced the genes GBE1, PRKAG2, and RBCK1. We used previously published sequencing techniques and primers [7,11,12]. Thermal cycles were 95°C for 5 minutes for initial denaturation followed by 35 cycles of 95°C for 30 seconds denaturation, 55°C for 30 seconds annealing and 72°C for 45 seconds extension.

RESULTS AND DISCUSSION

Clinical information

The patient was a six-year-old female from Qatar, with an unremarkable birth and early developmental history, who was referred to our center for heart transplant evaluation. She first presented at age four years to a hospital in Dammam, Saudi Arabia with tachypnea, grunting, a distended abdomen, hepatomegaly, and facial swelling. She was found to be in congestive heart failure requiring inotropic support and mechanical ventilation. Her initial transthoracic echocardiogram showed a dilated left ventricle with an ejection fraction of 43% (normal 56-78%). She also presented with laboratory evidence of liver and renal dysfunctions, which were thought to be secondary to her heart failure, and this situation gradually improved to the point of normalization during her hospital course. After a one-month hospital stay, she was discharged home on digoxin, enalapril, carvedilol, furosemide, aspirin, and tapering doses of prednisone.

Two months later she presented with left hemiplegia, and on MRI was found to have a right basal ganglia infarction secondary to a right middle cerebral artery thrombosis. We do not know if a thrombotic work-up was initiated at that time, but, given her poor heart function the etiology of the stroke was thought to be likely cardioembolic. She had residual left-sided hemiplegia, which slowly improved with physical therapy, but her cardiac function continued to decline and she required more frequent hospitalizations. She was eventually referred to our center for evaluation of possible heart transplantation.

At arrival to our center, her physical exam was remarkable for a very thin child with weight 15.2 kg (<3rd percentile) and height 112 cm (25-50th percentile). She had hypertonicity of the right side, and right upper and lower limb spasticity. Her basic metabolic profile and liver function tests were unremarkable. She had microcytic anemia with a hematocrit of 32.3% (normal 34-40%), and B-type natriuretic peptide that was elevated at 2676.4 pg/mL (where a level of 100 pg/mL is used as the cut-off for diagnosing congestive heart failure).

Electrocardiogram demonstrated normal sinus rhythm with first degree atrioventricular block, left axis deviation, left ventricular hypertrophy with strain pattern, T-wave inversions with ST segment depressions in the lateral leads, and possible biatrial enlargement. Transthoracic echocardiogram showed a severely dilated left ventricle with poor function (ejection fraction 22-23%; normal 56-78%). Both atria were mildly dilated, and the right ventricle was also dilated with borderline hypertrophy and mildly decreased function. She had mild-to-moderate tricuspid and mitral regurgitation.

Right heart catheterization and endomyocardial biopsy were performed with the patient under general anesthesia, incubated, and breathing room air. She had an elevated right ventricular end diastolic pressure of 14 mmHg, mean right pulmonary artery pressure of 38 mmHg, and mean pulmonary capillary wedge pressure of 17 mmHg. Her calculated pulmonary vascular resistance of 7 woods unit x m2 was too high to be a suitable heart transplant candidate.

Therefore, she was started on continuous intravenous milrinone infusion in an attempt to lower her pulmonary vascular resistance. Sildenafil was also started and titrated up. Repeat cardiac catheterization two weeks later showed persistently elevated pulmonary vascular resistance. During this hospitalization, she also underwent gastrostomy placement for initiation of overnight feeds.

She was then discharged back home to Saudi Arabia with the plan to continue milrinone infusion and sildenafil in the hopes of lowering her pulmonary vascular resistance. She was scheduled to return to our center in a few months for repeat cardiac catheterization with the hopes that her pulmonary vascular resistance would be low enough that we could list her for cardiac transplantation. Unfortunately, three months after she was discharged from our hospital she developed septic shock and was admitted to a hospital in Qatar. She was found to have candidemia and multidrug-resistant Klebsiella urosepsis. She developed acute respiratory distress syndrome and acute renal failure. Despite medical treatment, including treatment with multiple pressors, she did not survive.

Morphologic and ultrastructural analysis

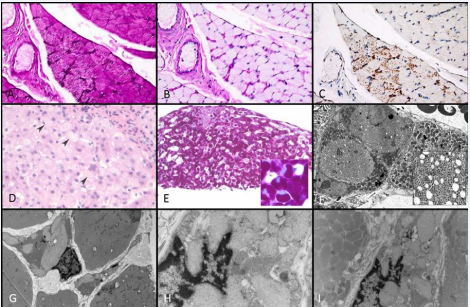
Morphological investigations by light and electron microscopy of the endomyocardial and skeletal muscle revealed intracytoplasmic accumulation of PAS-positive material that was incompletely digested by alpha-amylase (Figure 1A, B, C, and E). This material was positively stained with ubiquitin antibody (Figure 1D). The liver biopsy demonstrated changes consistent with chronic congestive hepatopathy, including centrilobular congestion, sinusoidal dilatation, and fibrosis. In addition, most of the hepatocytes were mildly distended by homogeneous pale acidophilic material, vaguely resembling pseudo-groundglass cytoplasmic inclusions (Figure 1F). These inclusions were strongly PAS-positive and partially diastase-sensitive (Figure 1G). Transmission electron microscopy performed in the liver specimen revealed hepatocellular cytoplasmic collections lacking limiting membranes and consisting predominantly of normal-appearing glycogen granules admixed with abnormal material that had a vague filamentous texture consistent with polyglucosan (Figure 1H). In the skeletal muscle tissue, the storage material had a granular and partly fibrillar structure, with variable electron density, which is characteristic of polyglucosan (Figure 1-I, J and K).

Endocardial biopsy (A-D): almost all cardiomyocytes are vacuolated (A: H&E, 100x), containing PAS-positive material (B) incompletely digested by alphaamylase (C). The accumulated material was positively stained with ubiquitin antibody (D). Skeletal muscle biopsy: approximately 15% of the myofibers are vacuolated,  containing PAS-positive material (E, toluidine blue-PAS, 200x). Liver biopsy (F, G): The liver light microscopically demonstrates pale acidophilic cytoplasmic inclusions  (arrowheads) within hepatocytes (F, H&E, 400x). PAS stain demonstrates cytoplasmic inclusions (G, PAS, 200x) displacing hepatocyte nuclei (inset, 600x). Transmission  electron micrographs (H-I) revealed cytoplasmic accumulation of abnormal filamentous material intermixed with glycogen granules in hepatocytes (H, 4000x) and  myofibers (I, 3,000x)

Figure 1: Endocardial biopsy (A-D): almost all cardiomyocytes are vacuolated (A: H&E, 100x), containing PAS-positive material (B) incompletely digested by alphaamylase (C). The accumulated material was positively stained with ubiquitin antibody (D). Skeletal muscle biopsy: approximately 15% of the myofibers are vacuolated, containing PAS-positive material (E, toluidine blue-PAS, 200x). Liver biopsy (F, G): The liver light microscopically demonstrates pale acidophilic cytoplasmic inclusions (arrowheads) within hepatocytes (F, H&E, 400x). PAS stain demonstrates cytoplasmic inclusions (G, PAS, 200x) displacing hepatocyte nuclei (inset, 600x). Transmission electron micrographs (H-I) revealed cytoplasmic accumulation of abnormal filamentous material intermixed with glycogen granules in hepatocytes (H, 4000x) and myofibers (I, 3,000x).

Biochemistry

Glycogen content: Apparent accumulation of PAS-positive inclusions prompted us to measure glycogen content. We isolated and quantified stored glycogen from the biopsied muscle and three other age-matched controls. Our results showed that the patient had 3.02% (SD ± 0.5%, n=4 replicates) glycogen in wet muscle, which is three times higher than that of the controls (1.01%, SD ± 0.4%, n=3 replicates) (p<0.005) (Figure 2A).

Muscle glycogen content and GBE activity. The graph on the left (A) shows the muscle glycogen content in our patient compared tothree normal controls  (measures are represented as percent wet tissue). On the right (B), GBE activity in muscle is represented as present activity compared to three normal controls.

Figure 2: Muscle glycogen content and GBE activity. The graph on the left (A) shows the muscle glycogen content in our patient compared tothree normal controls (measures are represented as percent wet tissue). On the right (B), GBE activity in muscle is represented as present activity compared to three normal controls.

GBE activity: Polyglucosan forms when the ratio of glycogen synthase activity versus the GBE activity increases. Less branches result in less non reducing ends that glycogen phosphorylase can use to degrade glycogen. This implies that the presence of polyglucosan in the tissue should be associated with the loss of GBE activity. We measured GBE activity in peripheral blood lymphocytes, as lymphocytes are a more reliable tool for the enzyme measurement. Also given that lymphocytes have less glycogen content than muscle or liver, using lymphocytes helps to prevent false negative results secondary to higher background. We detected 108% (SD ± 3%) GBE activity, which is slightly higher than the average of three controls (100%, SD ±14 %) (Figure 2B). These results suggest that GBE activity remains normal even in the presence of indigestible polyglucosan.

Molecular genetics: Polyglucosan accumulation and cardiomyopathy in early childhood strongly suggests GBE deficiency [11,12] but sequencing of the GBE1 gene did not reveal any putative mutations. Also, we found slightly higher GBE activity in our patient’s leucocytes when compared to controls which made GBE deficiency an unlikely cause. Therefore, we examined the RBCK1gene, as mutations in this gene have been reported to cause polyglucosan-associated cardiomyopathy and muscle weakness. Via Sanger sequencing we identified a genetic variant that is considered to be pathogenic by PolyPhen, and SIFT. This variant substitutes the amino acid phenylalanine for an evolutionarily conserved cysteine at codon 371. Conservation of the cysteine is shown among the species (Figure 3).

Sequence analysis of RBCK1 demonstrates substitution of the conserved amino acid cysteine. The mutation changes the amino acid cysteine to phenylalanine  at the 371stcodon (p.Cys371Phe). The father and mother are heterozygous but the patient was homozygous (A). The amino acid cysteine is highly conserved among  species (B).

Figure3: Sequence analysis of RBCK1 demonstrates substitution of the conserved amino acid cysteine. The mutation changes the amino acid cysteine to phenylalanine at the 371stcodon (p.Cys371Phe). The father and mother are heterozygous but the patient was homozygous (A). The amino acid cysteine is highly conserved among species (B).

Furthermore, Sanger sequencing of DNA from both parents revealed that they were heterozygous for the same variant. This variant in RBCK1 was not reported in 1000 Genomes (http://www. internationalgenome.org/), ExAC (http://exac.broadinstitute. org/), ClinVar (https://www.ncbi.nlm.nih.gov/clinvar/) or PubMed (https://www.ncbi.nlm.nih.gov/projects/SNP/snp_ref. cgi?geneId=4023) as either a polymorphismorclinical variant.

CONCLUSION

Polyglucosan is the generic name used for structures that mainly consist of glucose polymers [13]. The conditions associated with polyglucosan body accumulation include adult polyglucosan body disease and Lafora disease. Enzymatically, branching enzyme deficiency and ubiquitin ligase RBCK1 deficiency have both been known to cause the accumulation of polyglucosan in various organs [14]. The precise mechanism of polyglucosan body accumulation in these conditions is not completely understood.

How RBCK1-mediated ubiquitination is involved in glycogen metabolism remains to be determined. Nevertheless, in agreement with previous reports, this case report provides additional proof that defective RBCK1 causes extensive accumulation of polyglucosan in the visceral organs and severe cardiomyopathy. Therefore, when cardiac or musclebiopsy show accumulation of polyglucosan bodies, RBCK1 mutations are to be sought after, especially when the branching enzyme assay is found to be normal.

The differential diagnosis for our patient included various glycogen storage cardiomyopathies with onset in infancy or in early childhood. Significant accumulation of normal glycogen would place Pompe disease (acid alpha-glucosidase deficiency, GSD type II) high in the differential. Pompe disease causes generalized weakness, striking cardiomegaly, and often death before the first year of life. Mutations in the GAA gene result in intralysosomal and free glycogen, which is promptly digested by alpha-amylase and our ultrastructural study would have reveal beta-particles of glycogen. A much less common infantile cardiomegaly is caused by rare mutations in the gene PRKAG2, which encodes the gamma-2 subunit of AMP-activated protein kinase. Mutations in this gene can lead to infantile death due to normal glycogen storage in the myocardium. An even less common diagnosis to consider with storage of polyglucosan affecting predominantly young children would be GBE deficiency, but sequencing of the GBE1 gene in our patient excluded this possibility.

Our investigation revealed a novel missense mutation in RBCK1 gene. The first reported missense mutation, p.Asn387Ser in the IBR domain, is believed to affect protein function from the loss of amide group in as paragine. The second missense mutation is p.Ala18Pro. This change alters the protein structure at the N-terminus and may prevent proper folding. Both of these missense mutations clinically have milder effects compared to nonsense, frame shift, or deletion/insertion mutations. Here, we report a new missense mutation in the IBR domain, the same domain as in the mutation causing the p.Asn387Ser change. This missense mutation changes a very well-conserved hydrophilic amino acid cysteine to hydrophobic and aromatic phenylalanine, possibly affecting the transcriptional activation ability of the RBCK1. There are 13 other changes reported in the literature caused by seven small deletions, one splice site mutation, and one large deletion. All 13 of those mutations alter the sequence of the mRNA, preventing synthesis of a complete protein (Supplement). These reported mutations are all inherited in an autosomal recessive manner. Because we were not able to technically assay the function of the protein, we cannot correlate the position of this point mutation with the severity of the disease. However, our patient with the p.Cys371Phe substitution died earlier than most reported patients with missense mutations, which may indicate that conservation of cysteine in this position is crucial for protein function.

Our patient epitomizes the clinical phenotype illustrated by Nilsson et al. – a very young child presenting with proximal limb weakness and severe cardiomyopathy in the documented presence of polyglucosan, which is PAS-positive but largely resistant to alpha-amylase digestion, and ultra-structurally consists of granular and fibrillary structure. One patient reported by Nilsson et al. had frequent episodes of laryngitis and required tonsillectomy [7] but our patient did not have recurrent episodes of sepsis or apparent chronic auto-inflammation.

However, the wide range of symptoms, do not always correlate with severity of mutations in RBCK1. Only two point mutations have been reported, whereas all other mutations prevent the synthesis of a mature protein. Interestingly, Tokunaga et al., studied the molecular function of the gene by cloning parts of the protein and assaying for the ability to induce transcription. They reported that most of the activity lies in the C-terminal region, specifically the RING1 and IBR domains where the p.Cys371Phe mutation is located [15] (Figure 4).

Molecular organization of the 510-amino-acid-long isoform 2 of RBCK1. Domains that are shared among other RBCK1 isoforms are indicated by gray boxes.  UBL, ubiquitin-like; NZF, novel zinc finger; RING1, the first RING domain; IBR, in-between-RING domain; RING2, the second RING domain.

figure 4: Molecular organization of the 510-amino-acid-long isoform 2 of RBCK1. Domains that are shared among other RBCK1 isoforms are indicated by gray boxes. UBL, ubiquitin-like; NZF, novel zinc finger; RING1, the first RING domain; IBR, in-between-RING domain; RING2, the second RING domain.

The p.Cys371Phe mutation is within the IBR domain, which functions as a transcription activator, and we hypothesize that missense mutations in this region may have deleterious effects on protein function. Similar to malin (E3 ubiquitin ligase), whose deficiency leads to polyglucosan accumulation in the brain [16], the mechanisms behind these abnormal accumulation are unknown. We can only postulate that deficiency of RBCK1 prevents the normal transcription of other genes necessary. However, we know that this is not due to decreased GBE activity. We speculate that in the heart and muscle a substrate is ubiquitylated by RBCK1, while in CNS a substrate is ubiquitylated by malin. Deficiency of malin causes severe Lafora disease that clinically affects the CNS first, whereas deficiency of RBCK1 mainly affects the heart and muscles [6,7].

Unfortunately, there is currently no effective therapy to eliminate polyglucosan accumulation. Heart transplantation is a reasonable consideration, and four of the eight reported patients with RBCK1 deficiency have undergone cardiac transplantation. While one of the four died at the time of transplantation, as of 2013 the remaining three have survived post-transplant for at least six, six, and 10 years [7].

In conclusion, our report expands the clinical spectrum of RBCK1 mutations. When an endomyocardial biopsy of the patient with childhood cardiomyopathy reveals glycogen storage, with abnormal polyglucosan, RBCK1 sequencing, together with the GBE enzymatic assay, should be part of the laboratory investigation.

ACKNOWLEDGEMENTS

This study has been funded by the gifts from Gayle and Robert Lipsig family, the Keith B Hayes, and the Adult Polyglucosan Body Disease Research Foundations.

Conflict of Interest

Drs. Akman and DiMauro are supported by the Keith B. Hayes Foundation and the Adult Polyglucosan Body Disease Research Foundation. Drs. Gülcan Kurt and Kurt is supported by The Scientific and Technological Research Council of Turkey and Turkish Armed Forces. Dr DiMauro is the Lucy G. Moses Professor of Neurology.

SUPPLEMENT

Frame shift mutations

1. c.121_122delCT, p.Leu41 fs7* [1]

2. c. 896_899delAGTG: p.Glu299Val fs18*: [2]

3. c.722delC: p.Ala241Glyfs*34: [2]

4. c.727_728ins GGCG: p.Glu243Gly fs*114 [2]

5. c.917+3_917+4insG: p.Arg298Argfs*40: [2]

6. c.494delG: p.Arg165 fs*111 [2]

7. c.697_703dubGACGAGG: p.Pro232 fs68* [3]

Nonsense stop codon mutations

1. c.553 C>T, p.Q185* [1]

2. c.727G>T: p.Glu243* [2]

3. c.1054C>T: p.Arg352* [2]

4. c.790C>T:p.Gln264* [3]

Missense mutations

1. c.52G>C: p.Ala18Pro [2]

2. c.1160A>G: p.Asn387Ser [2]

Splice site mutation

1. NM_006462:c.456+1G>C [3]

Large deletion

1. c.ex1_ex4del: chr20:367,384–399,180 [2]

All Protein sequences are referenced to NP_112506.

All cDNA sequences are referenced to NM_031229 unless noted otherwise.

REFERENCES
  1. Haller RG. Glycogen storage disease type III: The phenotype branches out. Neurology. 2015; 84: 1726-1727.
  2. Colombo I, Pagliarani S, Testolin S, Salsano E, Napoli LM, Bordoni A, et al. Adult Polyglucosan Body Disease: Clinical and histological heterogeneity of a large Italian family. Neuromuscular disorders. NMD. 2015; 25: 423-428.
  3. Moses SW, Parvari R. The variable presentations of glycogen storage disease type IV: a review of clinical, enzymatic and molecular studies. Curr Mol Med. 2002; 2: 177-188.
  4. Malfatti E, Barnerias C, Hedberg-Oldfors C, Gitiaux C, Benezit A, Oldfors A, et al. A novel neuromuscular form of glycogen storage disease type IV with arthrogryposis, spinal stiffness and rare polyglucosan bodies in muscle. Neuromuscul Disord. 2016; 26: 681-687.
  5. Lossos A, Meiner Z, Barash V, Soffer D, Schlesinger I, Abramsky O, et al. Adult polyglucosan body disease in Ashkenazi Jewish patients carrying the Tyr329Ser mutation in the glycogen-branching enzyme gene. Ann Neurol. 1998; 44: 867-872.
  6. Tiberia E, Turnbull J, Wang T, Ruggieri A, Zhao XC, Pencea N, et al. Increased laforin and laforin binding to glycogen underlie Lafora body formation in malin-deficient Lafora disease. J Biol Chem. 2012; 287: 25650-25659.
  7. Nilsson J, Schoser B, Laforet P, Kalev O, Lindberg C, Romero NB, et al. Polyglucosan body myopathy caused by defective ubiquitin ligase RBCK1. Ann neurol. 2013; 74: 914-919.
  8. Wang K, Kim C, Bradfield J, Guo Y, Toskala E, Otieno FG, et al. Whole-genome DNA/RNA sequencing identifies truncating mutations in RBCK1 in a novel Mendelian disease with neuromuscular and cardiac involvement. Genome Med. 2013; 5: 67.
  9. Boisson B, Laplantine E, Prando C, Giliani S, Israelsson E, Xu Z, et al. Immunodeficiency, autoinflammation and amylopectinosis in humans with inherited HOIL-1 and LUBAC deficiency. Nat immunol. 2012; 13: 1178-1186.
  10. Akman HO, Sheiko T, Tay SK, Finegold MJ, Dimauro S, Craigen WJ. Generation of a novel mouse model that recapitulates early and adult onset glycogenosis type IV. Human molecular genetics. 2011; 20: 4430-4439.
  11. Tay SK, Akman HO, Chung WK, Pike MG, Muntoni F, Hays AP, et al. Fatal infantile neuromuscular presentation of glycogen storage disease type IV. Neuromuscul Disord. 2004; 14: 253-260.
  12. Akman HO, Sampayo JN, Ross FA, Scott JW, Wilson G, Benson L, et al. Fatal infantile cardiac glycogenosis with phosphorylase kinase deficiency and a mutation in the gamma2-subunit of AMP-activated protein kinase. Pediatr Res. 2007; 62: 499-504.
  13. Cajal RY, Blanes S, Martinez S, Saenz S, Gutierrez S. Lafora's disease. An ultrastructural and histochemical study. Acta neuropathologica. 1974; 30: 189-196.
  14. Oldfors A, DiMauro S. New insights in the field of muscle glycogenoses. Curr Opin Neurol. 2013; 26: 544-553.
  15. Tatematsu K, Yoshimoto N, Okajima T, Tanizawa K, Kuroda S. Identification of ubiquitin ligase activity of RBCK1 and its inhibition by splice variant RBCK2 and protein kinase Cbeta. J Biol Chem. 2008; 283: 11575-11585.
  16. Liu Y, Zeng L, Ma K, Baba O, Zheng P, Liu Y, et al. Laforin-malin complex degrades polyglucosan bodies in concert with glycogen debranching enzyme and brain isoform glycogen phosphorylase. Mol Neurobiol. 2014; 49: 645-657.

Akman HO, Lee TM, Amuk ÖC, Kurt YG, Kurt B, et al. (2017) Deficiency of Ubiquitin Ligase RBCK1 Causes Polyglucosan Myopathy and Severe Childhood Cardiomyopathy. J Muscle Health 1(1): 1005.

Received : 08 Mar 2017
Accepted : 11 Jul 2017
Published : 13 Jul 2017
Journals
Annals of Otolaryngology and Rhinology
ISSN : 2379-948X
Launched : 2014
JSM Schizophrenia
Launched : 2016
Journal of Nausea
Launched : 2020
JSM Internal Medicine
Launched : 2016
JSM Hepatitis
Launched : 2016
JSM Oro Facial Surgeries
ISSN : 2578-3211
Launched : 2016
Journal of Human Nutrition and Food Science
ISSN : 2333-6706
Launched : 2013
JSM Regenerative Medicine and Bioengineering
ISSN : 2379-0490
Launched : 2013
JSM Spine
ISSN : 2578-3181
Launched : 2016
Archives of Palliative Care
ISSN : 2573-1165
Launched : 2016
JSM Nutritional Disorders
ISSN : 2578-3203
Launched : 2017
Annals of Neurodegenerative Disorders
ISSN : 2476-2032
Launched : 2016
Journal of Fever
ISSN : 2641-7782
Launched : 2017
JSM Bone Marrow Research
ISSN : 2578-3351
Launched : 2016
JSM Mathematics and Statistics
ISSN : 2578-3173
Launched : 2014
Journal of Autoimmunity and Research
ISSN : 2573-1173
Launched : 2014
JSM Arthritis
ISSN : 2475-9155
Launched : 2016
JSM Head and Neck Cancer-Cases and Reviews
ISSN : 2573-1610
Launched : 2016
JSM General Surgery Cases and Images
ISSN : 2573-1564
Launched : 2016
JSM Anatomy and Physiology
ISSN : 2573-1262
Launched : 2016
JSM Dental Surgery
ISSN : 2573-1548
Launched : 2016
Annals of Emergency Surgery
ISSN : 2573-1017
Launched : 2016
Annals of Mens Health and Wellness
ISSN : 2641-7707
Launched : 2017
Journal of Preventive Medicine and Health Care
ISSN : 2576-0084
Launched : 2018
Journal of Chronic Diseases and Management
ISSN : 2573-1300
Launched : 2016
Annals of Vaccines and Immunization
ISSN : 2378-9379
Launched : 2014
JSM Heart Surgery Cases and Images
ISSN : 2578-3157
Launched : 2016
Annals of Reproductive Medicine and Treatment
ISSN : 2573-1092
Launched : 2016
JSM Brain Science
ISSN : 2573-1289
Launched : 2016
JSM Biomarkers
ISSN : 2578-3815
Launched : 2014
JSM Biology
ISSN : 2475-9392
Launched : 2016
Archives of Stem Cell and Research
ISSN : 2578-3580
Launched : 2014
Annals of Clinical and Medical Microbiology
ISSN : 2578-3629
Launched : 2014
JSM Pediatric Surgery
ISSN : 2578-3149
Launched : 2017
Journal of Memory Disorder and Rehabilitation
ISSN : 2578-319X
Launched : 2016
JSM Tropical Medicine and Research
ISSN : 2578-3165
Launched : 2016
JSM Head and Face Medicine
ISSN : 2578-3793
Launched : 2016
JSM Cardiothoracic Surgery
ISSN : 2573-1297
Launched : 2016
JSM Bone and Joint Diseases
ISSN : 2578-3351
Launched : 2017
JSM Bioavailability and Bioequivalence
ISSN : 2641-7812
Launched : 2017
JSM Atherosclerosis
ISSN : 2573-1270
Launched : 2016
Journal of Genitourinary Disorders
ISSN : 2641-7790
Launched : 2017
Journal of Fractures and Sprains
ISSN : 2578-3831
Launched : 2016
Journal of Autism and Epilepsy
ISSN : 2641-7774
Launched : 2016
Annals of Marine Biology and Research
ISSN : 2573-105X
Launched : 2014
JSM Health Education & Primary Health Care
ISSN : 2578-3777
Launched : 2016
JSM Communication Disorders
ISSN : 2578-3807
Launched : 2016
Annals of Musculoskeletal Disorders
ISSN : 2578-3599
Launched : 2016
Annals of Virology and Research
ISSN : 2573-1122
Launched : 2014
JSM Renal Medicine
ISSN : 2573-1637
Launched : 2016
JSM Genetics and Genomics
ISSN : 2334-1823
Launched : 2013
JSM Anxiety and Depression
ISSN : 2475-9139
Launched : 2016
Clinical Journal of Heart Diseases
ISSN : 2641-7766
Launched : 2016
Annals of Medicinal Chemistry and Research
ISSN : 2378-9336
Launched : 2014
JSM Pain and Management
ISSN : 2578-3378
Launched : 2016
JSM Women's Health
ISSN : 2578-3696
Launched : 2016
Clinical Research in HIV or AIDS
ISSN : 2374-0094
Launched : 2013
Journal of Endocrinology, Diabetes and Obesity
ISSN : 2333-6692
Launched : 2013
Journal of Substance Abuse and Alcoholism
ISSN : 2373-9363
Launched : 2013
JSM Neurosurgery and Spine
ISSN : 2373-9479
Launched : 2013
Journal of Liver and Clinical Research
ISSN : 2379-0830
Launched : 2014
Journal of Drug Design and Research
ISSN : 2379-089X
Launched : 2014
JSM Clinical Oncology and Research
ISSN : 2373-938X
Launched : 2013
JSM Bioinformatics, Genomics and Proteomics
ISSN : 2576-1102
Launched : 2014
JSM Chemistry
ISSN : 2334-1831
Launched : 2013
Journal of Trauma and Care
ISSN : 2573-1246
Launched : 2014
JSM Surgical Oncology and Research
ISSN : 2578-3688
Launched : 2016
Annals of Food Processing and Preservation
ISSN : 2573-1033
Launched : 2016
Journal of Radiology and Radiation Therapy
ISSN : 2333-7095
Launched : 2013
JSM Physical Medicine and Rehabilitation
ISSN : 2578-3572
Launched : 2016
Annals of Clinical Pathology
ISSN : 2373-9282
Launched : 2013
Annals of Cardiovascular Diseases
ISSN : 2641-7731
Launched : 2016
Journal of Behavior
ISSN : 2576-0076
Launched : 2016
Annals of Clinical and Experimental Metabolism
ISSN : 2572-2492
Launched : 2016
Clinical Research in Infectious Diseases
ISSN : 2379-0636
Launched : 2013
JSM Microbiology
ISSN : 2333-6455
Launched : 2013
Journal of Urology and Research
ISSN : 2379-951X
Launched : 2014
Journal of Family Medicine and Community Health
ISSN : 2379-0547
Launched : 2013
Annals of Pregnancy and Care
ISSN : 2578-336X
Launched : 2017
JSM Cell and Developmental Biology
ISSN : 2379-061X
Launched : 2013
Annals of Aquaculture and Research
ISSN : 2379-0881
Launched : 2014
Clinical Research in Pulmonology
ISSN : 2333-6625
Launched : 2013
Journal of Immunology and Clinical Research
ISSN : 2333-6714
Launched : 2013
Annals of Forensic Research and Analysis
ISSN : 2378-9476
Launched : 2014
JSM Biochemistry and Molecular Biology
ISSN : 2333-7109
Launched : 2013
Annals of Breast Cancer Research
ISSN : 2641-7685
Launched : 2016
Annals of Gerontology and Geriatric Research
ISSN : 2378-9409
Launched : 2014
Journal of Sleep Medicine and Disorders
ISSN : 2379-0822
Launched : 2014
JSM Burns and Trauma
ISSN : 2475-9406
Launched : 2016
Chemical Engineering and Process Techniques
ISSN : 2333-6633
Launched : 2013
Annals of Clinical Cytology and Pathology
ISSN : 2475-9430
Launched : 2014
JSM Allergy and Asthma
ISSN : 2573-1254
Launched : 2016
Journal of Neurological Disorders and Stroke
ISSN : 2334-2307
Launched : 2013
Annals of Sports Medicine and Research
ISSN : 2379-0571
Launched : 2014
JSM Sexual Medicine
ISSN : 2578-3718
Launched : 2016
Annals of Vascular Medicine and Research
ISSN : 2378-9344
Launched : 2014
JSM Biotechnology and Biomedical Engineering
ISSN : 2333-7117
Launched : 2013
Journal of Hematology and Transfusion
ISSN : 2333-6684
Launched : 2013
JSM Environmental Science and Ecology
ISSN : 2333-7141
Launched : 2013
Journal of Cardiology and Clinical Research
ISSN : 2333-6676
Launched : 2013
JSM Nanotechnology and Nanomedicine
ISSN : 2334-1815
Launched : 2013
Journal of Ear, Nose and Throat Disorders
ISSN : 2475-9473
Launched : 2016
JSM Ophthalmology
ISSN : 2333-6447
Launched : 2013
Journal of Pharmacology and Clinical Toxicology
ISSN : 2333-7079
Launched : 2013
Annals of Psychiatry and Mental Health
ISSN : 2374-0124
Launched : 2013
Medical Journal of Obstetrics and Gynecology
ISSN : 2333-6439
Launched : 2013
Annals of Pediatrics and Child Health
ISSN : 2373-9312
Launched : 2013
JSM Clinical Pharmaceutics
ISSN : 2379-9498
Launched : 2014
JSM Foot and Ankle
ISSN : 2475-9112
Launched : 2016
JSM Alzheimer's Disease and Related Dementia
ISSN : 2378-9565
Launched : 2014
Journal of Addiction Medicine and Therapy
ISSN : 2333-665X
Launched : 2013
Journal of Veterinary Medicine and Research
ISSN : 2378-931X
Launched : 2013
Annals of Public Health and Research
ISSN : 2378-9328
Launched : 2014
Annals of Orthopedics and Rheumatology
ISSN : 2373-9290
Launched : 2013
Journal of Clinical Nephrology and Research
ISSN : 2379-0652
Launched : 2014
Annals of Community Medicine and Practice
ISSN : 2475-9465
Launched : 2014
Annals of Biometrics and Biostatistics
ISSN : 2374-0116
Launched : 2013
JSM Clinical Case Reports
ISSN : 2373-9819
Launched : 2013
Journal of Cancer Biology and Research
ISSN : 2373-9436
Launched : 2013
Journal of Surgery and Transplantation Science
ISSN : 2379-0911
Launched : 2013
Journal of Dermatology and Clinical Research
ISSN : 2373-9371
Launched : 2013
JSM Gastroenterology and Hepatology
ISSN : 2373-9487
Launched : 2013
Annals of Nursing and Practice
ISSN : 2379-9501
Launched : 2014
JSM Dentistry
ISSN : 2333-7133
Launched : 2013
Author Information X