Loading

Journal of Substance Abuse and Alcoholism

Prevalence of Cavum Septum Pellucidum in Alcohol Dependent Patients: A Comparative CT Study

Research Article | Open Access | Volume 3 | Issue 2

  • 1. S. S. Raju Centre for Addiction Psychiatry, Central Institute of Psychiatry, India 2
  • 2. Department of Neuroimaging, Central Institute of Psychiatry, India
+ Show More - Show Less
Corresponding Authors
Khess CRJ, S. S. Raju Centre for Addiction Psychiatry, Central Institute of Psychiatry, Kanke, Ranchi-834006, India Tel: +91-651-2450448; Fax: +91-651-2450823
ABSTRACT

Presence of abnormal cavum septum pellucidum (CSP) in patients of schizophrenia has been reported in many studies. CSP has not been reported in patients of Alcohol dependent syndrome (ADS), though less brain weight and volumespecially of white matter has been found in neuropathological studies. We selected the CT scans,done in the year 2012 and 2013 of male patients of alcohol dependence syndrome and normal controls, who had been referred for CT scanning to the GirindraShekhar Bose Centre for Neuroimaging and Radiological Sciencesof Central Institute of Psychiatry (C.I.P.), Ranchi, for various reasons. We found 54 CT scans of alcohol dependent male patients and 34 CT scans of normal male controls,who satisfiedthe inclusion and exclusion criteria. We defined any CSP greater than or equal to 6mm in length as abnormal. We found significantly increased prevalence of abnormal CSP in alcohol dependent patients (p= 0.007). Similarly, dimension (length and width of cavum and width of septum) of CSP were significantly larger in patient group than controls.

KEYWORDS

• CSP
• Dimensions of CSP
• Alcohol dependence
• CT scan

CITATION

Khess CRJ, Srivastava NK, Chail V2, Singh S, Khanra S (2015) Prevalence of Cavum Septum Pellucidum in Alcohol Dependent Patients: A Comparative CT Study. J Subst Abuse Alcohol 3(2): 1030.

ABBREVIATIONS

CSP: Cavum Septum Pellucidum; CT scan: Computed Tomography Scan; ADS: Alcohol Dependence Syndrome; ICD10, DCR: International Classification of Diseases-10/Diagnostic Criteria for Research; CIP: Central Institute of Psychiatry

INTRODUCTION

Limbic system along with prefrontal cortex plays an important role in reward-related behaviours of substance dependence [1,2]. Role of reduced volume of amygdala has been noticed in developing alcoholism in high risk individuals [3]. Among different limbic system structures cavum septum pellucidum (CSP) is a marker of limbic system dysgenesis which is due to incomplete fusion of the two leaves of the septum [4].

It is still a debate whether cavumseptiare associated with neuropsychiatric disturbances. A small cavum has been considered as a normal variant (less than 6mm.), but large cavum (=> 6mm)has been found with increased frequency in patients of schizophrenia when compared to normal controls in many studies [5-8].

Though its prevalence in patients of alcohol dependence has not been explored much, only Filipovic et al. [9,10] had looked into the differences in morphological features of CSP in autopsied cadavers of patients of alcohol dependence, schizophrenia and traumatized individuals and compared themwith the morphological features of normal cadavers. In alcohol dependent patients, reduced brain weight and atrophy due to reduction in white matter volume, was noticed and it correlated with the amount of alcohol consumed [11]. Changes in myelination and axonal integrity have been stated to be the probable reason for white matter loss [12]. Prefrontal white matter was noted to be the most severely affected region of the brain [13].

In this study we compared the prevalence of normal and abnormal CSP and its dimensions (length of cavity, width of cavity and width of septum) between patients of alcohol dependence and normal subjects using CT scan.

MATERIALS AND METHODS

We selected the CT scans of all patients (aged 18 to 60 years) who had been diagnosed as a case of Alcohol Dependence Syndrome (ADS)in the year 2012 and 2013 as per ICD-10, DCR [14] and who had been admitted in the S.S. Raju Centre for Addiction Psychiatry, C.I.P., Ranchi. Thesepatients had been referred for CT scanning due to history of complicated withdrawal, history of any type of head injury (significant or insignificant) and for research purpose. We had not selected CT scans of patientsin whom there were any signs of significant head injury, history of neurological illness, systemic illness having potential cognitive consequences, history of any other substance dependence, except nicotine and caffeine and history of any other psychiatric diagnosis.

We excluded all CT scans in which any pathological change was noted. We found 72 CT scans of patients of ADS out of which 7 had history of significant head injury and in 11 CT scans pathological changes were noted. Finally we found 54 subjects who met the study criteria and out of these 54 subjects, 20 had history of delirium and 19 had withdrawal seizures. These patients were all male subjectsbecause we seldom have female dependent inpatient at our centre.

For controls we selected the CT scans of all the male staffof C.I.P. (aged 18 to 60 years) who had undergone CT scanning during the same period and who had no psychiatric diagnosis. These staff members had CT scanning of their brain for minor problems like headache, dizziness and insignificant or minimal head injury.

Any history of neurological illness, significant head injury, and systemic illness with potential cognitive sequele, or current substance abuse or past substance dependence on any other substance except nicotine and caffeine, were excluded from the control group. Finally, we found 64controls including males and females, out of which 34 CT scans of males were included for the study.

We defined significant head injury when there was history of loss of consciousness, amnesia or disorientation and a Glasgow Coma Scale (GCS) score of 13–15 [15,16]. If there was no history of loss of consciousness or amnesia or hospital admission after head injury we defined it as insignificant head injury [17].

For acquiring images Siemens 16 slice CT machine was used. Slices were obtained as per imaging protocol from base of skull through vertex in axial plane. Initially slices were of 4.8 mm in width. Images were further reconstructed at thinner sections, up to 0.75 mm thickness in axial and coronal planes for detailed analysis. The radiologist was blind to the diagnosis. We selected all those scans in which slightest CSP was visible for analysis. Length and width of cavity along with width of septum were measured in the slice with largest dimension of CSP.

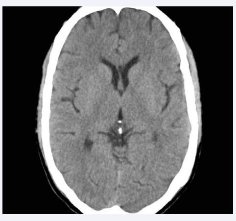
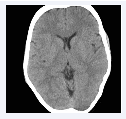
For determining and defining prevalence of normal and abnormal CSP we used the criteria that had been used in previous studies [8,18-20]. In these studies any CSP equal to or greater than 6 mm in length had been defined as abnormally large (Picture 1 & 2). CT scans of all patients and controls were reviewed, without knowledge of the diagnostic group by a neuroradiologist and a psychiatrist trained in neuroanatomy. Each rating was assigned on the basis of a consensus between the two examiners.

C.T. scan of an alcohol dependent patient showing abnormal  CSP (Length 7.0mm, Width 2.8mm, Width of septum 1.6mm)

Figure 1: C.T. scan of an alcohol dependent patient showing abnormal CSP (Length 7.0mm, Width 2.8mm, Width of septum 1.6mm)

Abbreviation: CSP: Cavum Septum Pellucidum

C. T. scan of an alcohol dependent patient showing abnormal  CSP (Length 9.6mm, Width 4.7mm, Width of septum 1.2mm)

Figure 2: C. T. scan of an alcohol dependent patient showing abnormal CSP (Length 9.6mm, Width 4.7mm, Width of septum 1.2mm)

Abbreviation: CSP: Cavum Septum Pellucidum

We also compared the dimensions of CSP in the patients of ADS with and without history of complicated withdrawal.

We used χ2 (Chi-square) test for categorical variables (presence/absence of CSP and presence/absence of abnormal CSP) and student t- test for continuous variables (dimensions of CSP). Two-tailed P<0.05 was considered statistically significant.

RESULTS

From (Table 1), it is evident that mean age and education (no. of years of schooling) of patients and controls were matched. Mean age of patients and controls were 39.15±8.33 years and 39.44±13.38 years respectively, while the years of education were 11.20±3.22 years and 10.68±3.50 years respectively.

Table 1: Comparison of age & education between patients of ADS and controls.

Variables Patients (N=54)
Mean ± SD
Controls (N=34)
Mean ± SD
t value df p
Age 39.15±8.33 39.44±13.38 0.127 86 0.899
Education
(no. of years of schooling)
11.20±3.22 10.68±3.50 -0.724 86 0.471

*Level of significance accepted at p value of 0.05; **level of significance accepted at p value 0.01; ***level of significance accepted at p value 0.001

Abbreviation: ADS: Alcohol Dependence Syndrome

The mean age of starting alcohol use in patients was 24.17±7.31 years. When we compared the presence or absence of CSP between patients and controls the difference was significant (p= 0.007). Out of a total of 54 patients, 24 patients had CSP (44.4%). In these 24 patients, 10 (18.5%) had CSP less than 6 mm in length, while 14 (25.9%) had CSP equal or greater than 6 mm in length. On the other hand only 4 (11.8%) controls had CSP out of a total of 34, in which 2 (5.9%) controls had CSP less than 6 mm in length and similar number of controls had CSP equal or greater than 6 mm in length (Table 2).

Table 2: Presence and absence of CSP between patients of ADS and controls.

CSP Patients
N=54 (100%)
Controls
N=34 (100%)
χ2 value df p
Absent 30 (55.6%) 30 (88.2%) 10.277f 2 0.007**
Present &<6mm 10 (18.5%) 2 (5.9%)
Present &=>6mm i.e. abnormal CSP 14 (25.9%) 2 (5.9%)

*Level of significance accepted at p value of 0.05; **level of significance accepted at p value 0.01; ***level of significance accepted at p value 0.001
Abbreviations: CSP: Cavum Septum Pellucidum; ADS: Alcohol Dependence Syndrome

Table 3 shows the comparisons of dimensions (length and width of CSP and width of septum) of the two groups. Significant differences were noticed for each of the dimension, with significantly larger dimensions found in patients. The length and width of CSP and width of septum were 4.43±8.69 mm, 1.26±1.92 mm and 0.59±0.69 mm respectively, for patients while that of controls were 0.61±1.76 mm, 0.27±0.76 mm and 0.16±0.45 mm, the p value for each of these dimensions were 0.014, 0.005 and 0.002 respectively.

Table 3: Comparison of Dimensions of CSP for patients of ADS and controls.

Dimensions of CSP Patients (ADS) Controls t value df p
Length of CSP
Mean ± SD (mm)
4.43±8.69 0.61±1.76 -2.519 86 0.014*
Width of CSP
Mean ± SD (mm)
1.26±1.92 0.27±0.76 -2.870 86 0.005**
Width of septum
Mean ± SD (mm)
0.59±0.69 0.16±0.45 -3.268 86 0.002**

*Level of significance accepted at p value of 0.05; **level of significance accepted at p value 0.01; ***level of significance accepted at p value 0.001
Abbreviations: CSP: Cavum Septum Pellucidum; ADS: Alcohol Dependence Syndrome

When we compared the dimensions of CSP in the patients of ADS with and without history of complicated withdrawal no significant difference was found (Table 4).

Table 4: Prevalence of normal and abnormal CSP in patients of complicated alcohol withdrawal history.

  CSP absent CSP< 6mm CSP>6mm χ2 value df p
Delirium
Absent 18 (60%) 7 (70%) 9 (64.3%) 0.360 f 2 0.929
Present 12 (40%) 3 (30%) 5 (35.7%)
Withdrawal seizure
Absent 22 (73.3%) 7 (70%) 6 (42.9%) 3.860 f 2 0.149
Present 8 (26.7%) 3 (30%) 8 (57.1%)

*Level of significance accepted at p value of 0.05; **level of significance accepted at p value 0.01; ***level of significance accepted at p value 0.001
Abbreviation: CSP: Cavum Septum Pellucidum

DISCUSSION

In chronic alcoholism smaller regional brain volumes, functional and metabolic deficits have been observed in different neuroimaging and pathological studies. The commonly involved structures in chronic alcohol dependent patients are frontal and parietal white matter, cortical gray matter, cerebellum, mesial temporal lobe, subcortical structures, corpus callosum, and mammillary bodies [21-24]. Recent neuroimaging studies have indicated loss of brainstem volume particularly in pons [25-28]. No study except for that by Filipovic et al. [9,10] had looked for CSP in such patients.

They had found presence of CSP in 58.14% of 25 autopsied alcohol dependent patients, which was more than the prevalence found in our study (44.4%).

The mean dimensions of CSP were significantly larger in patients of alcohol dependence than normal controls. This increased prevalence of CSP in alcohol dependent individuals was not related to presence and absence of history of complicated withdrawal. Prolonged alcohol use seems to be the most probable reason for increased prevalence of CSP along with significantly abnormal dimensions, since other psychiatric disorders [29,30] which might cause CSP abnormality, were excluded.

Septal area has been recognised for reward behaviours and pleasure for long [31,32]. Some other studies [33] have suggested role of septal nuclei encompassing septum pellucidum and other limbic structures (nucleus accumbens, amygdala, hippocampus and thalamus) in drug sensitization and reinforcement. Hypersensitisation to different substances of this area may lead to addictive behaviours [34]. So it can be said that presence of abnormal CSP may give rise to alcoholism.

Furthermore in the neurodevelopmental model of substance dependence, abnormal development of limbic structures like reduced amygdala volume has been found in later development of alcoholism [3] and abnormal CSP enlargement has been suggested to have a role in early onset of opioid dependence [35].

Chronic alcoholism leads to degeneration of various parts of the brain including demyelination of corpus callosum (Marchiafava-Bignami disease), hemispheric white matterand gray mater [36-39]. Demyelination is due to infiltration of lipid laden macrophages distributed around axons and blood vessels [40]. Due to necrosis, corpus callosumsplits into layers and this could produce cystic lesions with gliotic walls [41].

The increased prevalence of CSP in chronic alcohol dependent patients could be caused by the demyelination and separation of the two laminae of septum pellucidum which might lead to development of cavum [42,43]. This may be another probable explanation which requires further research.

CONCLUSION

Though increased prevalence of abnormal CSP has been noticed in patients of schizophrenia, effect of chronic alcohol use on CSP remains less investigated. This is the first radiological study which looked for the prevalence and change in dimensions of CSP. Our results indicate increased prevalence of CSP along with significantly abnormal dimension (length and width of CSP and width of septum) in patients of alcohol dependence compared to normal controls. The exact reason for this is still to be understood whether presence of abnormal CSPcauses alcoholism as per the neurodevelopmental hypothesis or prolonged use of alcohol gives rise to development of abnormal CSP as per the neurodegenerative model.

The limitations of this study wereselection of only male patients and a retrospective design. CT scans of patients who had been referred for complicated withdrawal and research purposes were studied so generalization of the findings should be made with caution.

REFERENCES

1. Fowler JS, Volkow ND, Kassed CA, Chang L. Imaging the addicted human brain. Sci Pract Perspect. 2007; 3: 4-16.

2. Koob GF, Volkow ND. Neurocircuitry of addiction. Neuropsychopharmacology. 2010; 35: 217-238.

3. Hill SY, De Bellis MD, Keshavan MS, Lowers L, Shen S, Hall J, et al. Right amygdala volume in adolescent and young adult offspring from families at high risk for developing alcoholism. Biol Psychiatry. 2001; 49: 894-905.

4. Sarwar M. The septum pellucidum: normal and abnormal. AJNR Am J Neuroradiol. 1989; 10: 989-1005.

5. Degreef G, Bogerts B, Falkai P, Greve B, Lantos G, Ashtari M, et al. Increased prevalence of the cavum septum pellucidum in magnetic resonance scans and post-mortem brains of schizophrenic patients. Psychiat Res-Neuroim. 1992; 45: 1–13.

6. DeLisi LE, Hoff AL, Kushner M, Degreef G. Increased prevalence of cavum septum pellucidum in schizophrenia. Psychiatry Res. 1993; 50: 193-199.

7. Nopoulos P, Swayze V, Flaum M, Ehrhardt JC, Yuh WT, Andreasen NC. Cavum septi pellucidi in normals and patients with schizophrenia as detected by magnetic resonance imaging. Biol Psychiatry. 1997; 41: 1102-1108.

8. Kwon JS, Shenton ME, Hirayasu Y, Salisbury DF, Fischer IA, Dickey CC, et al. MRI study of cavum septi pellucidi in schizophrenia, affective disorder, and schizotypal personality disorder. Am J Psychiatry. 1998; 155: 509-515.

9. Filipovic B, Teofilovski-Parapid G, Stojicic M. Comparative postmortem study of cavum septi pellucidi in alcoholics, schizophrenics and aggressive persons. Folia Morphol (Warsz). 2000; 58: 297-305.

10. Filipovic B, Prostran M, Ilankovic N, Filipovic B. Predictive potential of cavum septi pellucidi (CSP) in schizophrenics, alcoholics and persons with past head trauma. A post-mortem study. Eur Arch Psychiatry Clin Neurosci. 2004; 254: 228-230.

11. Harper C. The neuropathology of alcohol-specific brain damage, or does alcohol damage the brain?. J Neuropathol Exp Neurol. 1998; 57: 101-110.

12. Baker KG, Harding AJ, Halliday GM, Kril JJ, Harper CG. Neuronal loss in functional zones of the cerebellum of chronic alcoholics with and without Wernicke’s encephalopathy. Neuroscience. 1999; 91: 429- 438.

13. Kril JJ, Halliday GM, Svoboda MD, Cartwright H. The cerebral cortex is damaged in chronic alcoholics. Neuroscience. 1997; 79: 983-998.

14. World Health Organisation. The ICD-10 classification of mental and behavioural disorders, Diagnostic criteria for research. 1993; Geneva.

15. Shackford SR, Wald SL, Ross SE, Cogbill TH, Hoyt DB, Morris JA, et al. The clinical utility of computed tomographic scanning and neurologic examination in the management of patients with minor head injuries. J Trauma. 1992; 33: 385-394.

16. Thiruppathy SP, Muthukumar N. Mild head injury: revisited. Acta Neurochir (Wien). 2004; 146: 1075-1082.

17. Stiell IG, Wells GA, Vandemheen K, Clement C, Lesiuk H, Laupacis A, McKnight RD. The Canadian CT Head Rule for patients with minor head injury. Lancet. 2001; 357: 1391-1396.

18. Nopoulos PC, Giedd JN, Andreasen NC, Rapoport JL. Frequency and severity of enlarged cavum septi pellucidi in childhood-onset schizophrenia. Am J Psychiatry. 1998; 155: 1074-1079.

19. Dickey CC, McCarley RW, Xu ML, Seidman LJ, Voglmaier MM, Niznikiewicz MA, et al. MRI abnormalities of the hippocampus and cavum septi pellucidi in females with schizotypal personality disorder. Schizophr Res. 2007; 89: 49-58.

20. Choi JS, Kang DH, Park JY, Jung WH, Choi CH, Chon MW, et al. Cavum septum pellucidum in subjects at ultra-high risk for psychosis: compared with first-degree relatives of patients with schizophrenia and healthy volunteers. Prog Neuropsychopharmacol Biol Psychiatry. 2008; 32: 1326-1330.

21. Pfefferbaum A, Sullivan EV, Mathalon DH, Shear PK, Rosenbloom MJ, Lim KO. Longitudinal changes in magnetic resonance imaging brain volumes in abstinent and relapsed alcoholics. Alcohol Clin Exp Res. 1995; 19: 1177-1191.

22. Sullivan EV. NIAAA Research Monograph No. 34, Chapter 14: Human brain vulnerability to alcoholism: Evidence from neuroimaging studies. In Noronha A, Eckardt M, Warren K (eds): Review of NIAAA’s neuroscience and behavioral research porfolio. 2000; 473–508.

23. Picciotto MR, Corrigall WA. Neuronal systems underlying behaviors related to nicotine addiction: neural circuits and molecular genetics. J Neurosci. 2002; 22: 3338–3341.

24. Scroop R, Sage MR, Voyvodic F, Kat E. Radiographic imaging procedures in the diagnosis of the major central neuropathological consequences of alcohol abuse. Australas Radiol. 2002; 46: 146-153.

25. Kuruoglu AC, Arikan Z, Vural G, Karatas M, Arac M, Isik E. Single photon emission computerised tomography in chronic alcoholism. Antisocial personality disorder may be associated with decreased frontal perfusion. Br J Psychiatry. 1996; 169: 348–354.

26. Sullivan EV, Pfefferbaum A. Magnetic resonance relaxometry reveals central pontine abnormalities in clinically asymptomatic alcoholic men. Alcohol ClinExp Res. 2001; 25: 1206–1212.

27. Pfefferbaum A, Rosenbloom M, Sullivan EV. Alcoholism and AIDS: magnetic resonance imaging approaches for detecting interactive neuropathology. Alcohol Clin Exp Res. 2002; 26: 1031-1046.

28. Sullivan EV, Rosenbloom MJ, Serventi KL, Deshmukh A, Pfefferbaum A. Effects of alcohol dependence comorbidity and antipsychotic medication on volumes of the thalamus and pons in schizophrenia. Am J Psychiatry. 2003; 160: 1110-1116.

29. Kim MJ, Lyoo IK, Dager SR, Friedman SD, Chey J, Hwang J, et al. The occurrence of cavum septi pellucidi enlargement is increased in bipolar disorder patients. Bipolar Disord. 2007; 9: 274-280.

30. Rajarethinam R, Sohi J, Arfken C, Keshavan MS. No difference in the prevalence of cavum septum pellucidum (CSP) between first-episode schizophrenia patients, offspring of schizophrenia patients and healthy controls. Schizophr Res. 2008; 103: 22-25.

31. OLDS J, MILNER P. Positive reinforcement produced by electrical stimulation of septal area and other regions of rat brain. J Comp Physiol Psychol. 1954; 47: 419-427.

32. Gavello-Baudy S, Le Merrer J, Decorte L, David V, Cazala P. Self-administration of the GABAA agonist muscimol into the medial septum: dependence on dopaminergic mechanisms. Psychopharmacology (Berl). 2008; 201: 219-228.

33. Ikemoto S. Brain reward circuitry beyond the mesolimbic dopamine system: a neurobiological theory. Neurosci Biobehav Rev. 2010; 35: 129-150.

34. Robinson TE, Berridge KC. Incentive-sensitization and addiction. Addiction. 2001; 96: 103-114.

35. Hwang J, Kim JE, Kaufman MJ, Renshaw PF, Yoon S, Yurgelun-Todd DA, et al. Enlarged Cavum Septum Pellucidum as a Neurodevelopmental Marker in Adolescent-Onset Opiate Dependence. Plos One. 2013; 8: e78590.

36. Chang KH, Cha SH, Han MH, Park SH, Nah DL, Hong JH. Marchiafava-Bignami disease: serial changes in corpus callosum on MRI. Neuroradiology. 1992; 34: 480-482.

37. Ruiz-Martinez J, Martinez Perez-Balsa A, Ruibal M, Urtasun M, Villanua J, Marti Masso JF. Marchiafava-Bignami disease with widespread extracallosal lesions and favourable course. Neuroradiology. 1999; 41: 40–43.

38. Arbelaez A, Pajon A, Castillo M. Acute Marchiafava-Bignami disease: MR findings in two patients. AJNR Am J Neuroradiol. 2003; 24: 1955- 1957.

39. Kawarabuki K, Sakakibara T, Hirai M, Yoshioka Y, Yamamoto Y, Yamaki T. Marchiafava-Bignami disease: magnetic resonance imaing findings in corpus callosum and subcortical white matter. Eur J Radiol. 2003; 48: 175–177.

40. Ghatak NR, Hadfield MG, Rosenblum WI. Association of central pontine myelinolysis and Marchiafave-Bignami disease. Neurology. 1978; 28: 1295-1298.

41. Shiota J, Nakano I, Kawamura M, Hirayama K. An autopsy case of Marchiafava-Bignami disease with peculiar chronological CT changes in the corpus callosum: neuroradiopathological correlations. J Neurol Sci.1996; 136: 90-93.

42. Estruch R, Nicolás JM, Salamero M, Aragón C, Sacanella E, Fernández-Solà J, et al. Atrophy of the corpus callosum in chronic alcoholism. J Neurol Sci. 1997; 146: 145-151.

43. Pfefferbaum A, Sullivan EV, Hedehus M, Adalsteinsson E, Lim KO, Moseley M. In vivo detection and functional correlates of white matter microstructural disruption in chronic alcoholism. Alcohol Clin Exp Res. 2000; 24: 1214-1221

Khess CRJ, Srivastava NK, Chail V2, Singh S, Khanra S (2015) Prevalence of Cavum Septum Pellucidum in Alcohol Dependent Patients: A Comparative CT Study. J Subst Abuse Alcohol 3(2): 1030.

Received : 11 Feb 2015
Accepted : 17 Feb 2015
Published : 18 Feb 2015
Journals
Annals of Otolaryngology and Rhinology
ISSN : 2379-948X
Launched : 2014
JSM Schizophrenia
Launched : 2016
Journal of Nausea
Launched : 2020
JSM Internal Medicine
Launched : 2016
JSM Hepatitis
Launched : 2016
JSM Oro Facial Surgeries
ISSN : 2578-3211
Launched : 2016
Journal of Human Nutrition and Food Science
ISSN : 2333-6706
Launched : 2013
JSM Regenerative Medicine and Bioengineering
ISSN : 2379-0490
Launched : 2013
JSM Spine
ISSN : 2578-3181
Launched : 2016
Archives of Palliative Care
ISSN : 2573-1165
Launched : 2016
JSM Nutritional Disorders
ISSN : 2578-3203
Launched : 2017
Annals of Neurodegenerative Disorders
ISSN : 2476-2032
Launched : 2016
Journal of Fever
ISSN : 2641-7782
Launched : 2017
JSM Bone Marrow Research
ISSN : 2578-3351
Launched : 2016
JSM Mathematics and Statistics
ISSN : 2578-3173
Launched : 2014
Journal of Autoimmunity and Research
ISSN : 2573-1173
Launched : 2014
JSM Arthritis
ISSN : 2475-9155
Launched : 2016
JSM Head and Neck Cancer-Cases and Reviews
ISSN : 2573-1610
Launched : 2016
JSM General Surgery Cases and Images
ISSN : 2573-1564
Launched : 2016
JSM Anatomy and Physiology
ISSN : 2573-1262
Launched : 2016
JSM Dental Surgery
ISSN : 2573-1548
Launched : 2016
Annals of Emergency Surgery
ISSN : 2573-1017
Launched : 2016
Annals of Mens Health and Wellness
ISSN : 2641-7707
Launched : 2017
Journal of Preventive Medicine and Health Care
ISSN : 2576-0084
Launched : 2018
Journal of Chronic Diseases and Management
ISSN : 2573-1300
Launched : 2016
Annals of Vaccines and Immunization
ISSN : 2378-9379
Launched : 2014
JSM Heart Surgery Cases and Images
ISSN : 2578-3157
Launched : 2016
Annals of Reproductive Medicine and Treatment
ISSN : 2573-1092
Launched : 2016
JSM Brain Science
ISSN : 2573-1289
Launched : 2016
JSM Biomarkers
ISSN : 2578-3815
Launched : 2014
JSM Biology
ISSN : 2475-9392
Launched : 2016
Archives of Stem Cell and Research
ISSN : 2578-3580
Launched : 2014
Annals of Clinical and Medical Microbiology
ISSN : 2578-3629
Launched : 2014
JSM Pediatric Surgery
ISSN : 2578-3149
Launched : 2017
Journal of Memory Disorder and Rehabilitation
ISSN : 2578-319X
Launched : 2016
JSM Tropical Medicine and Research
ISSN : 2578-3165
Launched : 2016
JSM Head and Face Medicine
ISSN : 2578-3793
Launched : 2016
JSM Cardiothoracic Surgery
ISSN : 2573-1297
Launched : 2016
JSM Bone and Joint Diseases
ISSN : 2578-3351
Launched : 2017
JSM Bioavailability and Bioequivalence
ISSN : 2641-7812
Launched : 2017
JSM Atherosclerosis
ISSN : 2573-1270
Launched : 2016
Journal of Genitourinary Disorders
ISSN : 2641-7790
Launched : 2017
Journal of Fractures and Sprains
ISSN : 2578-3831
Launched : 2016
Journal of Autism and Epilepsy
ISSN : 2641-7774
Launched : 2016
Annals of Marine Biology and Research
ISSN : 2573-105X
Launched : 2014
JSM Health Education & Primary Health Care
ISSN : 2578-3777
Launched : 2016
JSM Communication Disorders
ISSN : 2578-3807
Launched : 2016
Annals of Musculoskeletal Disorders
ISSN : 2578-3599
Launched : 2016
Annals of Virology and Research
ISSN : 2573-1122
Launched : 2014
JSM Renal Medicine
ISSN : 2573-1637
Launched : 2016
Journal of Muscle Health
ISSN : 2578-3823
Launched : 2016
JSM Genetics and Genomics
ISSN : 2334-1823
Launched : 2013
JSM Anxiety and Depression
ISSN : 2475-9139
Launched : 2016
Clinical Journal of Heart Diseases
ISSN : 2641-7766
Launched : 2016
Annals of Medicinal Chemistry and Research
ISSN : 2378-9336
Launched : 2014
JSM Pain and Management
ISSN : 2578-3378
Launched : 2016
JSM Women's Health
ISSN : 2578-3696
Launched : 2016
Clinical Research in HIV or AIDS
ISSN : 2374-0094
Launched : 2013
Journal of Endocrinology, Diabetes and Obesity
ISSN : 2333-6692
Launched : 2013
JSM Neurosurgery and Spine
ISSN : 2373-9479
Launched : 2013
Journal of Liver and Clinical Research
ISSN : 2379-0830
Launched : 2014
Journal of Drug Design and Research
ISSN : 2379-089X
Launched : 2014
JSM Clinical Oncology and Research
ISSN : 2373-938X
Launched : 2013
JSM Bioinformatics, Genomics and Proteomics
ISSN : 2576-1102
Launched : 2014
JSM Chemistry
ISSN : 2334-1831
Launched : 2013
Journal of Trauma and Care
ISSN : 2573-1246
Launched : 2014
JSM Surgical Oncology and Research
ISSN : 2578-3688
Launched : 2016
Annals of Food Processing and Preservation
ISSN : 2573-1033
Launched : 2016
Journal of Radiology and Radiation Therapy
ISSN : 2333-7095
Launched : 2013
JSM Physical Medicine and Rehabilitation
ISSN : 2578-3572
Launched : 2016
Annals of Clinical Pathology
ISSN : 2373-9282
Launched : 2013
Annals of Cardiovascular Diseases
ISSN : 2641-7731
Launched : 2016
Journal of Behavior
ISSN : 2576-0076
Launched : 2016
Annals of Clinical and Experimental Metabolism
ISSN : 2572-2492
Launched : 2016
Clinical Research in Infectious Diseases
ISSN : 2379-0636
Launched : 2013
JSM Microbiology
ISSN : 2333-6455
Launched : 2013
Journal of Urology and Research
ISSN : 2379-951X
Launched : 2014
Journal of Family Medicine and Community Health
ISSN : 2379-0547
Launched : 2013
Annals of Pregnancy and Care
ISSN : 2578-336X
Launched : 2017
JSM Cell and Developmental Biology
ISSN : 2379-061X
Launched : 2013
Annals of Aquaculture and Research
ISSN : 2379-0881
Launched : 2014
Clinical Research in Pulmonology
ISSN : 2333-6625
Launched : 2013
Journal of Immunology and Clinical Research
ISSN : 2333-6714
Launched : 2013
Annals of Forensic Research and Analysis
ISSN : 2378-9476
Launched : 2014
JSM Biochemistry and Molecular Biology
ISSN : 2333-7109
Launched : 2013
Annals of Breast Cancer Research
ISSN : 2641-7685
Launched : 2016
Annals of Gerontology and Geriatric Research
ISSN : 2378-9409
Launched : 2014
Journal of Sleep Medicine and Disorders
ISSN : 2379-0822
Launched : 2014
JSM Burns and Trauma
ISSN : 2475-9406
Launched : 2016
Chemical Engineering and Process Techniques
ISSN : 2333-6633
Launched : 2013
Annals of Clinical Cytology and Pathology
ISSN : 2475-9430
Launched : 2014
JSM Allergy and Asthma
ISSN : 2573-1254
Launched : 2016
Journal of Neurological Disorders and Stroke
ISSN : 2334-2307
Launched : 2013
Annals of Sports Medicine and Research
ISSN : 2379-0571
Launched : 2014
JSM Sexual Medicine
ISSN : 2578-3718
Launched : 2016
Annals of Vascular Medicine and Research
ISSN : 2378-9344
Launched : 2014
JSM Biotechnology and Biomedical Engineering
ISSN : 2333-7117
Launched : 2013
Journal of Hematology and Transfusion
ISSN : 2333-6684
Launched : 2013
JSM Environmental Science and Ecology
ISSN : 2333-7141
Launched : 2013
Journal of Cardiology and Clinical Research
ISSN : 2333-6676
Launched : 2013
JSM Nanotechnology and Nanomedicine
ISSN : 2334-1815
Launched : 2013
Journal of Ear, Nose and Throat Disorders
ISSN : 2475-9473
Launched : 2016
JSM Ophthalmology
ISSN : 2333-6447
Launched : 2013
Journal of Pharmacology and Clinical Toxicology
ISSN : 2333-7079
Launched : 2013
Annals of Psychiatry and Mental Health
ISSN : 2374-0124
Launched : 2013
Medical Journal of Obstetrics and Gynecology
ISSN : 2333-6439
Launched : 2013
Annals of Pediatrics and Child Health
ISSN : 2373-9312
Launched : 2013
JSM Clinical Pharmaceutics
ISSN : 2379-9498
Launched : 2014
JSM Foot and Ankle
ISSN : 2475-9112
Launched : 2016
JSM Alzheimer's Disease and Related Dementia
ISSN : 2378-9565
Launched : 2014
Journal of Addiction Medicine and Therapy
ISSN : 2333-665X
Launched : 2013
Journal of Veterinary Medicine and Research
ISSN : 2378-931X
Launched : 2013
Annals of Public Health and Research
ISSN : 2378-9328
Launched : 2014
Annals of Orthopedics and Rheumatology
ISSN : 2373-9290
Launched : 2013
Journal of Clinical Nephrology and Research
ISSN : 2379-0652
Launched : 2014
Annals of Community Medicine and Practice
ISSN : 2475-9465
Launched : 2014
Annals of Biometrics and Biostatistics
ISSN : 2374-0116
Launched : 2013
JSM Clinical Case Reports
ISSN : 2373-9819
Launched : 2013
Journal of Cancer Biology and Research
ISSN : 2373-9436
Launched : 2013
Journal of Surgery and Transplantation Science
ISSN : 2379-0911
Launched : 2013
Journal of Dermatology and Clinical Research
ISSN : 2373-9371
Launched : 2013
JSM Gastroenterology and Hepatology
ISSN : 2373-9487
Launched : 2013
Annals of Nursing and Practice
ISSN : 2379-9501
Launched : 2014
JSM Dentistry
ISSN : 2333-7133
Launched : 2013
Author Information X