B-Cell Malignant Non-Hodgkin
- 1. Department of Otolaryngology, Zhe Jiang University, China
ABSTRACT
Lymphoma is usually the malignant tumor which originates from lymph node or lymph-tissues. The nasal cavity and paranasal sinuses are rare primary sites for lymphoma. In the paranasal sinuses, lymphoma of maxillary sinuses is the most common, ethmoidal sinuses is more than that of frontal sinuses, sphenoid sinuses is the least. The most common presenting symptoms are nasal obstruction, rhinorrhoea and epistaxia. The majority of the malignant non-Hodgkin’s lymphoma of the sinonasal tract is T/NK cell lymphoma, while B cell lymphoma is rare. The B-cell malignant nonHodgkin’s lymphoma of the sphenoid sinus cavity has never been reported in the previous literature. In this report, we present a case of B-cell malignant non-Hodgkin’s lymphoma of the sphenoid sinus, and the important immunohistological marks including CD3, CD20, CD79a and CD45RO are all positive.
KEYWORDS
Sphenoid sinus, Lymphoma diagnose
CITATION
Wang Q, Zhou SH, Chai L (2014) B-Cell Malignant Non-Hodgkin’s Lymphoma of the Sphenoid Sinus Cavity: a Case Report and Brief Review of the Literature. Ann Otolaryngol Rhinol 1(2): 1010.
ABBREVIATIONS
Computed Tomography (CT), Epstein - Barr Virus (EBV)
INTRODUCTION
Lymphoma is usually the malignant tumor which originates from lymph node or other lymph-tissues. According to the characteristics of the tumor cell and the construction of the tumor, lymphoma is classified into two different kinds. One is Hodgkin’s disease, while the other is non-Hodgkin’s lymphoma. The nasal cavity and paranasal sinuses are rare primary sites for lymphoma .The pathology of the lymphoma is non-Hodgkin’s lymphoma. It happens in different ages. And the manifestation is untypical, which depends on the area on which the tumor encroaches. It presents nasal uncomfortableness and obstruction from the beginning, then followed by epistaxia and larynx pain, and finally the low fever and the lost of weight. The B-cell malignant nonHodgkin’s lymphoma of the sphenoid sinus cavity has never been reported in the previous literature. In this report, we will present a case of B-cell malignant non-Hodgkin’s lymphoma of the sphenoid sinus and a brief review of the literature.
CASE PRESENTATION
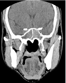
A 42-year-old man was referred to our hospital on 21 April 2005, complaining the 6 months right-side discontinuity nasal obstruction and 1 month right-side headache without pain of larynx, rhinorrhoea and epistaxia. On physical examinations,there was no new mass observed in the right-side nasal cavity. Computed tomography (CT) of the head and neck showed a mass localized to the sphenoid sinus cavity, but no bony destruction (Figure 1)
Figure 1: Computed tomography (CT) scan in the coronal view showing a mass localized to the sphenoid sinus cavity, but no bony destruction.
(Figure 2)
Figure 2: Enhanced CT scan (coronal plane) demonstrating a mass of the sphenoid sinus.
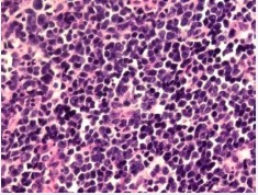
The result of pathology of the mass indicated lymphocytic infiltration and necrotic change (Figure 3).
Figure 3: Specimen revealed lymphocytic infiltration and necrotic change.(HE×400).
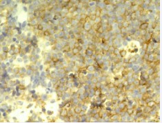
Immunohistological staining showed that the tumor cells were positive for L26, Bcl-2, CD3, CD20, CD79a and CD45RO (Figure 4),
Figure 4: Strongly positive staining for CD3 in tumor cells. (EnvisionTM×400).
(Figure 5)
Figure 5: Positive staining for CD20 in tumor cells. (EnvisionTM×400).
(Figure 6)
Figure 6: Positive staining for CD79a in tumor cells. (EnvisionTM×400).
but negative for CD8, S-100, CK and Tdt. The tumor was diagnosed as a B-cell malignant non-Hodgkin’s lymphoma. The CT of chest and abdomen and the endoscopic check of gastrointestinal showed no other mass. The endoscopic surgical procedure was done to remove the mass under general anesthesia with controlled hypotension. Then the patient was treated with combination of chemotherapy and radiotherapy. The patient was currently doing well, without evidence of recurrent disease.
DISCUSSION
Lymphoma, originating from lymph node or lymph-tissues, is the malignant tumor. The lymphoma of nasal cavity and paranasal sinus is accounting for 23%~31% of the sinonasal tract malignant tumor. Its incidence is higher in Asian and South American countries [1,2]. It always happened to 50-60 years old people. And the majority of the patients are male. The pathogenesis may be Epstein - Barr Virus (EBV) infection, cocaine abuse and industry pollution [3,4]. The malignant lymphoma of the sinonasal tract has been found in nasal cavity, every turbinate, meat uses, and nasal sinuses. Lymphoma of maxillary sinuses is the most common in the paranasal sinuses. Lymphoma of ethmoidal sinuses is more than that of frontal sinuses. And lymphoma of sphenoid sinuses is the least [5]. The B-cell malignant non-Hodgkin’s lymphoma of the sphenoid sinus cavity has never been reported in the previous literature. In this case, the CT of head and neck showed a mass localized to the sphenoid sinus cavity, but there is no bony destruction. The CT of chest and abdomen and the gastrointestinal endoscopic check showed no other mass. We supposed that it would originate from the sphenoid sinus.
Sphenoid sinus locates under the middle cranial fossa, which is close to cranial nerves. If the pathological changes take place in sphenoid sinus, it might present headache and sight obstacles. Because of lacking the symptoms of nose, people always go to other sections for medical advice, and that easily results in misdiagnosis. Sometimes the pathological changes is located, not invading into the surrounding organizations close by, and it can’t be found in the early stage before the symptoms related to the destroyed cranial nerves, such as the eye muscle paralysis, diplopia, etc. Nothing is found through nasal cavity checking in early days. The imagine check and the endoscopic check are the ways which can’t be replaced.
The CT can clearly show not only sphenoid sinus and nearby structure, but also the location, range and transfer of the pathological changes. We can find slight bone damage from CT in early days. It appears that soft tissues are swelling, with un-regular shape and well-distributed density. The CT value is always between 26-60Hu. After being strengthened, the focus is lightly or moderately enhanced. If the swelling tissues block the opening of the sinus, it would cause nasosinusitis. The inflation of soft tissues in the cavity of paranasal sinus will make the volume of the sinus cavity larger and the bone walls of sinus destroyed. When the lesion invasive into other tissues, it would spread in the form of “jumping” type. The polyp of nasal cavity and paranasal sinus have the ruler outlines, no bony breakage and lower CT value (<50Hu). The non-Hodgkin’s lymphoma, originating from nasal cavity and paranasal sinus, which is malignant tumor, present the positive bone change on the CT, such as the bone dilatability break. It is not like the other malignant tumor. In addition, there is a mucus loop (10-15Hu) because the gluing mucus stays between polyp tissues and nasal mucosa. The polyp has the soft organization density and places in the background of glue which has liquid density. The tumor does not have this characteristic on CT [6]. So it can be well used to distinguish malignant tumor and polyp.
The endoscopic check can show the entire nasal cavity clearly and can expose the openings and front wall of the sphenoid sinus. When it’s necessary, it can also do the puncture of the wall, make biopsy and take the opening window treatment. But because of the special dissection and pathology characteristics, the living specimen is often accompany with immediate infection and necrosis tissues, and cells with various composition and complicated appearance. All of those make the lower positive rate of the biopsy, misdiagnosis as inflammation, and so on. Therefore, we should avoid squeezing towards to living organization, take as deeply as possible to get the right specimen and avoid some inflammatory mucosa which decreases the accuracy. At the same time, we should avoid the pollution of the specimen. Because the very first time biopsy indeed is related to where the material is, it is appropriate to choose the specimen which locates between the normal organization and pathologic changes.
At the same time, if the lesion is high likely to be malignant tumor, biopsy with the regular HE stain and the immunochemistry would be helpful for clinical doctor to make sure the pathologic type and to choose the treatment plan. According to the meeting of Ann Arbor, the prognosis has something to do with clinical stage. In early stage, the 5-year-existence rate is 46%. In the IE stage, the 5-year-survival rate can amount to 80%. And the 5-year-existence rate of IIE stage is only 25%. It indicates that the cure rate is higher in early days; furthermore, it indicates the importance of diagnosing patient in early days and decreasing the misdiagnosis rate.
According to the morphology, the majority of sinonasal lymphoma is diffusion lymphoma, while a few was follicular lymphoma. Here we present a case of diffusion lymphoma. Previous literature supported that almost all the nasal cavity lymphoma originated from T cell. Immunohistological analysis shows that the rate of T/NK cell lymphoma to B-cell lymphoma is 3.33:1 in the sinonasal lymphoma [7]. Human believed that the majority of lymphoma was of large B-cell subtype in contrast to those presenting in the Far East and South America, which are predominantly of T-cell subtype (particularly of the NK cell) [8].
The most important immunohistological marks of lymphoma are CD45RO, CD56, CD3 and TIA-l. The nasal cavity B-cell lymphoma, which marks are L26 and 4KB5, seldom suggest EBV infection. In our case, immunohistological staining showed that the tumor cells were positive for L26, Bcl-2, CD3, CD20, CD79a and CD45RO, but negative for CD8, S-100, CK and Tdt. The tumor was diagnosed as a B-cell malignant non-Hodgkin’s lymphoma. Some literature reported that CD56 and EBV-encoded RNA (EBER) 1/2 were the symbols of the bad prognosis. The people with those marks were not sensitive to the therapy and would relapse to die in short time [9].
The chemotherapy treatment was always combined with radiotherapy, assisted by surgery and stem cell transplantation. After 70 cases survey, the 5 year survival was 20%-56% [10]. Logsdon considered that the combination of chemotherapy and radiotherapy could outstandingly improve the prognosis of early sinonasal lymphoma [11]. To the patients who are in the late period or with wide spread, we should enhance the chemotherapy. Radiotherapy usually take the dose of 28-66Gy, with sinus and cavity separated. The surgery was not curing treatment, but the way of biopsy. There are report suggested that high-dose chemotherapy, using autologous peripheral blood stem cell transplantation may be one of the effective treatments for relapsed nasal T-cell lymphoma while conventional chemotherapy fail [12].
In a word, because of the difficulty of diagnosis in early stage, the misdiagnosis rate of sphenoid sinus lymphoma is very high. The reasons for misdiagnosis may be the followings: (1) No particular clinical performance and no obvious positive detection in physical check;(2)The shortage of knowledge of sphenoid sinus lymphoma ,and the lack of consideration of extra-nose symptoms;(3)Reading the CT not seriously;(4)The low biopsy rate of the first time.
In conclusion, we should pay more attention to those people who is more than 40 years old, with headache and obstruction, or only with diplopia when the anti-affection therapy is invalid, and soft tissue imagine in sphenoid sinus has no liquid level and no bone destroy on CT. We can’t neglect the symptoms outside the nose and should read the CT seriously, get the right biopsy, and adopt immunochemical method and in situ hybridization.
ACKNOWLEDGEMENTS
The authors express their gratitude to Bolin Cai, MD, at Columbia University Presbyterian Medical Center, New York City, for his significant revision, and Luis Ulloa, PhD, at Newark University of Medicine and Dentistry, New Jersey, for phraseology.





