Loading

Annals of Otolaryngology and Rhinology

Corresponding Authors
Jeferson Sampaio d’Avila, Department of Medicine, Federal University of Sergipe, Sergipe, Brazil, Tel: +55 79 98802-3078
Abstract

Introduction: Hemangioma represents an expansive lesion of the hamartoma type, classified as a benign neoplasm composed of blood vessels arranged in a disordered manner, observed in the head and neck region in approximately 65% of cases.

Objective: To present sclerotherapy with polidocanol as a safe, effective, and applicable therapeutic option in the scenario of laryngeal hemangiomas in adults.

Methods: Clinical case presentation with therapeutic review. We report a case of Laryngeal Hemangioma treated with sclerotherapy using Polidocanol in an adult patient.

Case Report: A 35-year-old female patient, a teacher, presenting with progressive dysphagia and a weight loss of 8 kg over the past 6 months, associated with dyspnea on mild to moderate exertion, and significant progressive dysphonia with psychological impact and work disability. Nasofibroscopy revealed a highly vascularized, non-pulsatile, extensive lesion with a large supraglottic extension at the level of d’Ávila areas I and II.

Discussion: Sclerotherapy with polidocanol was the therapeutic option for this case, administered in the form of foam using the Tessari technique, applied through puncture. Polidocanol is a sclerosing agent indicated for the treatment of uncomplicated varicose veins. The otolaryngologist, under microlaryngoscopy, performs the procedure with pre-defined injection sites, distributing polidocanol in the tissues, around 2.5 to 3 ml in two to three application points. The patient showed significant improvement in the hemangioma, as evidenced in the postoperative follow-up after the third application.

Conclusion: Intraoperative trans-tissue infiltration of polidocanol represented a safe therapeutic option, with a significant reduction in cavernous hemangioma and consequent relative control of the patient’s dysphonia, dyspnea, and dysphagia. Given the above, we recommend its use with appropriate application of safety criteria.

Keywords

• Laryngeal hemangioma; Aerodigestive tract hemangioma; Sclerotherapy; Polidocanol

CITATION

d’Avila JS, Yepez AA, D’avila DV, Perazzo PSL, De Araújo MJS, et al. (2024) Laryngeal Hemangioma - Case Report and Therapeutic Update. Ann Otolaryngol Rhinol 11(2): 1331.

INTRODUCTION

Hemangioma represents an expansive lesion of the hamartoma type, classified as a benign neoplasm composed of blood vessels arranged in a disordered manner. One of its main characteristics is the uncontrolled proliferation of blood vessels. According to the International Society for the Study of Vascular Anomalies (ISSVA), hemangiomas are distinguished from other vascular malformations by their clinically slow growth behavior, associated with specific radiological and histological findings [1,2]. This type of tumor is commonly observed in the head and neck region, with an incidence of approximately 65% of cases occurring in this segment [3-7].

The most significant prevalence of hemangioma occurs in childhood, especially in females, in non-Hispanic and premature children, representing approximately 4 to 7% of benign tumors in this phase. In absolute terms, the presence of hemangioma is observed in about 2.5% of neonates [1,3,8-10]. Thus, hemangioma is considered the primary vascular tumor in childhood. Although not present at birth, there are indications of a precursor lesion, manifested by a pale region, telangiectasia, or purple lesion. Over time, these characteristics become more evident, reaching the peak of growth in the proliferative phase, which varies from 3 to 7 weeks of age to 12 to 18 months. Subsequently, hemangioma progresses to the involutive phase in the early years of life, achieving, in most cases, complete resolution around the age of 12 [1,8,9,11]. After the lesion’s involution, areas with abnormal coloration and texture associated with remaining fibroadipose reactions can still be observed [8].

It is important to note that hemangioma in adults is extremely rare, and therefore, its exact incidence is not well understood. Unlike the pediatric population, males are more affected in adults. Furthermore, unlike the pattern observed in children, the lesion does not follow the phases of proliferation and involution. The occurrence of hemangiomas in adults is directly related to vocal abuse, smoking, and vocal trauma, such as orotracheal intubation [9].

CLINICAL PRESENTATION

There is clear clinical evidence of a direct relationship between upper respiratory tract hemangioma and skin hemangioma, whether located in the skull, scalp, or face. Hemangioma can affect the upper airways, extending from the nose to the subglottis or trachea. The clinical presentation varies according to the location and volume of the lesion [12].

There are three classic symptoms that comprehensively represent diseases of the upper respiratory tract and their respective laryngeal levels, referred to as the “3D” symptoms. The first “D” is associated with dysphagia, indicating diseases located in the supraglottic region of the pharyngo-larynx. The second “D” is related to dysphonia, indicating lesions in the glottic region, specifically on the vocal folds. The third “D” is associated with dyspnea, with lesions affecting the subglottic region, manifesting as an obstructive process and presenting the characteristic stridor. When it comes to laryngeal hemangioma in adults, especially in the supraglottic region, the symptoms differ from the presentation in children, including dysphagia for solids and progressively for liquids, dysphonia/hoarseness, dyspnea, recurrent hemoptysis, bronchoaspiration, globus pharyngeus, and more severely, acute respiratory failure, sudden collapse, and death [1,4,9,13-15].

METHODS

This is a clinical case presentation with therapeutic review. We report a case of treatment of Laryngeal Hemangioma using sclerotherapy with Polidocanol in an adult patient. The clinical case was conducted at Hospital São José - SE by the otorhinolaryngology team at Clínica Otocenter.

CASE REPORT

The patient R.S.S., 35 years old, female, and a teacher, was referred from another otolaryngology service to Hospital São José - Otocenter, in the city of Aracaju - SE. She is a native and resident of Paulo Afonso - BA.

She complained of progressive dysphagia for solids and pasty consistency for the past 6 months, accompanied by a weight loss of 8 kg. Regarding her voice, she reported progressive dysphonia, hindering her professional role as a teacher and causing relative difficulty in social communication, leading to psychological distress. She also associated the difficulty in breathing (dyspnea) with mild to moderate efforts during daily physical activities. She denied a history of alcoholism and/or smoking. General otolaryngological examination revealed no alterations.

Perceptual auditory evaluation of the voice revealed dysphonia with altered resonance characterized by muffled and unprojected voice, along with vocal fatigue during moderate phonatory efforts.

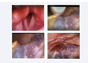
Nasopharyngolaryngeal fibroscopy revealed a multiple or single (to be clarified) tumor-like lesion with a vascular appearance and bluish coloration, non-pulsatile, and extensive. It occupied a significant volume in the supraglottic and left glottic region, at the level of Areas d’Avila I and II (Figures 1-3) [16,17].

 Videolaryngoscopy capture image demonstrating laryngeal  hemangioma

Figure 1: Videolaryngoscopy capture image demonstrating laryngeal hemangioma

 Videolaryngoscopy capture image demonstrating laryngeal  hemangioma with supraglottic extension

Figure 2 Videolaryngoscopy capture image demonstrating laryngeal hemangioma with supraglottic extension

Illustration demonstrating the anatomical areas of d’Ávila I, II  and III respectively from left to right. Source: D’Avila et al., [16]

Figure 3 Illustration demonstrating the anatomical areas of d’Ávila I, II and III respectively from left to right. Source: D’Avila et al., [16]

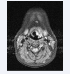
Magnetic resonance imaging (MRI) of the neck revealed a neoplastic lesion in the glottis and supraglottis, more notably on the left, with obliteration of the pyriform sinus and ipsilateral vallecula; anterior commissure and vocal folds bilaterally. No nodular lesions were found in the neck (Figures 4-6).

 Axial MRI image showing hemangioma in the left vocal fold

Figure 4: Axial MRI image showing hemangioma in the left vocal fold

Sagittal MRI image showing mass in laryngeal topography

Figure 5: Sagittal MRI image showing mass in laryngeal topography

MRI in multiple axial sections showing a hyperintense lesion in laryngeal typography

Figure 6: MRI in multiple axial sections showing a hyperintense lesion in laryngeal typography.

DISCUSSION

The treatment of laryngeal hemangioma remains a challenge due to its high vascularity, recurrent nature, and the lack of widely established protocols. Therapeutic options are selected based on the patient’s age, anatomy, size, and extent of the lesion, ranging from expectant clinical approaches to surgical interventions [1,5]. It is noteworthy that due to etiological differences between hemangiomas in children and adults, there is a tendency to adopt an expectant approach for children, while adults are more frequently subjected to early surgery [1,18]. Among the available therapeutic options are beta-blockers (e.g., propranolol and timolol), systemic and intramuscular corticosteroids, ethanol injections, cryosurgery, interferon, laser surgery, ultrasonic scalpel resection, sclerotherapy, embolization, and radiotherapy [1,4,19-22].

Surgical treatment of hemangiomas is complex due to the difficulty in delineating tumor margins due to the absence of well-defined dissection planes [5]. In the larynx, surgical intervention is performed through microlaryngoscopy, with or without complementary techniques such as Andrea and Dias’ rigid endoscopies, 1995 [22]. Various surgical options are employed in the treatment of laryngeal hemangiomas, including corticosteroid injections, lesion ablation, total or subtotal surgical resection, diode, KTP, or CO2 laser therapy, cryosurgery, sclerotherapy, and robotic surgery [3,5,9,11,23].

Sclerotherapy

Sclerotherapy with polidocanol was the therapeutic option for the presented case, being used in the form of foam through puncture, with absorption in the vascular wall ranging from 90% to 95%. The literature reveals low rates of systemic complications. Polidocanol is a sclerosing agent indicated for the treatment of uncomplicated varicose veins and is also used for other indications such as sclerotherapy for esophageal, gastric, nasal, and hemorrhoidal varices. The technique involves puncture with injection into the vein or area to be treated.

Polidocanol is functional for veins with a diameter of less than 1 mm, uncomplicated reticular veins, and veins with a diameter of 1 to 3 mm, preferably located at the extremities of structures. Its action aims to block blood flow at the site, causing endothelial injury with platelet aggregation, associated with the accumulation of cellular debris and fibrin, resulting in vascular occlusion.

Laurocapram Sulphonate, a polyethylene glycol derivative combined with dodecyl alcohol, acts as a surfactant on the capillary endothelium, causing an in-situ fibrosclerotic response and local thrombotic formation. This action leads to the collapse of telangiectasias and varices [24-26]. The application occurs in the form of foam, a mixture of liquid with air, prepared immediately before the procedure. The average dose should not exceed 2 mg/ kg/day, and the application is performed intravenously, injecting 0.1 to 0.3 ml of a 1% solution. Generally, 1 to 4 sessions are required to achieve satisfactory effects in external organs.

Side effects may occur, requiring special care and administration by specialist physicians. At the peripheral level, hyperpigmentation, irritation, and even local necrosis can occur, in addition to inflammatory phenomena (phlebitis), allergic reactions, metallic taste, dizziness, and drowsiness. In esophageal sclerotherapy, complications such as stenosis, hemorrhages, ulcerations, necroses, visual disturbances, metallic taste, vascular collapse, and fever may occur. In this specific case, these complications were not evidenced, highlighting only mild respiratory difficulty during extubation in the immediate postoperative period of the second procedure, which was resolved normally after a few minutes, still in the operating room [27].

As for contraindications to sclerotherapy treatment, absolute contraindications include allergy to the sclerosing agent, acute deep vein thrombosis and/or pulmonary embolism, generalized or puncture site infection, prolonged immobilization, kidney disease, liver failure, heart failure, arteriosclerosis, and diabetes. Relative contraindications include poor general health, predisposition to allergies, pregnancy, breastfeeding, and a family history of thromboembolic events. Regarding the disadvantages of the procedure, occurrences of phlebitis and thrombosis stand out, which may result in local hardening and pain, as well as the appearance of dark spots on the skin. These spots may completely disappear or leave dark areas on the skin, especially in cases of cutaneous application [28,29].

Tessari Technique

Recognized as the Three-Way Technique, it is performed by mixing 4 ml of biological gas with 1 ml of liquid polidocanol, a surfactant detergent. To generate the foam, the solution is mixed approximately twenty times, using two disposable syringes connected by a three-way stopcock. The otolaryngologist, under microlaryngoscopy, performs the procedure with pre-defined injection sites. Under video documentation, the procedure is performed by infiltrating the medication under direct vision, distributing polidocanol into the tissues, around 2.5 to 3 ml at two to three application points. Perilesional infiltration is performed to avoid possible bleeding, and an immediate reduction in the volume of the lesion is observed, albeit in small proportion (Figures 7-9).

Materials needed to prepare the polidocanol solution

Figure 7: Materials needed to prepare the polidocanol solution

Photograph illustrating the arrangement of the interdisciplinary  team in the surgical field

Figure 8: Photograph illustrating the arrangement of the interdisciplinary team in the surgical field

 Axial MRI showing significant control after the third procedure

Figure 9: Axial MRI showing significant control after the third procedure

The control MRI after the third procedure presented the following report: “Tumor lesion with characteristics of residual and/or recurrent hemangioma. Trachea and infraglottic region without abnormalities (Figures 10,11).

 Videolaryngoscopic images of the preoperative appearance of  laryngeal hemangioma

Figure 10: Videolaryngoscopic images of the preoperative appearance of laryngeal hemangioma

Video laryngoscopic images of the post-sclerotherapy  appearance

Figure 11: Video laryngoscopic images of the post-sclerotherapy appearance

We now present the evolution of treatment from preoperative to the result after the third procedure.

CONCLUSION

The intra-tissue transoperative infiltration of polidocanol represented a safe therapeutic option, with a significant reduction in the cavernous hemangioma and consequent relative control of the patient’s dysphonia, dyspnea, and dysphagia. In light of the above, we recommend its use with the appropriate application of safety criteria. Finally, for the safe execution of the procedure, the availability of an experienced interdisciplinary team that understands all aspects of treatment is of fundamental importance. This team should include qualified otolaryngologists, vascular surgeons, and stomatologists.

REFERENCES
  1. Shukla TS. Recurrence of Laryngeal Hemangioma in an Adult: A Case Report. 2022; 14: e31090.
  2. George A, Mani V, Noufal A. Update on the classification of hemangioma. J Oral Maxillofac Pathol. 2014; 18: S117-S120.
  3. Cuadrado Rodríguez MJ, Landín Ramírez TM, Méndez AJ, Cuesta JV. Hemangioma Laringoesofágico en adulto. Reporte de caso clínico. 2019; 3: 45-53.
  4. Supriyadi FL, Novialdi, Ivanny PS, Mayorita P. Adult Laryngeal Hemangioma: A Rare Case Report. In: Dewi YA, Kadriyan H, Ratunanda SS, Yunus MRM, Uppal S, Tantilipikorn P, editors. Proceedings of the 19th Otorhinolaryngology Head and Neck Surgery National Congress (PERHATIKL 2022). Dordrecht: Atlantis Press International BV. 2023; 68: 67-73.
  5. Matos FCM de. Diagnóstico Diferencial dos Tumores Cervicais na Infância. Rio de Janeiro, RJ: Editora Atheneu. 2022; 128.
  6. Ferreira LAA, et al. Embriologia e Anomalias Congênitas de Cabeça e Pescoço. In: Castro JR. Cirurgia de Cabeça e Pescoço - Tópicos Essenciais. 1. ed. Rio de Janeiro: Thieme. 2019; 21-25.
  7. DeHart A, Richter G. Hemangioma: Recent Advances. F1000Res. 2019; 8: 1926.
  8. Adams DM, Ricci KW. Infantile Hemangiomas in the Head and Neck Region. Otolaryngol Clin North Am. 2018; 51: 77-87.
  9. Alshaya H, Alhejji A, Aldkhyyal A, Mesallam TA. Management of adult laryngeal hemangioma with CO2 laser. Saudi Med J. 2021; 42: 1252- 1253.
  10. Gauna P F, Moreno S P, Abarca S A, Cancino C M, Arregui V R. Hemangioma cavernoso laríngeo en adultos: Reporte de un caso y revisión de la literatura. Rev Otorrinolaringol Cir Cabeza Cuello. 2018; 78: 84-88.
  11. Darrow DH. Management of Infantile Hemangiomas of the Airway. Otolaryngol Clin North Am. 2018; 51: 133-146.
  12. Kulungowski AM, Alomari AI, Chawla A, Christison-Lagay ER, Fishman SJ. Lessons from a liver hemangioma registry: subtype classification. J Pediatr Surg. 2012; 47: 165-170.
  13. Rafie A, Jolly K, Darr A, Thompson S. Adult cavernous haemangioma of the vocal cords with a unique presentation of acute respiratory distress: a case report. Ann R Coll Surg Engl. 2020; 102: e152-e154.
  14. Kiho L, Byard RW. Acute Fatal Upper Airway Obstruction from an Occult Cavernous Hemangioma of the Larynx. J Forensic Sci. 2015; 60: S93-S96.
  15. Sharifi A, Nazemieh M, Moghadaszadeh M. Supraglottic Hemangioma as a Rare Cause of Recurrent Hemoptysis: A New Treatment Modality with Argon Plasma Coagulation (APC). Tanaffos. 2014; 13: 50-52.
  16. D’Avila js, Sennes LU, Tsuji DH, et al. Estudo comparativo da micro- vascularização das cordas vocais humanas acometidas por cisto e reação nodular contra-lateral, “in vivo”, através das endoscopias rígida. Rev Bras Otorrinolaringol. 2003; 69: 166-173.
  17. Setton ARF, D’avila JS, Gurgel RQ, Tsuji DH, D’avila DV, Góis CRT, et al. Variant of the Technique for Laryngeal Microsurgery in Cases of Difficult Laryngoscopy. Int Arch Otorhinolaryngol. 2019; 23: 18-24.
  18. ?Ri?Z A, Durmaz E, Akmansu H, Da?li M, Albayrak L, Eryilmaz A. Vocal Cord Hemangioma; A Rare Localization in Adults. Turk J Med Sci. 2009; 39: 305-307.
  19. Wang X, Zhao X, Zhu W. Resection of a laryngeal hemangioma in an adult using an ultrasonic scalpel: A case report. Oncol Lett. 2015; 9: 2477-2480.
  20. Zheng JW, Zhou Q, Yang XJ, Wang YA, Fan XD, Zhou GY, et al. Treatment guideline for hemangiomas and vascular malformations of the head and neck. Head Neck. 2010; 32: 1088-1098.
  21. Martins RHG, Neto ACL, Semenzate G, Lapate R. Laryngeal hemangioma. Braz J Otorhinolaryngol. 2006; 72: 574.
  22. Andrea M, Dias O, Santos A. Contact Endoscopy during Microlaryngeal Surgery: A New Technique for Endoscopic Examination of the Larynx. Ann Otol Rhinol Laryngol. 1995; 104: 333-339.
  23. Wang WH, Tsai KY. Transoral robotic resection of an adult laryngeal haemangioma and review of the literature. J Laryngol Otol. 2015; 129: 614-618.
  24. Rabe E, Pannier-fischer F, Gerlach H, Breu FX, Guggenbichler S, Zabel M. Guidelines for Sclerotherapy of Varicose Veins (ICD 10: I83.0, I83.1, I83.2, and I83.9). Dermatol Surg. 2004; 30: 687-693.
  25. Uncu H. Sclerotherapy: a study comparing polidocanol in foam and liquid form. Phlebology. 2010; 25: 44-49.
  26. Rabe E, Breu F, Cavezzi A, Smith PC, Frullini A, Gillet J, et al. European guidelines for sclerotherapy in chronic venous disorders. Phlebology. 2014; 29: 338-354.
  27. Kendler M, Wetzig T, Simon JC. Foam sclerotherapy — A possible option in therapy of varicose veins. J Deutsche Derma Gesell. 2007; 5: 648-654.
  28. Polidocanol (Varithena) for varicose veins. Med Lett Drugs Ther. 2015; 57: 111-112.
  29. Rabe E, Pannier F. Sclerotherapy of Varicose Veins with Polidocanol Based on the Guidelines of the German Society of Phlebology. Dermatol Surg. 2010; 36: 968-975.

d’Avila JS, Yepez AA, D’avila DV, Perazzo PSL, De Araújo MJS, et al. (2024) Laryngeal Hemangioma - Case Report and Therapeutic Update. Ann Otolaryngol Rhinol 11(2): 1331.

Received : 17 Feb 2024
Accepted : 01 May 2024
Published : 02 May 2024
Journals
JSM Schizophrenia
Launched : 2016
Journal of Nausea
Launched : 2020
JSM Internal Medicine
Launched : 2016
JSM Hepatitis
Launched : 2016
JSM Oro Facial Surgeries
ISSN : 2578-3211
Launched : 2016
Journal of Human Nutrition and Food Science
ISSN : 2333-6706
Launched : 2013
JSM Regenerative Medicine and Bioengineering
ISSN : 2379-0490
Launched : 2013
JSM Spine
ISSN : 2578-3181
Launched : 2016
Archives of Palliative Care
ISSN : 2573-1165
Launched : 2016
JSM Nutritional Disorders
ISSN : 2578-3203
Launched : 2017
Annals of Neurodegenerative Disorders
ISSN : 2476-2032
Launched : 2016
Journal of Fever
ISSN : 2641-7782
Launched : 2017
JSM Bone Marrow Research
ISSN : 2578-3351
Launched : 2016
JSM Mathematics and Statistics
ISSN : 2578-3173
Launched : 2014
Journal of Autoimmunity and Research
ISSN : 2573-1173
Launched : 2014
JSM Arthritis
ISSN : 2475-9155
Launched : 2016
JSM Head and Neck Cancer-Cases and Reviews
ISSN : 2573-1610
Launched : 2016
JSM General Surgery Cases and Images
ISSN : 2573-1564
Launched : 2016
JSM Anatomy and Physiology
ISSN : 2573-1262
Launched : 2016
JSM Dental Surgery
ISSN : 2573-1548
Launched : 2016
Annals of Emergency Surgery
ISSN : 2573-1017
Launched : 2016
Annals of Mens Health and Wellness
ISSN : 2641-7707
Launched : 2017
Journal of Preventive Medicine and Health Care
ISSN : 2576-0084
Launched : 2018
Journal of Chronic Diseases and Management
ISSN : 2573-1300
Launched : 2016
Annals of Vaccines and Immunization
ISSN : 2378-9379
Launched : 2014
JSM Heart Surgery Cases and Images
ISSN : 2578-3157
Launched : 2016
Annals of Reproductive Medicine and Treatment
ISSN : 2573-1092
Launched : 2016
JSM Brain Science
ISSN : 2573-1289
Launched : 2016
JSM Biomarkers
ISSN : 2578-3815
Launched : 2014
JSM Biology
ISSN : 2475-9392
Launched : 2016
Archives of Stem Cell and Research
ISSN : 2578-3580
Launched : 2014
Annals of Clinical and Medical Microbiology
ISSN : 2578-3629
Launched : 2014
JSM Pediatric Surgery
ISSN : 2578-3149
Launched : 2017
Journal of Memory Disorder and Rehabilitation
ISSN : 2578-319X
Launched : 2016
JSM Tropical Medicine and Research
ISSN : 2578-3165
Launched : 2016
JSM Head and Face Medicine
ISSN : 2578-3793
Launched : 2016
JSM Cardiothoracic Surgery
ISSN : 2573-1297
Launched : 2016
JSM Bone and Joint Diseases
ISSN : 2578-3351
Launched : 2017
JSM Bioavailability and Bioequivalence
ISSN : 2641-7812
Launched : 2017
JSM Atherosclerosis
ISSN : 2573-1270
Launched : 2016
Journal of Genitourinary Disorders
ISSN : 2641-7790
Launched : 2017
Journal of Fractures and Sprains
ISSN : 2578-3831
Launched : 2016
Journal of Autism and Epilepsy
ISSN : 2641-7774
Launched : 2016
Annals of Marine Biology and Research
ISSN : 2573-105X
Launched : 2014
JSM Health Education & Primary Health Care
ISSN : 2578-3777
Launched : 2016
JSM Communication Disorders
ISSN : 2578-3807
Launched : 2016
Annals of Musculoskeletal Disorders
ISSN : 2578-3599
Launched : 2016
Annals of Virology and Research
ISSN : 2573-1122
Launched : 2014
JSM Renal Medicine
ISSN : 2573-1637
Launched : 2016
Journal of Muscle Health
ISSN : 2578-3823
Launched : 2016
JSM Genetics and Genomics
ISSN : 2334-1823
Launched : 2013
JSM Anxiety and Depression
ISSN : 2475-9139
Launched : 2016
Clinical Journal of Heart Diseases
ISSN : 2641-7766
Launched : 2016
Annals of Medicinal Chemistry and Research
ISSN : 2378-9336
Launched : 2014
JSM Pain and Management
ISSN : 2578-3378
Launched : 2016
JSM Women's Health
ISSN : 2578-3696
Launched : 2016
Clinical Research in HIV or AIDS
ISSN : 2374-0094
Launched : 2013
Journal of Endocrinology, Diabetes and Obesity
ISSN : 2333-6692
Launched : 2013
Journal of Substance Abuse and Alcoholism
ISSN : 2373-9363
Launched : 2013
JSM Neurosurgery and Spine
ISSN : 2373-9479
Launched : 2013
Journal of Liver and Clinical Research
ISSN : 2379-0830
Launched : 2014
Journal of Drug Design and Research
ISSN : 2379-089X
Launched : 2014
JSM Clinical Oncology and Research
ISSN : 2373-938X
Launched : 2013
JSM Bioinformatics, Genomics and Proteomics
ISSN : 2576-1102
Launched : 2014
JSM Chemistry
ISSN : 2334-1831
Launched : 2013
Journal of Trauma and Care
ISSN : 2573-1246
Launched : 2014
JSM Surgical Oncology and Research
ISSN : 2578-3688
Launched : 2016
Annals of Food Processing and Preservation
ISSN : 2573-1033
Launched : 2016
Journal of Radiology and Radiation Therapy
ISSN : 2333-7095
Launched : 2013
JSM Physical Medicine and Rehabilitation
ISSN : 2578-3572
Launched : 2016
Annals of Clinical Pathology
ISSN : 2373-9282
Launched : 2013
Annals of Cardiovascular Diseases
ISSN : 2641-7731
Launched : 2016
Journal of Behavior
ISSN : 2576-0076
Launched : 2016
Annals of Clinical and Experimental Metabolism
ISSN : 2572-2492
Launched : 2016
Clinical Research in Infectious Diseases
ISSN : 2379-0636
Launched : 2013
JSM Microbiology
ISSN : 2333-6455
Launched : 2013
Journal of Urology and Research
ISSN : 2379-951X
Launched : 2014
Journal of Family Medicine and Community Health
ISSN : 2379-0547
Launched : 2013
Annals of Pregnancy and Care
ISSN : 2578-336X
Launched : 2017
JSM Cell and Developmental Biology
ISSN : 2379-061X
Launched : 2013
Annals of Aquaculture and Research
ISSN : 2379-0881
Launched : 2014
Clinical Research in Pulmonology
ISSN : 2333-6625
Launched : 2013
Journal of Immunology and Clinical Research
ISSN : 2333-6714
Launched : 2013
Annals of Forensic Research and Analysis
ISSN : 2378-9476
Launched : 2014
JSM Biochemistry and Molecular Biology
ISSN : 2333-7109
Launched : 2013
Annals of Breast Cancer Research
ISSN : 2641-7685
Launched : 2016
Annals of Gerontology and Geriatric Research
ISSN : 2378-9409
Launched : 2014
Journal of Sleep Medicine and Disorders
ISSN : 2379-0822
Launched : 2014
JSM Burns and Trauma
ISSN : 2475-9406
Launched : 2016
Chemical Engineering and Process Techniques
ISSN : 2333-6633
Launched : 2013
Annals of Clinical Cytology and Pathology
ISSN : 2475-9430
Launched : 2014
JSM Allergy and Asthma
ISSN : 2573-1254
Launched : 2016
Journal of Neurological Disorders and Stroke
ISSN : 2334-2307
Launched : 2013
Annals of Sports Medicine and Research
ISSN : 2379-0571
Launched : 2014
JSM Sexual Medicine
ISSN : 2578-3718
Launched : 2016
Annals of Vascular Medicine and Research
ISSN : 2378-9344
Launched : 2014
JSM Biotechnology and Biomedical Engineering
ISSN : 2333-7117
Launched : 2013
Journal of Hematology and Transfusion
ISSN : 2333-6684
Launched : 2013
JSM Environmental Science and Ecology
ISSN : 2333-7141
Launched : 2013
Journal of Cardiology and Clinical Research
ISSN : 2333-6676
Launched : 2013
JSM Nanotechnology and Nanomedicine
ISSN : 2334-1815
Launched : 2013
Journal of Ear, Nose and Throat Disorders
ISSN : 2475-9473
Launched : 2016
JSM Ophthalmology
ISSN : 2333-6447
Launched : 2013
Journal of Pharmacology and Clinical Toxicology
ISSN : 2333-7079
Launched : 2013
Annals of Psychiatry and Mental Health
ISSN : 2374-0124
Launched : 2013
Medical Journal of Obstetrics and Gynecology
ISSN : 2333-6439
Launched : 2013
Annals of Pediatrics and Child Health
ISSN : 2373-9312
Launched : 2013
JSM Clinical Pharmaceutics
ISSN : 2379-9498
Launched : 2014
JSM Foot and Ankle
ISSN : 2475-9112
Launched : 2016
JSM Alzheimer's Disease and Related Dementia
ISSN : 2378-9565
Launched : 2014
Journal of Addiction Medicine and Therapy
ISSN : 2333-665X
Launched : 2013
Journal of Veterinary Medicine and Research
ISSN : 2378-931X
Launched : 2013
Annals of Public Health and Research
ISSN : 2378-9328
Launched : 2014
Annals of Orthopedics and Rheumatology
ISSN : 2373-9290
Launched : 2013
Journal of Clinical Nephrology and Research
ISSN : 2379-0652
Launched : 2014
Annals of Community Medicine and Practice
ISSN : 2475-9465
Launched : 2014
Annals of Biometrics and Biostatistics
ISSN : 2374-0116
Launched : 2013
JSM Clinical Case Reports
ISSN : 2373-9819
Launched : 2013
Journal of Cancer Biology and Research
ISSN : 2373-9436
Launched : 2013
Journal of Surgery and Transplantation Science
ISSN : 2379-0911
Launched : 2013
Journal of Dermatology and Clinical Research
ISSN : 2373-9371
Launched : 2013
JSM Gastroenterology and Hepatology
ISSN : 2373-9487
Launched : 2013
Annals of Nursing and Practice
ISSN : 2379-9501
Launched : 2014
JSM Dentistry
ISSN : 2333-7133
Launched : 2013
Author Information X