Loading

Annals of Otolaryngology and Rhinology

Numbness of the Cheek Caused by Perineural Invasion of the Infraorbital Nerve: A Review of Three Diagnostically Challenging Cases

Case Report | Open Access | Volume 3 | Issue 10

  • 1. Cecilie Okholm, University of Copenhagen, Department of Otolaryngology, Head and Neck Surgery and Audiology, Rigshospitalet, Copenhagen University Hospital, Blegdamsvej 9, DK 2100 Copenhagen, Denmark, Tel: 4525114720,
  • 2. Department of Pathology, University of Copenhagen, Denmark
+ Show More - Show Less
Corresponding Authors
Cecilie Okholm, University of Copenhagen, Department of Otolaryngology, Head and Neck Surgery and Audiology, Rigshospitalet, Copenhagen University Hospital, Blegdamsvej 9, DK 2100 Copenhagen, Denmark, Tel: 4525114720
ABSTRACT

Introduction: Facial pain and numbness is a common symptom with a variety of  causes; rarely, it can be an initial sign of the perineural infiltration of malignant tumors.
Description: Here we have reported three challenging cases, all presenting with  pain and numbness of the cheek as the primary symptoms. Upon referral, there were  neither signs of severe illness nor information about previous malignant diseases, while  the diagnostic work-ups revealed additional involvement of the facial nerve in two  of the cases. Surgical removal of the perineural tissue around the infraorbital nerve  revealed perineural invasion by a squamous carcinoma. A more thorough review of  their medical histories revealed that all three of the patients had had previous facial  skin cancer. 
Conclusion: Numbness or pain in the cheek may represent perineural invasion of  a facial cutaneous carcinoma. These cases address the necessity of identifying previous  incidences of skin cancer in the medical history.

KEYWORDS

• Squamous cell carcinoma

• Skin neoplasm

• Facial pain

• Perineural invasion

• Squamous cell carcinoma

CITATION

Okholm C, Frendø M, Kiss K, Von Buchwald C (2016) Numbness of the Cheek Caused by Perineural Invasion of the Infraorbital Nerve: A Review of Three Diagnostically Challenging Cases. Ann Otolaryngol Rhinol 3(10): 1137.

INTRODUCTION

Facial pain, paresthesia, and motor deficits are commonly encountered in clinical practice, and can be caused by a variety of diseases [1,2].

The main causes of facial pain are dental problems and sinusitis [3], while other causes include temporomandibular joint disorders, trigeminal neuralgia, migraines, and post-herpetic neuralgia. The variety of causes makes this condition a diagnostic challenge; therefore, care is needed when diagnosing patients presenting with numbness of the face. Rarely, it can be the sole sign of malignancy.

Perineural invasion (PNI) has been observed in less than five percent of patients with cutaneous carcinoma, but the diagnosis is often delayed [1,4]. Here we present three challenging cases presenting with facial pain and numbness. The diagnostic workups revealed that the lesions were caused by the spread of a tumor from previous facial skin cancer.

CASE PRESENTATION

Case 1

An 86-year-old female was referred to our clinic with a history of six months of numbness and pain in the right cheek, and chronic sinusitis was suspected. The ear, nose, and throat (ENT) examination did not reveal any abnormalities; therefore, a magnetic resonance imaging (MRI) scan was performed, showing a solid process in the right maxillary sinus in relation to the infraorbital nerve Figure (1A).

Case 1. Coronal CT of the sinuses used for image guidance during endoscopic surgery. A pedunculated tumor attached to the floor of the orbit in the right maxillary sinus is demonstrated.

Figure 1a: Case 1. Coronal CT of the sinuses used for image guidance during endoscopic surgery. A pedunculated tumor attached to the floor of the orbit in the right maxillary sinus is demonstrated.

The tumor was removed via endonasal endoscopic surgery Figure (1B).

Case 1. The perioperative endoscopic image (see cross hair in Figure 1A) showing a tumor above the viewing wand placed in the right maxillary sinus.

Figure 1b: Case 1. The perioperative endoscopic image (see cross hair in Figure 1A) showing a tumor above the viewing wand placed in the right maxillary sinus.

The histology showed a well-differentiated squamous cell carcinoma (SCC) invading the infraorbital nerve and anterior wall of the maxillary sinus. An extensive review of her medical history revealed a welldifferentiated SCC on the right cheek, diagnosed from a biopsy 15 months earlier. The biopsy was not suitable for assessment of margins or spread of cancer cells, however, no perineural invasion was found in the biopsy. The follow-up of the SCC at the dermatologist nine months later was ended due to a negative control biopsy. At the time of her referral to the ENT department, there was no evidence of recurrence of the facial skin cancer upon clinical examination. After sinus surgery, she completed radiation therapy of the right cheek and maxillary sinus. At the clinical control three months after the surgery, there was no sign of recurrence.

Case 2

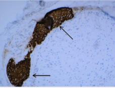
A 58-year-old male was admitted to the neurological department due to pain, numbness, and minor facial palsy of the right cheek, which had been going on for four months. An MRI showed pathological enlargement of the infraorbital nerve. The patient was referred to the ENT department, and the tissue around the nerve was resected from the right maxillary sinus via the Caldwell-Luc procedure. The histology showed an SCC invading the infraorbital nerve Figure (2).

Case 2. Perineural invasion of the infraorbital nerve visualized by immunohistochemical staining for Cytokeratin 5. Arrows indicate the squamous cell carcinoma. Original magnification x 200.

Figure 2: Case 2. Perineural invasion of the infraorbital nerve visualized by immunohistochemical staining for Cytokeratin 5. Arrows indicate the squamous cell carcinoma. Original magnification x 200.

The patient’s history was discussed at a multidisciplinary meeting. After addressing the patient’s medical history, it became evident that he had been treated five times within the last 12 years for recurrent basal cell carcinoma (BCC) and actinic keratosis in the right temporal area, either by curettage or excision. A positron emission tomography and computed tomography scan (PET/ CT) did not reveal any primary tumor. Subsequently, the patient underwent Caldwell-Luc surgery, where the infraorbital nerve was removed up to the infraorbital foramen, including the bone and mucosal membrane in the maxillary sinus. Due to the nonradical resection, the patient underwent additional radiation therapy. Despite radiation therapy, the symptoms progressed with increased numbness of the right facial side, partial facial palsy, tinnitus, and right hearing loss. A follow-up MRI showed metastasis in the right cerebellopontine angle, which was treated with stereotactic radio surgery. Fifteen months after the referral to the ENT department, the patient became psychotic, and an MRI showed a tumor in the frontal lobe of the brain. He was referred for palliative treatment, and died of advanced cancer 18 months after the onset of symptoms.

Case 3

A 78-year-old male presented to our clinic with severe left facial pain, paresthesia, and hypoesthesia of the left cheek. Prior to the referral, he had been treated for atypical headaches in the neurological department, and evaluated with an MRI scan, PET/CT scan, and lumbar puncture. The MRI showed a process between the hard and soft palate. The patient’s symptoms were discussed at a multidisciplinary meeting where neurosurgeons, otolaryngologist and head and neck oncologists were present. The suspected tumor area in the palate was surgically removed, and the histology showed a benign lesion of fibrous and salivary tissue. Five months later, the patient presented with progressive left sided numbness of all three trigeminal branches, and partial ipsilateral facial nerve paresis. Another MRI showed the progression of the pathological process, extending from the maxillary nerve into the cavernous sinus and medial cranial fossa, and retrograde perineural invasion was suspected. Concurrently, the patient was treated for a recurrent actinic keratosis, later found to be an SCC, on the left side of his nose in the plastic surgery department. A deep submucosal biopsy from the infraorbital nerve showed a moderately differentiated SCC invasion (Figure 3).

Case 3. Neural invasion of the SCC. Arrows indicate the tumor, arrowheads the spindle-shaped nerve cells. H&E staining. Original magnification x 100.

Figure 3: Case 3. Neural invasion of the SCC. Arrows indicate the tumor, arrowheads the spindle-shaped nerve cells. H&E staining. Original magnification x 100.

Subsequently, the patient underwent radiation therapy of the skull base and the posterior wall of the maxillary sinus. Currently, six months after radiation therapy, the patient still requires rehabilitation due to several comorbidities

DISCUSSION

We have presented three cases of hypoesthesia or pain in the cheek caused by the spread of facial skin cancer. In Denmark (population 5.6 million), non-melanoma skin cancer is diagnosed in more than 13,000 patients every year, and the age at diagnosis is usually older than 65 years [5]. It develops on sun-exposed sites, such as the head and neck, and is frequently treated with curettage [6]. It is often considered to be an indolent disease, and might not be mentioned in the patient’s medical history, which can lead to diagnostic challenges and delays in treatment.

In the first case, the patient had had a biopsy-proven SCC in an ulcer on the right cheek; however, the dermatologist ended the follow-up due to a negative follow-up biopsy. A thorough examination of her skin showed no other lesions and the patient did not present with any other symptoms suggestive of a different primary tumor. Yet, the MRI scan showed no connection to the site of her prior skin SCC and no additional abnormalities. However, it is impossible to conclude that the patient did not have a new primary tumor, not detected by our diagnostic work-up. Possibly, the lesion was not adequately removed in the first place. The second patient had multiple recurrences of BCCs and actinic keratosis, mainly treated with curettage; nevertheless, an SCC was found invading the nerve. Despite the thorough diagnostic work-up including two PET-CT scans, we were unable to detect any other primary tumor. Since a new primary tumor was ruled out, we conclude that some of the actinic keratosis, treated only by curettage, must have been SCC.

The possibility of the spread and progression of a lesion diagnosed as pre-cancerous actinic keratosis, as demonstrated by the second and third case presented here, is a well-known complication [7]. Curettage is known to carry a significantly higher risk of recurrence when compared with excision; therefore, it has been suggested that curettage should not be used for recurrent tumors [8]. Fragmented curettage material, in which the relationship to the surrounding stroma has not been properly visualized, is a diagnostic challenge, and can lead to misdiagnoses, such as the under-diagnosis of highly differentiated SCC.

The pathogenesis of PNI has not been fully elucidated. Recent theories suggest that a cleavage plane between the perineurium and the nerve fiber provide a path of lessened mechanical resistance, allowing cancer cells to spread [1]. Furthermore, it has been suggested that some SCCs have a predilection for PNI; those being the highly aggressive tumors leading rapid and invasive growth [9].

PNI occurs in 3–14% of skin SCCs, which is more frequent than in BCCs. The initial symptoms are comprised of pain, numbness, and/or motor deficits. Most frequently, it involves the fifth and seventh cranial nerves [10]. Moreover, PNIs can be classified as either incidental or clinical [1,2]. An incidental PNI refers to the asymptomatic stage, in which only microscopic invasion is present. In one previous review, approximately 60–70% of the patients with PNIs were asymptomatic [1]. The symptomatic stage, when a patient presents with sensory or motor changes, is categorized as a clinical PNI; however, these symptoms can often be misinterpreted, leading to a delay in the diagnosis. A clinical PNI is relevant for prognostication since the local control rate is observed to be only 55 %; furthermore, a clinical PNI exhibits more aggressive behavior, as observed in these three cases [11,12]. Recently, the 7th edition of the American Joint Committee on Cancer staging system for cutaneous skin cancers was updated, determining PNIs to be a high-risk features [13].

The treatment of a PNI depends on the type and location. In one recent study, the best treatment strategy for a clinical PNI was suggested to be surgical resection and adjuvant radiotherapy [14]. In Denmark, a PNI is considered to be a high-risk feature requiring surgical removal with a resection margin of at least six millimeters, and in selected cases, adjuvant radiotherapy [15]

CONCLUSION

Facial numbness and/or pain are common clinical symptoms, rarely caused by malignancy. However, common cutaneous SCC should be kept in mind, especially for otolaryngologists, when evaluating elderly patients with signs of facial numbness and pain, and a history of skin carcinoma.

REFERENCES

1. Feasel AM, Brown TJ, Bogle MA, Tschen JA, Nelson BR. Perineural invasion of cutaneous malignancies. Dermatol Surg Off Publ Am Soc Dermatol Surg Al. 2001; 27: 531-542.

2. Ballantyne AJ, Mccarten AB, Ibanez ML. The extension of cancer of the head and neck through peripheral nerves.Am J Surg. 1963; 106: 651- 667.

3. Siccoli MM, Bassetti CL, Sándor PS. Facial pain: clinical differential diagnosis. Lancet Neurol. 2006; 5: 257-267.

4. Mendenhall WM, Amdur RJ, Hinerman RW, Werning JW, Malyapa RS, Villaret DB, et al. Skin cancer of the head and neck with perineural invasion. Am J Clin Oncol. 2007; 30: 93-96. 5.

5. Basal cell carcinoma and squamous cell carcinoma statistics (skin cancer) - cancer. dk 2016. 16.

6. Madan V, Lear JT, Szeimies RM. Non-melanoma skin cancer. Lancet Lond Engl. 2010; 375: 673-685.

7. Ratushny V, Gober MD, Hick R, Ridky TW, Seykora JT. From keratinocyte to cancer: the pathogenesis and modeling of cutaneous squamous cell carcinoma. J Clin Invest. 2012; 122: 464-472.

8. Bøgelund FS, Philipsen PA, Gniadecki R. Factors affecting the recurrence rate of basal cell carcinoma. Acta Derm Venereol. 2007; 87: 330-334.

9. Mohs FE, Lathrop TG. Modes of spread of cancer of skin. AMA Arch Dermatol Syphilol. 1952; 66: 427–439.

10. Jackson JE, Dickie GJ, Wiltshire KL, Keller J, Tripcony L, Poulsen MG, et al. Radiotherapy for perineural invasion in cutaneous head and neck carcinomas: toward a risk-adapted treatment approach. Head Neck. 2009; 31:604-610.

11. McCord MW, Mendenhall WM, Parsons JT, Amdur RJ, Stringer SP, Cassisi NJ, et al. Skin cancer of the head and neck with clinical perineural invasion. Int J Radiat Oncol Biol Phys. 2000; 47: 89-93.

12. Garcia-Serra A, Hinerman RW, Mendenhall WM, Amdur RJ, Morris CG, Williams LS, et al. Carcinoma of the skin with perineural invasion. Head Neck. 2003; 25: 1027-1033.

13.Farasat S, Yu SS, Neel VA, Nehal KS, Lardaro T, Mihm MC, et al. A new American Joint Committee on Cancer staging system for cutaneous squamous cell carcinoma: creation and rationale for inclusion of tumor (T) characteristics. J Am Acad Dermatol. 2011; 64: 1051-1059.

14. Gupta A, Veness M, De’Ambrosis B, Selva D, Huilgol SC. Management of squamous cell and basal cell carcinomas of the head and neck with perineural invasion. Australas J Dermatol. 2016; 57: 3-13.

15. Guidelines | Dansk Dermatogisk Selskab. 2016; 22.

 

Okholm C, Frendø M, Kiss K, Von Buchwald C (2016) Numbness of the Cheek Caused by Perineural Invasion of the Infraorbital Nerve: A Review of Three Diagnostically Challenging Cases. Ann Otolaryngol Rhinol 3(10): 1137.

Received : 26 Aug 2016
Accepted : 21 Sep 2016
Published : 22 Sep 2016
Journals
JSM Schizophrenia
Launched : 2016
Journal of Nausea
Launched : 2020
JSM Internal Medicine
Launched : 2016
JSM Hepatitis
Launched : 2016
JSM Oro Facial Surgeries
ISSN : 2578-3211
Launched : 2016
Journal of Human Nutrition and Food Science
ISSN : 2333-6706
Launched : 2013
JSM Regenerative Medicine and Bioengineering
ISSN : 2379-0490
Launched : 2013
JSM Spine
ISSN : 2578-3181
Launched : 2016
Archives of Palliative Care
ISSN : 2573-1165
Launched : 2016
JSM Nutritional Disorders
ISSN : 2578-3203
Launched : 2017
Annals of Neurodegenerative Disorders
ISSN : 2476-2032
Launched : 2016
Journal of Fever
ISSN : 2641-7782
Launched : 2017
JSM Bone Marrow Research
ISSN : 2578-3351
Launched : 2016
JSM Mathematics and Statistics
ISSN : 2578-3173
Launched : 2014
Journal of Autoimmunity and Research
ISSN : 2573-1173
Launched : 2014
JSM Arthritis
ISSN : 2475-9155
Launched : 2016
JSM Head and Neck Cancer-Cases and Reviews
ISSN : 2573-1610
Launched : 2016
JSM General Surgery Cases and Images
ISSN : 2573-1564
Launched : 2016
JSM Anatomy and Physiology
ISSN : 2573-1262
Launched : 2016
JSM Dental Surgery
ISSN : 2573-1548
Launched : 2016
Annals of Emergency Surgery
ISSN : 2573-1017
Launched : 2016
Annals of Mens Health and Wellness
ISSN : 2641-7707
Launched : 2017
Journal of Preventive Medicine and Health Care
ISSN : 2576-0084
Launched : 2018
Journal of Chronic Diseases and Management
ISSN : 2573-1300
Launched : 2016
Annals of Vaccines and Immunization
ISSN : 2378-9379
Launched : 2014
JSM Heart Surgery Cases and Images
ISSN : 2578-3157
Launched : 2016
Annals of Reproductive Medicine and Treatment
ISSN : 2573-1092
Launched : 2016
JSM Brain Science
ISSN : 2573-1289
Launched : 2016
JSM Biomarkers
ISSN : 2578-3815
Launched : 2014
JSM Biology
ISSN : 2475-9392
Launched : 2016
Archives of Stem Cell and Research
ISSN : 2578-3580
Launched : 2014
Annals of Clinical and Medical Microbiology
ISSN : 2578-3629
Launched : 2014
JSM Pediatric Surgery
ISSN : 2578-3149
Launched : 2017
Journal of Memory Disorder and Rehabilitation
ISSN : 2578-319X
Launched : 2016
JSM Tropical Medicine and Research
ISSN : 2578-3165
Launched : 2016
JSM Head and Face Medicine
ISSN : 2578-3793
Launched : 2016
JSM Cardiothoracic Surgery
ISSN : 2573-1297
Launched : 2016
JSM Bone and Joint Diseases
ISSN : 2578-3351
Launched : 2017
JSM Bioavailability and Bioequivalence
ISSN : 2641-7812
Launched : 2017
JSM Atherosclerosis
ISSN : 2573-1270
Launched : 2016
Journal of Genitourinary Disorders
ISSN : 2641-7790
Launched : 2017
Journal of Fractures and Sprains
ISSN : 2578-3831
Launched : 2016
Journal of Autism and Epilepsy
ISSN : 2641-7774
Launched : 2016
Annals of Marine Biology and Research
ISSN : 2573-105X
Launched : 2014
JSM Health Education & Primary Health Care
ISSN : 2578-3777
Launched : 2016
JSM Communication Disorders
ISSN : 2578-3807
Launched : 2016
Annals of Musculoskeletal Disorders
ISSN : 2578-3599
Launched : 2016
Annals of Virology and Research
ISSN : 2573-1122
Launched : 2014
JSM Renal Medicine
ISSN : 2573-1637
Launched : 2016
Journal of Muscle Health
ISSN : 2578-3823
Launched : 2016
JSM Genetics and Genomics
ISSN : 2334-1823
Launched : 2013
JSM Anxiety and Depression
ISSN : 2475-9139
Launched : 2016
Clinical Journal of Heart Diseases
ISSN : 2641-7766
Launched : 2016
Annals of Medicinal Chemistry and Research
ISSN : 2378-9336
Launched : 2014
JSM Pain and Management
ISSN : 2578-3378
Launched : 2016
JSM Women's Health
ISSN : 2578-3696
Launched : 2016
Clinical Research in HIV or AIDS
ISSN : 2374-0094
Launched : 2013
Journal of Endocrinology, Diabetes and Obesity
ISSN : 2333-6692
Launched : 2013
Journal of Substance Abuse and Alcoholism
ISSN : 2373-9363
Launched : 2013
JSM Neurosurgery and Spine
ISSN : 2373-9479
Launched : 2013
Journal of Liver and Clinical Research
ISSN : 2379-0830
Launched : 2014
Journal of Drug Design and Research
ISSN : 2379-089X
Launched : 2014
JSM Clinical Oncology and Research
ISSN : 2373-938X
Launched : 2013
JSM Bioinformatics, Genomics and Proteomics
ISSN : 2576-1102
Launched : 2014
JSM Chemistry
ISSN : 2334-1831
Launched : 2013
Journal of Trauma and Care
ISSN : 2573-1246
Launched : 2014
JSM Surgical Oncology and Research
ISSN : 2578-3688
Launched : 2016
Annals of Food Processing and Preservation
ISSN : 2573-1033
Launched : 2016
Journal of Radiology and Radiation Therapy
ISSN : 2333-7095
Launched : 2013
JSM Physical Medicine and Rehabilitation
ISSN : 2578-3572
Launched : 2016
Annals of Clinical Pathology
ISSN : 2373-9282
Launched : 2013
Annals of Cardiovascular Diseases
ISSN : 2641-7731
Launched : 2016
Journal of Behavior
ISSN : 2576-0076
Launched : 2016
Annals of Clinical and Experimental Metabolism
ISSN : 2572-2492
Launched : 2016
Clinical Research in Infectious Diseases
ISSN : 2379-0636
Launched : 2013
JSM Microbiology
ISSN : 2333-6455
Launched : 2013
Journal of Urology and Research
ISSN : 2379-951X
Launched : 2014
Journal of Family Medicine and Community Health
ISSN : 2379-0547
Launched : 2013
Annals of Pregnancy and Care
ISSN : 2578-336X
Launched : 2017
JSM Cell and Developmental Biology
ISSN : 2379-061X
Launched : 2013
Annals of Aquaculture and Research
ISSN : 2379-0881
Launched : 2014
Clinical Research in Pulmonology
ISSN : 2333-6625
Launched : 2013
Journal of Immunology and Clinical Research
ISSN : 2333-6714
Launched : 2013
Annals of Forensic Research and Analysis
ISSN : 2378-9476
Launched : 2014
JSM Biochemistry and Molecular Biology
ISSN : 2333-7109
Launched : 2013
Annals of Breast Cancer Research
ISSN : 2641-7685
Launched : 2016
Annals of Gerontology and Geriatric Research
ISSN : 2378-9409
Launched : 2014
Journal of Sleep Medicine and Disorders
ISSN : 2379-0822
Launched : 2014
JSM Burns and Trauma
ISSN : 2475-9406
Launched : 2016
Chemical Engineering and Process Techniques
ISSN : 2333-6633
Launched : 2013
Annals of Clinical Cytology and Pathology
ISSN : 2475-9430
Launched : 2014
JSM Allergy and Asthma
ISSN : 2573-1254
Launched : 2016
Journal of Neurological Disorders and Stroke
ISSN : 2334-2307
Launched : 2013
Annals of Sports Medicine and Research
ISSN : 2379-0571
Launched : 2014
JSM Sexual Medicine
ISSN : 2578-3718
Launched : 2016
Annals of Vascular Medicine and Research
ISSN : 2378-9344
Launched : 2014
JSM Biotechnology and Biomedical Engineering
ISSN : 2333-7117
Launched : 2013
Journal of Hematology and Transfusion
ISSN : 2333-6684
Launched : 2013
JSM Environmental Science and Ecology
ISSN : 2333-7141
Launched : 2013
Journal of Cardiology and Clinical Research
ISSN : 2333-6676
Launched : 2013
JSM Nanotechnology and Nanomedicine
ISSN : 2334-1815
Launched : 2013
Journal of Ear, Nose and Throat Disorders
ISSN : 2475-9473
Launched : 2016
JSM Ophthalmology
ISSN : 2333-6447
Launched : 2013
Journal of Pharmacology and Clinical Toxicology
ISSN : 2333-7079
Launched : 2013
Annals of Psychiatry and Mental Health
ISSN : 2374-0124
Launched : 2013
Medical Journal of Obstetrics and Gynecology
ISSN : 2333-6439
Launched : 2013
Annals of Pediatrics and Child Health
ISSN : 2373-9312
Launched : 2013
JSM Clinical Pharmaceutics
ISSN : 2379-9498
Launched : 2014
JSM Foot and Ankle
ISSN : 2475-9112
Launched : 2016
JSM Alzheimer's Disease and Related Dementia
ISSN : 2378-9565
Launched : 2014
Journal of Addiction Medicine and Therapy
ISSN : 2333-665X
Launched : 2013
Journal of Veterinary Medicine and Research
ISSN : 2378-931X
Launched : 2013
Annals of Public Health and Research
ISSN : 2378-9328
Launched : 2014
Annals of Orthopedics and Rheumatology
ISSN : 2373-9290
Launched : 2013
Journal of Clinical Nephrology and Research
ISSN : 2379-0652
Launched : 2014
Annals of Community Medicine and Practice
ISSN : 2475-9465
Launched : 2014
Annals of Biometrics and Biostatistics
ISSN : 2374-0116
Launched : 2013
JSM Clinical Case Reports
ISSN : 2373-9819
Launched : 2013
Journal of Cancer Biology and Research
ISSN : 2373-9436
Launched : 2013
Journal of Surgery and Transplantation Science
ISSN : 2379-0911
Launched : 2013
Journal of Dermatology and Clinical Research
ISSN : 2373-9371
Launched : 2013
JSM Gastroenterology and Hepatology
ISSN : 2373-9487
Launched : 2013
Annals of Nursing and Practice
ISSN : 2379-9501
Launched : 2014
JSM Dentistry
ISSN : 2333-7133
Launched : 2013
Author Information X