Loading

Annals of Otolaryngology and Rhinology

Pediatric Post Intubation Obstructive Fibrinous Tracheal Pseudomembrane

Case Report | Open Access | Volume 3 | Issue 6

  • 1. Department of Otolaryngology Head and Neck Surgery, University of Illinois at Chicago, USA
  • 2. Department of Otolaryngology Head and Neck Surgery, Mount Sinai Hospital, USA
  • 3. Department of Pediatric Otolaryngology, Anne & Robert H. Lurie Children’s Hospital of Chicago, Northwestern University, USA
+ Show More - Show Less
Corresponding Authors
Zrria White, Department of Otolaryngology Head and Neck Surgery, University of Illinois at Chicago, MD 1855 W Taylor St, Chicago, IL 60612, USA, Tel: 312-996-1545
CITATION

White Z, Sapthavee A, Jajoo D, Schroeder JW Jr. (2016) Pediatric Post Intubation Obstructive Fibrinous Tracheal Pseudomembrane. Ann Otolaryngol Rhinol 3(6): 1115.

INTRODUCTION

Endotracheal intubation is a safe and commonly used procedure to maintain the airway during general anesthesia, to protect the airway during surgery, and as a means to provide respiratory support for patients in respiratory failure, however it is not without complications. Laryngeal and tracheal stenosis, tracheal ulcers, laryngeal granuloma and acquired tracheomalacia are all well recognized complications of intubation [1, 2]. One less frequent and often unrecognized but potentially fatal complication of endotracheal intubation is obstructive fibrinous tracheal pseudomembrane (OFTP) formation. It is rare especially in the pediatric population. We present a case of OFTP in a pediatric patient and a review and analysis of all previous cases (adult and pediatric) of OFTP reported in the literature.

CASE PRESENTATION

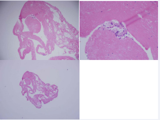
A 14 year old previously healthy female, who was in a pedestrian versus automotive trauma was found unresponsive at the scene of accident with agonal breathing. King airway (a supraglottic airway) was used to ventilate her during transport to the emergency department (ED) of an outside hospital. She was intubated in the ED with a 7.5mm endotracheal tube without difficulty. A detailed trauma workup was done, and other than fracture of right thumb, no major injury was found. On hospital day 2, about 23 hrs, after intubation, she was extubated. She developed a persistent cough within hours after extubation, which progressively worsened over next 3 days. Intermittent biphasic stridor was noted on 2nd day after extubation, and by the 3rd day her stridor became persistent. She was treated with intravenous dexamethasone 5mg every 8 hours (3 doses), vancomycin, piperacillin/tazobactam and nebulized racemic epinephrine without any improvement. On the 3rd day the otolaryngology service was consulted. Stridor and suprasternal retractions were noted on examination. Flexible fiber optic laryngoscopy was done at the bedside. The Nasopharynx, oropharynx, supraglottis, and glottis were normal in appearance with normal vocal cord mobility. However, there was what appeared to be a whitish membrane, partially visualized in the subglottis. The decision was made to take the patient to the operating room for diagnostic bronchoscopy. A Miller 3 blade was used to perform direct laryngoscopy, and upon visualization the subglottic airway was noted to be narrowed. A 5mm rigid endoscope was passed through the vocal cords and into the subglottis. A thick, circumferential, whitish membrane was visualized in the subglottis and it extended inferiorly into the mid trachea. The pseudomembrane material was firm and dense and not able to be removed with a suction catheter. A cup forceps was used to biopsy a small amount of the exudate and it was sent for analysis [3,4]. Pathologic analysis demonstrated fibrin with focal acute inflammation, consistent with fibrinous pseudomembrane (Figure 1).

Histopathological slides consistent with inflammatory fibrinous tissue.

Figure 1: Histopathological slides consistent with inflammatory fibrinous tissue.

The patient was reintubated with a 5.0 mm endotracheal tube and the cuff was left deflated as there was no leak below 25 cm/H2 0. , The patient was transferred back to the intensive care unit sedated, intubated and ventilated. She was given intravenous vancomycin and cefepime and intravenous dexamethasone was given in doses of 4 mg 6 hourly. Two days after reintubation, patient’s respiratory status deteriorated. A chest x-ray demonstrated complete atelectasis of right lung. She then developed cardiac arrest, requiring cardiopulmonary resuscitation. During resuscitation, pneumothorax was suspected, and bilateral chest tubes were placed. Repeat chest x-ray showed pneumomediastinum, subcutaneous emphysema and expansion of right lung. Once patient was stabilized, she was transferred to a tertiary care children’s hospital for further work up and intervention.

On presentation at the pediatric hospital, a CT scan of the larynx was performed due to concern for possible laryngeal fracture sustained at the original trauma which may have caused the subglottic narrowing. The scan did not demonstrate a fracture. The patient’s respiratory status improved (was on minimal ventilatory support and the chest tubes had been removed) and on hospital day two, the patient was taken to the operating room for diagnostic bronchoscopy. A 4 mm Hopkins rod telescope was used to visualize the larynx which was exposed with a large lindholm laryngoscope. There were posterior glottic furrows and tongues of granulation tissue (Figure 2).

View on Laryngoscopy.

Figure 2: View on Laryngoscopy.

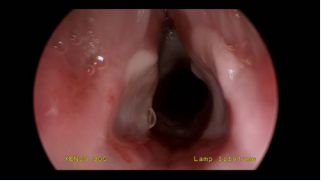
A bronchscopy performed with the 4mm Hopkins rod telescope demonstrated a circumferential, white, firm ring at the level of the cricoid (Figure 3),

Subglottic narrowing with white circumferential membrane.

Figure 3: Subglottic narrowing with white circumferential membrane.

this was not able to be removed with suction. At this time it was postulated that this patient likely had a congenitally small cricoid and that the initial intubations with larger tubes caused pressure necrosis leading to the white appearance of the subglottic. The patient was transferred back to the PICU extubated. There was no respiratory distress but she did have a hoarse voice. On hospital day 3 the patient had minimal stridor but no increased work of breathing and was saturating over 96% on room air. She underwent bedside flexible fiberoptic laryngoscopy that again demonstrated the subglottic narrowing. Patient continued to do well and underwent repeat bronchoscopy before she was transferred out of the intensive care unit to ensure her airway was healing. On this bronchoscopy, the white gelatinous ring was again appreciated and this time was able to be debrided with forceps [5,6]. The circumferential exudate was entirely debrided from the subglottis to the mid trachea. The exudate was sent to pathology as well as to microbiology for analysis. Healthy cricoid and tracheal mucosa without narrowing were exposed (Figure 4).

Tracheal wall after bronchoscopic removal of membrane.

Figure 4:Tracheal wall after bronchoscopic removal of membrane.

Pathology on this specimen was consistent with fibrinopurulent exudate. The patient did well post-operatively and was without stridor, oxygen requirement or increased work of breathing, and was discharged home. The patient was brought back to the operating room six weeks later for follow-up laryngoscopy and bronchoscopy, A 4.0 telescope was used to obtain a magnified view of the larynx. The laryngeal, tracheal and bronchial mucosa was normal. There was no narrowing (Figure 5).

Tracheal wall on follow-up bronchoscopy 6 weeks after discharge.

Figure 5: Tracheal wall on follow-up bronchoscopy 6 weeks after discharge.

METHODS

A PubMed search for obstructive fibrinous tracheal pseudomembrane and tracheal pseudomembrane was conducted. 19 individual case reports and 7 case series were found in the English literature. 2 other case reports, which were published in German, but was included in the analysis of 2011 literature review on this topic by Lins etal [4], were also included. All these articles were carefully studied to ensure that the pseudomembrane described was not caused by infection or some other known cause. The data was collected and compiled into table 1 (including our case) for analysis (total 55 cases). There were 2 other publications, that made mention of cases of OFTP, but did not have enough details of the case, to be included in our analysis [7,8] .

RESULTS

The patients described in the reports ranged from 6wk to 85yrs in age, with an average age of 34.34 yr (±25.6). 33 subjects were females and 22 were males. The reason for intubation varied, 5 patients intubated due to trauma related complications, 9 had conditions that lead to altered sensorium, 15 had conditions that resulted in respiratory failure, 21 had intubations done for surgical procedure, 2 had intubations done as part of cardiopulmonary resuscitation, 1 intubated due to heart failure and 1 for eclampsia (Table 1). The duration of intubation ranged from 30 minutes to 17 days, with average time of 76.24 hours (±103.72). The duration from extubation until onset of symptoms was almost immediate to 2 weeks, with average time of 52.30 hours (±73.51).

Most patients presented with stridor and respiratory distress that began in post-extubation period and in some of these cases, the stridor and dyspnea was reported to be intermittent and positional. In a few cases wheezing was reported (case 36, 37, 44). Severe cough was also reported as concerning symptom in some cases. In one case (case 4), authors described clinical picture of progressive respiratory failure [9,10]. In 3 cases (cases 7, 11, 41), OFTP was an incidental finding on bronchoscopy done for evaluation of atelectasis.

Analysis of these cases did not identify any clear-cut risk factors predisposing to the development of OFTP. In the majority of the reported cases the patients were intubated with cuffed endotracheal tube. However, there were 10 cases (case 15, 43, 54, 29-35) in which authors explicitly mentioned use of uncuffed endotracheal tube, and in 7 cases (case 18, 21-25, and 51) use of high volume, low pressure cuff was described. Laryngeal trauma was described in one case (case 2), traumatic or difficult intubation was noted in 5 cases (case 14,28,35,36,46), multiple intubations in 5 cases (case 16,19,27,36,41), use of large ET tube in one case [11,12], and repeated movement of ET tube in 2 patients (case 15 & 54). In one case ET tube was used in prone position for back surgery (case 40). In 2 cases (case 19 & 36), clinical picture was suggestive of aspiration. 5 cases (case 16, 17, 22, 26, 27) had clinical picture associated with circulatory hypoperfusion, and 6 patients (case 11, 21, 37, 38, 42, 51) had Diabetes.

After onset of post-extubation symptoms, 12 patients were reintubated and 2 had temporary tracheostomy done, prior to undertaking other diagnostic and therapeutic measures. In 21 cases, rigid bronchoscopy was used first for removal of membrane. In 19 cases, flexible bronchoscopy was used first, which was successful in complete ablation of membrane in 16 cases. In another 3 cases, flexible bronchoscopy was not able to remove the membrane (case 36, 37 and 40). In 5 cases, bronchoscopy is mentioned as the tool used for removal of membrane, without specifying if it was flexible or rigid bronchoscopy. In 4 cases, membrane was spontaneously expectorated with vigorous cough, with improvement in symptoms. In one case, only medical treatment was used (case 41), with resolution of membrane when seen in repeat bronchoscopy [13,14]. In one case (case 44), after finding a mucosal flap in distal trachea on rigid bronchoscopy, flexible bronchoscopy was used to guide placement of endotracheal tube distal to the obstructing membrane. After few days, repeat bronchoscopic examination after withdrawal of endotracheal tube showed that mucosal flap had aligned and adhered to the tracheal wall with marked improvement in tracheal lumen. Patient was then kept extubated, and made full recovery. In one case (case 51), patient was intubated, but had difficult ventilation through the endotracheal tube, so the endotracheal tube was immediately removed. It was then found, that there was a tubular membrane at the tip of tube completely blocking it. In one case (case 49) tracheostomy was done, and then membrane was removed through the tracheostomy tube. In 2 cases (case 2 & 13), no intervention could be attempted prior to death, and diagnosis was made on autopsy [15,16].

In those cases, where intervention was achieved with the use of bronchoscopy, in majority, forceps were used for removal of membrane, but in some cases other techniques were used. With the use of flexible bronchoscopy, removal in some cases was achieved with the use of scraping with brush (case 16), cryotherapy (case 26), balloon (case 31, 32 & 35) and laser (case 29, 33 & 34). With the use of rigid bronchoscopy, removal in one case was done with the use of cold instruments (case 20), and in another case with the use of snare, electro cautery and argon plasma coagulation (case 27).

In 17 cases (including the case report described above), a repeat bronchoscopy was done 3 days – 4months after resolution of symptoms. In one case (case 20), asymptomatic grade 1 subglottic stenosis was noted, but in all others, no abnormality was seen [17-19].

In most cases, OFTP was described to be present in subglottis and/or proximal trachea, but in 3 cases it was noted in mid trachea (case 38, 41, 42), in 2 cases in distal trachea (case 21 & 44) and in one case it was described to be present at carina and deeper in the major airways (case 23). The color of the lesion is reported to be whitish in most cases, but in few cases, it was described to be of gray (case 14 & 52), yellow (case 30, 31 & 38) or pink color (case 29 & 32). Four major types of morphology have been described: 1. circumferential tubular membrane coating the inner wall of trachea with only one central lumen. 2. Valve like septal membrane attached to a part of trachea and floating into its lumen, and transversely dividing tracheal lumen [20,21]. 3. Mixed-type, with circumferential membrane, which is partially detached from its proximal part and is floating. 4. Bridge like transverse membrane connecting opposite walls of trachea. This has been reported only in 2 patients (case 20 & 41).

Histopathology of lesion was described in 41 cases. All were reported to have fibrinous material and most others also had inflammatory cells and/or epithelial cells.

Overall, 49 patients (89%) made full recovery, 3 patients died, 1 patient left against medical advice and was lost to follow-up, one needed long-term tracheostomy due to persistent coma, and one infant developed asymptomatic grade 1 subglottic stenosis.

DISCUSSION

Obstructive fibrinous tracheal pseudomembrane is a rare but potentially serious complication of endotracheal intubation. A typical case of OFTP presents with stridor and respiratory distress shortly after extubation, a presentation shared by many other common and well known etiologies such as airway edema, laryngospasm, bronchospasm, vocal cord dysfunction, ulcers, granuloma, tracheomalacia or retention of secretions [22-26]. In some cases clinical picture may be inconsistent or misleading, when valve like obstruction may result in positional and intermittent dyspnea or when patient is too exhausted to generate stridor [27-29]. Lack of distinguishing clinical features between OFTP and other common etiologies result in inaccurate initial diagnosis, as was the situation in the case presented above leading to delayed diagnosis and treatment. It is therefore important that bronchoscopy be considered in all cases of post extubation respiratory distress, if they are not responding to medical treatment of common etiologies.

Although OFTP is infrequently described, it is likely under recognized. In many cases, symptoms of OFTP are attributed to other well-known etiologies. In many of the cases reviewed, treatment for possibility of laryngeal edema and/ or bronchospasm was given with use of nebulized epinephrine, nebulized albuterol and systemic steroids without improvement in clinical picture, before the true problem was addressed. If patients fail medical therapy many are reintubated, which may dislodge or remove the membrane, and thus condition may remain unrecognized [2,4]. It is also possible (as described in case 44), that in some cases reintubation results in displacement of valve like membrane in a manner, that it aligns and adheres to tracheal wall with improvement in obstruction. Many cases of OFTP may be silent, as the membrane may not be of enough thickness to cause obstruction, or may not detach to cause valve like obstruction. This is supported by those 3 cases, in which OFTP was found as an incidental finding on bronchoscopy done for other reason. 4 cases in this review, has been reported to resolve with spontaneous expectoration of membrane. It is possible, that there are many other cases, where such expectoration of membrane with coughing was not recognized.

The pathophysiology of this condition is not clear. It is thought to occur secondary to tissue ischemia from compression of tracheal mucosa by the endotracheal tube itself or its cuff, typically resulting in circumferential injury to mucosa of subglottic area and adjoining proximal trachea. The majority of patients presented were intubated with a cuffed endotracheal tube which raised the concern that increased cuff pressure might have initiated the tracheal injury leading to OFTP formation. In areas of mucosal injury, leaked and deposited fibrinous tissue combined with necrotic epithelium and inflammatory cells forms a membrane-like structure that initially coats the surface of the mucosa. After extubation, either by mechanical pull of endotracheal tube or by subsequent coughing manipulation, in some cases, membrane may detach from its proximal part and float downwardly inside the lumen to form a ball-valve like membrane [5].

Histopathology of the lesion typically shows fibrinous material admixed with inflammatory cells and necrotic epithelial cells. They do not contain sub-epithelial stromal tissues. This suggest that OFTP, is the result of superficial injury to tracheal mucosa [4]. This is also supported by the finding, that removal of OFTP is associated with very high rates of full recovery without  any residual obstruction. Pressure on deeper tissues results in more intense inflammatory response, healing with fibrous scar formation, and resulting in tracheal stenosis [5].

No clear pattern of risk factor that might increase chance of development of OFTP emerged from analysis of 55 cases included in this review. OFTP occurred in all ages (6weeks – 84 year), in cases with both brief and long duration of intubation (duration range of 30 minutes to 17 days), and with various types of indications for intubation. This suggests that age, duration of intubation or underlying conditions that necessitated intubation, do not appear to be significant risk factors. Increased endotracheal tube cuff pressure can increase the risk of mucosal injury, but in our review, despite use of uncuffed tube in 10 cases, and use of high volume, low pressure cuff in 7 cases, OFTP still developed. Other risk factors for mucosal injury such as difficult or traumatic intubation, repeated intubations, excessive manipulation of tube, use of large size endotracheal tube, and aspiration of gastric contents were noted in some cases, but many others did not have these issues. Therefore, it remains unclear, why OFTP occurs in few patients, and not in large number of others, who are intubated.

Although some cases improved with spontaneous expectoration of membrane, most needed intervention with bronchoscopy for its removal. Both rigid and flexible bronchoscopy has been used to remove the membrane. Rigid bronchoscopy was successful in membrane ablation in all cases. Flexible bronchoscopy was also associated with high success rate, but in 3 cases needed complement of rigid bronchoscopy. Some authors [2,4] feel that removal of lesion with rigid bronchoscope is easier and faster than the use of flexible bronchoscope, and provides better control of ventilation during the procedure. But others [5] feel quite skilled in removing them by flexible bronchoscope with use of non-invasive ventilation during the procedure, and were able to achieve complete ablation in 15- 25 minutes. Therefore, choice of procedure would depend on expertise and preference of local expert.

CONCLUSION

OFTP is an infrequently described, likely under recognized, potentially life-threatening complication of endotracheal intubation. It is clear from our case presentation that correct diagnosis and treatment of the condition was delayed due to the under recognized nature of the condition and therefore it is important to discuss in the literature. No clear risk factor that increase chances of OFTP is known and therefore the condition needs to be considered in all cases of post-extubation respiratory distress, occurring immediately or up to few weeks after extubation, in which no other cause for symptoms are apparent. Bronchoscopy helps in diagnosis and removal of lesion and is associated with high rates of full recovery without sequelae.

REFERENCES

1. Kang HH, Kim JW, Kang JY, Kim JS, Kim MS, Kim SS, et al. Obstructive fibrinous tracheal pseudomembrane after tracheal intubation: A case report. J Korean Med Sci. 2010; 25: 1384-1386.

2. Deslee G, Brichet A, Lebuffe G, Copin MC, Ramon P, Marquette CH. Obstructive fibrinous tracheal pseudomembrane.A potentially fatal complication of tracheal Intubation. Am J Respir Crit Care Med. 2000;162; 1169-1171.

3. Rice BL, Culver DA, Santacruz JF, Lazar CA, McCarthy K, Gildea TR. Obstructive fibrinous tracheal pseudomembrane. Ann Thorac Surg. 2011; 92: e115-117.

4. Lins M, Dobbeleir I, Germonpre P, Waelput W, Pauwels P, Jorens PG. Postextubation obstructive pseudomembranes: A case series and review of a rare complication after endotracheal intubation. Lung. 2011; 89: 81-86.

5. Soong WJ, Jeng MJ, Lee YS, Tsao PC, Yang CF, Soong YH. Pediatric obstructive fibrinous tracheal pseudomembrane--characteristics and management with flexible bronchoscopy. Int J Pediatr Otorhinolaryngol. 2011; 75: 1005-1009.

6. Patolia S, Enriques D, Schmidt F, Quist J. Obstructive fibrinous tracheal pseudomembrane. J Bronchology Interv Pulmonol. 2013; 20: 63-65.

7. Kim HJ, Kim SW, Lee HY, Kang HH, Kang JY, Kim JS, et al. Clinical experience of rigid bronchoscopy in single center. Tuberc Respir Dis (Seoul). 2012; 72: 486-492.

8. Yildirim BB, Karalezli A, Hasanoglu HC, Kandemir O. Obstructive fibrinous tracheal pseudomembrane. J Bronchology Interv Pulmonol. 2012;19: 129-131.

9. Trisolini R, Coniglio, Patelli M. Life-threatening postextubation obstructive fibrinous tracheal pseudomembrane. Ann Thorac Surg. 2013; 95: 103.

10. Arenas-de Larriva MDS, Cosano-Povedano J, Cosano-Povedano A. Inflammatory tracheal pseudomembrane. Arch Bronconeumol. 2014; 50: 306–310.

11. Crespo-Lessmann A, Torrego-Fernández A. Obstructive inflammatory tracheal pseudomembrane. Arch Bronconeumol. 2013; 49: 402–404.

12. Talwar A, Patel N, Omonuwa K, Lisker G. Postintubation obstructive pseudomembrane. J Bronchol. 2008; 15:110–112.

13. Berger TM, Jöhr M. Subglottic fibrinous cast. Paediatr Anaesth. 2005; 15: 622-623.

14. Sigrist T, Dirnhofer R, Patscheider H. [Rare complications following tracheotomy and intubation author’s transl]. Anaesthesist. 1981; 30: 523-527.

15. Harbison J, Collins D, Lynch V, McNicholas WT. Acute stridor due to an upper tracheal membrane following endotracheal intubation. Eur Respir J. 1999; 14: 1238.

16. Takanami I. Life-threatening stridor due to membranous tracheitis as a rare complication of endotracheal intubation: report of a case. Surg Today. 2003; 33: 285-286.

17. Birch CW, Salkeld LJ. A rare tracheal lesion. Paediatr Anaesth. 2005; 15: 73-76.

18.Gershman A, Githaiga A, Mehta A. Pseudomembranous tracheal stenosis. J Bronchol. 2006; 13: 82–83.

19. Walter S, Gasthaus M, Schatz J, Koop I, Paschen HR. Acute subglottic tracheal stenosis after resuscitation. Anaesthesist. 2007; 56: 790–792.

20. Casoni GL, Coffa A, Gurioli C, Terzitta M, Gambale G, Poletti V. A severe complication of short-term tracheal intubation. Anesth Analg. 2007; 104: 232-233.

21. Carron K, Violon D. Post intubation tracheal pseudomembrane. J Bronchol. 2007; 14: 210–211.

22. van Dinther JJ1, Boudewyns AN, Jorens PG, Van Marck V, Claes J, Van de Heyning PH,. Stridor due to a bridge-like subglottic stenosis in a 10-week-old male infant. Int J Pediatr Otorhinolaryngol. 2009; 73: 159-162.

23. Farr MJ, Cyna AM. Subacute airway obstruction from a tracheal mucosal flap. Anaesthesia. 2006; 61: 285-290.

24. Fiorelli A, Vicidomini G, Messina G, Santini M. Spontaneous expectoration of an obstructive fibrinous tracheal pseudomembrane after tracheal intubation. Eur J Cardiothorac Surg. 2011; 40: 261-25.

25. Bameshki AR, Bakhshaee M, Farzadnia M, Lotfizadeh A. Partial tracheal obstruction due to fibrinous pseudomembrane after shortterm intubation. Otolaryngol Head Neck Surg. 2009; 140: 950-951.

26. Harada Y, Sugimoto Y, Sasaki H. Membranous tracheitis following endotracheal intubation. J Laryngol Otol.1977; 91: 119-126.

27. Nakwan N. Obstructive fibrinous tracheal pseudomembrane: a rare condition in postextubation stridor. Respir Care. 2014; 59: 91-93.

28. Muir AP, Straton J. Membranous laryngo-tracheitis following endotracheal intubation. Anaesthesia. 1954; 9: 105-113.

29. Anile M, Diso D, Russo E, Venuta F. Post-intubation membranous trachitis after endotracheal intubation. Eur J Cardiothorac Surg. 2012; 41: 967.

ABSTRACT

Objectives: Report a rare case of obstructive fibrinous tracheal pseudomembrane  (OFTP) in a pediatric patient and to present a literature review on OFTP. 
Methods: A PubMed search was conducted which revealed a total of 21  individual case reports and 6 case series of OFTP. Relevant data was collected from  these publications and analyzed. 
Results: 55 patients with OFTP were identified. Age ranged from 6wk to 85yr,  with mean age (± SD) of 34.34 yr (±25.6). 33 were female and 22 were male.  The reason for initial intubation varied, and included trauma (n=5), altered sensorium  (n=9), respiratory failure (n=15), and intubation for surgical procedure (n=21). The  duration of intubation ranged from 30 minutes to 17 days, with mean duration (±SD)  of 76.24 hours (±103.72). The duration from extubation until onset of symptoms was  almost immediate to 2 weeks, with mean duration (±SD) of 52.30 hours (±73.51). No  clear risk factor for development of OFTP was identified. Majority of patients, 45/55  (82%), were treated with bronchoscopy. Most patients, 49/55 (89%), recovered,  without any sequelae, but there were few deaths, 3/55 (5%).
Conclusion: OFTP is a rare, but serious and potentially life threatening cause  of post extubation respiratory distress. No risk factor could be identified which may  predispose to development of OFTP. Bronchoscopy confirms the diagnosis and removal  of the fibrinous exudate is associated with a high rate of recovery without sequelae. 

KEYWORDS

• Tracheal pseudomembrane

• Post-intubation obstruction

• Fibrinous tracheal Pseudomembrane

• Obstructive fibrinous tracheal pseudomembrane

White Z, Sapthavee A, Jajoo D, Schroeder JW Jr. (2016) Pediatric Post Intubation Obstructive Fibrinous Tracheal Pseudomembrane. Ann Otolaryngol Rhinol 3(6): 1115.

Received : 10 Apr 2016
Accepted : 20 May 2016
Published : 23 May 2016
Journals
JSM Schizophrenia
Launched : 2016
Journal of Nausea
Launched : 2020
JSM Internal Medicine
Launched : 2016
JSM Hepatitis
Launched : 2016
JSM Oro Facial Surgeries
ISSN : 2578-3211
Launched : 2016
Journal of Human Nutrition and Food Science
ISSN : 2333-6706
Launched : 2013
JSM Regenerative Medicine and Bioengineering
ISSN : 2379-0490
Launched : 2013
JSM Spine
ISSN : 2578-3181
Launched : 2016
Archives of Palliative Care
ISSN : 2573-1165
Launched : 2016
JSM Nutritional Disorders
ISSN : 2578-3203
Launched : 2017
Annals of Neurodegenerative Disorders
ISSN : 2476-2032
Launched : 2016
Journal of Fever
ISSN : 2641-7782
Launched : 2017
JSM Bone Marrow Research
ISSN : 2578-3351
Launched : 2016
JSM Mathematics and Statistics
ISSN : 2578-3173
Launched : 2014
Journal of Autoimmunity and Research
ISSN : 2573-1173
Launched : 2014
JSM Arthritis
ISSN : 2475-9155
Launched : 2016
JSM Head and Neck Cancer-Cases and Reviews
ISSN : 2573-1610
Launched : 2016
JSM General Surgery Cases and Images
ISSN : 2573-1564
Launched : 2016
JSM Anatomy and Physiology
ISSN : 2573-1262
Launched : 2016
JSM Dental Surgery
ISSN : 2573-1548
Launched : 2016
Annals of Emergency Surgery
ISSN : 2573-1017
Launched : 2016
Annals of Mens Health and Wellness
ISSN : 2641-7707
Launched : 2017
Journal of Preventive Medicine and Health Care
ISSN : 2576-0084
Launched : 2018
Journal of Chronic Diseases and Management
ISSN : 2573-1300
Launched : 2016
Annals of Vaccines and Immunization
ISSN : 2378-9379
Launched : 2014
JSM Heart Surgery Cases and Images
ISSN : 2578-3157
Launched : 2016
Annals of Reproductive Medicine and Treatment
ISSN : 2573-1092
Launched : 2016
JSM Brain Science
ISSN : 2573-1289
Launched : 2016
JSM Biomarkers
ISSN : 2578-3815
Launched : 2014
JSM Biology
ISSN : 2475-9392
Launched : 2016
Archives of Stem Cell and Research
ISSN : 2578-3580
Launched : 2014
Annals of Clinical and Medical Microbiology
ISSN : 2578-3629
Launched : 2014
JSM Pediatric Surgery
ISSN : 2578-3149
Launched : 2017
Journal of Memory Disorder and Rehabilitation
ISSN : 2578-319X
Launched : 2016
JSM Tropical Medicine and Research
ISSN : 2578-3165
Launched : 2016
JSM Head and Face Medicine
ISSN : 2578-3793
Launched : 2016
JSM Cardiothoracic Surgery
ISSN : 2573-1297
Launched : 2016
JSM Bone and Joint Diseases
ISSN : 2578-3351
Launched : 2017
JSM Bioavailability and Bioequivalence
ISSN : 2641-7812
Launched : 2017
JSM Atherosclerosis
ISSN : 2573-1270
Launched : 2016
Journal of Genitourinary Disorders
ISSN : 2641-7790
Launched : 2017
Journal of Fractures and Sprains
ISSN : 2578-3831
Launched : 2016
Journal of Autism and Epilepsy
ISSN : 2641-7774
Launched : 2016
Annals of Marine Biology and Research
ISSN : 2573-105X
Launched : 2014
JSM Health Education & Primary Health Care
ISSN : 2578-3777
Launched : 2016
JSM Communication Disorders
ISSN : 2578-3807
Launched : 2016
Annals of Musculoskeletal Disorders
ISSN : 2578-3599
Launched : 2016
Annals of Virology and Research
ISSN : 2573-1122
Launched : 2014
JSM Renal Medicine
ISSN : 2573-1637
Launched : 2016
Journal of Muscle Health
ISSN : 2578-3823
Launched : 2016
JSM Genetics and Genomics
ISSN : 2334-1823
Launched : 2013
JSM Anxiety and Depression
ISSN : 2475-9139
Launched : 2016
Clinical Journal of Heart Diseases
ISSN : 2641-7766
Launched : 2016
Annals of Medicinal Chemistry and Research
ISSN : 2378-9336
Launched : 2014
JSM Pain and Management
ISSN : 2578-3378
Launched : 2016
JSM Women's Health
ISSN : 2578-3696
Launched : 2016
Clinical Research in HIV or AIDS
ISSN : 2374-0094
Launched : 2013
Journal of Endocrinology, Diabetes and Obesity
ISSN : 2333-6692
Launched : 2013
Journal of Substance Abuse and Alcoholism
ISSN : 2373-9363
Launched : 2013
JSM Neurosurgery and Spine
ISSN : 2373-9479
Launched : 2013
Journal of Liver and Clinical Research
ISSN : 2379-0830
Launched : 2014
Journal of Drug Design and Research
ISSN : 2379-089X
Launched : 2014
JSM Clinical Oncology and Research
ISSN : 2373-938X
Launched : 2013
JSM Bioinformatics, Genomics and Proteomics
ISSN : 2576-1102
Launched : 2014
JSM Chemistry
ISSN : 2334-1831
Launched : 2013
Journal of Trauma and Care
ISSN : 2573-1246
Launched : 2014
JSM Surgical Oncology and Research
ISSN : 2578-3688
Launched : 2016
Annals of Food Processing and Preservation
ISSN : 2573-1033
Launched : 2016
Journal of Radiology and Radiation Therapy
ISSN : 2333-7095
Launched : 2013
JSM Physical Medicine and Rehabilitation
ISSN : 2578-3572
Launched : 2016
Annals of Clinical Pathology
ISSN : 2373-9282
Launched : 2013
Annals of Cardiovascular Diseases
ISSN : 2641-7731
Launched : 2016
Journal of Behavior
ISSN : 2576-0076
Launched : 2016
Annals of Clinical and Experimental Metabolism
ISSN : 2572-2492
Launched : 2016
Clinical Research in Infectious Diseases
ISSN : 2379-0636
Launched : 2013
JSM Microbiology
ISSN : 2333-6455
Launched : 2013
Journal of Urology and Research
ISSN : 2379-951X
Launched : 2014
Journal of Family Medicine and Community Health
ISSN : 2379-0547
Launched : 2013
Annals of Pregnancy and Care
ISSN : 2578-336X
Launched : 2017
JSM Cell and Developmental Biology
ISSN : 2379-061X
Launched : 2013
Annals of Aquaculture and Research
ISSN : 2379-0881
Launched : 2014
Clinical Research in Pulmonology
ISSN : 2333-6625
Launched : 2013
Journal of Immunology and Clinical Research
ISSN : 2333-6714
Launched : 2013
Annals of Forensic Research and Analysis
ISSN : 2378-9476
Launched : 2014
JSM Biochemistry and Molecular Biology
ISSN : 2333-7109
Launched : 2013
Annals of Breast Cancer Research
ISSN : 2641-7685
Launched : 2016
Annals of Gerontology and Geriatric Research
ISSN : 2378-9409
Launched : 2014
Journal of Sleep Medicine and Disorders
ISSN : 2379-0822
Launched : 2014
JSM Burns and Trauma
ISSN : 2475-9406
Launched : 2016
Chemical Engineering and Process Techniques
ISSN : 2333-6633
Launched : 2013
Annals of Clinical Cytology and Pathology
ISSN : 2475-9430
Launched : 2014
JSM Allergy and Asthma
ISSN : 2573-1254
Launched : 2016
Journal of Neurological Disorders and Stroke
ISSN : 2334-2307
Launched : 2013
Annals of Sports Medicine and Research
ISSN : 2379-0571
Launched : 2014
JSM Sexual Medicine
ISSN : 2578-3718
Launched : 2016
Annals of Vascular Medicine and Research
ISSN : 2378-9344
Launched : 2014
JSM Biotechnology and Biomedical Engineering
ISSN : 2333-7117
Launched : 2013
Journal of Hematology and Transfusion
ISSN : 2333-6684
Launched : 2013
JSM Environmental Science and Ecology
ISSN : 2333-7141
Launched : 2013
Journal of Cardiology and Clinical Research
ISSN : 2333-6676
Launched : 2013
JSM Nanotechnology and Nanomedicine
ISSN : 2334-1815
Launched : 2013
Journal of Ear, Nose and Throat Disorders
ISSN : 2475-9473
Launched : 2016
JSM Ophthalmology
ISSN : 2333-6447
Launched : 2013
Journal of Pharmacology and Clinical Toxicology
ISSN : 2333-7079
Launched : 2013
Annals of Psychiatry and Mental Health
ISSN : 2374-0124
Launched : 2013
Medical Journal of Obstetrics and Gynecology
ISSN : 2333-6439
Launched : 2013
Annals of Pediatrics and Child Health
ISSN : 2373-9312
Launched : 2013
JSM Clinical Pharmaceutics
ISSN : 2379-9498
Launched : 2014
JSM Foot and Ankle
ISSN : 2475-9112
Launched : 2016
JSM Alzheimer's Disease and Related Dementia
ISSN : 2378-9565
Launched : 2014
Journal of Addiction Medicine and Therapy
ISSN : 2333-665X
Launched : 2013
Journal of Veterinary Medicine and Research
ISSN : 2378-931X
Launched : 2013
Annals of Public Health and Research
ISSN : 2378-9328
Launched : 2014
Annals of Orthopedics and Rheumatology
ISSN : 2373-9290
Launched : 2013
Journal of Clinical Nephrology and Research
ISSN : 2379-0652
Launched : 2014
Annals of Community Medicine and Practice
ISSN : 2475-9465
Launched : 2014
Annals of Biometrics and Biostatistics
ISSN : 2374-0116
Launched : 2013
JSM Clinical Case Reports
ISSN : 2373-9819
Launched : 2013
Journal of Cancer Biology and Research
ISSN : 2373-9436
Launched : 2013
Journal of Surgery and Transplantation Science
ISSN : 2379-0911
Launched : 2013
Journal of Dermatology and Clinical Research
ISSN : 2373-9371
Launched : 2013
JSM Gastroenterology and Hepatology
ISSN : 2373-9487
Launched : 2013
Annals of Nursing and Practice
ISSN : 2379-9501
Launched : 2014
JSM Dentistry
ISSN : 2333-7133
Launched : 2013
Author Information X