Loading

Annals of Otolaryngology and Rhinology

Tuberculous Otitis Media Involving the Temporomandibular Joint: A Case Report

Case Report | Open Access | Volume 12 | Issue 5
Article DOI :

  • #. Yuting Tao and Yuqi Men have contributed equally to this work and share first authorship.
  • 1. Department of Otolaryngology-Head and Neck Surgery, Peking University People’s Hospital, China
  • 2. Department of Clinical Science, Intervention and Technology, Karolinska Institute, Sweden
  • 3. Department of Otolaryngology Head and Neck Surgery & Audiology and Neurotology, Karolinska University Hospital, Sweden
+ Show More - Show Less
Corresponding Authors
Lin Han, Department of Otolaryngology-Head and Neck Surgery, Peking University People’s Hospital, China. Tongxiang Diao, Department of Otolaryngology-Head and Neck Surgery, Peking University People’s Hospital, China. Lisheng Yu, Department of Otolaryngology-Head and Neck Surgery, Peking University People’s Hospital, China. Maoli Duan, Department of Clinical Science, Intervention and Technology, Karolinska Institute, Stockholm, Sweden, Department of Otolaryngology Head and Neck Surgery & Audiology and Neurotology, Karolinska University Hospital, Karolinska Institute, 171 76 Stockholm, Sweden.
Abstract

Tuberculous otitis media (TBOM) is a rare form of extrapulmonary tuberculosis. The secondary involvement of the temporomandibular joint (TMJ) from TBOM has hardly been reported. This article presents the clinical features, diagnosis and therapy of a rare case of tuberculous otitis media with TMJ involvement. The diagnosis of TBOM with TMJ involvement was definitely established by a positive Mycobacterium tuberculosis nucleic acid amplification test on the surgical biopsy specimen. The patient reported relief of otalgia and otorrhea following the surgery combined with anti-tuberculosis drugs. We highlight the importance of nucleic acid amplification in the diagnosis of TBOM when traditional staining and culture methods return negative results. Although TMJ tuberculosis secondary to TBOM is extremely rare, a combination of anti-tuberculosis therapy and timely surgical intervention is necessary for refractory cases.

Keywords

• Extrapulmonary tuberculosis; Temporomandibular joint; Otitis medi; Temporomandibular joint arthritis; Tuberculosis

Citation

Tao Y, Men Y, Han L, Diao T, Yu L, et al. (2025) Tuberculous Otitis Media Involving the Temporomandibular Joint: A Case Report. Ann Otolaryngol Rhinol 12(5): 1369.

INTRODUCTION

Tuberculous otitis media (TBOM) is an uncommon form of extrapulmonary tuberculosis, which often presents as painless otorrhea, multiple tympanic membrane perforations and severe hearing loss at an early stage [1]. But the clinical manifestations have become variable nowadays due to the widespread use of antibiotics, making early diagnosis increasingly challenging. Additionally, TBOM might spread and impair other parts of head and neck region. However, temporomandibular joint (TMJ) tuberculosis secondary to TBOM has not been reported.

In this article, we reported an extremely rare case of TMJ tuberculosis secondary to tuberculous otitis media and described the diagnosis and treatment in detail.

CASE PRESENTATION

A 65-year-old female presented to our hospital for right ear discharge and otalgia. She experienced intermittent otorrhea for 20 years and reported right sided tinnitus, hearing loss, and otalgia with no response to antibiotics. She felt pain while opening her mouth. She had lost 5 kilograms in the past four months. The medical history included diabetes, coronary atherosclerotic heart disease with cardiovascular stent implantation, total hip arthroplasty on the right side, and hypertension.

White, thin secretions were observed in the swollen right external auditory canal (EAC), along with a large perforation of the tympanic membrane and granulation in the tympanic cavity. Right-sided TMJ tenderness was noted without facial swelling.

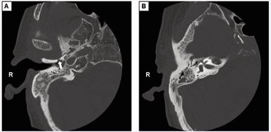
An erythrocyte sedimentation rate of 54 mm/h was detected, with normal results for the complete blood count and C-reactive protein. A computed tomography (CT) scan showed low-density shadows in the right tympanic cavity and mastoid process, bony erosion in the anteroinferior wall of EAC leading into the mandibular fossa, and massive low-density shadows around the condyle [Figure 1]. Magnetic resonance imaging (MRI) with contrast exhibited enhancement around the right TMJ and adjacent muscles [Figure 2].

https://www.jscimedcentral.com/public/assets/images/uploads/image-1766134330-1.JPG

Figure 1 The computed tomography scan of the patient. (A) The bone destruction formed a sinus (the arrow) from the anteroinferior wall of EAC to the mandibular fossa. (B) Inflammatory tissue filled the tympanic sinus, tympanum and mastoid process.

https://www.jscimedcentral.com/public/assets/images/uploads/image-1766134386-1.JPG

Figure 2 Magnetic resonance imaging (MRI) with contrast of the maxillofacial region. (A) The axial view showed peripheral enhancement signals of the right temporomandibular joint and surrounding muscles (white arrow). (B) The coronal view exhibited swollen inflammatory tissue around the mandibular condyle (black arrow).

The ear smear showed a sterile specimen. The posteroinferior swollen skin of the right EAC and granulations of the tympanic cavity were excised for biopsy, the acid-fast bacilli staining returned a negative result. However, the T-SPOT. TB test was positive. The patient was discharged for anti-tuberculosis treatment in specialized hospital yet didn’t take anti-tuberculosis medications. Her otalgia, occlusal pain, and otorrhea exacerbated with a newly presented right-sided headache one month later.

The right mastoidectomy was performed. Numerous granulations in the mastoid, epitympanum and tympanic antrum were cleared for pathology and microbiological culture. The TMJ exploration was conducted by a preauricular approach. Bony necrosis in the anterosuperior wall of the tympanum and the condyle of the TMJ was removed. Granulations on the surface of the temporomandibular joint capsule were sent for microbiological examination, quantitative real-time polymerase chain reaction (qPCR) for TB DNA detection. The qPCR of biopsy specimen reported a positive result which confirms the diagnosis of TBOM involving the TMJ. The patient went to the specialized hospital for treatment and the follow-up after 1 year showed the middle ear cavity epithelialized without drainage.

DISCUSSION

TBOM is an infrequent extrapulmonary involvement of tuberculosis found mostly in developing countries, accounting for 0.1% of all TB patients [2]. A review study on the reported cases of tuberculous otitis media summarized approximately 267 cases [3]. While primary TMJ tuberculosis is also rare, with approximately 20 reports reported since 1951 [4], the secondary involvement of the TMJ from TBOM is a clinical rarity.

Septic arthritis of the TMJ is known as a rare complication of otitis media. Potential routes of direct dissemination include opened squamotympanic fissures, incomplete ossification of tympanic plate, Santorini’s fissures (natural openings in the lateral cartilaginous auditory canal), Huschke’s foramens [5,6]. Tuberculosis of the temporomandibular joint and parotid secondary to TBOM was reported by merely one study [7]. In that case, a sinus from the anterior wall of external auditory canal to the TMJ was observed. Similarly, in our study, the infection perhaps spread to TMJ via a sinus from the anteroinferior wall of EAC which was observed in the CT scan.

The diagnosis of TBOM is often challenging. While the tuberculin skin testing and the interferon gamma release assays (IGRAs, including T. SPOT.TB and QuantiFERON assays) are commonly applied in the detection of latent TB, false positive results can be found in vaccinated people or patients who once had tuberculosis, and activity of the disease cannot be identified [8]. The definite diagnosis traditionally relies on the culture of Mycobacterium tuberculosis. However, this method requires more than 2 weeks and the positive rate is relatively low [9]. The acid fast bacilli staining is convenient but has an even lower sensitivity [2]. In this context, nucleic acid amplification techniques like qPCR are of great help, providing rapid results from small sample volumes with high sensitivity and specificity. In this case, despite negative findings from two pathological biopsies and acid-fast bacilli staining, the positive qPCR result of TB DNA detection confirmed the diagnosis.

The cornerstone of treatment for any form of tuberculosis is long-term, multi-drug anti-tuberculosis therapy. Surgical intervention plays a crucial role in managing complicated cases by debriding necrotic tissue, draining abscesses, and definitive diagnosis. Thus, we recommend surgical excision combined with anti-tuberculosis medications as a proper treatment for refractory cases such as in this report [10].

CONCLUSION

Mycobacterium tuberculosis infection should beconsidered when patients with chronic suppurative otitis media demonstrate no response to empirical medications. When TBOM is highly suspected, qPCR might be of great value. TMJ tuberculosis secondary to TBOM is extremely rare. Anti-tuberculosis therapy should be initially applied, and surgery is suitable for recurrent TMJ involvement.

ETHICS STATEMENT

The authors assert that all procedures contributing to this work comply with the ethical standards of the relevant national and institutional guidelines on human experimentation and with the Helsinki Declaration of 1975, as revised in 2008. This research was approved by the Administration Committee of Peking University People’s Hospital, China (2021PHB149). The written informed consent was obtained from the patient for her medical data to be published.

FUNDING

This work was supported by Peking University People’s Hospital Scientific Research Development Funds (RDY2021–25, RDZH 2022-01, RDE2022-37).

REFERENCES
  1. Suárez I, Fünger SM, Kröger S, Rademacher J, Fätkenheuer G, RybnikerJ. The Diagnosis and Treatment of Tuberculosis. Dtsch Arztebl Int. 2019; 116: 729-735.
  2. Velepic M, Vukelic J, Dvojkovic Z, Skrobonja I, Braut T. Middle east tuberculosis in an immunocompromised patient: Case report and review of the literature. J Infect Public Health. 2021; 14: 139-142.
  3. Pai KK, Omiunu AO, Peddu DK, Au VH, Baredes S, Jyung RW, et al. Tuberculosis of the middle ear: A systematic review. Am J Otolaryngol. 2022; 43: 103571.
  4. Assouan C, Anzouan K, Nguessan ND, Millogo M, Horo K, Konan E, et al. Tuberculosis of the temporomandibular joint. Rev Stomatol Chir Maxillofac Chir Orale. 2014; 115: 88-93.
  5. Dingle AF. Fistula between the external auditory canal and the temporomandibular joint: a rare complication of otitis externa. J Laryngol Otol. 1992; 106: 994-995.
  6. Kumar R, Hota A, Sikka K, Thakar A. Temporomandibular joint ankylosis consequent to ear suppuration. Indian J Otolaryngol Head Neck Surg. 2013; 65: 627-630.
  7. Prasad KC, Sreedharan S, Prasad SC, Chakravarthy Y. Tuberculosis of the temporomandibular joint and parotid secondary to tuberculous otitis media. Otolaryngol Head Neck Surg. 2007; 137: 974-975.
  8. Fu Y, Gong S. Tuberculosis otitis media. Chinese J Otorhinolaryngol Head Neck Surgery. 2007; 42: 471-473
  9. Hongler J, Musaazi J, Ledergerber B, Eberhard N, Sekaggya-Wiltshire C, Keller PM, et al. Comparison of Löwenstein-Jensen and BACTEC MGIT 960 culture for Mycobacterium tuberculosis in people living with HIV. HIV Med. 2018; 19: 654-661.
  10. Helbling CA, Lieger O, Smolka W, Iizuka T, Kuttenberger J. Primary tuberculosis of the TMJ: presentation of a case and literature review. Int J Oral Maxillofac Surg. 2010; 39: 834-838.es

Tao Y, Men Y, Han L, Diao T, Yu L, et al. (2025) Tuberculous Otitis Media Involving the Temporomandibular Joint: A Case Report. Ann Otolaryngol Rhinol 12(5): 1369.

Received : 01 Oct 2025
Accepted : 11 Dec 2025
Published : 12 Dec 2025
Journals
JSM Schizophrenia
Launched : 2016
Journal of Nausea
Launched : 2020
JSM Internal Medicine
Launched : 2016
JSM Hepatitis
Launched : 2016
JSM Oro Facial Surgeries
ISSN : 2578-3211
Launched : 2016
Journal of Human Nutrition and Food Science
ISSN : 2333-6706
Launched : 2013
JSM Regenerative Medicine and Bioengineering
ISSN : 2379-0490
Launched : 2013
JSM Spine
ISSN : 2578-3181
Launched : 2016
Archives of Palliative Care
ISSN : 2573-1165
Launched : 2016
JSM Nutritional Disorders
ISSN : 2578-3203
Launched : 2017
Annals of Neurodegenerative Disorders
ISSN : 2476-2032
Launched : 2016
Journal of Fever
ISSN : 2641-7782
Launched : 2017
JSM Bone Marrow Research
ISSN : 2578-3351
Launched : 2016
JSM Mathematics and Statistics
ISSN : 2578-3173
Launched : 2014
Journal of Autoimmunity and Research
ISSN : 2573-1173
Launched : 2014
JSM Arthritis
ISSN : 2475-9155
Launched : 2016
JSM Head and Neck Cancer-Cases and Reviews
ISSN : 2573-1610
Launched : 2016
JSM General Surgery Cases and Images
ISSN : 2573-1564
Launched : 2016
JSM Anatomy and Physiology
ISSN : 2573-1262
Launched : 2016
JSM Dental Surgery
ISSN : 2573-1548
Launched : 2016
Annals of Emergency Surgery
ISSN : 2573-1017
Launched : 2016
Annals of Mens Health and Wellness
ISSN : 2641-7707
Launched : 2017
Journal of Preventive Medicine and Health Care
ISSN : 2576-0084
Launched : 2018
Journal of Chronic Diseases and Management
ISSN : 2573-1300
Launched : 2016
Annals of Vaccines and Immunization
ISSN : 2378-9379
Launched : 2014
JSM Heart Surgery Cases and Images
ISSN : 2578-3157
Launched : 2016
Annals of Reproductive Medicine and Treatment
ISSN : 2573-1092
Launched : 2016
JSM Brain Science
ISSN : 2573-1289
Launched : 2016
JSM Biomarkers
ISSN : 2578-3815
Launched : 2014
JSM Biology
ISSN : 2475-9392
Launched : 2016
Archives of Stem Cell and Research
ISSN : 2578-3580
Launched : 2014
Annals of Clinical and Medical Microbiology
ISSN : 2578-3629
Launched : 2014
JSM Pediatric Surgery
ISSN : 2578-3149
Launched : 2017
Journal of Memory Disorder and Rehabilitation
ISSN : 2578-319X
Launched : 2016
JSM Tropical Medicine and Research
ISSN : 2578-3165
Launched : 2016
JSM Head and Face Medicine
ISSN : 2578-3793
Launched : 2016
JSM Cardiothoracic Surgery
ISSN : 2573-1297
Launched : 2016
JSM Bone and Joint Diseases
ISSN : 2578-3351
Launched : 2017
JSM Bioavailability and Bioequivalence
ISSN : 2641-7812
Launched : 2017
JSM Atherosclerosis
ISSN : 2573-1270
Launched : 2016
Journal of Genitourinary Disorders
ISSN : 2641-7790
Launched : 2017
Journal of Fractures and Sprains
ISSN : 2578-3831
Launched : 2016
Journal of Autism and Epilepsy
ISSN : 2641-7774
Launched : 2016
Annals of Marine Biology and Research
ISSN : 2573-105X
Launched : 2014
JSM Health Education & Primary Health Care
ISSN : 2578-3777
Launched : 2016
JSM Communication Disorders
ISSN : 2578-3807
Launched : 2016
Annals of Musculoskeletal Disorders
ISSN : 2578-3599
Launched : 2016
Annals of Virology and Research
ISSN : 2573-1122
Launched : 2014
JSM Renal Medicine
ISSN : 2573-1637
Launched : 2016
Journal of Muscle Health
ISSN : 2578-3823
Launched : 2016
JSM Genetics and Genomics
ISSN : 2334-1823
Launched : 2013
JSM Anxiety and Depression
ISSN : 2475-9139
Launched : 2016
Clinical Journal of Heart Diseases
ISSN : 2641-7766
Launched : 2016
Annals of Medicinal Chemistry and Research
ISSN : 2378-9336
Launched : 2014
JSM Pain and Management
ISSN : 2578-3378
Launched : 2016
JSM Women's Health
ISSN : 2578-3696
Launched : 2016
Clinical Research in HIV or AIDS
ISSN : 2374-0094
Launched : 2013
Journal of Endocrinology, Diabetes and Obesity
ISSN : 2333-6692
Launched : 2013
Journal of Substance Abuse and Alcoholism
ISSN : 2373-9363
Launched : 2013
JSM Neurosurgery and Spine
ISSN : 2373-9479
Launched : 2013
Journal of Liver and Clinical Research
ISSN : 2379-0830
Launched : 2014
Journal of Drug Design and Research
ISSN : 2379-089X
Launched : 2014
JSM Clinical Oncology and Research
ISSN : 2373-938X
Launched : 2013
JSM Bioinformatics, Genomics and Proteomics
ISSN : 2576-1102
Launched : 2014
JSM Chemistry
ISSN : 2334-1831
Launched : 2013
Journal of Trauma and Care
ISSN : 2573-1246
Launched : 2014
JSM Surgical Oncology and Research
ISSN : 2578-3688
Launched : 2016
Annals of Food Processing and Preservation
ISSN : 2573-1033
Launched : 2016
Journal of Radiology and Radiation Therapy
ISSN : 2333-7095
Launched : 2013
JSM Physical Medicine and Rehabilitation
ISSN : 2578-3572
Launched : 2016
Annals of Clinical Pathology
ISSN : 2373-9282
Launched : 2013
Annals of Cardiovascular Diseases
ISSN : 2641-7731
Launched : 2016
Journal of Behavior
ISSN : 2576-0076
Launched : 2016
Annals of Clinical and Experimental Metabolism
ISSN : 2572-2492
Launched : 2016
Clinical Research in Infectious Diseases
ISSN : 2379-0636
Launched : 2013
JSM Microbiology
ISSN : 2333-6455
Launched : 2013
Journal of Urology and Research
ISSN : 2379-951X
Launched : 2014
Journal of Family Medicine and Community Health
ISSN : 2379-0547
Launched : 2013
Annals of Pregnancy and Care
ISSN : 2578-336X
Launched : 2017
JSM Cell and Developmental Biology
ISSN : 2379-061X
Launched : 2013
Annals of Aquaculture and Research
ISSN : 2379-0881
Launched : 2014
Clinical Research in Pulmonology
ISSN : 2333-6625
Launched : 2013
Journal of Immunology and Clinical Research
ISSN : 2333-6714
Launched : 2013
Annals of Forensic Research and Analysis
ISSN : 2378-9476
Launched : 2014
JSM Biochemistry and Molecular Biology
ISSN : 2333-7109
Launched : 2013
Annals of Breast Cancer Research
ISSN : 2641-7685
Launched : 2016
Annals of Gerontology and Geriatric Research
ISSN : 2378-9409
Launched : 2014
Journal of Sleep Medicine and Disorders
ISSN : 2379-0822
Launched : 2014
JSM Burns and Trauma
ISSN : 2475-9406
Launched : 2016
Chemical Engineering and Process Techniques
ISSN : 2333-6633
Launched : 2013
Annals of Clinical Cytology and Pathology
ISSN : 2475-9430
Launched : 2014
JSM Allergy and Asthma
ISSN : 2573-1254
Launched : 2016
Journal of Neurological Disorders and Stroke
ISSN : 2334-2307
Launched : 2013
Annals of Sports Medicine and Research
ISSN : 2379-0571
Launched : 2014
JSM Sexual Medicine
ISSN : 2578-3718
Launched : 2016
Annals of Vascular Medicine and Research
ISSN : 2378-9344
Launched : 2014
JSM Biotechnology and Biomedical Engineering
ISSN : 2333-7117
Launched : 2013
Journal of Hematology and Transfusion
ISSN : 2333-6684
Launched : 2013
JSM Environmental Science and Ecology
ISSN : 2333-7141
Launched : 2013
Journal of Cardiology and Clinical Research
ISSN : 2333-6676
Launched : 2013
JSM Nanotechnology and Nanomedicine
ISSN : 2334-1815
Launched : 2013
Journal of Ear, Nose and Throat Disorders
ISSN : 2475-9473
Launched : 2016
JSM Ophthalmology
ISSN : 2333-6447
Launched : 2013
Journal of Pharmacology and Clinical Toxicology
ISSN : 2333-7079
Launched : 2013
Annals of Psychiatry and Mental Health
ISSN : 2374-0124
Launched : 2013
Medical Journal of Obstetrics and Gynecology
ISSN : 2333-6439
Launched : 2013
Annals of Pediatrics and Child Health
ISSN : 2373-9312
Launched : 2013
JSM Clinical Pharmaceutics
ISSN : 2379-9498
Launched : 2014
JSM Foot and Ankle
ISSN : 2475-9112
Launched : 2016
JSM Alzheimer's Disease and Related Dementia
ISSN : 2378-9565
Launched : 2014
Journal of Addiction Medicine and Therapy
ISSN : 2333-665X
Launched : 2013
Journal of Veterinary Medicine and Research
ISSN : 2378-931X
Launched : 2013
Annals of Public Health and Research
ISSN : 2378-9328
Launched : 2014
Annals of Orthopedics and Rheumatology
ISSN : 2373-9290
Launched : 2013
Journal of Clinical Nephrology and Research
ISSN : 2379-0652
Launched : 2014
Annals of Community Medicine and Practice
ISSN : 2475-9465
Launched : 2014
Annals of Biometrics and Biostatistics
ISSN : 2374-0116
Launched : 2013
JSM Clinical Case Reports
ISSN : 2373-9819
Launched : 2013
Journal of Cancer Biology and Research
ISSN : 2373-9436
Launched : 2013
Journal of Surgery and Transplantation Science
ISSN : 2379-0911
Launched : 2013
Journal of Dermatology and Clinical Research
ISSN : 2373-9371
Launched : 2013
JSM Gastroenterology and Hepatology
ISSN : 2373-9487
Launched : 2013
Annals of Nursing and Practice
ISSN : 2379-9501
Launched : 2014
JSM Dentistry
ISSN : 2333-7133
Launched : 2013
Author Information X