Loading

Annals of Otolaryngology and Rhinology

Vocal Fold Leukoplakia - 30 Years of Experience and Critical Analysis

Short Communication | Open Access | Volume 11 | Issue 4

  • 1. Otorhinolaryngologist, PhD from the University of São Paulo (USP), Brazil
  • 2. Otorhinolaryngologist, Professor of Medicine at Tiradentes University (SE), Brazil
  • 3. Otorhinolaryngologist. Federal University of Sergipe (UFS), Brazil
  • 4. Otorhinolaryngologist, Edmundo Vasconcelos Hospital – SP, Brazil
  • 5. Doctor, Hospital Santo Antônio – Obras sociais irmã Dulce, Brazil
  • 6. Medical Student, Tiradentes University (SE), Brazil
+ Show More - Show Less
Corresponding Authors
Jeferson Sampaio d’Ávila, Otorhinolaryngologist, PhD from the University of São Paulo (USP), Nº 67, Bairro São José - CEP 49.015-220 - Aracaju/SE, Brazil
Abstract

Background: Leukoplakia is a premalignant lesion and it is considered a hyperplastic and dysplastic phase of epithelial evolution in the glottic larynx, especially in this cas at the vocal fold level. The leukoplakia may or may not evolve into a carcinoma. Regarding the epidemiology of premalignant lesions, the data found in the literature are scarce.

Objective: The purpose of this study was to determine the accuracy of preoperative examination for diagnosing premalignant laryngeal lesions and their association with benign vocal fold diseases. Methods: This is a transversal study performed through the review of surgical records and anatomopathological study of patients who underwent laryngeal microsurgeries in the period of 30 years (1990 to 2019) by a single surgeon.

Results: Premalignant lesions were more prevalent in men (68.7%) and in ages 51 to 60 years (30.3%). Males were more prevalent (69,49%) than females (30,51%). The average age was 47,74 years and the median was 47 years (20 to 85 years). The predominant age bracket was between 41 and 50 years. In females, premalignant lesions occurred most often in the fifth and the sixth decades of life. In males, in the fourth and fifth decades.

Conclusion: When considering this sample, it is clear that around 13% of premalignant lesions are only diagnosed from laryngeal microsurgery. Furthermore, there has been an increase in the prevalence ratio in the last 10 years (9.85% to 18.12%), this fact may be due to attention to the association of diseases, interactivity with the pathologist and the application of new technologies.

Citation

D’Avila JA, D’Avila DV, Setton ARF, De Góis CRT, De Oliveira Meurer AT, et al. (2024) Vocal Fold Leukoplakia - 30 Years of Experience and Critical Analysis. Ann Otolaryngol Rhinol 11(4): 1340.

INTRODUCTION

Leukoplakia is a premalignant lesion and it is considered a hyperplastic and dysplastic phase of epithelial evolution in the glottic larynx, especially in this case at the vocal fold level [1- 3]. The leukoplakia may or may not evolve into a carcinoma. In the clinical practice, they are commonly classified as a leukoplakia, erythroplakia, erythroleukoplakia, and chronic laryngitis, although there is no consensus on this issue [4]. Regarding the epidemiology of premalignant lesions, the data found in the literature are scarce. However, it is known that these lesions are more prevalent in males and it usually affects individuals above 50 years of age. There is a direct relationship between a leukoplakia and the following conditions: age and gender, alcoholism, smoking, bad vocal use, reflux disease, and papilomatosis [5]. Other diseases may present with a similar aspect. The differential diagnosis includes tuberculosis, secondary syphilis, pseudomembranous moniliasis, chemical irritants inhalation, and deep mycoses. Its most important symptom is progressive hoarseness, among others such as dry cough, sore throat and hawking. Leukoplakia is diagnosed by outpatient laryngoscopic examination, which provides a safe and easy evaluation of laryngeal pathologies [6-9].The evolution of laryngoscopic procedures in outpatients has provided better access to important information for a safe and easy diagnosis of laryngeal pathologies. Preoperative assessment procedures have also evolved, and the introduction of new endoscopic methods is providing more informative analyses of lesions of the vocal folds [10]. The dissociation between the diagnostic imaging in the preoperative and transoperative periods in patients submitted to laryngeal microsurgery has been observed in the clinical practice, especially with respect to benign lesions of the vocal folds [11,12]. Neither comparisons concerning premalignant lesions nor studies regarding the concomitance of benign and premalignant laryngeal lesions are found in the medical literature.The purpose of this study was to determine the accuracy of preoperative examination for diagnosing premalignant laryngeal lesions and their association with benign vocal fold diseases, as well as to evaluate their epidemiological characteristics.

METHODS

This is a transversal study performed through the review of surgical records and anatomopathological study of patients who underwent laryngeal microsurgeries in the period of 30 years (1990 to 2019) by a single surgeon. In the first 20 years (1990 to 2009), the methodology followed this order: analysis of medical records of patients, microsurgery image and REMS, and pathological anatomical study. For the last 10 years (2010 to 2019), the order of analysis was inverted: pathological anatomical study, microsurgery image and REMS, and medical records of patients. Anamnesis and physical examinations were performed in all patients. All of them complained of hoarseness and underwent flexible nasopharyngolaryngoscopic assessment (Machida ENT—30P III, Machida Endoscope Co., Japan) and rigid telescopic laryngoscopy using a 70-degree, 10- mm Storz telescope (Karl Storz GmbH & Co. KG, Germany) with stroboscopic light source to obtain preoperative diagnostic imaging. The equipment was coupled to a video system for the morphologic characterization, localization of the lesion, and documentation. Laryngeal microsurgery was performed in the operating room under general anesthesia. A Bouchayertype suspension laryngoscope was used together with a DF Vasconcelos microscope (D.F. Vasconcellos S.A., São Paulo, Brazil) (400-mmlens, 16x or 24x magnifications). Laryngeal microscopy was performed by suspension laryngoscopy, making a thorough inspection, classic palpation maneuvers, and eversion of laryngeal structures using specific instruments for this purpose. Those patients who underwent the surgery after 2000 were submitted to rigid endoscopy with 0-, 30-, 70-, and 120-degree endoscopes and contact endoscopy with specific 0-degree endoscope (Karl Storz GmbH & Co. KG, Germany). After defining the transoperative diagnostic imaging, lesions were completely excised and subsequently placed separately in 10% formaldehyde solution and forwarded to the pathology laboratory on the same day.

As inclusion criteria, we considered patients who had the following records in transoperative diagnostic imaging confirmed with postoperative anatomopathological exam: leukoplakia, erythroplakia, hyperkeratosis, leukoerythroplakia, dysplasia, and chronic laryngitis. The exclusion criteria considered patients who did not have records of preoperative diagnostic imaging or confirming postoperative anatomopathological exam. The following data were collected: preoperative diagnostic imaging, trans operative diagnostic imaging, sex, and age. This study followed the ethical recommendations for research involving human beings advocated in the Resolution No. 196/96 of the National Health Council. It was submitted and approved by the Research Ethics Committee of the institution, under Protocol CAAE-1103.0.107.00007. Data collection was only performed after the consent of the committee.

RESULTS

A total of 910 patients were submitted to laryngeal microsurgery in the service from 1990 to 2019 [Table 1]. According to the methodology proposed in the first 20 years, 59 patients with premalignant lesions of the vocal folds were selected, which represented 9.85% of the sample. In the last 10 years, 62 were selected, representing 18.12% of the sample. In the total sample, 12.96% of the patients presented with premalignant lesions [Table 1].

Table 1: Leukoplakia in 30 years

 

FIRST 20 YEARS

LAST 10 YEARS

TOTAL

Larynx Microsurgery

568

342

910

Dysplasia with Benign Disease

56 = 9,85%

62 = 18,12%

118 = 12,96%

The preoperative evaluation of outpatients obtained an accuracy of 68.8%. Patients who had premalignant lesions accounted for 10.87% of those who underwent laryngeal microsurgery. The association of leukoplakia with benign disease accounted for 12.96% of patients who underwent laryngeal microsurgery in thirty years. Vocal fold cysts were the most frequently associated benign lesions [Figure 1].

Concomitant benign lesions of the vocal folds in patients with  premalignant laryngeal lesions

Figure 1: Concomitant benign lesions of the vocal folds in patients with premalignant laryngeal lesions

Premalignant lesions were more prevalent in men (68.7%) and in ages 51 to 60 years (30.3%). Males were more prevalent (69,49%) than females (30,51%). The average age was 47,74 years and the median was 47 years (20 to 85 years). The predominant age bracket was between 41 and 50 years. In females, premalignant lesions occurred most often in the fifth and the sixth decades of live. In males, in the fourth and fifth decades.

DISCUSSION

Premalignant lesions are more prevalent in men over 40 years old (almost 70 %), and it usually has a direct relationship with smoking, alcoholism, and vocal abuse. These data agree with the literature [1,5,10].

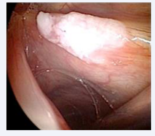
This prevalence is justified due to the surgeon’s special attention during the trans-operative period, and the following aspects were observed: the leukoplakia may be microscopic, it may be located throughout the glottis, especially at the vocal fold level, it may be associated to the initial surgical lesion, it may be contralateral to it, it may be located in the epithelium of this lesion or it may also be subglottic. Intraoperative staging with microscopy, palpation maneuvers and the use of rigid endoscopes angled at 30, 70 and 120 degrees favor the detection of leukoplastic lesions [Figures 2-5].

Leukoplakia with variation in location and quantity

Figure 2: Leukoplakia with variation in location and quantity

 Leukoplakia with variation in location and quantity

Figure 3: Leukoplakia with variation in location and quantity

Leukoplakia with variation in location and quantity

Figure 4: Leukoplakia with variation in location and quantity

Leukoplakia with variation in location and quantity

Figure 5: Leukoplakia with variation in location and quantity

There are different perspectives of the same lesion when 0, 30, 70 and 120 degree angled endoscopes are used [Figures 6-9]. 

Leukoplakia with variation in location and quantity. 0 degree

Figure 6: Leukoplakia with variation in location and quantity. 0 degree

 Leukoplakia with variation in location and quantity. 30 degree

Figure 7: Leukoplakia with variation in location and quantity. 30 degree

Leukoplakia with variation in location and quantity. 70 degree

Figure 8: Leukoplakia with variation in location and quantity. 70 degree

Leukoplakia with variation in location and quantity. 120 degree

Figure 9: Leukoplakia with variation in location and quantity. 120 degree

It is fundamental to understand that, in the same patient with leukoplakia, and even in the same leukoplakia plaque, there can be various degrees of dysplasia evolution, including the association of grade I dysplasia with invasive carcinoma. There was an increase in the prevalence ratio in the last 10 years (from 9.85% to 18.12%). This may be due to the attention to the association of disease, interactivity with the pathologist, and application of new technologies such as REMS and CEMS. However, the prevalence in relation to gender, age, and etiological factors were statistically similar in 30 years of research.

CONCLUSION

When considering this sample, it is clear that around 12.96% of premalignant lesions are only diagnosed from laryngeal microsurgery, therefore, despite being low, the rate of diagnosis of premalignant lesions has a great impact on the clinical management of the patient in question. Furthermore,there has been an increase in the prevalence ratio in the last 10 years (9.85% to 18.12%), this fact may be due to attention to the association of diseases, interactivity with the pathologist and the application of new technologies such as REMS and CEMS cysts were the most prevalent concomitant benign lesions of the vocal fold. Males were more prevalent and the predominant age group was between 51 and 60 years old.

ACKNOWLEDGMENTS

We are endlessly grateful for the honorable contribution of the eternal Masters Prof. Dr. Mário Andrea, Oscar Dias and Alberto Santos from the University of Lisbon - Portugal. Without their unparalleled guidance and dedication, this work would not be possible. Our utmost gratitude

REFERENCES

1. Parker NP.Vocal fold leukoplakia: incidence, management, and prevention. Curr Opin Otolaryngol Head Neck Surg. 2017; 25: 464- 468.

2. Garrel R, Uro Coste E, Costes-Martineau V, Woisard V, Atallah I, Remacle M.Vocal-fold leukoplakia and dysplasia. Mini-review by the French Society of Phoniatrics and Laryngology (SFPL). Eur Ann Otorhinolaryngol Head Neck Dis. 2020;137:399-404

3. Rutt AL, Wang C, Zhuo Li. Clinicopathologic Aspects of Vocal Fold Leukoplakia in Smokers and Nonsmokers. J Voice. 2021; 35:779-784.

4. Nina Gale , Leslie Michaels, Bostjan Luzar, Mario Poljak, Nina Zidar, Janez Fischinger,et al. Current review on squamous intraepithelial lesions of the larynx. Histopathology. 2009; 54: 639–656.

5. Padial MB, Ronchi DI, Madeira K. Epidemiological profile of malignant neoplasms of the larynx in a laboratory of pathology in Criciúma - SC the period 2006 to 2010. Arq Catarin Med. 2011; 40: 64–68.

6. Chen M, Li C, Yang Y, Cheng L, Wu H. A morphological classification for vocal fold leukoplakia. Braz J Otorhinolaryngol. 2019; 85: 588-596.

7. Pietruszewska W, Morawska J, Rosiak O, Leduchowska A, Klimza H, Wierzbicka M. Vocal Fold Leukoplakia: Which of the Classifications of White Light and Narrow Band Imaging Most Accurately Predicts Laryngeal Cancer Transformation? Proposition for a Diagnostic Algorithm. Cancers. 2021;13 :3273.

8. Li DP, Chai W, Huang H.The diagnosis and treatment progress of vocal fold leukoplakia]. J of Clinical Otor.logy,. 2016 ;30 :838-840.

9. Kim CM, Chhetri DK.Triological Best Practice: When Is Surgical Intervention Indicated for Vocal Fold Leukoplakia?. Laryngoscope.2020; 130:1362-1363.

10. D’Avila JS, Santos RC, D’Avila DV. Métodos de avaliação em laringologia. In: Associação Brasileira de Otorrinolaringologia e Cirurgia Cérvico-Facial (Org.). Manuais de Otorrinolaringologia, 1st ed. São Paulo, Brazil: Associação Brasileira de Otorrinolaringologia e Cirurgia Cérvico-Facial; 2008:136–145.

11. Mendes Neto JA, Pinna BR, Caporrino Neto J, Pedroso JE. Comparison between telelaryngoscopy and suspension laryngoscopy in the diagnosis of benign vocal fold lesions. Braz J Otorhinolaryngol.2008; 74: 869–875.

12. Poels PJP, de Jong FICRS, Schutte HK. Consistency of the preoperative and intraoperative diagnosis of benign vocal fold lesions. J Voice. 2003; 17 :425–433

D’Avila JA, D’Avila DV, Setton ARF, De Góis CRT, De Oliveira Meurer AT, et al. (2024) Vocal Fold Leukoplakia - 30 Years of Experience and Critical Analysis. Ann Otolaryngol Rhinol 11(4): 1340.

Received : 28 May 2024
Accepted : 23 Jul 2024
Published : 23 Jul 2024
Journals
JSM Schizophrenia
Launched : 2016
Journal of Nausea
Launched : 2020
JSM Internal Medicine
Launched : 2016
JSM Hepatitis
Launched : 2016
JSM Oro Facial Surgeries
ISSN : 2578-3211
Launched : 2016
Journal of Human Nutrition and Food Science
ISSN : 2333-6706
Launched : 2013
JSM Regenerative Medicine and Bioengineering
ISSN : 2379-0490
Launched : 2013
JSM Spine
ISSN : 2578-3181
Launched : 2016
Archives of Palliative Care
ISSN : 2573-1165
Launched : 2016
JSM Nutritional Disorders
ISSN : 2578-3203
Launched : 2017
Annals of Neurodegenerative Disorders
ISSN : 2476-2032
Launched : 2016
Journal of Fever
ISSN : 2641-7782
Launched : 2017
JSM Bone Marrow Research
ISSN : 2578-3351
Launched : 2016
JSM Mathematics and Statistics
ISSN : 2578-3173
Launched : 2014
Journal of Autoimmunity and Research
ISSN : 2573-1173
Launched : 2014
JSM Arthritis
ISSN : 2475-9155
Launched : 2016
JSM Head and Neck Cancer-Cases and Reviews
ISSN : 2573-1610
Launched : 2016
JSM General Surgery Cases and Images
ISSN : 2573-1564
Launched : 2016
JSM Anatomy and Physiology
ISSN : 2573-1262
Launched : 2016
JSM Dental Surgery
ISSN : 2573-1548
Launched : 2016
Annals of Emergency Surgery
ISSN : 2573-1017
Launched : 2016
Annals of Mens Health and Wellness
ISSN : 2641-7707
Launched : 2017
Journal of Preventive Medicine and Health Care
ISSN : 2576-0084
Launched : 2018
Journal of Chronic Diseases and Management
ISSN : 2573-1300
Launched : 2016
Annals of Vaccines and Immunization
ISSN : 2378-9379
Launched : 2014
JSM Heart Surgery Cases and Images
ISSN : 2578-3157
Launched : 2016
Annals of Reproductive Medicine and Treatment
ISSN : 2573-1092
Launched : 2016
JSM Brain Science
ISSN : 2573-1289
Launched : 2016
JSM Biomarkers
ISSN : 2578-3815
Launched : 2014
JSM Biology
ISSN : 2475-9392
Launched : 2016
Archives of Stem Cell and Research
ISSN : 2578-3580
Launched : 2014
Annals of Clinical and Medical Microbiology
ISSN : 2578-3629
Launched : 2014
JSM Pediatric Surgery
ISSN : 2578-3149
Launched : 2017
Journal of Memory Disorder and Rehabilitation
ISSN : 2578-319X
Launched : 2016
JSM Tropical Medicine and Research
ISSN : 2578-3165
Launched : 2016
JSM Head and Face Medicine
ISSN : 2578-3793
Launched : 2016
JSM Cardiothoracic Surgery
ISSN : 2573-1297
Launched : 2016
JSM Bone and Joint Diseases
ISSN : 2578-3351
Launched : 2017
JSM Bioavailability and Bioequivalence
ISSN : 2641-7812
Launched : 2017
JSM Atherosclerosis
ISSN : 2573-1270
Launched : 2016
Journal of Genitourinary Disorders
ISSN : 2641-7790
Launched : 2017
Journal of Fractures and Sprains
ISSN : 2578-3831
Launched : 2016
Journal of Autism and Epilepsy
ISSN : 2641-7774
Launched : 2016
Annals of Marine Biology and Research
ISSN : 2573-105X
Launched : 2014
JSM Health Education & Primary Health Care
ISSN : 2578-3777
Launched : 2016
JSM Communication Disorders
ISSN : 2578-3807
Launched : 2016
Annals of Musculoskeletal Disorders
ISSN : 2578-3599
Launched : 2016
Annals of Virology and Research
ISSN : 2573-1122
Launched : 2014
JSM Renal Medicine
ISSN : 2573-1637
Launched : 2016
Journal of Muscle Health
ISSN : 2578-3823
Launched : 2016
JSM Genetics and Genomics
ISSN : 2334-1823
Launched : 2013
JSM Anxiety and Depression
ISSN : 2475-9139
Launched : 2016
Clinical Journal of Heart Diseases
ISSN : 2641-7766
Launched : 2016
Annals of Medicinal Chemistry and Research
ISSN : 2378-9336
Launched : 2014
JSM Pain and Management
ISSN : 2578-3378
Launched : 2016
JSM Women's Health
ISSN : 2578-3696
Launched : 2016
Clinical Research in HIV or AIDS
ISSN : 2374-0094
Launched : 2013
Journal of Endocrinology, Diabetes and Obesity
ISSN : 2333-6692
Launched : 2013
Journal of Substance Abuse and Alcoholism
ISSN : 2373-9363
Launched : 2013
JSM Neurosurgery and Spine
ISSN : 2373-9479
Launched : 2013
Journal of Liver and Clinical Research
ISSN : 2379-0830
Launched : 2014
Journal of Drug Design and Research
ISSN : 2379-089X
Launched : 2014
JSM Clinical Oncology and Research
ISSN : 2373-938X
Launched : 2013
JSM Bioinformatics, Genomics and Proteomics
ISSN : 2576-1102
Launched : 2014
JSM Chemistry
ISSN : 2334-1831
Launched : 2013
Journal of Trauma and Care
ISSN : 2573-1246
Launched : 2014
JSM Surgical Oncology and Research
ISSN : 2578-3688
Launched : 2016
Annals of Food Processing and Preservation
ISSN : 2573-1033
Launched : 2016
Journal of Radiology and Radiation Therapy
ISSN : 2333-7095
Launched : 2013
JSM Physical Medicine and Rehabilitation
ISSN : 2578-3572
Launched : 2016
Annals of Clinical Pathology
ISSN : 2373-9282
Launched : 2013
Annals of Cardiovascular Diseases
ISSN : 2641-7731
Launched : 2016
Journal of Behavior
ISSN : 2576-0076
Launched : 2016
Annals of Clinical and Experimental Metabolism
ISSN : 2572-2492
Launched : 2016
Clinical Research in Infectious Diseases
ISSN : 2379-0636
Launched : 2013
JSM Microbiology
ISSN : 2333-6455
Launched : 2013
Journal of Urology and Research
ISSN : 2379-951X
Launched : 2014
Journal of Family Medicine and Community Health
ISSN : 2379-0547
Launched : 2013
Annals of Pregnancy and Care
ISSN : 2578-336X
Launched : 2017
JSM Cell and Developmental Biology
ISSN : 2379-061X
Launched : 2013
Annals of Aquaculture and Research
ISSN : 2379-0881
Launched : 2014
Clinical Research in Pulmonology
ISSN : 2333-6625
Launched : 2013
Journal of Immunology and Clinical Research
ISSN : 2333-6714
Launched : 2013
Annals of Forensic Research and Analysis
ISSN : 2378-9476
Launched : 2014
JSM Biochemistry and Molecular Biology
ISSN : 2333-7109
Launched : 2013
Annals of Breast Cancer Research
ISSN : 2641-7685
Launched : 2016
Annals of Gerontology and Geriatric Research
ISSN : 2378-9409
Launched : 2014
Journal of Sleep Medicine and Disorders
ISSN : 2379-0822
Launched : 2014
JSM Burns and Trauma
ISSN : 2475-9406
Launched : 2016
Chemical Engineering and Process Techniques
ISSN : 2333-6633
Launched : 2013
Annals of Clinical Cytology and Pathology
ISSN : 2475-9430
Launched : 2014
JSM Allergy and Asthma
ISSN : 2573-1254
Launched : 2016
Journal of Neurological Disorders and Stroke
ISSN : 2334-2307
Launched : 2013
Annals of Sports Medicine and Research
ISSN : 2379-0571
Launched : 2014
JSM Sexual Medicine
ISSN : 2578-3718
Launched : 2016
Annals of Vascular Medicine and Research
ISSN : 2378-9344
Launched : 2014
JSM Biotechnology and Biomedical Engineering
ISSN : 2333-7117
Launched : 2013
Journal of Hematology and Transfusion
ISSN : 2333-6684
Launched : 2013
JSM Environmental Science and Ecology
ISSN : 2333-7141
Launched : 2013
Journal of Cardiology and Clinical Research
ISSN : 2333-6676
Launched : 2013
JSM Nanotechnology and Nanomedicine
ISSN : 2334-1815
Launched : 2013
Journal of Ear, Nose and Throat Disorders
ISSN : 2475-9473
Launched : 2016
JSM Ophthalmology
ISSN : 2333-6447
Launched : 2013
Journal of Pharmacology and Clinical Toxicology
ISSN : 2333-7079
Launched : 2013
Annals of Psychiatry and Mental Health
ISSN : 2374-0124
Launched : 2013
Medical Journal of Obstetrics and Gynecology
ISSN : 2333-6439
Launched : 2013
Annals of Pediatrics and Child Health
ISSN : 2373-9312
Launched : 2013
JSM Clinical Pharmaceutics
ISSN : 2379-9498
Launched : 2014
JSM Foot and Ankle
ISSN : 2475-9112
Launched : 2016
JSM Alzheimer's Disease and Related Dementia
ISSN : 2378-9565
Launched : 2014
Journal of Addiction Medicine and Therapy
ISSN : 2333-665X
Launched : 2013
Journal of Veterinary Medicine and Research
ISSN : 2378-931X
Launched : 2013
Annals of Public Health and Research
ISSN : 2378-9328
Launched : 2014
Annals of Orthopedics and Rheumatology
ISSN : 2373-9290
Launched : 2013
Journal of Clinical Nephrology and Research
ISSN : 2379-0652
Launched : 2014
Annals of Community Medicine and Practice
ISSN : 2475-9465
Launched : 2014
Annals of Biometrics and Biostatistics
ISSN : 2374-0116
Launched : 2013
JSM Clinical Case Reports
ISSN : 2373-9819
Launched : 2013
Journal of Cancer Biology and Research
ISSN : 2373-9436
Launched : 2013
Journal of Surgery and Transplantation Science
ISSN : 2379-0911
Launched : 2013
Journal of Dermatology and Clinical Research
ISSN : 2373-9371
Launched : 2013
JSM Gastroenterology and Hepatology
ISSN : 2373-9487
Launched : 2013
Annals of Nursing and Practice
ISSN : 2379-9501
Launched : 2014
JSM Dentistry
ISSN : 2333-7133
Launched : 2013
Author Information X