Loading

Clinical Research in Pulmonology

Cold Miliary: An Atypical Presentation of Thoracic Sarcoidosis

Case Report | Open Access | Volume 11 | Issue 1

  • 1. Department of Pulmonology and Respiratory Disease, 20 Aout 1953 Hospital, University Hospital Center of Casablanca, Morocco
+ Show More - Show Less
Corresponding Authors
Naima Ait Mouddene, Department of Pulmonology and Respiratory Disease, 20 Aout 1953 Hospital, University Hospital Center of Casablanca-Morocco
Abstract

Sarcoidosis is an idiopathic systemic granulomatous disease of unknown etiology, characterized by fibrotic changes in tissue architecture and specifically by the presence of non-caseating epithelioid cell granulomas. We report the case of a cold miliary pattern diagnosed as atypical thoracic sarcoidosis, focusing on the challenges in establishing the diagnosis. The patient is a 38-year-old woman treated for lymph node tuberculosis at the age of 12. She presented with progressive dyspnea over one year, accompanied by a persistent dry cough, general health deterioration, and anxiety. An anti-tuberculous treatment was initiated empirically without bacteriological evidence, showing no improvement by the end of therapy. Subsequently, a chest CT scan revealed diffuse micronodules with a lymphatic distribution, associated with bilateral hilar and mediastinal lymphadenopathy. Bronchial biopsies showed non-necrotizing, non-caseating tuberculoid granulomatous inflammation. Angiotensin-converting enzyme (ACE) levels were elevated, and the 6-minute walk test revealed desaturation to 90% after a distance of 30 meters. A multidisciplinary team discussion concluded with the diagnosis of atypical thoracic sarcoidosis. The patient was started on corticosteroid therapy combined with adjuvant treatment for 14 months, showing favorable progression confirmed by a follow-up chest CT scan six months later.

KEYWORDS
  • Thoracic Sarcoidosis
  • Cold Miliary Pattern
  • Young Woman
  • Granulomatous Disease
  • Atypical Dase
CITATION

Arfaoui H, Mouddene NA, Hallouli S, Msika S, Bamha H, et al. (2025) Cold Miliary: An Atypical Presentation of Thoracic Sarcoidosis. Clin Res Pulmonol 11(1): 1072.

INTRODUCTION

Sarcoidosis is a multisystemic granulomatous disease with a predilection for the mediastinal and pulmonary regions. It primarily affects multiple organs, notably the lungs and lymphatic system. Its cause remains unknown and is characterized by the formation of inflammatory-type granulomas. The diagnosis of thoracic sarcoidosis is not standardized and requires a combination of clinical, radiological, biological, and histological findings, including the presence of non-caseating epithelioid and giant cell granulomas and the exclusion of other causes of granulomatous diseases [1-2]. The radiological features of thoracic sarcoidosis vary, with typical patterns observed in 60–70% of patients and atypical patterns in 25–30%. In some sarcoidosis patients (5–10%), thoracic imaging may appear normal [3]. The objective of this case report is to present an atypical form of sarcoidosis, emphasizing the differential diagnosis to highlight the challenging role of radiologists in identifying the disease and to assist clinicians in establishing an accurate diagnosis.

CASE REPORT

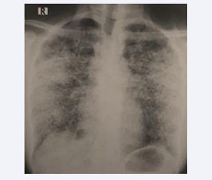
The patient is a 38-year-old black woman with no significant medical habits or history aside from cervical lymph node tuberculosis diagnosed at the age of 12, confirmed histologically by a tuberculoid granuloma with caseous necrosis. She reported no recent contact with tuberculosis in her surroundings and had no other associated pathologies. The onset of her illness dates back six months, marked by the gradual appearance of intermittent dry cough and exertional dyspnea, without hemoptysis, chest pain, or other associated extra pulmonary symptoms. These symptoms evolved in a context of febrile sensations, night sweats, and a general health decline characterized by asthenia, anorexia, and unquantified weight loss. The patient consulted a pulmonologist who ordered a frontal chest X-ray and an Interferon-Gamma Release Assay (IGRA), which tested positive. Based on the radioclinical data, a multidisciplinary decision concluded a diagnosis of pulmonary tuberculosis, and a six- month anti-tuberculous treatment was initiated. After 1.5 months of treatment, the clinical course showed slight improvement with regression of functional symptoms and a weight gain of 2 kg (Figure 1).

Figure 1 Chest X-ray after 1.5 months of anti-tuberculous treatment.

Figure 1: Chest X-ray after 1.5 months of anti-tuberculous treatment.

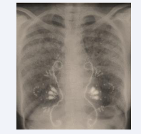
However, at the end of the six-month anti-tuberculous treatment, the patient experienced clinical worsening with dyspnea progressing to Mmrc stage III, profound anxiety, and radiological deterioration. A follow-up chest X-ray revealed the presence of diffuse bilateral micronodules (Figure 2).

Figure 2 Chest X-ray after 6 months of anti-tuberculous treatment showing diffuse bilateral micronodule.

Figure 2: Chest X-ray after 6 months of anti-tuberculous treatment showing diffuse bilateral micronodule.

Examination on Admission

Upon admission to the hospital, the patient was in poor general condition (Performance Status: 2), slightly underweight (BMI = 17.5 kg/m²), eupneic at 20 breaths/min, afebrile, normotensive, and normocardic, with normal oxygen saturation in ambient air (SpO?: 96%). There were no signs of respiratory distress or cyanosis. Pulmonary examination revealed diffuse bilateral crackles. Cardiovascular examination showed no abnormalities. The skin and mucosal examination revealed no erythematous or nodular lesions, with a visible cervical scar from the previous lymph node biopsy on the right side. The rest of the physical examination was unremarkable. During hospitalization, temperature monitoring showed no episodes of fever.

Radiological Assessment

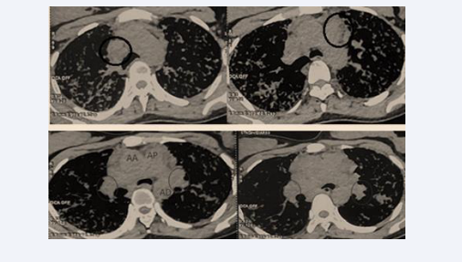
A chest CT scan revealed diffuse bilateral nodules and micronodules with a lymphatic distribution, involving all pulmonary regions and creating a miliary pattern. Some nodules were seen along the right and left fissures, forming a “beaded fissure” appearance (Figure 3).

Figure 3 Diffuse bilateral nodules and micronodules with lymphatic distribution, presenting a miliary pattern and perilymphatic fissure appearance.

Figure 3: Diffuse bilateral nodules and micronodules with lymphatic distribution, presenting a miliary pattern and perilymphatic fissure appearance.

The mediastinal window demonstrated large bilateral hilar and mediastinal lymphadenopathies (Figure 4).

Figure 4 Large bilateral hilar and mediastinal lymphadenopathies.

Figure 4: Large bilateral hilar and mediastinal lymphadenopathies.

An abdominopelvic ultrasound showed no digestive wall thickening or abdominal lymphadenopathy.

Biological Assessment

The complete blood count, liver, renal, and thyroid function tests were all within normal ranges. Blood and urinary phosphocalcium profiles were also normal (Calcemia: 104 mg/L, Phosphatemia: 40 mg/L, Urinary calcium: 39 mg/L, Urinary phosphate: <50 mg/L). Angiotensin-Converting Enzyme (ACE) levels were elevated at 192 U/L. The 24-hour proteinuria was below 0.11 g/24h, and serum protein electrophoresis revealed inflammatory polyclonal hypergammaglobulinemia. The Quantiferon TB Gold test was negative.

Endoscopic Assessment

Flexible bronchoscopy revealed diffuse grade 2 inflammation in both the right and left bronchi, with mucous secretions but no granulomatous lesions. Segmental bronchial biopsies revealed non-necrotizing tuberculoid granulomatous inflammation, with no signs of malignancy. Acid-fast bacilli (AFB) staining, GeneXpert MTB/RIF, and culture from bronchial aspirates were negative. A labial biopsy demonstrated grade 1 chronic sialadenitis according to the Chisholm and Mason classification. Ophthalmological and otorhinolaryngological (ENT) examinations, including nasal biopsy, showed no evidence of sarcoid involvement.

Assessment of Functional Impact

Plethysmography revealed no obstructive ventilatory disorder (FEV1/FVC = 0.8, FEV1 = 95%) or restrictive ventilatory disorder (TLC = 99%). The six-minute walk test showed desaturation to 90% after walking a distance of 30 meters. Cardiac evaluation, including an electrocardiogram and echocardiography, showed no abnormalities.

Final Diagnosis

The diagnosis was confirmed as cold miliary sarcoidosis, classified as Stage III sarcoidosis. The case’s uniqueness lies in its atypical presentation.

Treatment

A multidisciplinary team decided to initiate corticosteroid therapy at a dose of 1 mg/kg/day for six weeks, followed by a gradual taper over a total duration of 14 months. Adjuvant therapy included potassium supplements, vitamin D, and a low- sodium, low-sugar diet.

Outcome

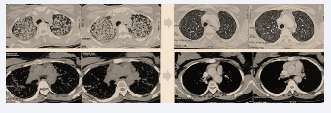
After two months of corticosteroid therapy, the patient showed significant improvement, with reduced dyspnea, disappearance of cough and anxiety, resolution of crackles, and a weight gain of 15 kg. At six months, dyspnea and crackles had completely disappeared, and the patient resumed her daily activities, including work. ACE levels showed a significant decrease (96 U/L vs. 192 U/L), and the six-minute walk test revealed normal oxygen saturation in ambient air (SpO? = 99%) after walking 280 meters without dyspnea. Follow-up chest CT showed a marked regression of nodules, micronodules, and hilar and mediastinal lymphadenopathy (Figure 5).

Figure 5 Follow-up chest CT showing significant regression of nodules, micronodules, and hilar and mediastinal lymphadenopathy.

Figure 5: Follow-up chest CT showing significant regression of nodules, micronodules, and hilar and mediastinal lymphadenopathy.

DISCUSSION

Sarcoidosis is an idiopathic systemic granulomatous disease of unknown etiology, characterized by fibrotic changes in tissue architecture and specifically by the presence of non-caseating epithelioid cell granulomas. In 90% of cases, pulmonary involvement associated with mediastinal hilar lymphadenopathy is present, but the disease can also affect other organs, including the skin, salivary glands, eyes, liver, heart, and brain [4]. The incidence of sarcoidosis varies depending on geographic region, sex—with a slight female predominance—race, and ethnic origin. Familial clustering of sarcoidosis has also been described [5]. Generally, sarcoidosis affects young adults between the ages of 20 and 29, with a slightly higher prevalence among women [6]. In our case, the patient is a young Black woman with no family history of sarcoidosis. Patients with sarcoidosis are typically symptomatic, presenting with non-specific symptoms such as cough, dyspnea, fatigue, night sweats, and erythema. Approximately 50% of patients remain asymptomatic, with incidental findings discovered during routine chest radiography [4]. The diagnosis relies on a combination of clinical and radiological findings, along with histological evidence of non- caseating epithelioid granulomas [3]. The differential diagnosis includes major infectious granulomatous disorders such as tuberculosis, leishmaniasis, fungal diseases, and non-infectious granulomatous disorders, including Hodgkin and non-Hodgkin lymphomas, sarcomas, silicosis, berylliosis, hypersensitivity pneumonitis, and vasculitis. Radiologically atypical forms, such as seen in our patient, pose a diagnostic challenge for both clinicians and radiologists, as they can mimic several other conditions, including tuberculous miliary disease, carcinomatous lymphangitis, hypersensitivity pneumonitis, and others. This is why thoracic sarcoidosis is often referred to as “the great imitator” [7]. Atypical manifestations may include honeycomb cysts, halo opacities, mosaic attenuation, miliary opacities, or pleural involvement (pneumothorax, pleural effusion, and pleural thickening). Most of these atypical forms are typically associated with older age (patients over 50 years) and a history of smoking, which was not the case with our patient [1].

CONCLUSION

Thoracic sarcoidosis is considered a heterogeneous disease, often referred to as “the great imitator”, due to its wide spectrum of typical and atypical radiological presentations. Clinicians and radiologists must carefully correlate imaging findings with clinical and histological results to confirm the diagnosis and rule out differential diagnoses. It is essential for radiologists and pulmonologists to become familiar with the broad range of imaging patterns associated with sarcoidosis to ensure an accurate and timely diagnosis of thoracic sarcoidosis.

REFERENCES
  1. Cozzi D, Bargagli E, Calabrò AG, Torricelli E, Giannelli F, Cavigli E, et al. Atypical HRCT manifestations of pulmonary sarcoidosis. Radiol Med. 2018; 123: 174-184. doi: 10.1007/s11547-017-0830-y. Epub 2017 Nov 9. PMID: 29124658.
  2. Crouser ED, Maier LA, Wilson KC, Bonham CA, Morgenthau AS, Patterson KC, et al. Diagnosis and Detection of Sarcoidosis. An Official American Thoracic Society Clinical Practice Guideline. Am J Respir Crit Care Med. 2020; 2018: e26-e51. doi: 10.1164/rccm.202002- 0251ST. PMID: 32293205; PMCID: PMC7159433.
  3. Criado E, Sánchez M, Ramírez J, Arguis P, de Caralt TM, Perea RJ, et al. Pulmonary sarcoidosis: typical and atypical manifestations at high- resolution CT with pathologic correlation. Radiographics. 2010; 30: 1567-1586. doi: 10.1148/rg.306105512. PMID: 21071376.
  4. Al-Jahdali H, Rajiah P, Koteyar SS, Allen C, Khan AN. Atypical radiological manifestations of thoracic sarcoidosis: A review and pictorial essay. Ann Thorac Med. 2013; 8: 186-196. doi: 10.4103/1817- 1737.118490. PMID: 24250731; PMCID: PMC3821277.
  5. Rybicki BA, Iannuzzi MC, Frederick MM, Thompson BW, Rossman MD, Bresnitz EA, et al; ACCESS Research Group. Familial aggregation of sarcoidosis. A case-control etiologic study of sarcoidosis (ACCESS). Am J Respir Crit Care Med. 2001; 164: 2085-2091. doi: 10.1164/ ajrccm.164.11.2106001. PMID: 11739139.
  6. Hillerdal G, Nöu E, Osterman K, Schmekel B. Sarcoidosis: epidemiology and prognosis. A 15-year European study. Am Rev Respir Dis. 1984; 130: 29-32. doi: 10.1164/arrd.1984.130.1.29. PMID: 6742607.
  7. Hawtin KE, Roddie ME, Mauri FA, Copley SJ. Pulmonary sarcoidosis: the ‘Great Pretender’. Clin Radiol. 2010; 65: 642-50. doi: 10.1016/j. crad.2010.03.004. Epub 2010 May 13. PMID: 20599067.

Arfaoui H, Mouddene NA, Hallouli S, Msika S, Bamha H, et al. (2025) Cold Miliary: An Atypical Presentation of Thoracic Sarcoidosis. Clin Res Pulmonol 11(1): 1072.

Received : 24 Dec 2024
Accepted : 09 Jan 2025
Published : 13 Jan 2025
Journals
Annals of Otolaryngology and Rhinology
ISSN : 2379-948X
Launched : 2014
JSM Schizophrenia
Launched : 2016
Journal of Nausea
Launched : 2020
JSM Internal Medicine
Launched : 2016
JSM Hepatitis
Launched : 2016
JSM Oro Facial Surgeries
ISSN : 2578-3211
Launched : 2016
Journal of Human Nutrition and Food Science
ISSN : 2333-6706
Launched : 2013
JSM Regenerative Medicine and Bioengineering
ISSN : 2379-0490
Launched : 2013
JSM Spine
ISSN : 2578-3181
Launched : 2016
Archives of Palliative Care
ISSN : 2573-1165
Launched : 2016
JSM Nutritional Disorders
ISSN : 2578-3203
Launched : 2017
Annals of Neurodegenerative Disorders
ISSN : 2476-2032
Launched : 2016
Journal of Fever
ISSN : 2641-7782
Launched : 2017
JSM Bone Marrow Research
ISSN : 2578-3351
Launched : 2016
JSM Mathematics and Statistics
ISSN : 2578-3173
Launched : 2014
Journal of Autoimmunity and Research
ISSN : 2573-1173
Launched : 2014
JSM Arthritis
ISSN : 2475-9155
Launched : 2016
JSM Head and Neck Cancer-Cases and Reviews
ISSN : 2573-1610
Launched : 2016
JSM General Surgery Cases and Images
ISSN : 2573-1564
Launched : 2016
JSM Anatomy and Physiology
ISSN : 2573-1262
Launched : 2016
JSM Dental Surgery
ISSN : 2573-1548
Launched : 2016
Annals of Emergency Surgery
ISSN : 2573-1017
Launched : 2016
Annals of Mens Health and Wellness
ISSN : 2641-7707
Launched : 2017
Journal of Preventive Medicine and Health Care
ISSN : 2576-0084
Launched : 2018
Journal of Chronic Diseases and Management
ISSN : 2573-1300
Launched : 2016
Annals of Vaccines and Immunization
ISSN : 2378-9379
Launched : 2014
JSM Heart Surgery Cases and Images
ISSN : 2578-3157
Launched : 2016
Annals of Reproductive Medicine and Treatment
ISSN : 2573-1092
Launched : 2016
JSM Brain Science
ISSN : 2573-1289
Launched : 2016
JSM Biomarkers
ISSN : 2578-3815
Launched : 2014
JSM Biology
ISSN : 2475-9392
Launched : 2016
Archives of Stem Cell and Research
ISSN : 2578-3580
Launched : 2014
Annals of Clinical and Medical Microbiology
ISSN : 2578-3629
Launched : 2014
JSM Pediatric Surgery
ISSN : 2578-3149
Launched : 2017
Journal of Memory Disorder and Rehabilitation
ISSN : 2578-319X
Launched : 2016
JSM Tropical Medicine and Research
ISSN : 2578-3165
Launched : 2016
JSM Head and Face Medicine
ISSN : 2578-3793
Launched : 2016
JSM Cardiothoracic Surgery
ISSN : 2573-1297
Launched : 2016
JSM Bone and Joint Diseases
ISSN : 2578-3351
Launched : 2017
JSM Bioavailability and Bioequivalence
ISSN : 2641-7812
Launched : 2017
JSM Atherosclerosis
ISSN : 2573-1270
Launched : 2016
Journal of Genitourinary Disorders
ISSN : 2641-7790
Launched : 2017
Journal of Fractures and Sprains
ISSN : 2578-3831
Launched : 2016
Journal of Autism and Epilepsy
ISSN : 2641-7774
Launched : 2016
Annals of Marine Biology and Research
ISSN : 2573-105X
Launched : 2014
JSM Health Education & Primary Health Care
ISSN : 2578-3777
Launched : 2016
JSM Communication Disorders
ISSN : 2578-3807
Launched : 2016
Annals of Musculoskeletal Disorders
ISSN : 2578-3599
Launched : 2016
Annals of Virology and Research
ISSN : 2573-1122
Launched : 2014
JSM Renal Medicine
ISSN : 2573-1637
Launched : 2016
Journal of Muscle Health
ISSN : 2578-3823
Launched : 2016
JSM Genetics and Genomics
ISSN : 2334-1823
Launched : 2013
JSM Anxiety and Depression
ISSN : 2475-9139
Launched : 2016
Clinical Journal of Heart Diseases
ISSN : 2641-7766
Launched : 2016
Annals of Medicinal Chemistry and Research
ISSN : 2378-9336
Launched : 2014
JSM Pain and Management
ISSN : 2578-3378
Launched : 2016
JSM Women's Health
ISSN : 2578-3696
Launched : 2016
Clinical Research in HIV or AIDS
ISSN : 2374-0094
Launched : 2013
Journal of Endocrinology, Diabetes and Obesity
ISSN : 2333-6692
Launched : 2013
Journal of Substance Abuse and Alcoholism
ISSN : 2373-9363
Launched : 2013
JSM Neurosurgery and Spine
ISSN : 2373-9479
Launched : 2013
Journal of Liver and Clinical Research
ISSN : 2379-0830
Launched : 2014
Journal of Drug Design and Research
ISSN : 2379-089X
Launched : 2014
JSM Clinical Oncology and Research
ISSN : 2373-938X
Launched : 2013
JSM Bioinformatics, Genomics and Proteomics
ISSN : 2576-1102
Launched : 2014
JSM Chemistry
ISSN : 2334-1831
Launched : 2013
Journal of Trauma and Care
ISSN : 2573-1246
Launched : 2014
JSM Surgical Oncology and Research
ISSN : 2578-3688
Launched : 2016
Annals of Food Processing and Preservation
ISSN : 2573-1033
Launched : 2016
Journal of Radiology and Radiation Therapy
ISSN : 2333-7095
Launched : 2013
JSM Physical Medicine and Rehabilitation
ISSN : 2578-3572
Launched : 2016
Annals of Clinical Pathology
ISSN : 2373-9282
Launched : 2013
Annals of Cardiovascular Diseases
ISSN : 2641-7731
Launched : 2016
Journal of Behavior
ISSN : 2576-0076
Launched : 2016
Annals of Clinical and Experimental Metabolism
ISSN : 2572-2492
Launched : 2016
Clinical Research in Infectious Diseases
ISSN : 2379-0636
Launched : 2013
JSM Microbiology
ISSN : 2333-6455
Launched : 2013
Journal of Urology and Research
ISSN : 2379-951X
Launched : 2014
Journal of Family Medicine and Community Health
ISSN : 2379-0547
Launched : 2013
Annals of Pregnancy and Care
ISSN : 2578-336X
Launched : 2017
JSM Cell and Developmental Biology
ISSN : 2379-061X
Launched : 2013
Annals of Aquaculture and Research
ISSN : 2379-0881
Launched : 2014
Journal of Immunology and Clinical Research
ISSN : 2333-6714
Launched : 2013
Annals of Forensic Research and Analysis
ISSN : 2378-9476
Launched : 2014
JSM Biochemistry and Molecular Biology
ISSN : 2333-7109
Launched : 2013
Annals of Breast Cancer Research
ISSN : 2641-7685
Launched : 2016
Annals of Gerontology and Geriatric Research
ISSN : 2378-9409
Launched : 2014
Journal of Sleep Medicine and Disorders
ISSN : 2379-0822
Launched : 2014
JSM Burns and Trauma
ISSN : 2475-9406
Launched : 2016
Chemical Engineering and Process Techniques
ISSN : 2333-6633
Launched : 2013
Annals of Clinical Cytology and Pathology
ISSN : 2475-9430
Launched : 2014
JSM Allergy and Asthma
ISSN : 2573-1254
Launched : 2016
Journal of Neurological Disorders and Stroke
ISSN : 2334-2307
Launched : 2013
Annals of Sports Medicine and Research
ISSN : 2379-0571
Launched : 2014
JSM Sexual Medicine
ISSN : 2578-3718
Launched : 2016
Annals of Vascular Medicine and Research
ISSN : 2378-9344
Launched : 2014
JSM Biotechnology and Biomedical Engineering
ISSN : 2333-7117
Launched : 2013
Journal of Hematology and Transfusion
ISSN : 2333-6684
Launched : 2013
JSM Environmental Science and Ecology
ISSN : 2333-7141
Launched : 2013
Journal of Cardiology and Clinical Research
ISSN : 2333-6676
Launched : 2013
JSM Nanotechnology and Nanomedicine
ISSN : 2334-1815
Launched : 2013
Journal of Ear, Nose and Throat Disorders
ISSN : 2475-9473
Launched : 2016
JSM Ophthalmology
ISSN : 2333-6447
Launched : 2013
Journal of Pharmacology and Clinical Toxicology
ISSN : 2333-7079
Launched : 2013
Annals of Psychiatry and Mental Health
ISSN : 2374-0124
Launched : 2013
Medical Journal of Obstetrics and Gynecology
ISSN : 2333-6439
Launched : 2013
Annals of Pediatrics and Child Health
ISSN : 2373-9312
Launched : 2013
JSM Clinical Pharmaceutics
ISSN : 2379-9498
Launched : 2014
JSM Foot and Ankle
ISSN : 2475-9112
Launched : 2016
JSM Alzheimer's Disease and Related Dementia
ISSN : 2378-9565
Launched : 2014
Journal of Addiction Medicine and Therapy
ISSN : 2333-665X
Launched : 2013
Journal of Veterinary Medicine and Research
ISSN : 2378-931X
Launched : 2013
Annals of Public Health and Research
ISSN : 2378-9328
Launched : 2014
Annals of Orthopedics and Rheumatology
ISSN : 2373-9290
Launched : 2013
Journal of Clinical Nephrology and Research
ISSN : 2379-0652
Launched : 2014
Annals of Community Medicine and Practice
ISSN : 2475-9465
Launched : 2014
Annals of Biometrics and Biostatistics
ISSN : 2374-0116
Launched : 2013
JSM Clinical Case Reports
ISSN : 2373-9819
Launched : 2013
Journal of Cancer Biology and Research
ISSN : 2373-9436
Launched : 2013
Journal of Surgery and Transplantation Science
ISSN : 2379-0911
Launched : 2013
Journal of Dermatology and Clinical Research
ISSN : 2373-9371
Launched : 2013
JSM Gastroenterology and Hepatology
ISSN : 2373-9487
Launched : 2013
Annals of Nursing and Practice
ISSN : 2379-9501
Launched : 2014
JSM Dentistry
ISSN : 2333-7133
Launched : 2013
Author Information X