AbstractConceptual ideas about the nature of acute nonspecific inflammation in the lungs (ANSIL) and the resulting principles of treatment of this category of patients have been formed and have taken a strong leading position in broad medical practice only o.....
AbstractSystemic lupus erythematosus (SLE) is a connective tissue disease characterized by multi-visceral involvement and a variety of clinical, biological and radiological signs. Systemic lupus erythematosus can affect several organs, including the lung. Al.....
AbstractHigh-altitude Illnesses (HAI) in the climbing population on Mount Kilimanjaro form a small but steady patient population in our tertiary referral centre. The aim of this study was to document neurological disorders in climbers independent of HAI. Met.....
AbstractMicroscopic polyangiitis is a rare systemic necrotizing vasculitis of unknown origin that affects small-caliber vessels. We report the case of a 42 years old némale patient who presented for 4 months several episodes of gradual onset, medium-abundan.....
AbstractCigarette smoke-induced protein accumulation and aggresome formation is a major pathological hallmark of COPD disease. Aggresome formation results from a defect in autophagy. To understand the mechanism of cigarette smoke-induced autophagy defect, th.....
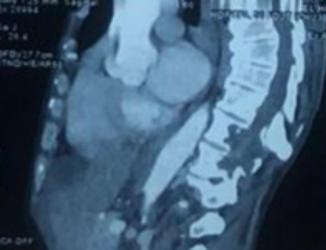
AbstractAbstract Hydatidosis is an anthropozoonosis caused by the development of cysts corresponding to the larval form of a taenia called Ecchinococcus granulosis. Bone hydatidosis is rare, accounting for only 0.9% to 2.5% of all cases. We report the case o.....
AbstractObjective: The detection of smear-positive and culture-negative (SPCN) status during pulmonary tuberculosis treatment can be seen at a constant rate. However, its risk factors and duration of detection have not been well evaluated with short-interval.....
AbstractTakayasu’s vasculitis is a rare chronic inflammatory arteritis of unknown origin affecting large arteries in young subjects. We report the observation of a 32-year-old female patient who presented for 6 months with dyspnea stage II mMRC associated .....
AbstractMiss H.N., aged 39, has no toxic habits. She has been followed up since childhood for tuberous sclerosis of Bourneville (TBS), which was retained in view of the skin involvement. She reported chronic dyspnoea for about ten years. She was hospitalized.....
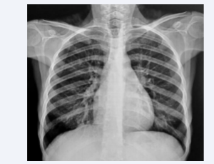
AbstractRasmussen’s aneurysm is a false inflammatory aneurysm of a branch of the pulmonary artery within or adjacent to a tuberculous cavern or other excavated lung lesion, whose rupture may lead to massive hemoptysis.
Our patient, who was at 35 days of a.....
AbstractCOPD is the third leading cause of death worldwide and has a particular impact on the population of India. About 53 million people are affected by COPD in India, and this disease disproportionately affects those in the low-middle income class. This r.....