Loading

Clinical Research in Pulmonology

Pulmonary Process Revealing a Follicular Thyroid Tumor- A Case Report

Case Report | Open Access | Volume 10 | Issue 1

  • 1. Department of Pneumology Department, Hospital 20 Août 1953, CHU Ibn Rochd, Casablanca, Morocco
+ Show More - Show Less
Corresponding Authors
Soukaina Hallouli, Pneumology Department, Hospital 20 Août 1953, CHU Ibn Rochd, Casablanca, Morocco
Abstract

Metastases from follicular thyroid carcinomas are rare. Thoracic metastases mainly involve the lungs, mediastinal lymph nodes and pleura. We report a case showing the natural course of follicular thyroid cancer in a female patient aged 66, exposed to passive smoking, known hypertensive and type 2 diabetic, with a 46-year-old goiter refusing all management, who reported a right interscapulo-vertebral burning pain associated with mucous bronchial syndrome and stage II mMRC dyspnoea. Clinical examination revealed laryngeal stridor associated with the presence of 3 cervical masses. The chest X-ray showed a right laterotracheal opacity associated with a cannon ball appearance and bone lysis opposite the 3rd, 4th and 5th ribs. Cervico-thoracic CT scan showed 2 plunging right and left thyroid masses associated with bilateral laterocervical adenopathies and a right apico-dorsal tissue process with costal lysis, parietal and vertebral invasion associated with a cannon ball appearance and mediastinal adenopathies. Histological study revealed a secondary localization of a follicular thyroid tumor. Only decompressive radiotherapy was indicated, with surgical and iratherapy abstention in view of the patient’s advanced stage.

Keywords

• Pulmonary Process ; Thoracic Metastases ; Follicular Thyroid Tumo ; Metastatic Cannon Ball

CITATION

Hallouli S, El Khattabi W, Bamha H, Bougteb N, Arfaoui H, et al. (2024) Pulmonary Process Revealing a Follicular Thyroid Tumor- A Case Report. Clin Res Pulmonol 10(1): 1067.

INTRODUCTION

Metastases from follicular thyroid carcinomas are rare. Thoracic metastases mainly involve the lungs, mediastinal lymph nodes and pleura. We report a case showing the natural course of follicular thyroid cancer in a patient with a 46-year-old goiter refusing all management, who presented with a right lung mass and a metastatic cannon ball appearance.

Patient and Observation

Mrs E.R aged 66, exposed to passive smoking for 39 years, known hypertensive and type 2 diabetic for 4 years on treatment, poorly followed for a goiter for 46 years (surgery indicated but refused by the patient). She reported the progressive onset of right interscapulo-vertebral burning pain associated with mucous bronchial syndrome and stage II mMRC dyspnoea for 4 months, evolving in a context of apyrexia and preservation of general condition. Clinical examination revealed laryngeal stridor associated with the presence of 3 cervical masses (Figure 1) measuring 13 cm, 5 cm and 3 cm in diameter respectively, fixed, painless and with no lower limit. Pleuropulmonary examination was essentially normal.

Clinical examination showing 3 cervical masses.

Figure 1: Clinical examination showing 3 cervical masses.

The chest X-ray (Figure 2) showed a dense, inhomogeneous right laterotracheal opacity with sharp contours, gently sloping into the mediastinum, with decreased transparency of the upper third of the right hemithorax, bone lysis adjacent to the 3rd, 4th and 5th ribs and multiple diffuse nodular opacities in both lung parenchyma, creating a cannon ball appearance.

Front thoracic X-ray showing a right laterotracheal opacity associated with a cannon ball appearance and bone lysis opposite the 3rd,  4th and 5th ribs.

Figure 2: Front thoracic X-ray showing a right laterotracheal opacity associated with a cannon ball appearance and bone lysis opposite the 3rd, 4th and 5th ribs.

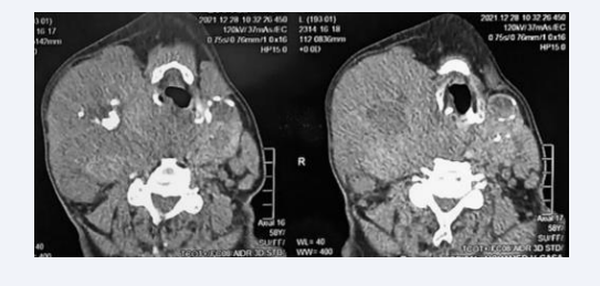
A cervicothoracic CT scan (Figure 3) showed a plunging right thyroid mass of tumoral appearance, very heterodense with several areas of necrosis, compressive and pushing the larynx and trachea to the left; another plunging left thyroid mass with micro and macro calcifications, pushing the trachea to the right; and multiple bilateral laterocervical enlarged lymph nodes of metastatic appearance.

Cervical level of cervicothoracic CT scan showing 2 plunging right and left thyroid masses associated with bilateral laterocervical  adenopathies.

Figure 3: Cervical level of cervicothoracic CT scan showing 2 plunging right and left thyroid masses associated with bilateral laterocervical adenopathies.

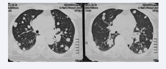
On the thoracic level (Figure 4), there was a right apico-dorsal tissue process with costal lysis opposite, parietal and vertebral invasion associated with multiple nodules scattered over both lung fields, giving a cannon ball appearance, and pre vascular mediastinal, Barety’s lodge, aorto-pulmonary window and left hilar enlarged lymph nodes.

Thoracic level of cervicothoracic CT scan showing a right apico-dorsal tissue process with costal lysis, parietal and vertebral invasion  associated with a cannon ball appearance and mediastinal adenopathies

Figure 4: Thoracic level of cervicothoracic CT scan showing a right apico-dorsal tissue process with costal lysis, parietal and vertebral invasion associated with a cannon ball appearance and mediastinal adenopathies

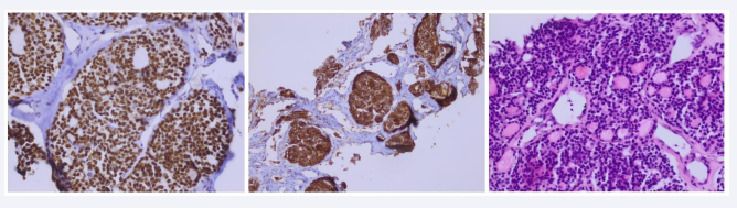
The patient’s thyroid workup was normal, with TSH at 2.1 mIU, T3L at 2.1 umol/L, T4L at 14 pmol/L. In the absence of flexible bronchoscopy, which was difficult to perform because of the cervical masses and refused by the patient, a transparietal biopsy of the right apico-dorsal process revealed on histological study a secondary localization of a follicular thyroid tumor (Figure 5).

Figure 5: Histological study of transparietal biopsy, showing fibrous tissue infiltrated by an endocrine tumor proliferation, partially follicular.

The patient refused to undergo thyroid biopsy, and cytopuncture revealed a follicular thyroid tumour (Bethesda category IV). After multidisciplinary consultation meetings, only decompressive radiotherapy was indicated, with surgical and iratherapy abstention in view of the patient’s advanced stage. The patient refused all organic or psychological treatment and was lost to follow-up.

DISCUSSION

Thyroid cancer is a relatively rare disease with a good prognosis, representing 1% of all cancers, and is predominantly female (76% of cases). Micro- or macronodular pulmonary metastases occur in 10-15% of cases, including papillary carcinoma in 70%, follicular carcinoma in 15%, and medullary and anaplastic carcinomas, which are rare [1].

Thyroid cancer metastases to the thorax via 2 main routes: the lymphatic route via the intrapulmonary and pleural lymphatics, and the hematogenous route via the pulmonary arteries (most frequent) and bronchial arteries (rarer) [2].

Clinical presentation is non-specific, and may include dry cough, bronchial syndrome, hemoptysis, chest pain, respiratory distress, stridor or dysphonia [3].

Thoracic metastases may be pulmonary, mediastinal lymph node or pleural. Pulmonary metastases are the most common form of thyroid cancer, particularly in differentiated cancers. They take the form of pulmonary nodules and micronodules, giving a cannon ball or miliary appearance, or calcifications. They are sometimes only visible on iodine-131 scintigraphy.

Positive diagnosis is mainly based on histology, using bronchial or transbronchial biopsies taken during flexible bronchoscopy, transparietal biopsy, pleural biopsy or surgery (mediastinoscopy or thoracoscopy) [4].

Lymph node metastases are mainly seen in papillary cancers. They have little or no sensitivity to radioactive iodine. Lymph node dissection is the standard treatment. Picking, or simple removal of one or more lymph node metastases, is not recommended. Metastases may be synchronous, contemporaneous with the thyroid tumour, or metachronous, appearing at a distance from the treatment of the thyroid tumour [5].

Pleural metastases are rare, presenting as recurrent pleurisy, nodules and pleural masses. They are confirmed histologically by pleural biopsy, transparietal biopsy or thoracoscopy. Their prognosis is poor. Iratherapy is ineffective, and treatment is palliative with chemotherapy and pleurodesis, which is indicated for recurrent pleural effusions [5].

Progression is variable, ranging from complete remission to rapid progression and death [3].

Minimally invasive follicular carcinoma has a good prognosis, with a risk of long-term death in 3 to 5% of cases, whereas widely invasive follicular carcinoma has a much more guarded prognosis, with a risk of long-term death of around 50, and a much greater risk of distant metastases.

Prognostic factors include age at diagnosis, tumor histology, site of metastasis and avidity of iodine-131. The 10-year survival rate is 25-70% [3].

CONCLUSION

This study highlights the importance of screening for thyroid tumour pathology at an early stage, in order to reduce the risk of metastatic disease, particularly in the thoracic region, which is particularly detrimental. It also underlines the importance of psychological management of patients suffering from the disease, since the organic and psychological aspects must be appreciated, differentiated and treated with the same rigour.

Contributions of the Authors

Soukaina Hallouli: Attending doctor and first author ; Wiam Elkhattabi: Responsible professor and second author;; Hajar Bamha: Attending doctor and third author ; Nabil Bougteb: Responsible professor; Hajar Arfaoui: Responsible professor; Hasna Jabri: Responsible professor; Moulay Hicham Afif: Head professor.

All authors contributed to this work. They have read and approved the final version of the manuscript.

Hallouli S, El Khattabi W, Bamha H, Bougteb N, Arfaoui H, et al. (2024) Pulmonary Process Revealing a Follicular Thyroid Tumor- A Case Report. Clin Res Pulmonol 10(1): 1067.

Received : 23 Feb 2024
Accepted : 29 Mar 2024
Published : 30 Mar 2024
Journals
Annals of Otolaryngology and Rhinology
ISSN : 2379-948X
Launched : 2014
JSM Schizophrenia
Launched : 2016
Journal of Nausea
Launched : 2020
JSM Internal Medicine
Launched : 2016
JSM Hepatitis
Launched : 2016
JSM Oro Facial Surgeries
ISSN : 2578-3211
Launched : 2016
Journal of Human Nutrition and Food Science
ISSN : 2333-6706
Launched : 2013
JSM Regenerative Medicine and Bioengineering
ISSN : 2379-0490
Launched : 2013
JSM Spine
ISSN : 2578-3181
Launched : 2016
Archives of Palliative Care
ISSN : 2573-1165
Launched : 2016
JSM Nutritional Disorders
ISSN : 2578-3203
Launched : 2017
Annals of Neurodegenerative Disorders
ISSN : 2476-2032
Launched : 2016
Journal of Fever
ISSN : 2641-7782
Launched : 2017
JSM Bone Marrow Research
ISSN : 2578-3351
Launched : 2016
JSM Mathematics and Statistics
ISSN : 2578-3173
Launched : 2014
Journal of Autoimmunity and Research
ISSN : 2573-1173
Launched : 2014
JSM Arthritis
ISSN : 2475-9155
Launched : 2016
JSM Head and Neck Cancer-Cases and Reviews
ISSN : 2573-1610
Launched : 2016
JSM General Surgery Cases and Images
ISSN : 2573-1564
Launched : 2016
JSM Anatomy and Physiology
ISSN : 2573-1262
Launched : 2016
JSM Dental Surgery
ISSN : 2573-1548
Launched : 2016
Annals of Emergency Surgery
ISSN : 2573-1017
Launched : 2016
Annals of Mens Health and Wellness
ISSN : 2641-7707
Launched : 2017
Journal of Preventive Medicine and Health Care
ISSN : 2576-0084
Launched : 2018
Journal of Chronic Diseases and Management
ISSN : 2573-1300
Launched : 2016
Annals of Vaccines and Immunization
ISSN : 2378-9379
Launched : 2014
JSM Heart Surgery Cases and Images
ISSN : 2578-3157
Launched : 2016
Annals of Reproductive Medicine and Treatment
ISSN : 2573-1092
Launched : 2016
JSM Brain Science
ISSN : 2573-1289
Launched : 2016
JSM Biomarkers
ISSN : 2578-3815
Launched : 2014
JSM Biology
ISSN : 2475-9392
Launched : 2016
Archives of Stem Cell and Research
ISSN : 2578-3580
Launched : 2014
Annals of Clinical and Medical Microbiology
ISSN : 2578-3629
Launched : 2014
JSM Pediatric Surgery
ISSN : 2578-3149
Launched : 2017
Journal of Memory Disorder and Rehabilitation
ISSN : 2578-319X
Launched : 2016
JSM Tropical Medicine and Research
ISSN : 2578-3165
Launched : 2016
JSM Head and Face Medicine
ISSN : 2578-3793
Launched : 2016
JSM Cardiothoracic Surgery
ISSN : 2573-1297
Launched : 2016
JSM Bone and Joint Diseases
ISSN : 2578-3351
Launched : 2017
JSM Bioavailability and Bioequivalence
ISSN : 2641-7812
Launched : 2017
JSM Atherosclerosis
ISSN : 2573-1270
Launched : 2016
Journal of Genitourinary Disorders
ISSN : 2641-7790
Launched : 2017
Journal of Fractures and Sprains
ISSN : 2578-3831
Launched : 2016
Journal of Autism and Epilepsy
ISSN : 2641-7774
Launched : 2016
Annals of Marine Biology and Research
ISSN : 2573-105X
Launched : 2014
JSM Health Education & Primary Health Care
ISSN : 2578-3777
Launched : 2016
JSM Communication Disorders
ISSN : 2578-3807
Launched : 2016
Annals of Musculoskeletal Disorders
ISSN : 2578-3599
Launched : 2016
Annals of Virology and Research
ISSN : 2573-1122
Launched : 2014
JSM Renal Medicine
ISSN : 2573-1637
Launched : 2016
Journal of Muscle Health
ISSN : 2578-3823
Launched : 2016
JSM Genetics and Genomics
ISSN : 2334-1823
Launched : 2013
JSM Anxiety and Depression
ISSN : 2475-9139
Launched : 2016
Clinical Journal of Heart Diseases
ISSN : 2641-7766
Launched : 2016
Annals of Medicinal Chemistry and Research
ISSN : 2378-9336
Launched : 2014
JSM Pain and Management
ISSN : 2578-3378
Launched : 2016
JSM Women's Health
ISSN : 2578-3696
Launched : 2016
Clinical Research in HIV or AIDS
ISSN : 2374-0094
Launched : 2013
Journal of Endocrinology, Diabetes and Obesity
ISSN : 2333-6692
Launched : 2013
Journal of Substance Abuse and Alcoholism
ISSN : 2373-9363
Launched : 2013
JSM Neurosurgery and Spine
ISSN : 2373-9479
Launched : 2013
Journal of Liver and Clinical Research
ISSN : 2379-0830
Launched : 2014
Journal of Drug Design and Research
ISSN : 2379-089X
Launched : 2014
JSM Clinical Oncology and Research
ISSN : 2373-938X
Launched : 2013
JSM Bioinformatics, Genomics and Proteomics
ISSN : 2576-1102
Launched : 2014
JSM Chemistry
ISSN : 2334-1831
Launched : 2013
Journal of Trauma and Care
ISSN : 2573-1246
Launched : 2014
JSM Surgical Oncology and Research
ISSN : 2578-3688
Launched : 2016
Annals of Food Processing and Preservation
ISSN : 2573-1033
Launched : 2016
Journal of Radiology and Radiation Therapy
ISSN : 2333-7095
Launched : 2013
JSM Physical Medicine and Rehabilitation
ISSN : 2578-3572
Launched : 2016
Annals of Clinical Pathology
ISSN : 2373-9282
Launched : 2013
Annals of Cardiovascular Diseases
ISSN : 2641-7731
Launched : 2016
Journal of Behavior
ISSN : 2576-0076
Launched : 2016
Annals of Clinical and Experimental Metabolism
ISSN : 2572-2492
Launched : 2016
Clinical Research in Infectious Diseases
ISSN : 2379-0636
Launched : 2013
JSM Microbiology
ISSN : 2333-6455
Launched : 2013
Journal of Urology and Research
ISSN : 2379-951X
Launched : 2014
Journal of Family Medicine and Community Health
ISSN : 2379-0547
Launched : 2013
Annals of Pregnancy and Care
ISSN : 2578-336X
Launched : 2017
JSM Cell and Developmental Biology
ISSN : 2379-061X
Launched : 2013
Annals of Aquaculture and Research
ISSN : 2379-0881
Launched : 2014
Journal of Immunology and Clinical Research
ISSN : 2333-6714
Launched : 2013
Annals of Forensic Research and Analysis
ISSN : 2378-9476
Launched : 2014
JSM Biochemistry and Molecular Biology
ISSN : 2333-7109
Launched : 2013
Annals of Breast Cancer Research
ISSN : 2641-7685
Launched : 2016
Annals of Gerontology and Geriatric Research
ISSN : 2378-9409
Launched : 2014
Journal of Sleep Medicine and Disorders
ISSN : 2379-0822
Launched : 2014
JSM Burns and Trauma
ISSN : 2475-9406
Launched : 2016
Chemical Engineering and Process Techniques
ISSN : 2333-6633
Launched : 2013
Annals of Clinical Cytology and Pathology
ISSN : 2475-9430
Launched : 2014
JSM Allergy and Asthma
ISSN : 2573-1254
Launched : 2016
Journal of Neurological Disorders and Stroke
ISSN : 2334-2307
Launched : 2013
Annals of Sports Medicine and Research
ISSN : 2379-0571
Launched : 2014
JSM Sexual Medicine
ISSN : 2578-3718
Launched : 2016
Annals of Vascular Medicine and Research
ISSN : 2378-9344
Launched : 2014
JSM Biotechnology and Biomedical Engineering
ISSN : 2333-7117
Launched : 2013
Journal of Hematology and Transfusion
ISSN : 2333-6684
Launched : 2013
JSM Environmental Science and Ecology
ISSN : 2333-7141
Launched : 2013
Journal of Cardiology and Clinical Research
ISSN : 2333-6676
Launched : 2013
JSM Nanotechnology and Nanomedicine
ISSN : 2334-1815
Launched : 2013
Journal of Ear, Nose and Throat Disorders
ISSN : 2475-9473
Launched : 2016
JSM Ophthalmology
ISSN : 2333-6447
Launched : 2013
Journal of Pharmacology and Clinical Toxicology
ISSN : 2333-7079
Launched : 2013
Annals of Psychiatry and Mental Health
ISSN : 2374-0124
Launched : 2013
Medical Journal of Obstetrics and Gynecology
ISSN : 2333-6439
Launched : 2013
Annals of Pediatrics and Child Health
ISSN : 2373-9312
Launched : 2013
JSM Clinical Pharmaceutics
ISSN : 2379-9498
Launched : 2014
JSM Foot and Ankle
ISSN : 2475-9112
Launched : 2016
JSM Alzheimer's Disease and Related Dementia
ISSN : 2378-9565
Launched : 2014
Journal of Addiction Medicine and Therapy
ISSN : 2333-665X
Launched : 2013
Journal of Veterinary Medicine and Research
ISSN : 2378-931X
Launched : 2013
Annals of Public Health and Research
ISSN : 2378-9328
Launched : 2014
Annals of Orthopedics and Rheumatology
ISSN : 2373-9290
Launched : 2013
Journal of Clinical Nephrology and Research
ISSN : 2379-0652
Launched : 2014
Annals of Community Medicine and Practice
ISSN : 2475-9465
Launched : 2014
Annals of Biometrics and Biostatistics
ISSN : 2374-0116
Launched : 2013
JSM Clinical Case Reports
ISSN : 2373-9819
Launched : 2013
Journal of Cancer Biology and Research
ISSN : 2373-9436
Launched : 2013
Journal of Surgery and Transplantation Science
ISSN : 2379-0911
Launched : 2013
Journal of Dermatology and Clinical Research
ISSN : 2373-9371
Launched : 2013
JSM Gastroenterology and Hepatology
ISSN : 2373-9487
Launched : 2013
Annals of Nursing and Practice
ISSN : 2379-9501
Launched : 2014
JSM Dentistry
ISSN : 2333-7133
Launched : 2013
Author Information X