Loading

JSM Ophthalmology

Neuro-ophthalmologic IgG4- related disease: a case report

Case Report | Open Access | Volume 11 | Issue 1

  • 1. Department of Neuroradiology, Hospital Universitari Vall d´Hebron, Spain
+ Show More - Show Less
Corresponding Authors
Denil Tribovane, Department of Neuroradiology, Hospital Universitari Vall d´Hebron, 119, 08035 Barcelona, Spain, Tel: 351966797001
Abstract

Background: IgG4-related disease (IgG4-RD) is an immune-mediated, fibroinflammatory disease affecting multiple organs. Its prevalence is estimated at 4.6 per 100,000, but accurate estimation is challenging due to limited studies with varying diagnostic criteria. Histologically, IgG4-RD is characterized by IgG4-bearing plasmocyte infiltration, storiform fibrosis, and obliterative phlebitis. Ophthalmic manifestations are common, while neurologic involvement is rare, often due to hypertrophic pachymeningitis or hypophysitis.

Case Description: A 58-year-old man with controlled hypertension and recent cataract surgery presented blurry vision and headaches. Ophthalmic exam revealed left eye proptosis, limited gaze, scotoma, and hyporeactive pupil. Imaging showed intraorbital infiltrating lesions and thickened meninges. Serum analysis revealed elevated IgG4 levels. Biopsy confirmed IgG4-RD with elevated IgG4+ cells and IgG4/ IgG ratio. Treatment involved oral prednisone and rituximab, resulting in improved visual acuity and symptoms.

Conclusions: This case highlights several key aspects of IgG4-RD. Prompt diagnosis is vital as its symptoms overlap with other conditions like lymphoma. Histopathological examination remains crucial for definitive diagnosis. Imaging aids in recognition and differentiation, guiding appropriate treatment. Rituximab, alongside prednisone, should be considered early due to potential neuronal involvement. IgG4-RD’s diverse manifestations emphasize the need for comprehensive classification criteria. This case underscores the importance of understanding this disease’s presentation, diagnostic methods, and tailored treatment strategies to optimize patient outcomes.

Keywords

• Orbital disease

• IgG4

• Inflammation

• Hypertrophic pachymeningitis

• Case report

CITATION

Tribovane D, Montilva SS (2024) Neuro-ophthalmologic IgG4-related disease: a case report. JSM Ophthalmol 11(1): 1095

INTRODUCTION

IgG4-related disease (IgG4-RD) is a multiorgan, immunemediated, fibro-inflammatory disease of unknown etiology that has integrated a spectrum of conditions previously not recognized as related to each other or any systemic disease. It has an estimated prevalence of 4,6 per 100.000, however, the exact prevalence of IgG4-RD is difficult to estimate since there have been few published studies, and these studies used different criteria for diagnosis, tended to enroll small groups of patients with heterogeneous pathology, and had uncertain generalizability [1,2].

Histology shows a very characteristic triad of infiltration of IgG4-bearing plasmocytes, storiform fibrosis and obliterative phlebitis, which can be accompanied by high IgG4 levels in the serum [3]. However, much remains unknown about the behavior of IgG4 in vivo, the participation of this molecule in disease, and whether its role in IgG4-related disease is primary or secondary [4].

Ophthalmic manifestations of IgG4-RD are common, affecting approximately a quarter of the IgG4-RD patients, and involvement has been reported in nearly every orbital structure [5]. Neurologic manifestations of IgG4-RD are rare, with the most frequent being secondary to either hypertrophic pachymeningitis or hypophysitis [6].

CASE PRESENTATION

A 58-year-old man with a medical history of hypertension, controlled with candesartan and hydrochlorothiazide, and surgical history of left eye cataract surgery using retrobulbar anesthesia 1 month prior presented with complaints of blurry vision and headaches since the surgery. Ophthalmologic examination revealed left proptosis, chemosis and limitation of upwards and downwards eye gaze, without diplopia. A central scotoma and hyporeactive left pupil were also documented without clear relative afferent pupillary defect. Routine laboratory results were unremarkable. Urinalysis did not show proteinuria or hematuria. Computer tomography (CT) (Figure 1), and magnetic resonance imaging (MRI) (Figure 2), were performed that revealed a left intraorbital infiltrating soft tissue lesion with involvement of the superior and lateral rectus muscles and extension into the preseptal space, involving and enlarging the lacrimal gland.

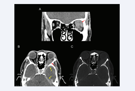
 CT scan demonstrating a soft tissue density mass in the left orbit infiltrating the post-septal intra and extra-conal spaces in the left superior  quadrant (A and B; red arrow) with antero-lateral extension to the left lacrimal gland and posterior extension to the cavernous sinus. Intracranially,  bilateral left predominant temporal and tentorial pachymeningeal can also be noted (B; yellow arrow). No bony destruction was documented (C).

Figure 1: CT scan demonstrating a soft tissue density mass in the left orbit infiltrating the post-septal intra and extra-conal spaces in the left superior quadrant (A and B; red arrow) with antero-lateral extension to the left lacrimal gland and posterior extension to the cavernous sinus. Intracranially, bilateral left predominant temporal and tentorial pachymeningeal can also be noted (B; yellow arrow). No bony destruction was documented (C).

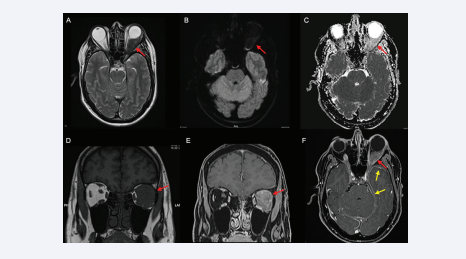
MRI depicting a left orbital retrobulbar mass hypointense on T2-weighted imaging due to its fibrous nature (A), without restriction on  diffusion-weighted imaging (B and C) and spontaneously hypointense on T1-weighted imaging (D) with strong homogeneous enhancement depicted  on the fat saturated post-contrast T1-weighted images (E and F) (red arrow). The lesion involved the left lateral and superior rectus muscles, with  anterolateral extension to the ipsilateral lacrimal gland and posterior extension to the cavernous sinus. A smaller soft tissue enhancing lesion was  also documented in the right orbital apex with extension to the right cavernous sinus, with the same signal characteristics and, intracranially, leftpredominant bilateral temporal and tentorial pachymeningeal thickening was better depicted (F; yellow arrow)

Figure 2: MRI depicting a left orbital retrobulbar mass hypointense on T2-weighted imaging due to its fibrous nature (A), without restriction on diffusion-weighted imaging (B and C) and spontaneously hypointense on T1-weighted imaging (D) with strong homogeneous enhancement depicted on the fat saturated post-contrast T1-weighted images (E and F) (red arrow). The lesion involved the left lateral and superior rectus muscles, with anterolateral extension to the ipsilateral lacrimal gland and posterior extension to the cavernous sinus. A smaller soft tissue enhancing lesion was also documented in the right orbital apex with extension to the right cavernous sinus, with the same signal characteristics and, intracranially, leftpredominant bilateral temporal and tentorial pachymeningeal thickening was better depicted (F; yellow arrow)

The lesion displaced the left optic nerve medially and the globe inferiorly. A right infiltrating orbital apex lesion with similar imaging characteristics was also documented. Intracranially, temporal and tentorial pachymeningeal thickening was also noted.

An orbital biopsy was performed which excluded malignant disease. Histopathological analysis revealed elevated counts of 64 IgG4+ cells/HPF and a ratio of IgG4/IgG of 44,4%. Fibrous changes with a slight whorled pattern was also observed in the tissue specimen (Figure 3). Serum IgG4 analysis was then obtained and found to be elevated at 137 mg/dL.

Histopathological analysis with hematoxylin and eosin stain revealed a rich lymphoplasmocytic infiltrate in a background of fibrosis with  a slightly whorled pattern (A) with signs of periphlebitis and obliteration of the vascular lumen (B). Imunohistochemistry depicted a rich infiltrate  of IgG4+ cells (64 IgG4+ cells/HPF and a ratio of IgG4/IgG of 44,4%) (C).

Figure 3: Histopathological analysis with hematoxylin and eosin stain revealed a rich lymphoplasmocytic infiltrate in a background of fibrosis with a slightly whorled pattern (A) with signs of periphlebitis and obliteration of the vascular lumen (B). Imunohistochemistry depicted a rich infiltrate of IgG4+ cells (64 IgG4+ cells/HPF and a ratio of IgG4/IgG of 44,4%) (C).

The diagnosis of IgG4-related disease (IgG4-RD) was proposed and the patient started an oral prednisone therapy regimen (induction at 60 mg per day, followed by a maintenance period of 30 mg per day during 5 months and slow taper afterward). Given the concern for subclinical neuronal injury, the patient initiated rituximab right from the start with two doses of 1g intravenously separated by 2 weeks. Follow-up clinical examination after 3 months showed improvement in visual acuity, proptosis and chemosis.

DISCUSSION

The pathophysiology of IgG4-RD remains incompletely understood. It is believed to involve autoimmune mechanisms driven by dysregulated immune responses. The precise triggers for immune dysregulation and its ability to induce tissue fibrosis are unknown, but both genetic and environmental factors may play a role [4,7].

IgG4-RD usually presents in a subacute fashion. In many cases, symptoms and evidence of organ dysfunction may be present for months or years before the diagnosis is established [6]. There can be periods of stability or less frequently, spontaneous improvement in one organ before re-emergence in another [8].

The most typical presentation of IgG4-related orbital disease (IgG4-ROD) involves subacute progressive, painless unilateral or bilateral periorbital or lacrimal gland swelling. If left untreated, progression to proptosis may ensue, which results from infiltration of the inflammation into the extraocular muscles, orbital fat, or connective tissue [8]. Although there is a predilection for the muscle and tendon of the lateral rectus muscle (contrasting with involvement of the muscle belly and preferential involvement of the inferior rectus in thyroid eye disease), any of the extraocular muscles can be affected with the potential for muscle enlargement and restriction of motility resulting in diplopia [9].

An increased risk of lymphoproliferative disorders, particularly mucosa-associated lymphoid tissue (MALT) lymphoma, has been suggested in IgG4-RD and this entity has to be excluded as the clinical course and symptoms of the disease can be similar [10].

On MRI, the orbital masses in IgG4-ROD frequently demonstrate low signal on T1 and T2-weighted images due to the presence of fibrosis, with avid enhancement in T1 post-gadolinium sequences [11]. Infra-orbital nerve enlargement has been shown to correlate well with IgG4-ROD [12]. Although some patients with trigeminal nerve involvement report facial paresthesia, many are asymptomatic probably because involvement is limited to the epineurium [13]. Our case did not have imaging findings suggestive of infraorbital nerve involvement.

Patients with IgG4-RD-associated hypertrophic pachymeningitis are more frequently men, with a peak incidence in the sixth and seventh decades of life [14]. Meningeal involvement may be contiguous with disease in the orbit or pituitary gland and these patients may show elevations of cerebrospinal fluid IgG4 level, indicating intrathecal production of IgG4. On MRI, the dura may show smooth thickening with homogeneous diffuse linear enhancement (as in the case presented), or focal nodular thickening, mimicking a meningioma, and may result in compression of surrounding structures, especially cranial nerves [15].

Patients with IgG4-related infundibulo-hypophysitis present with visual symptoms from mass effect or endocrine dysfunction in the setting of a pituitary mass or a thickened pituitary stalk [16]. Radiologic studies demonstrate an enlarged pituitary gland with thickened stalk and MRI can show an absence of the regular precontrast T1 hyperintensity of the posterior pituitary gland, which can be associated with central diabetes insipidus [17].

Clearly defined diagnostic criteria remain lacking, with consensus guidelines recommending that clinical, radiographic, serological and pathological evidence be taken together, as no finding is individually diagnostic.

The American College of Rheumatology/European Alliance of Associations for Rheumatology (ACR/EULAR) classification criteria divides IgG4-RD into four different groups according to different phenotypes: pancreato-hepatobiliary disease (31%) retroperitoneal fibrosis with or without aortitis (24%) head and neck-limited disease (24%) and classic Mikulicz’s syndrome with systemic involvement (22%) [18]. According to these criteria, our patient falls under the head and neck-limited disease group because of the orbital disease as meningeal involvement is not yet included as a part of this classification.

The revised comprehensive diagnostic criteria for IgG4-RD proposed by the Japanese IgG4 team defines three items for the diagnosis of IgG4-RD: diffuse or localized swelling or masses in one or more organs; Serum IgG4 levels greater than 135 mg/ dl.; and a histopathologic examination of the affected organs revealing dense lymphoplasmacytic infiltration, storiform fibrosis, and/or obliterative phlebitis along with elevated IgG4- positive plasma cells (>10-50 per high-power field depending on the organ or ratio of IgG4+/IgG+ of >40%) [19]. Our case fulfills all three criteria corresponding to a definite diagnosis of IgG4- RD.

The first line of treatment is oral prednisone. However, since there is a risk of subclinical neuronal injury, current recommendations mandate initiation of rituximab from the beginning (2 doses of 1 g intravenously, separated by 2 weeks and repeated at 6-month intervals) with follow-up neuroimaging at 3 months [20,21].

In conclusion, imaging plays a key role in avoiding treatment delays as prompt recognition of IgG4-RD is important not only because it is generally highly treatable, but also because its treatment frequently differs substantially from that of other conditions that present in a similar fashion, such as lymphoma, and performing a directed biopsy is fundamental as histopathological examination remains the main way to definitively diagnose IgG4- RD.

HIGHLIGHT BOX

Key findings

  • Our case describes a patient with IgG4-related disease (IgG4-RD) involving ophthalmic and neurologic manifestations. The patient exhibited infiltrating soft tissue lesions in both orbits and pachymeningeal thickening. Elevated IgG4 levels were observed in orbital tissue and serum.
  • Diagnostic criteria based on clinical, imaging, and histopathological evidence were fulfilled.

What is known and what is new?

  • IgG4-RD is characterized by immune-mediated inflammation affecting various organs. Ophthalmic and neurologic involvement, while rare, can occur. Diagnosis necessitates a comprehensive multidisciplinary approach.
  • This case report emphasizes the value of thorough imaging in diagnosing and distinguishing IgG4-RD, especially with complex symptoms.

What is the implication, and what should change now?

  • Clinicians should consider IgG4-RD in cases displaying unconventional ophthalmic and neurologic symptoms. Research efforts should focus on elucidating IgG4-RD’s underlying mechanisms and refining diagnostic criteria.

Footnote

Reporting Checklist: The authors have completed the CARE reporting checklist.

Conflicts of Interest: All authors have completed the ICMJE uniform disclosure form. The authors have no conflicts of interest to declare.

Ethical Statement: The authors are accountable for all aspects of the work in ensuring that questions related to the accuracy or integrity of any part of the work are appropriately investigated and resolved. All procedures performed in this study were in accordance with the ethical standards of the institutional and/or national research committee(s) and with the Helsinki Declaration (as revised in 2013).

Informed consent: Written informed consent for publication of this case report and accompanying images was obtained from the patient.

REFERENCES
  1. Saitakis G, Chwalisz BK. The neurology of IGG4-related disease. J Neurol Sci. 2021; 424: 117420.
  2. Aryasit O, Tiraset N, Preechawai P, Kayasut K, Sanghan N, Sittivarakul W. IgG4-related disease in patients with idiopathic orbital inflammation. BMC Ophthalmol. 2021; 21: 356.
  3. Mulay K, Aggarwal E, Honavar SG. Clinicopathologic features of orbital immunoglobulin G4-related disease (IgG4-RD): a case series and literature review. Graefes Arch Clin Exp Ophthalmol. 2015; 253: 803-809.
  4. Stone JH, Zen Y, Deshpande V. IgG4-related disease. N Engl J Med. 2012; 366: 539-551.
  5. Kashii S. IgG4-related disease: a neuro-ophthalmological perspective. J Neuroophthalmol. 2014; 34: 400-407.
  6. Baptista B, Casian A, Gunawardena H, D’Cruz D, Rice CM. Neurological Manifestations of IgG4-Related Disease. Curr Treat Options Neurol. 2017; 19: 14.
  7. Maehara T, Moriyama M, Nakamura S. Pathogenesis of IgG4-related disease: a critical review. Odontology. 2019; 107: 127-132.
  8. Chwalisz BK, Stone JH. Neuro-ophthalmic complications of IgG4- related disease. Curr Opin Ophthalmol. 2018; 29: 485-494.
  9. Pitz S. IgG4-assoziierte Erkrankung [IgG4-related disease]. Ophthalmologe. 2021; 118: 787-793.
  10. Chen LYC, Mattman A, Seidman MA, Carruthers MN. IgG4-related disease: what a hematologist needs to know. Haematologica. 2019; 104: 444-455.
  11. Kurowecki D, Patlas MN, Haider EA, Alabousi A. Cross-sectional pictorial review of IgG4-related disease. Br J Radiol. 2019; 92: 20190448.
  12. Ohshima K, Sogabe Y, Sato Y. The usefulness of infraorbital nerve enlargement on MRI imaging in clinical diagnosis of IgG4-related orbital disease. Jpn J Ophthalmol. 2012; 56: 380-382.
  13. Sogabe Y, Miyatani K, Goto R, Ishii G, Ohshima K, Sato Y. Pathological findings of infraorbital nerve enlargement in IgG4-related ophthalmic disease. Jpn J Ophthalmol. 2012; 56: 511-514.
  14. Lu LX, Della-Torre E, Stone JH, Clark SW. IgG4-related hypertrophic pachymeningitis: clinical features, diagnostic criteria, and treatment. JAMA Neurol. 2014; 71: 785-793.
  15. Sapkota B, Rampure R, Gokden M, Kanuru S. IgG4-Related Disease Presenting as Hypertrophic Pachymeningitis. Cureus. 2022; 14: e21850.
  16. Leporati P, Landek-Salgado MA, Lupi I, Chiovato L, Caturegli P. IgG4-related hypophysitis: a new addition to the hypophysitis spectrum. J Clin Endocrinol Metab. 2011; 96: 1971-1980.
  17. Decker L, Crawford AM, Lorenzo G, Stippler M, Konstantinov KN, SantaCruz K. IgG4-Related Hypophysitis: Case Report and Literature Review. Cureus. 2016; 8: e907.
  18. Wallace ZS, Zhang Y, Perugino CA, Naden R, Choi HK, Stone JH; ACR/EULAR IgG4-RD Classification Criteria Committee. Clinical phenotypes of IgG4-related disease: an analysis of two international cross-sectional cohorts. Ann Rheum Dis. 2019; 78: 406-412.
  19. Umehara H, Okazaki K, Kawa S, Takahashi H, Goto H, Matsui S, et al. The 2020 revised comprehensive diagnostic (RCD) criteria for IgG4- RD. Mod Rheumatol. 2021; 31: 529-533.
  20. AbdelRazek MA, Venna N, Stone JH. IgG4-related disease of the central and peripheral nervous systems. Lancet Neurol. 2018; 17: 183-192.
  21. Maritati F, Peyronel F, Vaglio A. IgG4-related disease: a clinical perspective. Rheumatology (Oxford). 2020; 59: iii123-iii131.

Tribovane D, Montilva SS (2024) Neuro-ophthalmologic IgG4-related disease: a case report. JSM Ophthalmol 11(1): 1095.

Received : 10 Jun 2024
Accepted : 03 Jul 2024
Published : 06 Jul 2024
Journals
Annals of Otolaryngology and Rhinology
ISSN : 2379-948X
Launched : 2014
JSM Schizophrenia
Launched : 2016
Journal of Nausea
Launched : 2020
JSM Internal Medicine
Launched : 2016
JSM Hepatitis
Launched : 2016
JSM Oro Facial Surgeries
ISSN : 2578-3211
Launched : 2016
Journal of Human Nutrition and Food Science
ISSN : 2333-6706
Launched : 2013
JSM Regenerative Medicine and Bioengineering
ISSN : 2379-0490
Launched : 2013
JSM Spine
ISSN : 2578-3181
Launched : 2016
Archives of Palliative Care
ISSN : 2573-1165
Launched : 2016
JSM Nutritional Disorders
ISSN : 2578-3203
Launched : 2017
Annals of Neurodegenerative Disorders
ISSN : 2476-2032
Launched : 2016
Journal of Fever
ISSN : 2641-7782
Launched : 2017
JSM Bone Marrow Research
ISSN : 2578-3351
Launched : 2016
JSM Mathematics and Statistics
ISSN : 2578-3173
Launched : 2014
Journal of Autoimmunity and Research
ISSN : 2573-1173
Launched : 2014
JSM Arthritis
ISSN : 2475-9155
Launched : 2016
JSM Head and Neck Cancer-Cases and Reviews
ISSN : 2573-1610
Launched : 2016
JSM General Surgery Cases and Images
ISSN : 2573-1564
Launched : 2016
JSM Anatomy and Physiology
ISSN : 2573-1262
Launched : 2016
JSM Dental Surgery
ISSN : 2573-1548
Launched : 2016
Annals of Emergency Surgery
ISSN : 2573-1017
Launched : 2016
Annals of Mens Health and Wellness
ISSN : 2641-7707
Launched : 2017
Journal of Preventive Medicine and Health Care
ISSN : 2576-0084
Launched : 2018
Journal of Chronic Diseases and Management
ISSN : 2573-1300
Launched : 2016
Annals of Vaccines and Immunization
ISSN : 2378-9379
Launched : 2014
JSM Heart Surgery Cases and Images
ISSN : 2578-3157
Launched : 2016
Annals of Reproductive Medicine and Treatment
ISSN : 2573-1092
Launched : 2016
JSM Brain Science
ISSN : 2573-1289
Launched : 2016
JSM Biomarkers
ISSN : 2578-3815
Launched : 2014
JSM Biology
ISSN : 2475-9392
Launched : 2016
Archives of Stem Cell and Research
ISSN : 2578-3580
Launched : 2014
Annals of Clinical and Medical Microbiology
ISSN : 2578-3629
Launched : 2014
JSM Pediatric Surgery
ISSN : 2578-3149
Launched : 2017
Journal of Memory Disorder and Rehabilitation
ISSN : 2578-319X
Launched : 2016
JSM Tropical Medicine and Research
ISSN : 2578-3165
Launched : 2016
JSM Head and Face Medicine
ISSN : 2578-3793
Launched : 2016
JSM Cardiothoracic Surgery
ISSN : 2573-1297
Launched : 2016
JSM Bone and Joint Diseases
ISSN : 2578-3351
Launched : 2017
JSM Bioavailability and Bioequivalence
ISSN : 2641-7812
Launched : 2017
JSM Atherosclerosis
ISSN : 2573-1270
Launched : 2016
Journal of Genitourinary Disorders
ISSN : 2641-7790
Launched : 2017
Journal of Fractures and Sprains
ISSN : 2578-3831
Launched : 2016
Journal of Autism and Epilepsy
ISSN : 2641-7774
Launched : 2016
Annals of Marine Biology and Research
ISSN : 2573-105X
Launched : 2014
JSM Health Education & Primary Health Care
ISSN : 2578-3777
Launched : 2016
JSM Communication Disorders
ISSN : 2578-3807
Launched : 2016
Annals of Musculoskeletal Disorders
ISSN : 2578-3599
Launched : 2016
Annals of Virology and Research
ISSN : 2573-1122
Launched : 2014
JSM Renal Medicine
ISSN : 2573-1637
Launched : 2016
Journal of Muscle Health
ISSN : 2578-3823
Launched : 2016
JSM Genetics and Genomics
ISSN : 2334-1823
Launched : 2013
JSM Anxiety and Depression
ISSN : 2475-9139
Launched : 2016
Clinical Journal of Heart Diseases
ISSN : 2641-7766
Launched : 2016
Annals of Medicinal Chemistry and Research
ISSN : 2378-9336
Launched : 2014
JSM Pain and Management
ISSN : 2578-3378
Launched : 2016
JSM Women's Health
ISSN : 2578-3696
Launched : 2016
Clinical Research in HIV or AIDS
ISSN : 2374-0094
Launched : 2013
Journal of Endocrinology, Diabetes and Obesity
ISSN : 2333-6692
Launched : 2013
Journal of Substance Abuse and Alcoholism
ISSN : 2373-9363
Launched : 2013
JSM Neurosurgery and Spine
ISSN : 2373-9479
Launched : 2013
Journal of Liver and Clinical Research
ISSN : 2379-0830
Launched : 2014
Journal of Drug Design and Research
ISSN : 2379-089X
Launched : 2014
JSM Clinical Oncology and Research
ISSN : 2373-938X
Launched : 2013
JSM Bioinformatics, Genomics and Proteomics
ISSN : 2576-1102
Launched : 2014
JSM Chemistry
ISSN : 2334-1831
Launched : 2013
Journal of Trauma and Care
ISSN : 2573-1246
Launched : 2014
JSM Surgical Oncology and Research
ISSN : 2578-3688
Launched : 2016
Annals of Food Processing and Preservation
ISSN : 2573-1033
Launched : 2016
Journal of Radiology and Radiation Therapy
ISSN : 2333-7095
Launched : 2013
JSM Physical Medicine and Rehabilitation
ISSN : 2578-3572
Launched : 2016
Annals of Clinical Pathology
ISSN : 2373-9282
Launched : 2013
Annals of Cardiovascular Diseases
ISSN : 2641-7731
Launched : 2016
Journal of Behavior
ISSN : 2576-0076
Launched : 2016
Annals of Clinical and Experimental Metabolism
ISSN : 2572-2492
Launched : 2016
Clinical Research in Infectious Diseases
ISSN : 2379-0636
Launched : 2013
JSM Microbiology
ISSN : 2333-6455
Launched : 2013
Journal of Urology and Research
ISSN : 2379-951X
Launched : 2014
Journal of Family Medicine and Community Health
ISSN : 2379-0547
Launched : 2013
Annals of Pregnancy and Care
ISSN : 2578-336X
Launched : 2017
JSM Cell and Developmental Biology
ISSN : 2379-061X
Launched : 2013
Annals of Aquaculture and Research
ISSN : 2379-0881
Launched : 2014
Clinical Research in Pulmonology
ISSN : 2333-6625
Launched : 2013
Journal of Immunology and Clinical Research
ISSN : 2333-6714
Launched : 2013
Annals of Forensic Research and Analysis
ISSN : 2378-9476
Launched : 2014
JSM Biochemistry and Molecular Biology
ISSN : 2333-7109
Launched : 2013
Annals of Breast Cancer Research
ISSN : 2641-7685
Launched : 2016
Annals of Gerontology and Geriatric Research
ISSN : 2378-9409
Launched : 2014
Journal of Sleep Medicine and Disorders
ISSN : 2379-0822
Launched : 2014
JSM Burns and Trauma
ISSN : 2475-9406
Launched : 2016
Chemical Engineering and Process Techniques
ISSN : 2333-6633
Launched : 2013
Annals of Clinical Cytology and Pathology
ISSN : 2475-9430
Launched : 2014
JSM Allergy and Asthma
ISSN : 2573-1254
Launched : 2016
Journal of Neurological Disorders and Stroke
ISSN : 2334-2307
Launched : 2013
Annals of Sports Medicine and Research
ISSN : 2379-0571
Launched : 2014
JSM Sexual Medicine
ISSN : 2578-3718
Launched : 2016
Annals of Vascular Medicine and Research
ISSN : 2378-9344
Launched : 2014
JSM Biotechnology and Biomedical Engineering
ISSN : 2333-7117
Launched : 2013
Journal of Hematology and Transfusion
ISSN : 2333-6684
Launched : 2013
JSM Environmental Science and Ecology
ISSN : 2333-7141
Launched : 2013
Journal of Cardiology and Clinical Research
ISSN : 2333-6676
Launched : 2013
JSM Nanotechnology and Nanomedicine
ISSN : 2334-1815
Launched : 2013
Journal of Ear, Nose and Throat Disorders
ISSN : 2475-9473
Launched : 2016
Journal of Pharmacology and Clinical Toxicology
ISSN : 2333-7079
Launched : 2013
Annals of Psychiatry and Mental Health
ISSN : 2374-0124
Launched : 2013
Medical Journal of Obstetrics and Gynecology
ISSN : 2333-6439
Launched : 2013
Annals of Pediatrics and Child Health
ISSN : 2373-9312
Launched : 2013
JSM Clinical Pharmaceutics
ISSN : 2379-9498
Launched : 2014
JSM Foot and Ankle
ISSN : 2475-9112
Launched : 2016
JSM Alzheimer's Disease and Related Dementia
ISSN : 2378-9565
Launched : 2014
Journal of Addiction Medicine and Therapy
ISSN : 2333-665X
Launched : 2013
Journal of Veterinary Medicine and Research
ISSN : 2378-931X
Launched : 2013
Annals of Public Health and Research
ISSN : 2378-9328
Launched : 2014
Annals of Orthopedics and Rheumatology
ISSN : 2373-9290
Launched : 2013
Journal of Clinical Nephrology and Research
ISSN : 2379-0652
Launched : 2014
Annals of Community Medicine and Practice
ISSN : 2475-9465
Launched : 2014
Annals of Biometrics and Biostatistics
ISSN : 2374-0116
Launched : 2013
JSM Clinical Case Reports
ISSN : 2373-9819
Launched : 2013
Journal of Cancer Biology and Research
ISSN : 2373-9436
Launched : 2013
Journal of Surgery and Transplantation Science
ISSN : 2379-0911
Launched : 2013
Journal of Dermatology and Clinical Research
ISSN : 2373-9371
Launched : 2013
JSM Gastroenterology and Hepatology
ISSN : 2373-9487
Launched : 2013
Annals of Nursing and Practice
ISSN : 2379-9501
Launched : 2014
JSM Dentistry
ISSN : 2333-7133
Launched : 2013
Author Information X