Loading

Journal of Collaborative Healthcare and Translational Medicine

Cross-Sectional Imaging Spectrum of von Hippel-Lindau Disease

Review Article | Open Access | Volume 2 | Issue 1

  • 1. Department of Radiology, University of Texas Health Science Center, USA
+ Show More - Show Less
Corresponding Authors
Venkata S Katabathina, Radiology Department, University of Texas Health Science Center at San Antonio, 7703 Floyd Curl Drive, San Antonio, TX 78229, USA, Tel: 210-567-6470; Fax: 210-567-3294;
Abstract

von Hippel-Lindau (VHL) disease is an autosomal dominant disorder that is associated with germline mutations of VHL tumor suppressor gene, which is located at short arm of chromosome 3. This condition predisposes to the development of various benign and malignant tumors involving multiple organs; the common neoplasms include central nervous system hemangioblastomas (mostly cerebellar and spinal cord), retinal angiomas, endolymphatic sac tumors, renal cysts and tumors, pheochromocytomas, epididymal cystadenomas, and pancreatic cysts and tumors. Among them, hemangioblastomas and renal cell carcinoma are the most common cause of mortality. Cross-sectional imaging techniques such as ultrasound, computed tomography, and magnetic resonance imaging play a pivotal role in the initial diagnosis, assessment of treatment response, follow-up, and long-term surveillance. Additionally, imaging studies are important in screening of asymptomatic at risk individuals. Many of the lesions associated with VHL disease demonstrate characteristic imaging findings that help in timely diagnosis and guide genetic testing. Knowledge regarding crosssectional imaging features of the wide spectrum of benign and malignant neoplasms in VHL patients should afford appropriate patient management.

Keywords

•    von Hippel-Lindau Disease
•    Tumors
•    Cross-sectional imaging
•    Hemangioblastomas
•    Renal cell carcinoma

Citation

Katabathina VS, Vinu-Nair S (2014) Cross-Sectional Imaging Spectrum of von Hippel-Lindau Disease. J Transl Med Epidemiol 2(1): 1021.

INTRODUCTION

von Hippel-Lindau (VHL) disease is a rare, autosomal dominant disorder, characterized by development of both benign and malignant neoplasms affecting multiple organs. VHL disease has an incidence of one in 36,000 live births and demonstrates over 90% penetrance by the age of 65 years [1]. This condition results from the inactivation of VHL gene, which is located at the short arm of chromosome 3. VHL gene is a tumor suppressor gene, so phenotypic manifestations are seen when both copies of genes are lost either by mutations or by loss of heterozygosity [2,3]. The VHL protein normally plays an important role in the oxygen-sensing pathway. During hypoxia, series of events due to the presence of an inactive VHL gene results in upregulation of multiple growth factors including vascular endothelial growth factors, which result in cell proliferation and unregulated cell growth which result in development of tumors in multiple organs [4]. The commonly involved organs are the pancreas (35-77%), central nervous system (44-72%), kidneys (25-60%), eyes (25-60%), adrenal gland (10-20%), epididymis (25-60%), and inner ear (10-25%) (Table 1) [1]. Among all, the most common tumors include retinal angiomas, cerebellar and spinal cord hemangioblastomas, endolymphatic sac tumors, renal cysts, renal cell carcinomas, pheochromocytomas, epididymal cysts and cystadenomas, simple cysts, serous cystadenomas, and neuroendocrine tumors of the pancreas [5]. Patients with VHL can be divided into two types based on the likelihood of pheochromocytoma within the family: Type 1 disease with low risk of pheochromocytoma and type 2 disease with high risk of pheochromocytoma [6]. Type 1 disease is more common than type 2 and develops due to truncating mutations of VHL gene. Type 2 disease typically develops secondary to VHL missense mutations and can be further subdivided into type 2A and type 2B based on the absence or presence of RCC respectively. VHL type 2C disease is rare and characterized by the development of pheochromocytomas only [6]. The diagnostic criteria for VHL disease include: (a) More than one central nervous system (CNS) hemangioblastomas, (b) One CNS hemangioblastoma and one visceral manifestation, and (c) Any manifestation along with a known family history [6].

In this article, we will present cross-sectional imaging findings of the broad spectrum of benign and malignant neoplasms in VHL patients and emphasize the role of radiologists in the overall patient management.

ROLE OF CROSS-SECTIONAL IMAGING TECHNIQUES

Different imaging modalities such as ultrasonography (US), multidetector - row computed tomography (MDCT), and magnetic resonance imaging (MRI) help to identify and characterize the different manifestations associated with VHL disease. It is very important to screen individuals who carry the VHL gene and are as yet asymptomatic, as the lesions in VHL disease are treatable if identified early. US is being used in the screening and surveillance of renal cysts, renal cell carcinoma, and epididymal lesions. Additionally, pheochromocytomas may be incidentally identified on US while examining the kidneys. MDCT is the modality of choice in the identification and diagnosis of renal, adrenal, and pancreatic manifestations of VHL disease. Intravenous contrast is routinely used that helps to detect enhancing septations and solid components within the renal cysts, which suggest the possibility of malignancy. In addition, high resolution CT of the temporal bone is extremely helpful in diagnosis of endolymphatic sac tumors. MRI is mainstay of imaging technique for CNS lesions in VHL patients. Both unenhanced and gadolinium-enhanced images of the spine and brain are to be obtained to detect retinal, spinal, cerebral, and cerebellar lesions. MRI is also useful in the evaluation of renal, pancreatic, and adrenal lesions.

Table 1: Common and uncommon manifestations of von Hippel Lindau Disease.

Body Systems involved Lesions encountered
Central Nervous System Cerebellar hemangioblastomas
Spinal cord hemangioblastomas
Retinal hemangioblastoma
Endolymphatic sac tumors 
Genitourinary System Renal simple and complex cysts 
Renal cell carcinoma 
Pheochromocytoma
Papillary cystadenomas of epididymis
Cystadenomas of uterine broad ligament
Gastrointestinal System Pancreatic cysts 
Serous cystadenoma of the pancreas 
Neuroendocrine tumor of the pancreas
Other Organs Hepatic cysts and hemangiomas
Splenic hemangiomas
Urinary hemangioblastomas
Pulmonary hemangioblastomas

 

CENTRAL NERVOUS SYSTEM LESIONS

Hemangioblastomas of the brain and spine

Hemangioblastomas involving spine and brain are one of the most common manifestations of VHL disease, affecting 60-80 % of all patients; up to 90 % of these go on to develop multiple tumors [7]. VHL patients may develop cerebellar hemangioblastomas in 44-72% and spinal cord hemangioblastomas in 13-50% cases; these tumors usually develop at a younger age and have worse prognosis [1]. Clinical features depend on the location of tumor; while headache and gait ataxia are common presenting symptoms in cerebellar lesions, hypesthesia and weakness are seen in spinal lesions. Tumors develop from multipotent embryonic cell called as ‘hemangioblast’, which is capable of blood and endothelial cell differentiation [8,9]. At histology, tumors show large polygonal stromal cells enmeshed in a well-developed, fine capillary network.

On CT/MRI, hemangioblastomas can appear as purely solid masses, completely cystic lesions, cystic lesions with mural nodule, and solid mass with internal cysts [10]. On unenhanced CT, cystic hemangioblastomas appear as well defined, thin-walled hypodense lesions with a isodense nodule that enhances intensely following contrast administration [10]. Solid hemangioblastomas appear as either an isodense or hyperdense mass on unenhanced CT and show homogenous contrast enhancement [10]. On MRI, the tumors appear as low to medium signal intense lesions on T1- weighted images and hyperintense lesions on T2- weighted images; on gadolinium administration, marked enhancement of the solid portions is identified due to rich capillary network (Figure 1) [11].

Cerebellar hemangioblastoma in a 42-year-old man with known von Hippel-Lindau disease. Axial T1-weighted (A), T2-weighted (B) and T1-weighted gadolinium-enhanced images (C) depict a wellcircumscribed cystic lesion in the right cerebellar hemisphere (arrow) with an intensely enhancing solid component in the periphery (arrowhead) giving a ‘cyst with mural nodule’ appearance consistent with hemangioblastoma.

Figure 1: Cerebellar hemangioblastoma in a 42-year-old man with known von Hippel-Lindau disease. Axial T1-weighted (A), T2-weighted (B) and T1-weighted gadolinium-enhanced images (C) depict a wellcircumscribed cystic lesion in the right cerebellar hemisphere (arrow) with an intensely enhancing solid component in the periphery (arrowhead) giving a ‘cyst with mural nodule’ appearance consistent with hemangioblastoma.

Serpentine signal voids in the periphery of the solid components and ‘cyst with mural nodule’ may also be detected on MRI. Although spinal cord hemangioblastomas demonstrate similar MRI and CT appearance, smaller lesions may be isointense to spinal cord and require contrast-enhanced T1- weighted images for adequate visualization (Figure 2) [12].

Spinal hemangioblastoma in an asymptomatic 33-year-old man with known von Hippel-Lindau disease identified on screening MRI. Sagittal T1-weighted (A), T2-weighted (B) and T1-weighted gadolinium - enhanced MR images demonstrate a focal lesion in the spinal cord which is hypointense on T1- and hyperintense on T2- weighted images (arrows) with an enhancing mural nodule on post contrast images (arrowhead) consistent with hemangioblastoma.

Figure 2: Spinal hemangioblastoma in an asymptomatic 33-year-old man with known von Hippel-Lindau disease identified on screening MRI. Sagittal T1-weighted (A), T2-weighted (B) and T1-weighted gadolinium - enhanced MR images demonstrate a focal lesion in the spinal cord which is hypointense on T1- and hyperintense on T2- weighted images (arrows) with an enhancing mural nodule on post contrast images (arrowhead) consistent with hemangioblastoma.

There are no characteristic imaging findings specific to hemangioblastomas in VHL patients and multiple lesions are almost diagnostic of VHL syndrome.

Complete surgical resection is the treatment of choice; preoperative arterial embolization can help to decrease blood loss during surgery [13]. Given the presence of multiple tumors and variable growth pattern, treatment is typically deferred until the development of symptoms. Smaller tumors (less than 3 cm in size) without mass effect may be treated with stereotactic radiotherapy (gamma knife therapy) [7,13]. VHL-associated hemangioblastomas demonstrate saltatory growth pattern with periods of rapid growth, followed by periods of quiescence. Tumor size, growth, and the presence of peritumoral cysts are associated with high risk of symptom development [14]. In asymptomatic gene carriers, annual screening MRI of the brain and spine is to be performed starting at age 11 years [7].

Retinal angiomas

Also known as hemangioblastomas, retinal angiomas are the first and most frequent manifestations of VHL disease and can develop in up to 60 % patients; they are bilateral and multifocal with a mean age of presentation around 25 years, although 5 % cases may present before the age of 10 years [7,8]. Tumors can develop in both at the macula and in periphery of the retina. Smaller tumors are asymptomatic and visual symptoms including partial or complete vision loss may occur as tumors grow and cause retinal detachment. Retinal angiomas are typically diagnosed by fundoscopic examination and are occult on imaging studies such as MRI unless hemorrhage and sub-retinal exudate is present [15]. Radiological diagnosis is possible only in late stages of the disease, thus ophthalmoscopic diagnosis, which consists of direct and indirect ophthalmoscopy, with fluorescein angiography is a better diagnostic tool [8].

On MRI, retinal angiomas appear hyperintense on nonenhanced T1-weighted sequences and isointense on T2- weighted images and enhance intensely after contrast administration (Figure 3) [5,11].

Retinal angioma in a 28-year-old woman with known von Hippel-Lindau-disease. Axial T2-weighted (A) and T1-weighted gadolinium-enhanced MR images (B) demonstrate an intraocular, enhancing, solid mass within the left globe (arrow) consistent with retinal angioma. In addition, associated retinal detachment is also identified (arrowhead).

Figure 3: Retinal angioma in a 28-year-old woman with known von Hippel-Lindau-disease. Axial T2-weighted (A) and T1-weighted gadolinium-enhanced MR images (B) demonstrate an intraocular, enhancing, solid mass within the left globe (arrow) consistent with retinal angioma. In addition, associated retinal detachment is also identified (arrowhead).

Cryotherapy and laser photocoagulation are the mainstay of treatment for retinal angiomas; vitrectomy and enucleation in select patients [7]. Early diagnosis and treatment can prevent late, serious sequelae associated with retinal angiomas; yearly screening ophthalmoscopy starting at infancy is recommended in all VHL patients [8].

Endolymphatic sac tumors

Endolymphatic sac tumors (ELSTs) are slow growing, papillary adenomatoid tumors that are found in 10-15 % VHL patients and 30 % of those patients may develop bilateral tumors [16]. Multifocal, VHL-deficient epithelial proliferations throughout the endolymphatic duct and sac could be the potential precursor for the development of ELSTs [7]. Histologically, tumors show papillary architecture of cuboidal cells and cystic spaces filled with proteinaceous material. Although benign, ELSTs can be locally destructive; the clinical presentation is usually late with hearing loss and tinnitus being the most common symptoms.

CT and MRI are the commonly used diagnostic tools to identify ELSTs. High resolution CT of the temporal bone demonstrates locally destructive, soft-tissue density mass involving the posterior petrous bone, centered at endolymphatic sac giving a geographic and moth-eaten appearance, with occasional intratumoral calcifications (Figure 4) [17].

Endolymphatic sac tumor in a 33-year-old man with known von Hippel-Lindau disease, complaining of hearing loss and tinnitus in the left ear. (A). Axial high resolution CT image of left temporal bone depicts a hypoattenuating mass with geographic bony destruction in the region of petrous temporal bone (arrow). (B and C). Axial T2- weighted (B) and gadolinium-enhanced T1- weighted images (C) show a T2 hyperintense, enhancing lesion (arrows) consistent with endolymphatic sac tumor.

Figure 4: Endolymphatic sac tumor in a 33-year-old man with known von Hippel-Lindau disease, complaining of hearing loss and tinnitus in the left ear. (A). Axial high resolution CT image of left temporal bone depicts a hypoattenuating mass with geographic bony destruction in the region of petrous temporal bone (arrow). (B and C). Axial T2- weighted (B) and gadolinium-enhanced T1- weighted images (C) show a T2 hyperintense, enhancing lesion (arrows) consistent with endolymphatic sac tumor.

In addition, CT may also demonstrate a space-occupying lesion appearing isodense to the brain parenchyma and small bony erosions adjacent to the vestibular aqueduct [7]. On MRI, ELSTs show heterogeneous signal intensity on T1- and T2- weighted images secondary to internal hemorrhage, cysts, calcifications, and incorporated temporal bone; they enhance either homogenously or heterogeneously depending on the intratumoral contents (Figure 4) [5,17]. Intralabyrinthine hemorrhage can also be identified separately from tumor site and appears as high signal intensity focus on T1- weighted images [7]. Despite the benign histological nature of these tumors, surgical excision remains the mainstay of current therapy; postoperative radiotherapy is used as adjuvant therapy in most cases. Preoperative level of hearing is preserved in most patients. In addition, radiotherapy may also be suitable as a salvage treatment in recurrent endolymphatic sac tumors [13]. Early detection based on clinical features, CT/MRI findings, and audiometric characteristics and timely intervention dictates the long-term prognosis. For screening purposes, CT and MRI examinations and audiological functions are indicated at the onset of symptoms [8]. However, some institutions follow an annual audiometry as a first-line endolymphatic sac tumor screening tool.

GENITOURINARY SYSTEM

Renal lesions

Approximately 30%-65% of VHL patients can develop renal manifestations that include simple/complex cysts and clear cell renal cell carcinoma. Multiple renal cysts are the most common renal lesions and may be seen in 60 % of patients and are bilateral in as many as 75% of patients [18]. They may vary from simple cysts to complex cysts, with cystic and solid components. Renal cell carcinoma (RCC) occurs in 30% - 45% of VHL patients with clear cell histologic subtype being most common [19]. Most of the tumors are bilateral and the age of onset of RCC in VHL patients is much earlier (mean age, 30–36 years) than in sporadic cases [20]. RCC is the most dreaded manifestation of VHL disease as it is responsible for about 18-33 % of VHL-associated mortality [21]. Although some patients are asymptomatic, hematuria and flank pain are the most common clinical features. Histologically, the epithelium lining the cyst walls consists of cells with clear cytoplasm [21].

US, CT and MRI play a pivotal role in the diagnosis, characterization, and screening of renal lesions in VHL disease. US helps in differentiating cystic from solid masses and has the advantage of avoiding ionizing radiation, given the fact that these patients require frequent surveillance scans. CT and MRI are very sensitive for cysts or masses smaller than 2 cm. At CT/MRI, bilateral kidneys demonstrate multiple simple and complex cysts, cystic masses with enhancing, solid components, and solid masses of varying sizes with heterogeneous contrast enhancement (Figure 5) [5,22].

Multiple renal cysts and renal cell carcinoma in a 33-yearold man, who came to emergency room with hematuria. There was no family history of von Hippel-Lindau disease. Coronal T2- weighted (A) and contrast-enhanced T1- weighted MR images show multiple simple and complex cysts involving bilateral kidneys (arrows) and a large heterogenously enhancing renal mass in the right kidney (arrowhead) consistent with renal cell carcinoma. Additionally, multiple simple pancreatic cysts are also identified (not shown here). Based on these findings, the possibility of VHL disease was suspected, which was proved subsequently by genetic testing.

Figure 5: Multiple renal cysts and renal cell carcinoma in a 33-yearold man, who came to emergency room with hematuria. There was no family history of von Hippel-Lindau disease. Coronal T2- weighted (A) and contrast-enhanced T1- weighted MR images show multiple simple and complex cysts involving bilateral kidneys (arrows) and a large heterogenously enhancing renal mass in the right kidney (arrowhead) consistent with renal cell carcinoma. Additionally, multiple simple pancreatic cysts are also identified (not shown here). Based on these findings, the possibility of VHL disease was suspected, which was proved subsequently by genetic testing.

MRI eliminates ionizing radiation and is preferred in young patients and on those with renal failure. Complex cysts and solid masses enhance on postcontrast T1-weighted images and sometimes may show a hypointense pseudocapsule on T2-weighted images [23,24]. The preferred treatment in renal cell carcinoma associated with VHL disease is nephron-sparing procedure (either partial nephrectomy or image-guided ablation). Due to the high probability of appearance of new renal neoplastic lesions; lesions greater than 3 cm undergo treatment whereas smaller lesions are followed-up at close intervals [8,18]. The natural history of cysts is variable; some may involute leaving small scars while in others the solid component may enlarge. Complex cysts are precursors to renal cell carcinoma and require close follow-up [18]. Screening protocol for renal cysts/masses in VHL includes annual abdominal US examination from the age of 10 years followed-up with CT or MRI studies depending on the US findings or direct annual CT or MRI studies bypassing US [1,5].

Adrenal lesions

The prevalence of pheochromocytomas and extra-adrenal paragangliomas in VHL patients is about 10% - 20% and could be the only manifestation in type 2C patients. Tumors are often bilateral, multiple and may manifest at a younger age with mean age being 30 years, and have a very low risk of malignancy [24,25]. Common presenting symptoms include intermittent hypertension, headaches, sweating, palpitations, and flushing; however, many lesions are asymptomatic with normal laboratory values [1].

Both imaging features and laboratory values play an important role in the diagnosis of pheochromocytomas. While CT and MRI provide anatomic details, iodine - 131 metaiodobenzylguanidine (I131 - MIBG) scan gives functional assessment of pheochromocytomas. Elevation of urine and/ or blood catecholamine levels suggest active tumor. On CT, pheochromocytomas typically appear as solid or complex cystic adrenal masses with scattered areas of necrosis and hemorrhage, with possible calcifications [23]. On MRI, tumors are usually isointense or hypointense on T1-weighted images, and hyperintense on T2- weighted images with marked enhancement during the arterial phase of dynamic study after contrast administration (Figure 6) [26].

Pheochromocytoma in a 30-year-old woman with known von Hippel Lindau Disease. Axial T2 weighted (A) and contrast enhanced T1 weighted (B) images show a well- circumscribed T2- hyperintense focal lesion in the left adrenal gland, which enhances after contrast adminstration (arrow). In addition, also note mutiple cystic masses in the left kidney (arrowheads).

Figure 6: Pheochromocytoma in a 30-year-old woman with known von Hippel Lindau Disease. Axial T2 weighted (A) and contrast enhanced T1 weighted (B) images show a well- circumscribed T2- hyperintense focal lesion in the left adrenal gland, which enhances after contrast adminstration (arrow). In addition, also note mutiple cystic masses in the left kidney (arrowheads).

I-131 MIBG scan shows high uptake in 75–95% of cases and is used to localize and identify pheochromocytoma and paraganglioma, especially when the presence of more than one tumor is suspected. The treatment of choice is complete surgical resection with pre-operative pharmacological control of hypertension; tumor size greater than 3.5 cm, increased MIBG uptake, and abnormal function are indications for surgery [1]. The screening protocol includes monitoring of annual plasma or 24-hour urinary catecholamine levels from the age of 2 years along with annual blood pressure measurement [1]. No imaging is deemed necessary until catecholamine levels are increased on follow up.

Epididymal lesions

Simple cysts and cystadenomas of the epididymis are the scrotal pathologies in VHL patients. Cystadenomas are rare, epithelial tumors that originate from the Müllerian residual connective tissue and occur in approximately 10% - 60% of men with VHL disease and very rare in general population; bilateral and multiple tumors are virtually pathognomic of VHL syndrome [8]. These lesions can be both seen in the epididymis and spermatic cord and epididymal head is the most common location. Although most of the lesions are asymptomatic, ‘hard’ palpable mass in the scrotum, and infertility due to obstructive azoospermia are presenting symptoms if any. At microscopy, cystadenomas show prominent papillae lined by glycogen-rich clear cells, similar to that of serous cystadenoma of the ovary [27].

At US, cystadenomas typically appear as hypoechoic, solid masses with occasional scattered areas of calcifications and small cystic components (Figure 7) [5, 28].

Epididymal cystadenoma in a 32-year-old man with known von Hippel Lindau Disease. US image of the left scrotum shows a well defined hypoechoic lesion (arrow) in the epididymis consistent with epididymal cystadenoma.

Figure 7: Epididymal cystadenoma in a 32-year-old man with known von Hippel Lindau Disease. US image of the left scrotum shows a well defined hypoechoic lesion (arrow) in the epididymis consistent with epididymal cystadenoma.

Sonographic criteria include predominantly solid tumor greater than 1.4 cm, occurrence in a man with VHL disease, and slow growth [28]. Other scrotal findings include epididymal cysts, ectasia of the rete testis, and testicular atrophy. Treatment is usually not necessary as these lesions have no malignant potential. Surgical removal is sought if there are uncomfortable local symptoms or infertility.

GASTROINTESTINAL SYSTEM

Pancreatic lesions

The common pancreatic manifestations of VHL disease include simple pancreatic cysts (50-90%), serous cystadenomas (SCAs) (12%), and neuroendocrine tumors (NETs) (5-17%); combined lesions may occur, but the association of cystic lesions and neuroendocrine tumors is rare [23]. The reported prevalence of pancreatic involvement in VHL disease varies from 0% in some family groups to 77% in others [23]. In addition, pancreatic lesions may be the only abdominal manifestation and may precede any other manifestation by several years [29]. Thus, recognition permits earlier diagnosis of VHL disease, which is in turn helpful for treatment and genetic counseling of kindred.

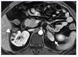
Multiple pancreatic cysts are the most common abdominal manifestation in VHL patients. Given the rarity of unilocular pancreatic cystic lesions in the general population, the presence of a single cyst in a patient undergoing VHL disease screening because of a family history suggests high probability of the disease [29,30]. At CT /MRI, multiple non-communicating cysts replacing the entire pancreatic parenchyma is the typical appearance of VHL; these cysts do not enhance after contrast material administration (Figure 8) [22].

Pancreatic simple cysts in a 40-year-old woman with von Hippel-Lindau disease. Corornal T2- weighted MR image shows mutiple cysts (arrows) almost replacing the entire pancreatic parenchyma. Also seen is a simple left renal cyst (arrowhead).

Figure 8: Pancreatic simple cysts in a 40-year-old woman with von Hippel-Lindau disease. Corornal T2- weighted MR image shows mutiple cysts (arrows) almost replacing the entire pancreatic parenchyma. Also seen is a simple left renal cyst (arrowhead).

In addition, MRI helps in the assessment of relation to main pancreatic duct and differentiating from other cystic lesions such as side-duct type of intrapancreatic mucinous neoplasm (IPMN).

Serous cystadenomas (SCAs) are well-defined, multiloculated lesions with small individual cysts separated by fibrous septae. In the general population, they are more common in women older than 60 years, but are often found incidentally in VHL patients as young as 25 years [31]. Almost all patients are asymptomatic; however, rare cases with symptoms such as jaundice secondary to mass effect have been reported [31]. On US, SCAs show a variety of findings, such as echogenic masses with or without small cystic portions, multilocular cysts, or mixed hyper- and hypoechoic masses. On CT, SCAs appear as microcystic lesions, with a cluster of numerous small, well-defined cysts with or without central calcifications. Enhancement maybe seen in the periphery of these cysts on contrast administration (Figure 9) [29].

Serous cystadenoma of the pancreas in a 64-year-old woman with known von Hippel-Lindau disease, complaining of recurrent abdominal pain. Axial contrast-enhanced CT image demonstrates a multicystic, peripherally enhancing focal lesion (arrow) in the pancreatic body with associated main pancreatic ductal dilatation (arrowhead). This was proven to be serous cystadenoma on surgical resection.

Figure 9: Serous cystadenoma of the pancreas in a 64-year-old woman with known von Hippel-Lindau disease, complaining of recurrent abdominal pain. Axial contrast-enhanced CT image demonstrates a multicystic, peripherally enhancing focal lesion (arrow) in the pancreatic body with associated main pancreatic ductal dilatation (arrowhead). This was proven to be serous cystadenoma on surgical resection.

On MRI, fibrous components within the tumor are typically hypointense on T2-weighted MR images which may show enhancement on gadolinium enhanced images. SCAs are difficult to differentiate from simple cysts at times, as they have high signal intensity on T2-weighted images, however, the visualization of enhancing septae and the presence of fibrous central components, which are hypointense on T2-weighted images showing enhancement on gadolinium administration helps in accurate diagnosis [22]. SCAs do not require surgical excision, due to their benign nature, unless they are symptomatic.

In VHL disease patients, most of the neuroendocrine tumors (NETs) are usually multiple, nonfunctional and identified at screening and may be larger at detection [5]. However, functional tumors tend to present earlier, with clinical signs and symptoms related to their cell type – insulinoma, glucagonoma, gastrinoma, and VIPoma. NETs are hypervascular masses on CT, and show homogenous enhancement on the arterial phase; some may show heterogeneous enhancement, when larger in size due to presence of necrosis and calcifications [29]. MRI is more specific and sensitive in identifying NETs; they appear hypointense on T1-weighted and hyperintense on T2-weighted images, but their signal intensity is not as high as that of cysts. Fat- suppressed, contrast-enhanced dynamic MR images are superior to any other available imaging techniques for identification of NETs (Figure 10).

Neuroendocrine tumor of the pancreas in a 32-year-old man with known von Hippel - Lindau disease. Axial contrast-enhanced T1- weighted MR image depicts an intensely enhancing focal lesion in the tail of pancreas consistent with neuroendocrine tumor (arrow). Additionally, multiple cysts are seen in the right kidney (arrowhead).

Figure 10: Neuroendocrine tumor of the pancreas in a 32-year-old man with known von Hippel - Lindau disease. Axial contrast-enhanced T1- weighted MR image depicts an intensely enhancing focal lesion in the tail of pancreas consistent with neuroendocrine tumor (arrow). Additionally, multiple cysts are seen in the right kidney (arrowhead).

Malignant or metastatic potential in these lesions is as low as <10% (24). Blansfield et al proposed three criteria to predict metastatic disease of pancreatic NET in patients with VHL disease: 1) tumor size greater than or equal to 3 cm; 2) presence of a mutation in exon 3; and 3) tumor doubling time less than 500 days [32]. If the patient has none of these criteria, they suggest that the likelihood of the patient’s lesion resulting in metastatic disease is very low and the patient can be followed with clinical and radiologic surveillance using CT or MRI examination every 2-3 years. Treatment includes surgical resection with distal pancreatectomy or even Whipple’s procedure depending on location and size of tumor [23]. For identification of pancreatic lesions, annual US examination starting at the age of 8 years and yearly CT from the age of 18 years or earlier if clinically indicated are commonly performed. Contrast-enhanced MRI of the pancreas may be considered depending on US/CT findings and clinical manifestations [8].

Miscellaneous and rare lesions

Various other pathologic conditions arising in different organs of patients with VHL disease have been described, including pancreatic hemangiomas and hemangioblastomas, pulmonary hemangioblastomas, hepatic cysts and cavernous hemangiomas, splenic hemangiomas, bladder hemangioblastomas, cystadenomas of uterine broad ligament [33,34]. However, substantial evidence stating their definite association with VHL disease is yet to be confirmed.

CONCLUSION

Improved understanding of the pathophysiology and crosssectional imaging appearances of the wide spectrum of lesions associated with VHL disease is priceless in reducing the morbidity and mortality and improving quality of life of affected patients. Imaging studies play a critical role in the early identification of lesions associated with VHL disease so that timely genetic testing can be performed. This helps not only the patients but also asymptomatic family members. A multidisciplinary approach including screening, timely medical, surgical, and radiological interventions, and long-term surveillance will help in the optimal management of VHL patients as well as asymptomatic gene carriers.

REFERENCES

1. Lonser RR, Glenn GM, Walther M, Chew EY, Libutti SK, Linehan WM, et al. von Hippel-Lindau disease. Lancet. 2003; 361: 2059-2067.

2. Seizinger BR, Rouleau GA, Ozelius LJ, Lane AH, Farmer GE, Lamiell JM, et al. Von Hippel-Lindau disease maps to the region of chromosome 3 associated with renal cell carcinoma. Nature. 1988; 332: 268-269.

3. Latif F, Tory K, Gnarra J, Yao M, Duh FM, Orcutt ML, et al. Identification of the von Hippel-Lindau disease tumor suppressor gene. Science. 1993; 260: 1317-1320.

4. Haase VH. The VHL/HIF oxygen-sensing pathway and its relevance to kidney disease. Kidney Int. 2006; 69: 1302-1307.

5. Leung RS, Biswas SV, Duncan M, Rankin S. Imaging features of von Hippel-Lindau disease. Radiographics. 2008; 28: 65-79.

6. Shuin T, Yamasaki I, Tamura K, Okuda H, Furihata M, Ashida S. Von Hippel-Lindau disease: molecular pathological basis, clinical criteria, genetic testing, clinical features of tumors and treatment. Jpn J Clin Oncol. 2006; 36: 337-343.

7. Butman JA, Linehan WM, Lonser RR. Neurologic manifestations of von Hippel-Lindau disease. JAMA. 2008; 300: 1334-1342.

8. Choyke PL, Glenn GM, Walther MM, Patronas NJ, Linehan WM, Zbar B. von Hippel-Lindau disease: genetic, clinical, and imaging features. Radiology. 1995; 194: 629-642.

9. Choi K, Kennedy M, Kazarov A, Papadimitriou JC, Keller G. A common precursor for hematopoietic and endothelial cells. Development. 1998; 125: 725-732.

10. Ho VB, Smirniotopoulos JG, Murphy FM, Rushing EJ. Radiologic-pathologic correlation: hemangioblastoma. AJNR Am J Neuroradiol. 1992; 13: 1343-1352.

11. Filling-Katz MR, Choyke PL, Patronas NJ, Gorin MB, Barba D, Chang R, et al. Radiologic screening for von Hippel-Lindau disease: the role of Gd-DTPA enhanced MR imaging of the CNS. J Comput Assist Tomogr. 1989; 13: 743-755.

12. Baker KB, Moran CJ, Wippold FJ 2nd, Smirniotopoulos JG, Rodriguez FJ, Meyers SP, et al. MR imaging of spinal hemangioblastoma. AJR Am J Roentgenol. 2000; 174: 377-382.

13. Wind JJ, Lonser RR. Management of von Hippel-Lindau disease-associated CNS lesions. Expert Rev Neurother. 2011; 11: 1433-1441.

14. Wanebo JE, Lonser RR, Glenn GM, Oldfield EH. The natural history of hemangioblastomas of the central nervous system in patients with von Hippel-Lindau disease. J Neurosurg. 2003; 98: 82-94.

15. Braffman B, Naidich TP. The phakomatoses: Part II. von Hippel-Lindau disease, Sturge-Weber syndrome, and less common conditions. Neuroimaging Clin N Am. 1994; 4: 325-348.

16. Manski TJ, Heffner DK, Glenn GM, Patronas NJ, Pikus AT, Katz D, et al. Endolymphatic sac tumors. A source of morbid hearing loss in von Hippel-Lindau disease. JAMA. 1997; 277: 1461-1466.

17. Lo WW, Applegate LJ, Carberry JN, Solti-Bohman LG, House JW, Brackmann DE, et al. Endolymphatic sac tumors: radiologic appearance. Radiology. 1993; 189: 199-204.

18. Meister M, Choyke P, Anderson C, Patel U. Radiological evaluation, management, and surveillance of renal masses in Von Hippel-Lindau disease. Clin Radiol. 2009; 64: 589-600.

19. Choyke PL, Glenn GM, Walther MM, Zbar B, Linehan WM. Hereditary renal cancers. Radiology. 2003; 226: 33-46.

20. Chauveau D, Duvic C, Chrétien Y, Paraf F, Droz D, Melki P, et al. Renal involvement in von Hippel-Lindau disease. Kidney Int. 1996; 50: 944- 951.

21. Choyke PL, Glenn GM, Walther MM, Zbar B, Weiss GH, Alexander RB, et al. The natural history of renal lesions in von Hippel-Lindau disease: a serial CT study in 28 patients. AJR Am J Roentgenol. 1992; 159: 1229- 1234.

22. Graziani R, Mautone S, Vigo M, Manfredi R, Opocher G, Falconi M. Spectrum of Magnetic Resonance Imaging Findings in Pancreatic and Other Abdominal Manifestations of Von Hippel-Lindau Disease in a Series of 23 patients: A Pictorial Review. JOP. 2014; 15: 1-18.

23. Taouli B, Ghouadni M, Corréas JM, Hammel P, Couvelard A, Richard S, et al. Spectrum of abdominal imaging findings in von Hippel-Lindau disease. AJR Am J Roentgenol. 2003; 181: 1049-1054.

24. Hes FJ, Feldberg MA. Von Hippel-Lindau disease: strategies in early detection (renal-, adrenal-, pancreatic masses). Eur Radiol. 1999; 9: 598-610.

25. Hes FJ, Höppener JW, Lips CJ. Clinical review 155: Pheochromocytoma in Von Hippel-Lindau disease. J Clin Endocrinol Metab. 2003; 88: 969- 974.

26. Blake MA, Kalra MK, Maher MM, Sahani DV, Sweeney AT, Mueller PR, et al. Pheochromocytoma: an imaging chameleon. Radiographics. 2004; 24 Suppl 1: S87-99.

27. Woodward PJ, Schwab CM, Sesterhenn IA. From the archives of the AFIP: extratesticular scrotal masses: radiologic-pathologic correlation. Radiographics. 2003; 23: 215-240.

28. Choyke PL, Glenn GM, Wagner JP, Lubensky IA, Thakore K, Zbar B, et al. Epididymal cystadenomas in von Hippel-Lindau disease. Urology. 1997; 49: 926-931.

29. Hough DM, Stephens DH, Johnson CD, Binkovitz LA. Pancreatic lesions in von Hippel-Lindau disease: prevalence, clinical significance, and CT findings. AJR Am J Roentgenol. 1994; 162: 1091-1094.

30. Tattersall DJ, Moore NR. von Hippel-Lindau disease: MRI of abdominal manifestations. Clin Radiol. 2002; 57: 85-92.

31. Charlesworth M, Verbeke CS, Falk GA, Walsh M, Smith AM, Morris- Stiff G. Pancreatic lesions in von Hippel-Lindau disease? A systematic review and meta-synthesis of the literature. J Gastrointest Surg. 2012; 16: 1422-1428.

32. Blansfield JA, Choyke L, Morita SY, Choyke PL, Pingpank JF, Alexander HR, et al. Clinical, genetic and radiographic analysis of 108 patients with von Hippel-Lindau disease (VHL) manifested by pancreatic neuroendocrine neoplasms (PNETs). Surgery. 2007; 142: 814-818.

33. McGrath FP, Gibney RG, Morris DC, Owen DA, Erb SR. Case report: multiple hepatic and pulmonary haemangioblastomas--a new manifestation of von Hippel-Lindau disease. Clin Radiol. 1992; 45: 37- 39.

34. Karsdorp N, Elderson A, Wittebol-Post D, Hené RJ, Vos J, Feldberg MA, et al. Von Hippel-Lindau disease: new strategies in early detection and treatment. Am J Med. 1994; 97: 158-168.

Katabathina VS, Vinu-Nair S (2014) Cross-Sectional Imaging Spectrum of von Hippel-Lindau Disease. J Transl Med Epidemiol 2(1): 1021.

Received : 18 Feb 2014
Accepted : 22 Feb 2014
Published : 24 Feb 2014
Journals
Annals of Otolaryngology and Rhinology
ISSN : 2379-948X
Launched : 2014
JSM Schizophrenia
Launched : 2016
Journal of Nausea
Launched : 2020
JSM Internal Medicine
Launched : 2016
JSM Hepatitis
Launched : 2016
JSM Oro Facial Surgeries
ISSN : 2578-3211
Launched : 2016
Journal of Human Nutrition and Food Science
ISSN : 2333-6706
Launched : 2013
JSM Regenerative Medicine and Bioengineering
ISSN : 2379-0490
Launched : 2013
JSM Spine
ISSN : 2578-3181
Launched : 2016
Archives of Palliative Care
ISSN : 2573-1165
Launched : 2016
JSM Nutritional Disorders
ISSN : 2578-3203
Launched : 2017
Annals of Neurodegenerative Disorders
ISSN : 2476-2032
Launched : 2016
Journal of Fever
ISSN : 2641-7782
Launched : 2017
JSM Bone Marrow Research
ISSN : 2578-3351
Launched : 2016
JSM Mathematics and Statistics
ISSN : 2578-3173
Launched : 2014
Journal of Autoimmunity and Research
ISSN : 2573-1173
Launched : 2014
JSM Arthritis
ISSN : 2475-9155
Launched : 2016
JSM Head and Neck Cancer-Cases and Reviews
ISSN : 2573-1610
Launched : 2016
JSM General Surgery Cases and Images
ISSN : 2573-1564
Launched : 2016
JSM Anatomy and Physiology
ISSN : 2573-1262
Launched : 2016
JSM Dental Surgery
ISSN : 2573-1548
Launched : 2016
Annals of Emergency Surgery
ISSN : 2573-1017
Launched : 2016
Annals of Mens Health and Wellness
ISSN : 2641-7707
Launched : 2017
Journal of Preventive Medicine and Health Care
ISSN : 2576-0084
Launched : 2018
Journal of Chronic Diseases and Management
ISSN : 2573-1300
Launched : 2016
Annals of Vaccines and Immunization
ISSN : 2378-9379
Launched : 2014
JSM Heart Surgery Cases and Images
ISSN : 2578-3157
Launched : 2016
Annals of Reproductive Medicine and Treatment
ISSN : 2573-1092
Launched : 2016
JSM Brain Science
ISSN : 2573-1289
Launched : 2016
JSM Biomarkers
ISSN : 2578-3815
Launched : 2014
JSM Biology
ISSN : 2475-9392
Launched : 2016
Archives of Stem Cell and Research
ISSN : 2578-3580
Launched : 2014
Annals of Clinical and Medical Microbiology
ISSN : 2578-3629
Launched : 2014
JSM Pediatric Surgery
ISSN : 2578-3149
Launched : 2017
Journal of Memory Disorder and Rehabilitation
ISSN : 2578-319X
Launched : 2016
JSM Tropical Medicine and Research
ISSN : 2578-3165
Launched : 2016
JSM Head and Face Medicine
ISSN : 2578-3793
Launched : 2016
JSM Cardiothoracic Surgery
ISSN : 2573-1297
Launched : 2016
JSM Bone and Joint Diseases
ISSN : 2578-3351
Launched : 2017
JSM Bioavailability and Bioequivalence
ISSN : 2641-7812
Launched : 2017
JSM Atherosclerosis
ISSN : 2573-1270
Launched : 2016
Journal of Genitourinary Disorders
ISSN : 2641-7790
Launched : 2017
Journal of Fractures and Sprains
ISSN : 2578-3831
Launched : 2016
Journal of Autism and Epilepsy
ISSN : 2641-7774
Launched : 2016
Annals of Marine Biology and Research
ISSN : 2573-105X
Launched : 2014
JSM Health Education & Primary Health Care
ISSN : 2578-3777
Launched : 2016
JSM Communication Disorders
ISSN : 2578-3807
Launched : 2016
Annals of Musculoskeletal Disorders
ISSN : 2578-3599
Launched : 2016
Annals of Virology and Research
ISSN : 2573-1122
Launched : 2014
JSM Renal Medicine
ISSN : 2573-1637
Launched : 2016
Journal of Muscle Health
ISSN : 2578-3823
Launched : 2016
JSM Genetics and Genomics
ISSN : 2334-1823
Launched : 2013
JSM Anxiety and Depression
ISSN : 2475-9139
Launched : 2016
Clinical Journal of Heart Diseases
ISSN : 2641-7766
Launched : 2016
Annals of Medicinal Chemistry and Research
ISSN : 2378-9336
Launched : 2014
JSM Pain and Management
ISSN : 2578-3378
Launched : 2016
JSM Women's Health
ISSN : 2578-3696
Launched : 2016
Clinical Research in HIV or AIDS
ISSN : 2374-0094
Launched : 2013
Journal of Endocrinology, Diabetes and Obesity
ISSN : 2333-6692
Launched : 2013
Journal of Substance Abuse and Alcoholism
ISSN : 2373-9363
Launched : 2013
JSM Neurosurgery and Spine
ISSN : 2373-9479
Launched : 2013
Journal of Liver and Clinical Research
ISSN : 2379-0830
Launched : 2014
Journal of Drug Design and Research
ISSN : 2379-089X
Launched : 2014
JSM Clinical Oncology and Research
ISSN : 2373-938X
Launched : 2013
JSM Bioinformatics, Genomics and Proteomics
ISSN : 2576-1102
Launched : 2014
JSM Chemistry
ISSN : 2334-1831
Launched : 2013
Journal of Trauma and Care
ISSN : 2573-1246
Launched : 2014
JSM Surgical Oncology and Research
ISSN : 2578-3688
Launched : 2016
Annals of Food Processing and Preservation
ISSN : 2573-1033
Launched : 2016
Journal of Radiology and Radiation Therapy
ISSN : 2333-7095
Launched : 2013
JSM Physical Medicine and Rehabilitation
ISSN : 2578-3572
Launched : 2016
Annals of Clinical Pathology
ISSN : 2373-9282
Launched : 2013
Annals of Cardiovascular Diseases
ISSN : 2641-7731
Launched : 2016
Journal of Behavior
ISSN : 2576-0076
Launched : 2016
Annals of Clinical and Experimental Metabolism
ISSN : 2572-2492
Launched : 2016
Clinical Research in Infectious Diseases
ISSN : 2379-0636
Launched : 2013
JSM Microbiology
ISSN : 2333-6455
Launched : 2013
Journal of Urology and Research
ISSN : 2379-951X
Launched : 2014
Journal of Family Medicine and Community Health
ISSN : 2379-0547
Launched : 2013
Annals of Pregnancy and Care
ISSN : 2578-336X
Launched : 2017
JSM Cell and Developmental Biology
ISSN : 2379-061X
Launched : 2013
Annals of Aquaculture and Research
ISSN : 2379-0881
Launched : 2014
Clinical Research in Pulmonology
ISSN : 2333-6625
Launched : 2013
Journal of Immunology and Clinical Research
ISSN : 2333-6714
Launched : 2013
Annals of Forensic Research and Analysis
ISSN : 2378-9476
Launched : 2014
JSM Biochemistry and Molecular Biology
ISSN : 2333-7109
Launched : 2013
Annals of Breast Cancer Research
ISSN : 2641-7685
Launched : 2016
Annals of Gerontology and Geriatric Research
ISSN : 2378-9409
Launched : 2014
Journal of Sleep Medicine and Disorders
ISSN : 2379-0822
Launched : 2014
JSM Burns and Trauma
ISSN : 2475-9406
Launched : 2016
Chemical Engineering and Process Techniques
ISSN : 2333-6633
Launched : 2013
Annals of Clinical Cytology and Pathology
ISSN : 2475-9430
Launched : 2014
JSM Allergy and Asthma
ISSN : 2573-1254
Launched : 2016
Journal of Neurological Disorders and Stroke
ISSN : 2334-2307
Launched : 2013
Annals of Sports Medicine and Research
ISSN : 2379-0571
Launched : 2014
JSM Sexual Medicine
ISSN : 2578-3718
Launched : 2016
Annals of Vascular Medicine and Research
ISSN : 2378-9344
Launched : 2014
JSM Biotechnology and Biomedical Engineering
ISSN : 2333-7117
Launched : 2013
Journal of Hematology and Transfusion
ISSN : 2333-6684
Launched : 2013
JSM Environmental Science and Ecology
ISSN : 2333-7141
Launched : 2013
Journal of Cardiology and Clinical Research
ISSN : 2333-6676
Launched : 2013
JSM Nanotechnology and Nanomedicine
ISSN : 2334-1815
Launched : 2013
Journal of Ear, Nose and Throat Disorders
ISSN : 2475-9473
Launched : 2016
JSM Ophthalmology
ISSN : 2333-6447
Launched : 2013
Journal of Pharmacology and Clinical Toxicology
ISSN : 2333-7079
Launched : 2013
Annals of Psychiatry and Mental Health
ISSN : 2374-0124
Launched : 2013
Medical Journal of Obstetrics and Gynecology
ISSN : 2333-6439
Launched : 2013
Annals of Pediatrics and Child Health
ISSN : 2373-9312
Launched : 2013
JSM Clinical Pharmaceutics
ISSN : 2379-9498
Launched : 2014
JSM Foot and Ankle
ISSN : 2475-9112
Launched : 2016
JSM Alzheimer's Disease and Related Dementia
ISSN : 2378-9565
Launched : 2014
Journal of Addiction Medicine and Therapy
ISSN : 2333-665X
Launched : 2013
Journal of Veterinary Medicine and Research
ISSN : 2378-931X
Launched : 2013
Annals of Public Health and Research
ISSN : 2378-9328
Launched : 2014
Annals of Orthopedics and Rheumatology
ISSN : 2373-9290
Launched : 2013
Journal of Clinical Nephrology and Research
ISSN : 2379-0652
Launched : 2014
Annals of Community Medicine and Practice
ISSN : 2475-9465
Launched : 2014
Annals of Biometrics and Biostatistics
ISSN : 2374-0116
Launched : 2013
JSM Clinical Case Reports
ISSN : 2373-9819
Launched : 2013
Journal of Cancer Biology and Research
ISSN : 2373-9436
Launched : 2013
Journal of Surgery and Transplantation Science
ISSN : 2379-0911
Launched : 2013
Journal of Dermatology and Clinical Research
ISSN : 2373-9371
Launched : 2013
JSM Gastroenterology and Hepatology
ISSN : 2373-9487
Launched : 2013
Annals of Nursing and Practice
ISSN : 2379-9501
Launched : 2014
JSM Dentistry
ISSN : 2333-7133
Launched : 2013
Author Information X