Loading

Journal of Human Nutrition and Food Science

Genome-Wide Microsatellite Survey and Introgression of Null KTI Allele in Charcoal Rot Resistant Soybean

Research Article | Open Access | Volume 11 | Issue 4

  • 1. Department of Agricultural Botany, Post Graduate Institute, Dr. Panjabrao Deshmukh Krishi Vidyapeeth, India
  • 2. Regional Research Centre, Amravati, Dr. Panjabrao Deshmukh Krishi Vidyapeeth, India
  • 3. Gen Scan Inc Global Consultancy, Houston, Texas, USA and Namangan Engineering and Technology Institute, Uzbekistan
  • 4. Voronezh State Agrarian University, Voronezh, Russia
+ Show More - Show Less
Corresponding Authors
Pravin V Jadhav, Department of Agricultural Botany, Biotechnology Centre, Post Graduate Institute, Dr. Panjabrao Deshmukh Krishi Vidyapeeth, Akola Maharashtra-44410, India, Tel: 8999434438
Abstract

Soybean though being a vegetable crop have not been used for table purpose due to various quality constraints. Kunitz trypsin inhibitor is a major ANF in soybean which interfere protein digestion and absorption. The objective of the experiment is formulated to address these issues with soybean that are preventing high-quality soybean production is necessary. For parental polymorphism, 388 SSR markers across all 20 linkage groups were examined in four parental combinations comprising four soybean genotypes: AMS MB-5-18, AMS MB-5-19, NRC 101, and NRC 127. Seventy-eight molecular markers showed polymorphism with 37 of them being highly polymorphic. Allelic frequency of 3.84, 4.3, 4.7 and 3.95 per marker was observed respectively for parental combinations 1,2,3 and 4 PIC value ranging from 0.11 to 0.75, 0.15 to 0.75, 0.25 to 0.75 and 0.13 to 0.75 respectively. Using a marker specific to the Null KTI gene, foreground selection was applied to the F1 progenies acquired from the experiment. Future soybean breeding programs will benefit from the obtained polymorphic markers.

Keywords

• Soybean; KTI

• Antinutritional factor

• Charcoal rot

• M. phaseolina

• Polymorphic information content

CITATION

Jadhav PV, Shinde AN, Thakur PP, Shinde UD, Mahobia A, et al. (2023) Genome-Wide Microsatellite Survey and Introgression of Null KTI Allele in Charcoal Rot Resistant Soybean. J Hum Nutr Food Sci 11(4): 1172.

INTRODUCTION

With high protein content, soybean is also referred to as functional food and is currently being highlighted for its potential to end malnutrition. According to the USDA, the worldwide soy food business was worth $44.7 billion in 2021. The soy food business is primarily driven by consumers’ changing preferences for protein-rich diets over high-calorie diets. The soy food items including textured vegetable proteins, tofu, and soy milk, have been in high demand on the international market.

However, its popularity has been limited because of antinutritional components like Kunitz trypsin inhibitor (KTI), beany flavor, and the presence of allergens. The anti-nutritional substances in soybean seed, especially from the two families of Kunitz trypsin inhibitors (KTI) and Bowman-Birk inhibitors, prevent the activity of digesting proteases (BBI). High quantities of raw soybean meal in feed mixes can result in poor body weight and pancreatic anomalies by inactivating trypsin/chymotrypsin enzymes. Heat-treating soybean protein meal in order to disable inhibitors is common practice that can deplete some essential amino acids, is expensive and energy-intensive [1] and 80% of the overall trypsin inhibitor activity is accounted for by KTI [2]. Despite the fact that KTI is heat labile and heat treatment costs money and reduces protein solubility by about 20%. Similarly, beans must be boiled before being ground with wheat (1:9) to make chapatti flour with soy supplements [3].

Genotypes with a null allele of KTI have been identified in soybean germplasm. KTI is a monomeric protein containing 181 amino acid residues [4]. Ten independent differentially expressed KTI genes have been identified with KTI3 being seed specific [5]. Thirteen KTI3 protein isozymes have also been identified which are encoded by multiple KTI alleles [6]. A single dominant gene (Ti) controls the presence of KTI, whereas a recessive gene (titi) controls its absence which encodes for a truncated protein. One substitution and two deletions are present in recessive null kti allele which alters the translation process resulting in lower levels of KTI in seed embryos [7]. Genetic research indicates that numerous alleles, notably Ti a, Ti b, Ti c, and Ti d, are combined at a single locus controlling the KTI trait in soybean. These four soybean KTI electrophoretic forms are controlled by a variety of allelic series of co-dominance (Ti a, Ti b, Ti c and Ti d). A final version ‘ti’ that lacks Kunitz trypsin inhibitor activity is controlled by a recessive gene [8]. The gene has been located in linkage group (LG) A2 on the genetic linkage map of soybean [9]. Three SSR markers namely Satt409, Satt228 and Satt429 are closely linked with the ti locus at distances of 4.5, 0-3.7, and 5.1 cM, respectively [10].

Abiotic and biotic stresses pose significant challenges to soybean production. Charcoal rot, a broad-spectrum biotic stress caused by the soil-borne polyphagous fungus Macrophomina phaseolina that reduces seed quality and yield, is the second most important yield-reducing disease in soybean-growing countries worldwide after brown spot (Septoria glycines). This major disease is responsible for 80% of soybean yield loss. The fungus infects the roots and lower stems of soybeans, causing general root rot. Charcoal rot disease appearance looked like roots dipped in charcoal and hence its name. It infects wide range of hosts from sorghum, soybean to cucurbits and various weeds. This was first noticed in the United States in 1949.Every part of the sensitive soybean plant becomes infected as it travels from the roots up through the entire plant. The yield loss in extreme circumstances might be as high as 80%. It is drawing more attention from the breeders in present time because of changing global climatic conditions. The prevalence of recurrent droughts or drought-like circumstances, in particular, increases the susceptibility of soybean to this disease [11]. This issue must be addressed as soon as possible. Therefore, it is anticipated that the creation of KTI-free charcoal rot-resistant soybean cultivars, which are currently unavailable in India, will increase the use of soybean in food items [12].

Marker assisted selection has been widely used for the development of disease and insect resistance in a variety of crops [13]. Nutritional quality traits such as the absence of protease inhibitor or specific fatty acid profile) which cannot be scored visually at the field level, but can be scored effectively by the MAS (Marker assisted selection) technique over morphological traits. Marker-assisted backcross selection (MABS) can make it possible to successfully transfer the ‘ti’ allele responsible for NULL KTI character to superior soybean varieties from genotypes of soybean resistant to charcoal rot disease. In the current study, NRC101 and NRC 127, two superior soybean varieties with a null allele of KTI, were crossed with AMS-MB-5-18 and AMSMB-5-19 to introduce the ti allele via marker-assisted selection. SSR markers were used to determine the purity of the F1 hybrids and the parental polymorphism. To do this, a null allele-specific marker must be utilized in the foreground selection approach to choose the positive plants. The objective of the current investigation was to assess the level of polymorphic SSR loci between the donor and recurrent parents.

MATERIALS AND METHODS

Plant material and fungal isolate

For the investigation’s parental polymorphism survey, four genotypes were examined. The two soybean genotypes resistant to charcoal rot, AMS-MB-5-18 and AMS-MB-5-19, obtained from Dr. Panjabrao Deshmukh Krishi Vidyapeeth, Akola were used as recurrent parents. The other two genotypes, NRC-101 and NRC-127 obtained from Indian Institute for soybean research, Indore provided a null KTI allele and were employed as a donor. The experiment was done in the year 2021-22 and the breeding population was maintained at the field of the Biotechnology Center, Dr. Panjabrao Deshmukh Krishi Vidyapeeth, Akola (Latitude: 200 42’34.45”N, Longitude : 76 0 59’ 53.16” E ) and all molecular work was carried out in the Molecular Breeding laboratory of the Biotechnology Centre, Post Graduate Institute. The experiments were carried out in medium textured loamy soil with a pH of 6.5 to 7.5 and low to medium organic carbon content. For raising the crop in the experiment, the recommended package of practices was followed.

Fungal isolates of Macrophomina phaseolina were collected from the charcoal rot infected soybean plants as well as from soil found in the experimental fields of Regional Research Center, Amravati (Latitude: 20.9320° N, Longitude: 77.7523° E) which is known hot spot for charcoal rot disease). The samples were fetched to the laboratory of Department of Plant Pathology, Dr. PDKV, Akola. The isolates brought were cultured and purified and then re-infected to soybean plants to confirm its identity and virulence. Identified pure culture of M. phaseolina was maintained in controlled conditions and used for in-vitro screening to inoculate the target genotypes.

Performance of parental genotypes in response to Macrophomina phaseolina under in-vitro condition

The lab has already developed methods for screening genotypes against charcoal rot. Out of which pot and invivo showed similar responses. So, the experimental trial for estimating the performance of parental genotypes in response to M. phaseolina was set up using earthen pots. A set of earthen pots was raised to screen the genotypes through artificial inoculation. The experiment was conducted in controlled conditions at the Department of plant pathology, Dr PDKV, Akola. The detailed procedure followed is given below (Figure 1).

Procedure for screening of genotypes in controlled conditions

Figure 1: Procedure for screening of genotypes in controlled conditions

The scoring of the plants was done using 0-9 scale described by [14], where 0 and 9 indicated immune and highly susceptible, respectively (Table 1).

Confirmation of presence and absence of KTI peptide in selected genotypes

The parental seeds of soybean were biochemically tested through native PAGE for confirming absence of KTI polypeptides. For this purpose, finely ground seed flour (100 mg) was incubated in 1 ml Tris–HCl buffer (pH 8.0) for 30 min. in 700 C and then centrifuged. After this step, prepare 5 % stacking gel and pour and place comb immediately. After solidifying of gel, load the sample prepared having equal volumes of supernatant was added and 5× sample buffer and run at 35 mA for 2 h 30 min. Gels were stained overnight in 0.25 % aqueous solution of coomassie brilliant blue (R-250) in methanol, water and glacial acetic acid (45:45:10) followed by de-staining in methanol, water and glacial acetic acid (45:45:10) solution. Standard trypsin inhibitor protein (21.0 kDa) Thermo Fischer make was loaded in a separate lane for identification of KTI polypeptide.

DNA Extraction from leaf tissue

The chosen genotypes’ young leaves were harvested for the extraction of genomic DNA using the CTAB (Cetyltrimethyl ammonium bromide) technique [15]. The DNA extraction solution (2% CTAB, 100 mM Tris-HCl, 50 mM ethylene diamine tetra acetate (EDTA), and 100 mM NaCl) was applied to crush 15 to 20-day-old soybean leaves [16]. A nanodrop spectrophotometer (IMPLEN make Munchen, Germany) was used to measure optical density for the quantity and purity of the DNA at 260 and 280 nm and agarose gel electrophoresis was also used to assess the quality of DNA. The dilution of genomic DNA was prepared at 40ng/µL for further experiment.

Source of genomic microsatellite sequences

The primer sequence and SSR sites were retrieved from the soybean database [17]. A total of 388 SSR markers from 20 linkage groups (LG) were used, with an average density of one SSR marker per 5 cM, to assess the level of polymorphism between different parental combinations for background selection (Figure 2). Null allele specific markers were used for screening of positive F1 plants.

Histogram showing SSR markers throughout the linkage groups of soybean used under study

Figure 2: Histogram showing SSR markers throughout the linkage groups of soybean used under study

SSR Profiling of donor and recurrent parents

The polymerase chain reaction was performed using 325 primers in an Eppendorf thermal cycler. In a 10 μL reaction mixture with 2.0 μL DNA (20 ng/l), 1.0 μL 10X buffer, 1.1 μLMgCl2 , 0.1 μL dNTPs (10 mM), 0.4 μL each of forward and reverse SSR primers, 0.068 μL Taq DNA polymerase (5U/ μL), and 4.932 μL nuclease-free water was subjected to PCR amplification. The template DNAs were amplified in a thermo cycler (Applied Bioscience by Thermo Fischer, Waltham, Massachusetts, United states) using the PCR profile: Initial denaturation at 94°C for 2 minutes. Followed by 32 cycles of denaturation at 94°C for 1 min, primer annealing at 49 to 52 °C for 2 minutes, and primer elongation at 72 °C for 3 minutes each are then performed.

The amplicons’ final elongation was allowed to run its course at 72 °C for 10 min before being put on hold at 4 °C. After completion of amplification, PCR products were stored at –20°C and the amplified products were analyzed by electrophoresis using 8 % Polyacrylamide gel and visualized by silver stain. The silver nitrate staining solution was prepared at 0.18% concentration and the gel was exposed for 10 minutes with continuous shaking and then washed foe 30s in distilled water. Then PAGE gel was treated with a developer solution consisting of 3 % sodium hydroxide with 0.3 % formaldehyde until the bands appeared clearly. Gel documentation unit (Biorad make, Hercules, California, United States) available at Biotechnology Centre, Dr. PDKV., Akola was used for the visualization of resolved PCR products.

Analysis of SSR polymorphism and Detection of informative markers

To assess four genotypes, genotyping by SSR marker was scored based on the presence or absence of the bands was used. The data was then organized as discrete variables into a binary matrix, where score ‘1’ denoted the existence of the band and ‘0’ denoted its absence. This data matrix was subsequently subjected to analysis [18]. The polymorphism information content (PIC) for each chromosomal SSR was calculated using the formula to assess the markers’ in formativeness [19].

PIC=1-(Pi2)

Where Pi is the frequency of the ith plus allele among the group of 4 parental genotypes under investigation, and I is the total number of alleles discovered for the SSR marker. The SSR marker’s discriminating power is estimated by the PIC value [20]. The PIC values are divided into three classes: PIC> 0.7 = highly informative, then 0.25> PIC> 0.7= moderate, and PIC < 0.25 = low. Markers with PIC value above 0.5 are informative in genetic studies and are extremely useful in determining polymorphism rate of specific locus [21]. The evaluation of genetic markers is based on DNA bands of PCR amplification results.

The polymorphism percentage was also calculated between the parents with the formula illustrated below:

Polymorphismpercentage=\frac{Number of polymorphic markers}{Total no of markers}*100

The polymorphism percentage of markers will be calculated

Polymorphismpercentageof markers=\frac{Number of polymorphic allele}{Total no of allele}*100

The higher the polymorphism percentage the more informative and discriminative it will be.

RESULTS AND DISUSSION

Response of parental genotypes against Macrophomina phaseolina under in vitro The isolates of Macrophomina phaseolina were collected from the charcoal rot infected soybean plants as well as from soil found in the experimental fields of RRC, Amravati. The isolates were cultured, purified and re-infected the soybean plants to confirm its identity and virulence. Pure culture of M. phaseolina was maintained in controlled condition and used for inoculating the target genotypes.

A set of four genotypes was subjected to screening in pots under artificial inoculated conditions as proposed by [14]. The genotypes were selected based on the experiments conducted earlier. The experiment was conducted as per procedure in the net-house of Department of Plant Pathology, PGI, Dr. PDKV Akola (Table 2).

To permit disease development in the potted plants, limited supply of nutrients and water was done. Based on the disease score, 2 genotypes viz., AMS MB 5-19 and AMS MB 5-18 were identified as resistant ones. Similarly, one genotypes NRC 101 was found to be moderately resistant and NRC 127 was found highly susceptible (Figure 3).

Results obtained by screening of the soybean genotypes through screening in pots along with the graphical representation of the survival % of the plants  after 45 days.

Figure 3: Results obtained by screening of the soybean genotypes through screening in pots along with the graphical representation of the survival % of the plants after 45 days.

Therefore, these genotypes were used for developing the mapping population for studying the genetics of charcoal rot resistance.

Confirmation of presence and absence of KTI peptide in selected genotypes

The parental seeds were checked biochemically through NATIVE PAGE for confirming the absence of KTI polypeptides. The samples were loaded in NATIVE PAGE gel and it has been observed that the bands similar to KTI standard were present in genotypes AMS MB 5-18 and AMS MB 5-19 but NRC 101 and NRC 127 does not have. This indicates the absence of KTI allele in donor genotypes NRC 101 and NRC 127 (Figure 4).

Confirmation for presence of Null KTI peptide

Figure 4: Confirmation for presence of Null KTI peptide

Microsatellite marker-based profiling and polymorphism

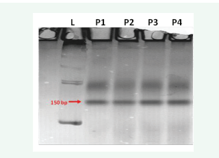
78 of the 388 SSR markers that were tested were found to be polymorphic collectively for four parental combinations of selected genotypes under investigation among them 46 markers were highly polymorphic (Table 3,4). Three markers Satt144, Satt543, and Satt 301 present on the F, D2, and L linkage groups respectively, were found highly polymorphic in all the parental combinations with the highest PIC value of > 0.75. The representative gel picture showing parental polymorphism of SSR markers is depicted in Figure 5 and monomorphic markers in Figure 6.

Representative images of polymorphic marker for selected genotypes L- Ladder 100kb, P1 - AMS MB 5-18, P2 =AMS-MB-5-19, P3=NRC-101 and P4=NRC-127

Figure 5: Representative images of polymorphic marker for selected genotypes L- Ladder 100kb, P1 - AMS MB 5-18, P2 =AMS-MB-5-19, P3=NRC-101 and P4=NRC-127

Representative images of monomorphic markers for selected genotypes  L- Ladder 100kb P1 - AMS MB 5-18, P2 =AMS-MB-5-19, P3=NRC-101 and P4=NRC-127

Figure 6: Representative images of monomorphic markers for selected genotypes L- Ladder 100kb P1 - AMS MB 5-18, P2 =AMS-MB-5-19, P3=NRC-101 and P4=NRC-127

The level of polymorphism (PIC) is required to select markers that can differentiate between the lines/hybrid used. Markers that produce fewer alleles have a smaller ability to distinguish samples tested. Other investigations have likewise shown low polymorphism [22,23]. In order to produce a polymorphism, it is encouraged to use genetically diverse genotypes in hybridization programs.

The Polymorphic Information Content (pic) value of 31 polymorphic markers for parental combination 1 (AMS MB 5-18 X NRC 101) ranged from 0.11 to 0.75 with 100 polymorphic alleles and average polymorphic percentage of 63.7% among identified polymorphic markers for parental combination 1. The polymorphism percentage for different polymorphic markers ranged from 25 to 100 % and seven markers showed 100 % polymorphism with 0.75 PIC value for parental combination 1. Similarly, 48 markers for parental combination 2 (AMS MB 5-18 X NRC 127) were found polymorphic with PIC value ranging from 0.15 to 0.75. The polymorphism percentage of markers ranged from 20 to 100 % with 220 polymorphic alleles detected out of total 339. 57 polymorphic markers for parental combination 3 (AMS MB 5-19 X NRC 101) has been observed with PIC value ranging from 0.13 to 0.75 and 91 polymorphic alleles out of total 143 alleles with average polymorphism percentage of 63.6 %. In addition, 67 markers have been found polymorphic for parental combination 4 (AMS MB 5-19 X NRC 127) whose PIC value ranged from 0.25 to 0.75 and polymorphism percentage ranged from 25 to 100% with 226 polymorphic alleles (Table 5).

The graph showing the PIC value of all the parental combinations have been shown in Figure 7. The location of each SSR marker found polymorphic has been depicted in Figure 8. The SSR markers which are more informative with greater than 0.30 pic value will be selected for further screening in the breeding program.

PIC value of different polymorphic markers in parental combinations PC1, PC2, PC3 and PC4

Figure 7: PIC value of different polymorphic markers in parental combinations PC1, PC2, PC3 and PC4

Chromosome wise distribution of polymorphic SSR markers of soybean.

Figure 8: Chromosome wise distribution of polymorphic SSR markers of soybean.

Among highly polymorphic SSR markers, three markers namely, Satt 144, Satt 543 and Satt_301 were found polymorphic in all the four parental combinations (Figure 9)

Histogram depicting number of highly polymorphic markers for different parental combinations with highest PIC value

Figure 9: Histogram depicting number of highly polymorphic markers for different parental combinations with highest PIC value

with high PIC value of 0.75 and these markers are located on chromosome 13 (Satt 144) and 17 (Satt 543 and Satt_301).

The average allele frequency for parental combination 1 (AMS MB 5-18 X NRC 101) obtained was 3.84 per marker, for parental combination 2 (AMS MB 5-18 X NRC 127) allelic frequency was 4.3 per marker. Similarly, an allelic frequency of 3.95 per marker was observed for parental combination 3 (AMS MB 5-19 X NRC 101) and parental combination 4 (AMS MB 5-19 X NRC 127) have an allelic frequency of 4.7 per marker.

The number of alleles per marker was found to range from 2 to 5, only. It reflected the poor variability among the soybean genotypes used in the study. The kind of motif (di, tri, tetra, etc.) and the number of repeats of the motif i.e. n=5, 10, 15, etc., in the SSRs have a significant impact on the detection of polymorphism. In the present investigation, it was shown that tri-nucleotide repeat SSR motifs were more polymorphic than other SSR motifs. Ten of the 19 highly polymorphic markers had tri-nucleotide repeat motifs, and seven had di-nucleotide repeat patterns. The SSR motif (TA) 13-58, which has 13–58 repeats, seems to be more variable than other di-nucleotide repeats. In the case of tri-nucleotide repeats, the four cross combinations revealed increased variation in motifs with 5-32 repeats (Table 6, Figure 10).

Histogram depicting number of highly polymorphic markers with different number of motifs in different parental combinations

Figure 10: Histogram depicting number of highly polymorphic markers with different number of motifs in different parental combinations

The markers which have been found to be having highest PIC value and polymorphism percentage in all the four parental combinations have trinucleotide motif (TAT) and (ATT) and only one marker have dinucleotide repeat of (AT) motif with varying number of repeats. In parental combination 1, 4 out of 7 markers have trinucleotide motif, similarly 7 out of 11 in case of parental combination 2, 4 out of 6 in PC3 and 7 out of 12 in PC4 have trinucleotide motif which detected more polymorphism among the four cross combinations. Similar results have already been reported in soybean [24].

The exploitation of informatics markers for hybrid confirmation

There are two possible approaches for adding extra SSR markers to the genome’s  sparsely polymorphic regions. The first strategy would include choosing SSR markers from previously existing resources, such as a map released in 2008 by the USDA, and testing them for polymorphism. The second strategy would involve creating new SSRs using the clonal sequences of those locations. In this instance, clone identification and the development of new primers would be made easier by the physical map and the soybean genome’s whole sequence. There have already been reports of similar outcomes in soybean. Null KTI allele-specific marker was used for foreground selection of hybrids (Figure 9) and the selected progenies will be used for further generation advancement. In the future, this information will be helpful for selecting and/or creating SSR primers.

CONCLUSION

Soybean improvement basically revolves around the development of food grade soybean which involves reduction of potent compounds affecting food quality and yield increase by addressing biotic and abiotic stress. This experiment helps in inferring some set of markers polymorphic to specific four soybean genotypes which can be involved in the development of KTI free soybean with charcoal rot disease resistance. Precision molecular breeding in soybeans would benefit from the use of these techniques.

Significance statement

Soybean being a crop with high nutritional value and potential to eradicate malnutrition, improvement is of great significance. Agronomical traits for soybean improvement have been widely studied in soybean and now research is focused to improve its quality. This research experiment was based on addressing the charcoal rot disease caused by M. phaseolina which accounts for 80% yield loss and improving food quality by removing antinutritional factor (KTI) from soybean. The soybean genotypes selected for the research work included two charcoal rot resistant genotypes along with two genotypes with Null KTI allele. The purpose was to introgressed Null KTI allele in the background of charcoal rot resistant genotype. This research article represents first key findings of the experiment in which in vitro screening was done for detecting resistant genotypes and polymorphism detection of all the four genotypes with different parental combinations. The results showed 78 markers out of 388 to be highly polymorphic which will be used for screening in further generation advancement.

ACKNOLWLEDGMENT

The Department of Biotechnology, Government of India, provided financial support for this work as part of the project “Accelerated development of Kunitz trypsin inhibitor free soybean genotype with charcoal rot resistance through marker assisted selection” sponsored by the Accelerated Programme on Crop Improvement. Sanction No. BT/PR30841/AGIII/103/1112/2019

REFERENCES

1. Gillman JD, Won-Seok Kim, Krishnan HB. Identification of a New Soybean Kunitz Trypsin Inhibitor Mutation and Its Effect on Bowman−Birk Protease Inhibitor Content in Soybean Seed. J Agric Food Chem. 2015; 63: 1352-1359.

2. Kumar V, Rani A, Mittal P, Mohd Shuaib. Kunitz trypsin inhibitor in soybean: contribution to total trypsin inhibitor activity as a function of genotype and fate during processing. J Food Meas Charact. 2019; 13: 1583-1590.

3. Andrade JC, Mandarino JMG, Kurozawa LE, Ida EI. The effect of thermal treatment of whole soybean flour on the conversion of isoflavones and inactivation of trypsin inhibitors. Food Chem. 2016; 194: 1095-1101.

4. Roychaudhuri R, Sarath G, Zeece M, Markwell J. Reversible denaturation of soybean Kunitz trypsin inhibitor. Arch Biochem Biophys. 2003; 412: 20-26.

5. Moraes R de, Soares T, Colombo L, Salla M, Barros J de A, Piovesan N, et al. Assisted selection by specific DNA markers for genetic elimination of the Kunitz trypsin inhibitor and lectin in soybean seeds. Euphytica. 2006; 149: 221-226.

6. Wang KJ, Xiang HL, Yamashita T, Yoshihito T. Single nucleotide mutation leading to an amino acid substitution in the variant Tik soybean Kunitz trypsin inhibitor (SKTI) identified in Chinese wild soybean (Glycine soja Sieb. & Zucc.). Plant Syst Evol. 2012; 298:1-7.

7. Jofuku DK, Schipper RD, Goldberg RB. 1989. A frameshift mutation prevents kunitz trypsin inhibitor mRNA accumulation in soybean embryos. Plant Cell 1: 427-435.

8. Orf JH, Hymowitz T. Inheritance of the absence of the Kunitz trypsin inhibitor in seed protein of soybeans. Crop Science. 1979; 19: 107- 109.

9. Cregan PB, Jarvik T, Bush AL, Shoemaker RC, Lark KG, Kahler AL, et al. An integrated genetic linkage map of the soybean genome. Crop Science. 1999; 39:1464-1490.

10. Kim MS, Park MJ, Jeong WH, Nam KC and Chung J. SSR markers tightly linked to the ti locus in soybean [ Glycine max (L.) Merr.]. Euphytica. 2006; 152: 361-366.

11. Kumar BNH, Bhat S, Borphukan B and Fakrudin B. Association analysis of charcoal rot disease component traits in sorghum minicore germplasm with EST-SSR markers. Indian J Genet Plant Breed. 2017; 77: 74-82.

12. Kumar V, Rani A, Rawal R, Mourya V. Marker assisted accelerated introgression of null allele of Kunitz trypsin inhibitor in soybean. Breed Sci. 2015; 65: 447-452.

13. Maroof S, Jeong SC, Gunduz I, Tucker DM, Buss GR, Tolin SA. Pyramiding of soybean mosaic virus resistance genes by markerassisted selection. Crop Science. 2008; 48: 517-526.

14. Smith GS, Carvil ON. Field screening of commercial and experimental soybean cultivars for their reaction to Macrophomina phaseolina. Plant Dis. 1997; 81: 363-368.

15. Murray MG, Thompson WF. Rapid isolation of high molecular weight plant DNA. Nucleic Acids Res. 1980; 8: 4321-4325.

16. Siva Kumar G, Aruna Kumari K, Durga Rani CV, Sundaram RM, Vanisree S, Jamaloddin Mdet al. Study of simple sequence repeat (SSR) polymorphism for biotic stress resistance in elite rice variety JGL 1798. AJB. 2013; 12: 5833-5838.

17. Anonymous. 2023.

18. Guo X, Elston RC. Linkage information content of polymorphic genetic markers. Hum Hered. 1999; 49: 112-118.

19. Serrote CML, Reiniger LRS, Silva KB, Rabaiolli SMDS, Stefanel CM. Determining the Polymorphism Information Content of a molecular marker. Gene. 2020; 726: 144175.

20. Dalimunthe SR, Siregar LAM, Putri LAP, Chairunnisa T, Hairmansis. Polymorphism levels of some SSR markers (Simple Sequence Repeat) for parental line identification on low temperature tolerance. 2020; 454: 012165.

21. Akkaya M, Buyukunal-Bal E. Assessment of genetic variation of bread wheat varieties using microsatellite markers. Euphytica.2004; 135: 179-185.

22. Singh RK, Raipuria RK, Bhatia VS, Rani A, Pushpendra, Husan SM, et al. SSR markers associated with seed longevity in soybean. Seed Science and Technology. 2008; 36: 162-167.

23. Talukdar Akshay, Verma Khushbu, Gowda D, Lal Sanjay, Sapra Ramesh, Singh KP et al. Molecular breeding for charcoal rot resistance in soybean I. Screening and mapping population development. Indian J Genet Plant Breed. 2009; 69: 367-370.

24. Kumar B, Talukdar A, Verma K. Diversity analysis in soybean genotypes using SSR markers.In: Book of Abstracts, National Seminar on “Contemporary approaches to crop improvement”, 2011, UAS, Bangalore. 126. 2011.

Jadhav PV, Shinde AN, Thakur PP, Shinde UD, Mahobia A, et al. (2023) Genome-Wide Microsatellite Survey and Introgression of Null KTI Allele in Charcoal Rot Resistant Soybean. J Hum Nutr Food Sci 11(4): 1172.

Received : 09 Sep 2023
Accepted : 30 Sep 2023
Published : 30 Sep 2023
Journals
Annals of Otolaryngology and Rhinology
ISSN : 2379-948X
Launched : 2014
JSM Schizophrenia
Launched : 2016
Journal of Nausea
Launched : 2020
JSM Internal Medicine
Launched : 2016
JSM Hepatitis
Launched : 2016
JSM Oro Facial Surgeries
ISSN : 2578-3211
Launched : 2016
JSM Regenerative Medicine and Bioengineering
ISSN : 2379-0490
Launched : 2013
JSM Spine
ISSN : 2578-3181
Launched : 2016
Archives of Palliative Care
ISSN : 2573-1165
Launched : 2016
JSM Nutritional Disorders
ISSN : 2578-3203
Launched : 2017
Annals of Neurodegenerative Disorders
ISSN : 2476-2032
Launched : 2016
Journal of Fever
ISSN : 2641-7782
Launched : 2017
JSM Bone Marrow Research
ISSN : 2578-3351
Launched : 2016
JSM Mathematics and Statistics
ISSN : 2578-3173
Launched : 2014
Journal of Autoimmunity and Research
ISSN : 2573-1173
Launched : 2014
JSM Arthritis
ISSN : 2475-9155
Launched : 2016
JSM Head and Neck Cancer-Cases and Reviews
ISSN : 2573-1610
Launched : 2016
JSM General Surgery Cases and Images
ISSN : 2573-1564
Launched : 2016
JSM Anatomy and Physiology
ISSN : 2573-1262
Launched : 2016
JSM Dental Surgery
ISSN : 2573-1548
Launched : 2016
Annals of Emergency Surgery
ISSN : 2573-1017
Launched : 2016
Annals of Mens Health and Wellness
ISSN : 2641-7707
Launched : 2017
Journal of Preventive Medicine and Health Care
ISSN : 2576-0084
Launched : 2018
Journal of Chronic Diseases and Management
ISSN : 2573-1300
Launched : 2016
Annals of Vaccines and Immunization
ISSN : 2378-9379
Launched : 2014
JSM Heart Surgery Cases and Images
ISSN : 2578-3157
Launched : 2016
Annals of Reproductive Medicine and Treatment
ISSN : 2573-1092
Launched : 2016
JSM Brain Science
ISSN : 2573-1289
Launched : 2016
JSM Biomarkers
ISSN : 2578-3815
Launched : 2014
JSM Biology
ISSN : 2475-9392
Launched : 2016
Archives of Stem Cell and Research
ISSN : 2578-3580
Launched : 2014
Annals of Clinical and Medical Microbiology
ISSN : 2578-3629
Launched : 2014
JSM Pediatric Surgery
ISSN : 2578-3149
Launched : 2017
Journal of Memory Disorder and Rehabilitation
ISSN : 2578-319X
Launched : 2016
JSM Tropical Medicine and Research
ISSN : 2578-3165
Launched : 2016
JSM Head and Face Medicine
ISSN : 2578-3793
Launched : 2016
JSM Cardiothoracic Surgery
ISSN : 2573-1297
Launched : 2016
JSM Bone and Joint Diseases
ISSN : 2578-3351
Launched : 2017
JSM Bioavailability and Bioequivalence
ISSN : 2641-7812
Launched : 2017
JSM Atherosclerosis
ISSN : 2573-1270
Launched : 2016
Journal of Genitourinary Disorders
ISSN : 2641-7790
Launched : 2017
Journal of Fractures and Sprains
ISSN : 2578-3831
Launched : 2016
Journal of Autism and Epilepsy
ISSN : 2641-7774
Launched : 2016
Annals of Marine Biology and Research
ISSN : 2573-105X
Launched : 2014
JSM Health Education & Primary Health Care
ISSN : 2578-3777
Launched : 2016
JSM Communication Disorders
ISSN : 2578-3807
Launched : 2016
Annals of Musculoskeletal Disorders
ISSN : 2578-3599
Launched : 2016
Annals of Virology and Research
ISSN : 2573-1122
Launched : 2014
JSM Renal Medicine
ISSN : 2573-1637
Launched : 2016
Journal of Muscle Health
ISSN : 2578-3823
Launched : 2016
JSM Genetics and Genomics
ISSN : 2334-1823
Launched : 2013
JSM Anxiety and Depression
ISSN : 2475-9139
Launched : 2016
Clinical Journal of Heart Diseases
ISSN : 2641-7766
Launched : 2016
Annals of Medicinal Chemistry and Research
ISSN : 2378-9336
Launched : 2014
JSM Pain and Management
ISSN : 2578-3378
Launched : 2016
JSM Women's Health
ISSN : 2578-3696
Launched : 2016
Clinical Research in HIV or AIDS
ISSN : 2374-0094
Launched : 2013
Journal of Endocrinology, Diabetes and Obesity
ISSN : 2333-6692
Launched : 2013
Journal of Substance Abuse and Alcoholism
ISSN : 2373-9363
Launched : 2013
JSM Neurosurgery and Spine
ISSN : 2373-9479
Launched : 2013
Journal of Liver and Clinical Research
ISSN : 2379-0830
Launched : 2014
Journal of Drug Design and Research
ISSN : 2379-089X
Launched : 2014
JSM Clinical Oncology and Research
ISSN : 2373-938X
Launched : 2013
JSM Bioinformatics, Genomics and Proteomics
ISSN : 2576-1102
Launched : 2014
JSM Chemistry
ISSN : 2334-1831
Launched : 2013
Journal of Trauma and Care
ISSN : 2573-1246
Launched : 2014
JSM Surgical Oncology and Research
ISSN : 2578-3688
Launched : 2016
Annals of Food Processing and Preservation
ISSN : 2573-1033
Launched : 2016
Journal of Radiology and Radiation Therapy
ISSN : 2333-7095
Launched : 2013
JSM Physical Medicine and Rehabilitation
ISSN : 2578-3572
Launched : 2016
Annals of Clinical Pathology
ISSN : 2373-9282
Launched : 2013
Annals of Cardiovascular Diseases
ISSN : 2641-7731
Launched : 2016
Journal of Behavior
ISSN : 2576-0076
Launched : 2016
Annals of Clinical and Experimental Metabolism
ISSN : 2572-2492
Launched : 2016
Clinical Research in Infectious Diseases
ISSN : 2379-0636
Launched : 2013
JSM Microbiology
ISSN : 2333-6455
Launched : 2013
Journal of Urology and Research
ISSN : 2379-951X
Launched : 2014
Journal of Family Medicine and Community Health
ISSN : 2379-0547
Launched : 2013
Annals of Pregnancy and Care
ISSN : 2578-336X
Launched : 2017
JSM Cell and Developmental Biology
ISSN : 2379-061X
Launched : 2013
Annals of Aquaculture and Research
ISSN : 2379-0881
Launched : 2014
Clinical Research in Pulmonology
ISSN : 2333-6625
Launched : 2013
Journal of Immunology and Clinical Research
ISSN : 2333-6714
Launched : 2013
Annals of Forensic Research and Analysis
ISSN : 2378-9476
Launched : 2014
JSM Biochemistry and Molecular Biology
ISSN : 2333-7109
Launched : 2013
Annals of Breast Cancer Research
ISSN : 2641-7685
Launched : 2016
Annals of Gerontology and Geriatric Research
ISSN : 2378-9409
Launched : 2014
Journal of Sleep Medicine and Disorders
ISSN : 2379-0822
Launched : 2014
JSM Burns and Trauma
ISSN : 2475-9406
Launched : 2016
Chemical Engineering and Process Techniques
ISSN : 2333-6633
Launched : 2013
Annals of Clinical Cytology and Pathology
ISSN : 2475-9430
Launched : 2014
JSM Allergy and Asthma
ISSN : 2573-1254
Launched : 2016
Journal of Neurological Disorders and Stroke
ISSN : 2334-2307
Launched : 2013
Annals of Sports Medicine and Research
ISSN : 2379-0571
Launched : 2014
JSM Sexual Medicine
ISSN : 2578-3718
Launched : 2016
Annals of Vascular Medicine and Research
ISSN : 2378-9344
Launched : 2014
JSM Biotechnology and Biomedical Engineering
ISSN : 2333-7117
Launched : 2013
Journal of Hematology and Transfusion
ISSN : 2333-6684
Launched : 2013
JSM Environmental Science and Ecology
ISSN : 2333-7141
Launched : 2013
Journal of Cardiology and Clinical Research
ISSN : 2333-6676
Launched : 2013
JSM Nanotechnology and Nanomedicine
ISSN : 2334-1815
Launched : 2013
Journal of Ear, Nose and Throat Disorders
ISSN : 2475-9473
Launched : 2016
JSM Ophthalmology
ISSN : 2333-6447
Launched : 2013
Journal of Pharmacology and Clinical Toxicology
ISSN : 2333-7079
Launched : 2013
Annals of Psychiatry and Mental Health
ISSN : 2374-0124
Launched : 2013
Medical Journal of Obstetrics and Gynecology
ISSN : 2333-6439
Launched : 2013
Annals of Pediatrics and Child Health
ISSN : 2373-9312
Launched : 2013
JSM Clinical Pharmaceutics
ISSN : 2379-9498
Launched : 2014
JSM Foot and Ankle
ISSN : 2475-9112
Launched : 2016
JSM Alzheimer's Disease and Related Dementia
ISSN : 2378-9565
Launched : 2014
Journal of Addiction Medicine and Therapy
ISSN : 2333-665X
Launched : 2013
Journal of Veterinary Medicine and Research
ISSN : 2378-931X
Launched : 2013
Annals of Public Health and Research
ISSN : 2378-9328
Launched : 2014
Annals of Orthopedics and Rheumatology
ISSN : 2373-9290
Launched : 2013
Journal of Clinical Nephrology and Research
ISSN : 2379-0652
Launched : 2014
Annals of Community Medicine and Practice
ISSN : 2475-9465
Launched : 2014
Annals of Biometrics and Biostatistics
ISSN : 2374-0116
Launched : 2013
JSM Clinical Case Reports
ISSN : 2373-9819
Launched : 2013
Journal of Cancer Biology and Research
ISSN : 2373-9436
Launched : 2013
Journal of Surgery and Transplantation Science
ISSN : 2379-0911
Launched : 2013
Journal of Dermatology and Clinical Research
ISSN : 2373-9371
Launched : 2013
JSM Gastroenterology and Hepatology
ISSN : 2373-9487
Launched : 2013
Annals of Nursing and Practice
ISSN : 2379-9501
Launched : 2014
JSM Dentistry
ISSN : 2333-7133
Launched : 2013
Author Information X