Anti-Alopecic Activity of a Novel Compound from Aloe barbadensis Miller
- 1. Department of Molecular Biology and Biotechnology, Tezpur (Central) University, India
- 2. Divisions of Pharmaceutical Technology, Defence Research Laboratory, India
- 3. Vice-Chancellors, Nagaland University, India
Abstract
Alopecia is an abnormal hair loss that has become a subject of major concern for cosmetologists and dermatologists worldwide. Drugs available in the market are known to possess various toxic side effects which lead to search for novel drugs for the treatment of alopecia. The objective of the present study was to isolate a non-toxic and non-irritant anti-alopecic compound from Aloe barbadensis Miller. In the present investigation, we have isolated a novel compound using chromatographic techniques and the cytotoxicity, acute dermal irritatancy of the compound was tested. Alopecia was induced in Wistar rats using warfarin at a standard dose and the compound was topically applied on affected area of alopecic Wistar rats. In histology study, A. barbadensis isolated compound showed its strong effect on hair follicle regeneration and qualitative hair growth promotion against warfarin-induced alopecia as compared to minoxidil. This study suggest that the isolated compound can be use as a new antialopecic drug as a replacement to minoxidil.
Keywords
• A. barbadensis
• Acute dermal irritancy
• Alopecia, Wistar rat
Citation
Ray A, Chattopadhyay P, Konwar BK (2015) Anti-Alopecic Activity of a Novel Compound from Aloe barbadensis Miller. J Pharmacol Clin Toxicol 3(2):1048.
INTRODUCTION
Hair is one of the vital parts of body, derived from the ectoderm of the skin and is involved in providing protection to the body [1]. At present, treatment of various hair ailments such as alopecia, seborrheic dermatitis, anagen effluvium, telogen effluvium, male and female pattern hair loss has been a subject of major concern throughout the globe [2,3]. Among them, alopecia is of major dermatologic concern which is characterized by non-scarring abnormal hair loss. Apart from the metabolic and hereditary causes, alopecia has also been observed as a major side effect of chemotherapy, anticoagulant, immunosuppressant, anticancer and many others drugs [4,5].
Minoxidil and finasteroid are two commonly prescribed drugs for treatment of alopecia and are approved by U.S. FDA [6]. However, potential drawbacks of both the drugs which include hypertrichosis, genitourinary abnormalities in male offspring, hormonal imbalance etc., has reduced their usage which has lead to an increased use of plant compounds as a source of medicines [7,8]. The use of plant products for pharmaceutical purposes has been gradually increasing. According to WHO, medicinal plants are becoming the optimal source for obtaining a variety of drugs [4]. About 80% of individuals from developed countries use traditional medicines, derived from medicinal plants [9].
Aloe barbadensis Mill commonly known as Aloe vera, is a traditionally well known medicinal plant and it has remained as an important component in the traditional medicine of many contemporary cultures worldwide [10]. This medicinal plant is also known for its use as a folk medicine in various hair ailments; however no scientific report has been reported to date. In the last decade, numerous studies have been conducted using a number of medicinal plants in an attempt to demonstrate their efficacy against alopecia [5,8]. Most of the studies were restricted to the use of crude extracts [11]. In depth studies with purified plant compounds against alopecia treatment are very scanty. In the present investigation, we have isolated and purified a nontoxic, non-irriant compound from A. barbadensis which showed a strong anti-alopecic effect at both the follicular and dermal level.
MATERIALS AND METHODS
Isolation of compound
An ethylacetate extract was prepared from the dried A. barbadensis leaves in a soxhlet apparatus (1:2 ratios) for 12 h. The crude ethylacetate extract was eluted using column chromatography packed with silica gel (100-200 mesh size) using ethyacetate and hexane. The fraction eluted with 4% ethylacetat afforded a brown coloured compound. TLC was done for the compound using hexane: ethylacetate (3:7) solvent system followed by anisaldehyde spraying and heating to isolate the compound and the Rf value was calculated. The isolated compound was purified through HPLC using Ascentis Reverse Phase-Amide column with the dimension of 10 cm×10 mm I.D. and particle size 10 µm [Supelco, USA]. The mobile phase consisted of methanol/ water gradient mixture and the absorption spectra of the isolated compounds were measured at 280 nm for purification purpose. The separated compound was collected by repetitive injections and the collected compounds were run in the gradient to confirm their elution time.
Cytotoxicity
The cytotoxicity of the HPLC purified compound was studied in murine macrophage cell line (RAW 264.7) using MTT colorimetric assay according the protocol described by Patel et al. [12].
Acute Dermal Irritation Study
The acute dermal irritation study of the isolated compound was carried out according to the OECD Guideline 404 [13] method using healthy New Zealand White strain rabbits with intact skin. Rabbits weighing 300-350 gm issued from Central Animal Facility, Defence Research Laboratory, Tezpur, Assam, were used. Animals were housed in polypropylene cages maintained under standard conditions of 12-h light/dark cycle, 23±2 ºC and 35–60% humidity and fed on standard diet. All experiments were carried according to the guidelines laid by Institutional Animal Ethical Committee [IAEC] of Defence Research Laboratory, Tezpur, Assam, India. For the study, 0.8% formaldehyde solution was used as positive control and ethanol solution was used as negative control. The animals were examined for the presence of erythema and edema according to Draize dermal irritation scoring system at an interval of 24, 48, and 72 h. In addition, cage side observations were made daily for signs of clinical toxicity throughout the test period. Primary irritation index (PII) was also calculated for both positive control, negative control and compound treated rabbits.
Inducing of alopecia and application of tested compounds
For the present study, 12 Wistar rats (both male and female) were taken and alopecia was induced in all the Wistar rats after standardizing the dose of warfarin at 1.7 mg/kg orally for 2 months. The oral dosing was stopped after 2 months and the rats were kept in normal condition with water and food ad libitium. Hair fall during the induction of alopecia was recorded which was shown. After induction of alopecia in the Wistar rats, all the animals were kept in normal condition with water and food to check any further hair growth in affected area. Group I animals were kept as negative control for the study without any further application. Group II and III animals were topically treated with the A.barbadensis isolated compound (2%) and minoxidil (2%) solution, respectively for 15 days. Both the tested compound and minoxidil solution was applied as a patch over the alopecia affected skin of the Wistar rats. Minoxidil solution was taken as positive control for the study.
Hematology and serum biochemical assessment
All animals were fasted overnight prior to necropsy and blood collection. Blood samples were collected through vein puncture technique from retro orbital sinus of rats and samples were collected in non-vacuum blood collection tubes containing K3 EDTA and analyzed within 30 minutes. The hematological parameters were examined by Automatic Hemato analyzer (MS4) (Melet Schloesing Laboratories, Osny, France). For serum biochemical analysis, blood collected from both the treated and control group animals were placed in vacuum blood collection tubes devoid of anticoagulant (serum tube). The blood was allowed to clot at room temperature and the serum was separated. Serum biochemical parameters were analyzed by Coralyzer-100 (Tulip Diagnostics Pvt Ltd, Goa, India).
Histological study
The histology of both the treated and control skin tissues were analyzed according to the protocol described by Uno et al. [14]. All skin samples taken from all animals in the vehicle control and treated groups were examined microscopically. The numbers of hair follicles per cm2 area of skin were determined using the microscope.
RESULTS AND DISCUSSIONS
Isolation of compound
The A. barbadensis ethylacetate extract isolated fraction was separated at Rf value of 0.52, in thin layer chromatography after spraying with anisaldehyde reagent. The same fraction was purified through HPLC at a retention time of 9.90 min as shown in (Figure 1).
Figure 1 HPLC Chromatogram of A.barbadensis isolated compound.
Cytotoxicity
The present study analyzed the cytotoxic effect of the purified compound isolated from A.barbadensis using the MTT assay. The purified compound failed to inhibit the proliferation of murin macrophage cell line (RAW 264.7) in comparison to standard drug kanamycin (10-100 mg/mL). The experiment was evaluated in a dose dependent manner and no cytotoxic effect was observed upto 100 mg/mL concentration. The LC50 values of the tested compound and kanamycin were found to be 114.32±0.74 and 14.23±0.65 mg/mL, respectively.
Acute Dermal Irritation Study
No dermal responses, including erythema or edema, were found in rabbit skin after treatment with either the A.barbadensis isolated compound or the negative control with PII score of 0, after 72 h of topical application. However, in the positive control group treated with 0.8% (w/v) aqueous solution of formaldehyde, severe erythema was observed and the PII score was 9.26, indicating severe irritation. Cage-side observations did not reveal any observable signs of systemic toxicity in any of the treated groups.
Inducing of alopecia and application of tested compounds
Alopecia was induced in the experimental Wistar albino rats by standardizing the warfarin dose. Many workers already reported that alopecia is already caused by warfarin as sideeffect [15]. In this study we have treated Wistar rats with various concentration of warfarin to observe their hair fall within the treatment period. We have found that, alopecia can be induced in Wistar rats using warfarin given orally at 1.7mg/kg/day for 2 months. After 2 months, hair fall started and patchy areas of hair loss were observed as shown in Figure 2.
Figure 2 Induction of alopecia in Wistar rats.
The average length and weight of the hairs, for 10 numbers of hair collected from each group were measured and recorded for comparative study as shown in (Table 1).
Table 1: Changes in hair length and weight of Wistar rat hair before and after treatment with A. barbadensis isolated compound and minoxidil solution.
| Before | After | |||
| Hair length (cm) | Hair weight (mg) | Hair length (cm) | Hair weight (mg) | |
| Minoxidil | 1.43±0.29 | 3.1±0.33 | 1.72±0.37 | 3.3±0.65 |
| Phytocompound | 1.49±0.51 | 3.4±0.42 | 1.97±0.49 | 3.9±0.17 |
After 15 days topical application with the compound and minoxidil, hair growth initiation and completion time was significantly reduced. Visual observation of hair growth was recorded on the 9th day and the 13th day for compound treated and minoxidil treated Wistar rats, respectively. The complete hair growth was observed on 24th day and 25th day in the case of compound treatment and minoxidil, respectively. The average length of the minoxidil treated Wistar rat hairs was 1.72±0.37 cm and the average weight 3.3±0.65 mg, for 10 numbers of hairs randomly collected from the group during the treatment period. In the case of the compound, the average length of hairs was 1.97±0.49 cm with average weight 3.9±0.17 mg. All the data recorded from the experiment is shown in (Table 1). However no hair growth was observed in the control group Wistar rat suggesting no regeneration of hair follicles. There was no treatment-related mortality in any of the groups of Wistar rats following patch administration after 15 days. Regeneration of hair in Wistar rats treated with minoxidil and the compound as compared with control group animals are showed in Figure 3.
Figure 3 Regeneration of Hair in Wistar rats after treating with A.barbadensis purified compound (a) and Minoxidil (b).
No significant changes were observed in the body weights of Wistar rats after treating with the compound.
Hematology and serum biochemical assessment
The study showed that topical application of the A. barbadensis isolated compound did not show any significant haematological and biochemical changes during 14 days of the treatment period as shown in (Table 2).
Table 2a: Hematology of treated and control group Wistar rats.
| Items | Control | Minoxidil | Av 4 |
| WBC (K) Lymphocyte (%) Monocyte (%) RBC (M) Hb (g/dl) Hct (%) MCV (fL) MCH (pg) MCHC (g/dL) Gra (%) RDW (g/dl) MPV (fl) Pct (%) PDW THR (m/mm3) |
6.2± 0.13 23.1±1.37 8.4±0.21 6.32±0.72 13.9±1.51 47.0±4.22 39.2±1.67 11.9±1.72 21.2±3.21 57.5±0.91 12.1±0.05 5.4±0.01 0.29±0.02 6.4±1.31 297±17.4 |
5.9±0.01 26.1±1.07 17.3±0.34 7.02±1.03 11.2±0.41 51.2±3.66 42.6±2.18 13.5±2.9 24.6±3.87 43.3±0.87 9.32±0.01 5.9±0.13 0.31±0.01 7.2±0.27 494±23.42 |
8.2±0.16 29.11±0.08 16.1±1.13 7.12±0.79 12.2±2.61 46.26±5.26 47.8±3.39 12.7±0.12 23.8±3.01 49.1±0.61 10.6±0.02 5.7±0.09 0.35±0.04 8.1±1.03 471±21.21 |
Table 2b: Serum biochemical study of treated and control group Wistar rats.
| Items | Control | Minoxidil | Av 4 |
| GLUC UREA TP UA Chol CRE SGPT SGOT |
121±11.23 57.2±4.19 4.79±0.72 1.46±0.02 32.1±4.47 0.9±0.02 87±7.1 135±8.5 |
119±12.14 60.1±5.13 6.1±0.91 1.57±0.07 39.4±4.35 0.8±0.01 73±5.9 120±9.72 |
108±16.51 62.3±7.24 6.84±1.35 1.32±0.09 33.1±1.03 0.6±0.03 89±7.3 141±10.16 |
The observed haematological values (Table 2a) are within the normal range. WBC and lymphocyte counts increased in the case of the animals treated with A. Barbadensis purified compound, whereas the lymphocyte counts got decreased as compared to minoxidil and control group. THR is found to be increased in the case of minoxidil and A. barbadensis isolated tested compound treated Wistar rats compared to control group; however, no significant changes were observed in the case of other haematological parameters. In case of serum analysis (Table 2b), GLUC is observed to be decreased in case of compound treated group and SGOT showed decreased in case of minoxidil treated group although both are within the normal range. No other significant changes were found in case of control, minoxidil and the compound treated groups in case of serum biochemical parameters.
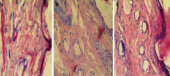
Histological study
The histology of both the control and compound treated animals was analyzed using the standard protocol. A considerable difference in hair follicle initiation was observed in the treated Wistar rats in the case of minoxidil and A.barbadensis isolated compound. Initiation of hair follicle was observed in the case of the compound and minoxidil treated group on the 6th day and the 9th day, respectively. Digital photomicrographs were taken from representative areas are shown in (Figure 4).
Figure 4 Histology study of skin tissues taken from control (a), minoxidil (b) and compound (c) treated Wistar rats.
CONCLUSION
The in-vivo study of the A.barbadensis purified compound showed hair follicle regenerating property and hair growth promoting effect on warfarin-induced alopecic wistar rats. The compound may have effect at the follicular level to regenerate hair follicles destroyed by warfarin. Although the structure of the compound and its mode of action on hair follicle are still not known, however the significant effects on hair follicle regeneration hair follicles suggests that this compound could be a promising candidate for future pharmacological research.
REFERENCES
1. Stenn K, Paus R. Controls of hair follicle cycling. Physiol Rev. 2001; 81: 449-494.
4. Goodman LS, Gilman A. The Pharmacological Basis of Therapeutics. New York, McGraw Hills, 1966:1611.
7. Cheol GR. Hair-restorer and manufacturing process there of . KR20040016331, 2004.
15. Umlas J, Harken DE. Warfarin-induced alopecia. Cutis. 1988; 42: 63- 64.



