Loading

Journal of Pharmacology and Clinical Toxicology

Turning the spotlight on the perplexing case of Colpocephaly: Exhuming its pathophysiology and symptomatology

Case Report | Open Access | Volume 13 | Issue 2
Article DOI :

  • 1. Merit Health Wesley Health Center, USA
  • *. Both authors contributed equivocally and regarded co-first authors
+ Show More - Show Less
Corresponding Authors
Sri Harsha Kanuri, Resident, Merit Health Wesley Health Center, 1501 Hardy Street, Hattiesburg, MS 39401, USA
Abstract

Colpocephaly is a rare neurodevelopmental disorder characterized by disproportionate dilatation of the occipital horns of the lateral ventricles due to impaired neuronal migration. Fewer than 30 adult cases have been reported in the literature. We describe a 60-year-old male who presented with panic attacks and headache, in whom neuroimaging revealed posterior cortical atrophy, hypoplasia of the septum pellucidum, parietal white matter disease, and features consistent with colpocephaly. While this condition typically presents in childhood with seizures, developmental delay, and cognitive impairment, adults are often asymptomatic and rarely present with nonspecific symptoms such as headache or dizziness. Diagnosis is radiologic, and management is limited to symptomatic treatment, as no definitive therapy exists. This case underscores the importance of recognizing colpocephaly in adults and differentiating it from normal pressure hydrocephalus, which carries very different clinical and therapeutic implications.

Keywords

• Colpocephaly

• Neurodevelopmental disorder

• Lateral ventricles

• Occipital horns

• Frontal horns

• Corpus callosum

• Ventriculomegaly

• Arachnoid cyst

• Normal pressure hydrocephalus

• Shunting

Citation

Kanuri SH, Beauti S, Messenger K (2025) Turning the spotlight on the perplexing case of Colpocephaly: Exhuming its pathophysiology and symptomatology. J Pharmacol Clin Toxicol 13(2):1194.

INTRODUCTION

Colpocephaly is the abnormal dilation of the posterior horns of the lateral ventricles [1]. It occurs due to congenitally abnormal neurodevelopment, due to which the occipital horns enlarge predominantly [2]. In some instances, it is associated with agenesis of the corpus callosum [2]. It is caused by numerous factors, ranging from toxins, infections, chromosomal abnormalities, and usage of steroids during pregnancy, to anoxic encephalopathy [3]. In most instances, it presents in childhood with neurodevelopmental abnormalities [4,5]. Nevertheless, in older age groups, it can present with seizures, headache, and intellectual disabilities [3,6]. Diagnosis is made with imaging, and it should be mainly differentiated from NPH and arachnoid cysts [7]. Treatment is symptomatic, as there is no specific therapy available. As of 2025, there are fewer than 20–30 adult cases of colpocephaly reported in the literature [8]. Therefore, we present this adult case of colpocephaly presenting with panic attacks and headache, which on imaging revealed the classic signs of this clinical disorder.

CASE PRESENTATION

A 32-year-old male, retired from the military and currently a full-time student, presented to the emergency department with a severe panic attack. He described experiencing several panic attacks that were sometimes manageable with coping techniques, but this particular day was severe, so he went to the ER. He had never had head imaging prior to this. He had no history of concussion and no known seizures. He also had a history of occasional vertigo and blurred vision corrected with contact lenses. As part of his evaluation, a non-contrast head CT was performed, which demonstrated posterior cortical atrophy and enlargement of the occipital horns of the lateral ventricles, suggestive of colpocephaly. These findings were considered incidental, and the patient was referred to Neurology by his primary care provider for further evaluation.

At the time of outpatient neurology evaluation, he described frequent migraines occurring more than three times weekly. These typically began in the occipital region and progressed to holocephalic pain, occasionally associated with nausea and, rarely, projectile vomiting. He also reported intermittent vertigo and episodes of blurred vision, corrected with contact lenses. He denied seizures, head trauma, or concussion. Past medical history was notable for migraines and anxiety. Neurological examination was non-focal, with intact cranial nerves, normal strength and reflexes, and no dysmorphic features..

https://www.jscimedcentral.com/public/assets/images/uploads/image-1766397017-1.JPG

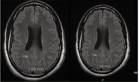
Figure A MRI brain without contrast:

Brain MRI without contrast (Figure A), demonstrated a pattern of colpocephaly with cavum septum pellucidum and mild ventriculomegaly, as well as nonspecific foci of demyelination in the posterior periventricular white matter tracts, measuring up to 7 mm and more prominent on the right hemisphere as compared to the left hemisphere. No evidence of acute infarction, hemorrhage, or mass effect was observed. An EEG was performed to further evaluate for subclinical seizures and showed no epileptiform activity.

https://www.jscimedcentral.com/public/assets/images/uploads/image-1766397099-1.JPG

Figure B MRI Brain with contrast – Hypoplasia of the septum pallucidum. Corpus callosum is intact. Trace scattered white matter disease primarily in the parietal lobe. There is enlargement of the posterior horns of the lateral ventricles, suggesting colpocephaly.

A subsequent contrast-enhanced MRI (Figure B), confirmed hypoplasia of the septum pellucidum with mild colpocephaly and an intact corpus callosum. Additionally, there was scattered white matter disease in the parietal lobes without abnormal enhancement. The ventricular findings were unchanged from the prior study.

In summary, this patient was found to have colpocephaly with associated hypoplasia of the septum pellucidum and nonspecific periventricular white matter changes, identified incidentally during evaluation for an unrelated panic attack and further characterized with serial MRI studies. Given the diagnosis, the patient was recommended symptomatic treatment for his headaches and panic attacks. Regular follow-up is advised to monitor his symptom resolution.

Ventricles of the brain are somewhat prominent for a patient of this age. Cavum of the septum pallucidum. Pattern of colpocephaly. Mild ventriculomegaly is noted. Non-specific foci of demyelination are seen in the posterior periventricular white matter tracts in both the hemispheres more prominent on the right side than left. These range from 3-7 mm. No Acute infarct. No hemorrhage.

DISCUSSION

We present a case of colpocephaly in a 32-year-old male with no pertinent medical history, who presented with severe panic attacks and headache. On further testing, he was found to have a predominant dilation of the posterior horns of the lateral ventricles on MRI brain. These findings were associated with hypoplasia of the septum pellucidum, scattered white matter disease in the parietal lobe, and demyelination of the white matter tracts in both hemispheres. This abnormality usually presents in childhood, and its late presentation in adults is quite unusual. With this clinical case, we would like to highlight the abnormal radiological findings and its unusual symptomatology in the older age population. Although there are no specific treatment approaches available for this abnormality, symptomatic treatment and multimodality approaches are recommended.

This disorder was originally identified by Clemens Benda, an American psychiatrist, in 1940 as vesiculocephaly, where he described a clinical case of a child with epilepsy and microcephaly harboring enlarged primary brain vesicles [9]. Later, Yakovlev and Wadsworth (1946) coined the term colpocephaly to denote enlarged occipital horns of the lateral ventricles and described its pathological basis [10].

Pathophysiologically, anomalous neuronal migration or halting in white matter development can be factors that lead to the inception of colpocephaly [11,12]. The occipital horns of the lateral ventricles are abnormally dilated (3:1) as compared to the frontal horns [12,13]. As white matter development is halted in the occipital lobe, the posterior horns of the ventricles gradually enlarge and fill the space created in the posterior lobe [14]. Furthermore, any defects in fetal neurodevelopment can perpetuate the persistence of fetal ventricular shape, leading to colpocephaly [3]. The physiological decrease in the size of the occipital horns of the lateral ventricles by myelination of ventricular wall fibers, corpus callosum, forceps fibers, the parieto-occipital fissure, and calcarine fissure is disrupted by developmental arrest, thus leading to the formation of colpocephaly [15]. During the 5th month of fetal development, migration of glial cells along with growth of the corpus callosum and white matter is stifled, opening the doors for the development of posterior ventriculomegaly characteristic of colpocephaly [16].

Some of the risk factors that can provoke colpocephaly include perinatal injuries, intrauterine infections, perinatal anoxic-ischemic encephalopathy, intrauterine growth retardation, maternal usage of corticosteroids, maternal exposure to toxins, chromosomal abnormalities 8 and 9, congenital toxoplasmosis, meningococcal meningitis, and X-linked chromosomal inheritance [2,3,12].

Colpocephaly may not be an isolated finding. In most instances, colpocephaly is bilateral, but unilateral cases have been reported in hemimegalencephaly and porencephaly [17]. It may be part of a broad spectrum of neurological disorders related to anomalous neuroblast development or arrest in neuronal cell migration [12,15]. Concomitant neurological disorders associated with colpocephaly include agenesis of the corpus callosum, Arnold–Chiari malformation, lissencephaly, microcephaly, myelocele, macrogyria, microgyria, schizencephaly, cerebellar atrophy, optic nerve atrophy, periventricular leukomalacia, and larger cisterna magna [3,12]. Furthermore, it can be associated with various syndromes, including lissencephaly type 1, linear nevus sebaceous syndrome, Marden–Walker syndrome, Tourette syndrome, Aicardi syndrome, Norman–Roberts syndrome, Zellweger syndrome, Nijmegen breakage syndrome, hemimegalencephaly, and Chudley–McCullough syndrome [17].

Most commonly, colpocephaly is diagnosed in children due to its associated neurological abnormalities [12]. Although its clinical presentation in adults is rare, it may present with symptoms ranging from headache, dizziness, seizures, motor or sensory disturbances, cognitive slowing, intellectual lapses, visual hallucinations, and poor academic performance [2,3,12,15]. Psychiatric disorders such as schizophrenia and obsessive-compulsive disorder (OCD) have also been associated with colpocephaly. Fetuses with Trisomy 18 frequently have colpocephaly along with congenital cardiac defects, including atrial septal defect, ventricular septal defect, patent ductus arteriosus, and polyvalvular disease [18,19].

In this case, our patient presented with panic attacks and recurrent headache, and upon further workup, it was revealed that he had colpocephaly. He did not have the associated congenital abnormalities discussed above. There was no pertinent past medical history, childhood symptoms, or significant perinatal birth history that could be linked to colpocephaly in our patient. On further probing, he did not experience any cognitive, behavioral, or learning disabilities.

The gold standard for the diagnosis of colpocephaly is CT (computed tomography) scan and MRI (magnetic resonance imaging). The hallmark signs include disproportionate ballooning of the occipital horns of the lateral ventricles as compared to the frontal horns. Some researchers have postulated measuring the posterior anterior (P/A) ratio, which is the maximum width of the posterior horns divided by the width of the anterior horns of the lateral ventricles [4]. A P/A ratio greater than 3 indicates abnormal enlargement of the occipital horns, thus supporting the diagnosis of colpocephaly [7,20]. Specifically, colpocephaly should be distinguished from NPH, and assessing the P/A ratio is helpful in this scenario [7]. Clinical history identifying the classical triad of dementia, gait disturbance, and urinary incontinence, normal CSF pressure, ventricular dilation, and Evan’s index > 3 are telltale signs of NPH [7]. This distinction is important because NPH is progressive and obstructive, thus warranting surgical shunts to relieve the obstruction [21]. Furthermore, colpocephaly should be distinguished from arachnoid cysts, which are intra-hemispheric fissures frequently associated with agenesis of the corpus callosum, thus necessitating cystoperitoneal shunts [22].

Colpocephaly associated with agenesis of the corpus callosum is identified by a “race car sign,” where the frontal horns, body, and lateral horns of the lateral ventricles assume a Formula One racing car shape on axial imaging [23]. As colpocephaly is diagnosed, efforts should be made to administer symptomatic treatment, as there is no specific therapy available for this rare clinical disorder. Patients presenting with seizures should be prescribed anti-epileptics [2]. Other patients with neurological, cognitive, or learning symptoms should be referred for multimodal approaches, including neurology, occupational therapy, physical therapy, speech therapy, and physiotherapy [3,24].

CONCLUSIONS

Colpocephaly is an uncommon neurodevelopmental disorder caused by arrest in glial cell migration as well as restricted growth of the corpus callosum, leading to the development of ventriculomegaly. CT scan/MRI revealing disproportionate ballooning of the occipital horns as compared to the frontal horns of the lateral ventricles confirms the diagnosis. Although often asymptomatic, it can be associated with seizures, headache, learning disabilities, and cognitive impairment. It should be differentiated from NPH, as the latter requires numerous diagnostic and therapeutic interventions. There is no specific treatment for colpocephaly other than symptomatic management.

AUTHORS’ CONTRIBUTIONS

Conceptualization, S.H.K & SB; Methodology, S.H.K & S.A; Software, N.G.; Validation, N.A; Formal Analysis, N.A.; Investigation, S.H.K & VP.; Resources, N.A.; Data Curation, N.A.; Writing– Original Draft Preparation, S.H.K & S, B.; Writing– Review & Editing, S.H.K.& S.B.; Visualization, S.H.K.; Supervision, K.M..; Project Administration, K.M.

REFERENCES
  1. Cheong JH, Kim CH, Yang MS, Kim JM. Atypical meningioma in the posterior fossa associated with colpocephaly and agenesis of the corpus callosum. Acta Neurochir Suppl. 2012; 113: 167-171.
  2. Mirzaei S, Motaghed Z, Zarei H. Colpocephaly and corpus callosum dysgenesis in an adult: A rare case report. Int J Surgery Case Rep. 2024; 124: 110484.
  3. Sangwan A, Meena R. Colpocephaly in an adult: A rare case report.Radiol Case Rep. 2024; 19: 2048-2051.
  4. Noorani PA, Bodensteiner JB, Barnes JB. Colpocephaly: frequency andassociated findings. J Child Neurol. 1988; 3: 100-104.
  5. Nasrat T, Seraji-Bozoergzad N. Incidentally discovered colpocephaly and corpus callosum agenesis in asymptomatic elderly patient. Ibnosina J Med Biomed Sci. 2015; 7: 56-58.
  6. Wunderlich G, Schlaug G, Jancke L, Benecke R, Seitz RJ. Adult-onset complex partial seizures as the presenting sign in colpocephaly: MRI and PET correlates. J Neuroimaging. 1996; 6: 192-195.
  7. Esenwa CC, Leaf DE. Colpocephaly in adults. BMJ Case Rep. 2013.
  8. Edzie EKM. Colpocephaly in a 62-year-old woman: a case report. ArchClin Med Case Rep. 2020; 4: 1009-1013.
  9. BENDA CE. Microcephaly. Am J Psychiatr. 1941; 97: 1135-1146.
  10. Yakovlev PI, Wadsworth RC. Schizencephalies; a study of the congenital clefts in the cerebral mantle; clefts with fused lips. J Neuropathol Exp Neurol. 1946; 5: 116-130.
  11. Ciurea RB. Corpus callosum dysgenesis and colpocephaly. Rom JNeurol. 2013; 12: 160-163.
  12. Parker C, Eilbert W, Meehan T, Colbert C. Colpocephaly Diagnosed in a Neurologically Normal Adult in the Emergency Department. Clin Pract Cases Emerg Med. 2019; 3: 421-424.
  13. Landman J, Weitz R, Dulitzki F, Shuper A, Sirota L, Aloni D, et al. Radiological colpocephaly: a congenital malformation or the result of intrauterine and perinatal brain damage. Brain Dev. 1989; 11: 313- 316.
  14. Jumaan AAA, Tahseen WM. Colpocephaly and corpus callosum agenesis in an asymptomatic adult. Bahrain Med Bull. 2019; 41: 275- 277.
  15. Bennaoui F. Colpocephaly, a Very Rare Neonatal Brain Malformation: a Case Report and Literature Review. Int J Clin Case Reports and Rev. 2010; 23: 01-05.
  16. Puvabanditsin S, Garrow E, Ostrerov Y, Trucanu D, Illic M, CholenkerilJV. Colpocephaly: a case report. Am J Perinatol. 2006; 23: 295-297.
  17. Seyfettin ULUDA? YA, Begüm AYDO?AN, Burcu AYDIN. A Very Rare Case of Colpocephaly Associated With Trisomy 18. Gynecol Obstet Reprod Med. 2012; 18: 83-85
  18. Van Praagh S. Cardiac malformations in trisomy-18: a study of 41 postmortem cases. J Am Coll Cardiol. 1989; 13: 1586-1597.
  19. Musewe NN, Alexander DJ, Teshima I, Smallhorn JF, Freedom RM. Echocardiographic evaluation of the spectrum of cardiac anomalies associated with trisomy 13 and trisomy 18. J Am Coll Cardiol. 1990; 15: 673-677.
  20. Bartolomé EL. Asymptomatic colpocephaly and partial agenesis ofcorpus callosum. Neurologia. 2016; 31: 68-70.
  21. Esmonde T, Cooke S. Shunting for normal pressure hydrocephalus(NPH). Cochrane Database Syst Rev. 2002: Cd003157.
  22. Ulu MO. Treatment of symptomatic interhemispheric arachnoid cystsby cystoperitoneal shunting. J Clin Neurosci. 2010; 17: 700-705.
  23. Agarwal DK, Patel SM, Krishnan M. Classical Imaging in CallosalAgenesis. J Pediatr Neurosci. 2018; 13: 118-119.
  24. Mahmoud A, Mekheal E, Varghese V, Michael P. Can a Cerebral Congenital Anomaly Present in Adulthood?” Cureus. 2022; 14: e31985.

Kanuri SH, Beauti S, Messenger K (2025) Turning the spotlight on the perplexing case of Colpocephaly: Exhuming its pathophysiology and symptomatology. J Pharmacol Clin Toxicol 13(2):1194.

Received : 08 Nov 2025
Accepted : 02 Dec 2025
Published : 04 Dec 2025
Journals
Annals of Otolaryngology and Rhinology
ISSN : 2379-948X
Launched : 2014
JSM Schizophrenia
Launched : 2016
Journal of Nausea
Launched : 2020
JSM Internal Medicine
Launched : 2016
JSM Hepatitis
Launched : 2016
JSM Oro Facial Surgeries
ISSN : 2578-3211
Launched : 2016
Journal of Human Nutrition and Food Science
ISSN : 2333-6706
Launched : 2013
JSM Regenerative Medicine and Bioengineering
ISSN : 2379-0490
Launched : 2013
JSM Spine
ISSN : 2578-3181
Launched : 2016
Archives of Palliative Care
ISSN : 2573-1165
Launched : 2016
JSM Nutritional Disorders
ISSN : 2578-3203
Launched : 2017
Annals of Neurodegenerative Disorders
ISSN : 2476-2032
Launched : 2016
Journal of Fever
ISSN : 2641-7782
Launched : 2017
JSM Bone Marrow Research
ISSN : 2578-3351
Launched : 2016
JSM Mathematics and Statistics
ISSN : 2578-3173
Launched : 2014
Journal of Autoimmunity and Research
ISSN : 2573-1173
Launched : 2014
JSM Arthritis
ISSN : 2475-9155
Launched : 2016
JSM Head and Neck Cancer-Cases and Reviews
ISSN : 2573-1610
Launched : 2016
JSM General Surgery Cases and Images
ISSN : 2573-1564
Launched : 2016
JSM Anatomy and Physiology
ISSN : 2573-1262
Launched : 2016
JSM Dental Surgery
ISSN : 2573-1548
Launched : 2016
Annals of Emergency Surgery
ISSN : 2573-1017
Launched : 2016
Annals of Mens Health and Wellness
ISSN : 2641-7707
Launched : 2017
Journal of Preventive Medicine and Health Care
ISSN : 2576-0084
Launched : 2018
Journal of Chronic Diseases and Management
ISSN : 2573-1300
Launched : 2016
Annals of Vaccines and Immunization
ISSN : 2378-9379
Launched : 2014
JSM Heart Surgery Cases and Images
ISSN : 2578-3157
Launched : 2016
Annals of Reproductive Medicine and Treatment
ISSN : 2573-1092
Launched : 2016
JSM Brain Science
ISSN : 2573-1289
Launched : 2016
JSM Biomarkers
ISSN : 2578-3815
Launched : 2014
JSM Biology
ISSN : 2475-9392
Launched : 2016
Archives of Stem Cell and Research
ISSN : 2578-3580
Launched : 2014
Annals of Clinical and Medical Microbiology
ISSN : 2578-3629
Launched : 2014
JSM Pediatric Surgery
ISSN : 2578-3149
Launched : 2017
Journal of Memory Disorder and Rehabilitation
ISSN : 2578-319X
Launched : 2016
JSM Tropical Medicine and Research
ISSN : 2578-3165
Launched : 2016
JSM Head and Face Medicine
ISSN : 2578-3793
Launched : 2016
JSM Cardiothoracic Surgery
ISSN : 2573-1297
Launched : 2016
JSM Bone and Joint Diseases
ISSN : 2578-3351
Launched : 2017
JSM Bioavailability and Bioequivalence
ISSN : 2641-7812
Launched : 2017
JSM Atherosclerosis
ISSN : 2573-1270
Launched : 2016
Journal of Genitourinary Disorders
ISSN : 2641-7790
Launched : 2017
Journal of Fractures and Sprains
ISSN : 2578-3831
Launched : 2016
Journal of Autism and Epilepsy
ISSN : 2641-7774
Launched : 2016
Annals of Marine Biology and Research
ISSN : 2573-105X
Launched : 2014
JSM Health Education & Primary Health Care
ISSN : 2578-3777
Launched : 2016
JSM Communication Disorders
ISSN : 2578-3807
Launched : 2016
Annals of Musculoskeletal Disorders
ISSN : 2578-3599
Launched : 2016
Annals of Virology and Research
ISSN : 2573-1122
Launched : 2014
JSM Renal Medicine
ISSN : 2573-1637
Launched : 2016
Journal of Muscle Health
ISSN : 2578-3823
Launched : 2016
JSM Genetics and Genomics
ISSN : 2334-1823
Launched : 2013
JSM Anxiety and Depression
ISSN : 2475-9139
Launched : 2016
Clinical Journal of Heart Diseases
ISSN : 2641-7766
Launched : 2016
Annals of Medicinal Chemistry and Research
ISSN : 2378-9336
Launched : 2014
JSM Pain and Management
ISSN : 2578-3378
Launched : 2016
JSM Women's Health
ISSN : 2578-3696
Launched : 2016
Clinical Research in HIV or AIDS
ISSN : 2374-0094
Launched : 2013
Journal of Endocrinology, Diabetes and Obesity
ISSN : 2333-6692
Launched : 2013
Journal of Substance Abuse and Alcoholism
ISSN : 2373-9363
Launched : 2013
JSM Neurosurgery and Spine
ISSN : 2373-9479
Launched : 2013
Journal of Liver and Clinical Research
ISSN : 2379-0830
Launched : 2014
Journal of Drug Design and Research
ISSN : 2379-089X
Launched : 2014
JSM Clinical Oncology and Research
ISSN : 2373-938X
Launched : 2013
JSM Bioinformatics, Genomics and Proteomics
ISSN : 2576-1102
Launched : 2014
JSM Chemistry
ISSN : 2334-1831
Launched : 2013
Journal of Trauma and Care
ISSN : 2573-1246
Launched : 2014
JSM Surgical Oncology and Research
ISSN : 2578-3688
Launched : 2016
Annals of Food Processing and Preservation
ISSN : 2573-1033
Launched : 2016
Journal of Radiology and Radiation Therapy
ISSN : 2333-7095
Launched : 2013
JSM Physical Medicine and Rehabilitation
ISSN : 2578-3572
Launched : 2016
Annals of Clinical Pathology
ISSN : 2373-9282
Launched : 2013
Annals of Cardiovascular Diseases
ISSN : 2641-7731
Launched : 2016
Journal of Behavior
ISSN : 2576-0076
Launched : 2016
Annals of Clinical and Experimental Metabolism
ISSN : 2572-2492
Launched : 2016
Clinical Research in Infectious Diseases
ISSN : 2379-0636
Launched : 2013
JSM Microbiology
ISSN : 2333-6455
Launched : 2013
Journal of Urology and Research
ISSN : 2379-951X
Launched : 2014
Journal of Family Medicine and Community Health
ISSN : 2379-0547
Launched : 2013
Annals of Pregnancy and Care
ISSN : 2578-336X
Launched : 2017
JSM Cell and Developmental Biology
ISSN : 2379-061X
Launched : 2013
Annals of Aquaculture and Research
ISSN : 2379-0881
Launched : 2014
Clinical Research in Pulmonology
ISSN : 2333-6625
Launched : 2013
Journal of Immunology and Clinical Research
ISSN : 2333-6714
Launched : 2013
Annals of Forensic Research and Analysis
ISSN : 2378-9476
Launched : 2014
JSM Biochemistry and Molecular Biology
ISSN : 2333-7109
Launched : 2013
Annals of Breast Cancer Research
ISSN : 2641-7685
Launched : 2016
Annals of Gerontology and Geriatric Research
ISSN : 2378-9409
Launched : 2014
Journal of Sleep Medicine and Disorders
ISSN : 2379-0822
Launched : 2014
JSM Burns and Trauma
ISSN : 2475-9406
Launched : 2016
Chemical Engineering and Process Techniques
ISSN : 2333-6633
Launched : 2013
Annals of Clinical Cytology and Pathology
ISSN : 2475-9430
Launched : 2014
JSM Allergy and Asthma
ISSN : 2573-1254
Launched : 2016
Journal of Neurological Disorders and Stroke
ISSN : 2334-2307
Launched : 2013
Annals of Sports Medicine and Research
ISSN : 2379-0571
Launched : 2014
JSM Sexual Medicine
ISSN : 2578-3718
Launched : 2016
Annals of Vascular Medicine and Research
ISSN : 2378-9344
Launched : 2014
JSM Biotechnology and Biomedical Engineering
ISSN : 2333-7117
Launched : 2013
Journal of Hematology and Transfusion
ISSN : 2333-6684
Launched : 2013
JSM Environmental Science and Ecology
ISSN : 2333-7141
Launched : 2013
Journal of Cardiology and Clinical Research
ISSN : 2333-6676
Launched : 2013
JSM Nanotechnology and Nanomedicine
ISSN : 2334-1815
Launched : 2013
Journal of Ear, Nose and Throat Disorders
ISSN : 2475-9473
Launched : 2016
JSM Ophthalmology
ISSN : 2333-6447
Launched : 2013
Annals of Psychiatry and Mental Health
ISSN : 2374-0124
Launched : 2013
Medical Journal of Obstetrics and Gynecology
ISSN : 2333-6439
Launched : 2013
Annals of Pediatrics and Child Health
ISSN : 2373-9312
Launched : 2013
JSM Clinical Pharmaceutics
ISSN : 2379-9498
Launched : 2014
JSM Foot and Ankle
ISSN : 2475-9112
Launched : 2016
JSM Alzheimer's Disease and Related Dementia
ISSN : 2378-9565
Launched : 2014
Journal of Addiction Medicine and Therapy
ISSN : 2333-665X
Launched : 2013
Journal of Veterinary Medicine and Research
ISSN : 2378-931X
Launched : 2013
Annals of Public Health and Research
ISSN : 2378-9328
Launched : 2014
Annals of Orthopedics and Rheumatology
ISSN : 2373-9290
Launched : 2013
Journal of Clinical Nephrology and Research
ISSN : 2379-0652
Launched : 2014
Annals of Community Medicine and Practice
ISSN : 2475-9465
Launched : 2014
Annals of Biometrics and Biostatistics
ISSN : 2374-0116
Launched : 2013
JSM Clinical Case Reports
ISSN : 2373-9819
Launched : 2013
Journal of Cancer Biology and Research
ISSN : 2373-9436
Launched : 2013
Journal of Surgery and Transplantation Science
ISSN : 2379-0911
Launched : 2013
Journal of Dermatology and Clinical Research
ISSN : 2373-9371
Launched : 2013
JSM Gastroenterology and Hepatology
ISSN : 2373-9487
Launched : 2013
Annals of Nursing and Practice
ISSN : 2379-9501
Launched : 2014
JSM Dentistry
ISSN : 2333-7133
Launched : 2013
Author Information X