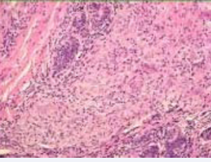
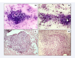
Loading

Annals of Clinical Cytology and Pathology

Author Information X